同时发病的系统性硬化症和轻链淀粉样变性:首例病例报告和文献回顾。

IF 2.9 3区 医学 Q2 RHEUMATOLOGY
Anna Colangelo, Francesco Tromby, Elisabetta Agliani, Lorenza Bruno, Giacomo Cafaro, Federico Crusco, Anna Mengoni, Cinzia Zuchi, Roberto Gerli, Elena Bartoloni, Carlo Perricone
{"title":"同时发病的系统性硬化症和轻链淀粉样变性:首例病例报告和文献回顾。","authors":"Anna Colangelo, Francesco Tromby, Elisabetta Agliani, Lorenza Bruno, Giacomo Cafaro, Federico Crusco, Anna Mengoni, Cinzia Zuchi, Roberto Gerli, Elena Bartoloni, Carlo Perricone","doi":"10.1007/s00296-025-05982-5","DOIUrl":null,"url":null,"abstract":"<p><p>Systemic sclerosis (SSc) and amyloidosis are rare, complex conditions that impair the function of multiple organs, each with distinct pathogenic mechanisms: autoimmunity for SSc and misfolded protein deposition for amyloidosis. We present the first documented case of a 57-year-old woman with coexisting SSc and systemic AL amyloidosis with multi-organ involvement, in which treatment for amyloidosis led to a notable improvement in SSc symptoms. The patient presented experiencing fatigue, exertional dyspnea, epigastric pain and syncopal episodes in the summer of 2023. Investigations revealed mild increase in left ventricle thickness, elevated NT-proBNP and troponin with negative coronary angiography. She was subsequently diagnosed with SSc with multi-organ involvement and systemic AL amyloidosis confirmed by biopsy. Treatment with a modified Dara-CyBorD protocol led to improvement in SSc symptoms, especially in terms of dyspnea and skin involvement. This is the first reported case of SSc coexisting with systemic AL amyloidosis. The patient responded well to therapy for amyloidosis, suggesting potential overlapping treatment benefits. A multidisciplinary approach was essential, and further studies are needed to explore therapeutic interactions between these two rare diseases.</p>","PeriodicalId":21322,"journal":{"name":"Rheumatology International","volume":"45 10","pages":"227"},"PeriodicalIF":2.9000,"publicationDate":"2025-09-16","publicationTypes":"Journal Article","fieldsOfStudy":null,"isOpenAccess":false,"openAccessPdf":"https://www.ncbi.nlm.nih.gov/pmc/articles/PMC12441099/pdf/","citationCount":"0","resultStr":"{\"title\":\"Simultaneous onset of systemic sclerosis and light chain amyloidosis: the first report of a case report and review of the literature.\",\"authors\":\"Anna Colangelo, Francesco Tromby, Elisabetta Agliani, Lorenza Bruno, Giacomo Cafaro, Federico Crusco, Anna Mengoni, Cinzia Zuchi, Roberto Gerli, Elena Bartoloni, Carlo Perricone\",\"doi\":\"10.1007/s00296-025-05982-5\",\"DOIUrl\":null,\"url\":null,\"abstract\":\"<p><p>Systemic sclerosis (SSc) and amyloidosis are rare, complex conditions that impair the function of multiple organs, each with distinct pathogenic mechanisms: autoimmunity for SSc and misfolded protein deposition for amyloidosis. We present the first documented case of a 57-year-old woman with coexisting SSc and systemic AL amyloidosis with multi-organ involvement, in which treatment for amyloidosis led to a notable improvement in SSc symptoms. The patient presented experiencing fatigue, exertional dyspnea, epigastric pain and syncopal episodes in the summer of 2023. Investigations revealed mild increase in left ventricle thickness, elevated NT-proBNP and troponin with negative coronary angiography. She was subsequently diagnosed with SSc with multi-organ involvement and systemic AL amyloidosis confirmed by biopsy. Treatment with a modified Dara-CyBorD protocol led to improvement in SSc symptoms, especially in terms of dyspnea and skin involvement. This is the first reported case of SSc coexisting with systemic AL amyloidosis. The patient responded well to therapy for amyloidosis, suggesting potential overlapping treatment benefits. A multidisciplinary approach was essential, and further studies are needed to explore therapeutic interactions between these two rare diseases.</p>\",\"PeriodicalId\":21322,\"journal\":{\"name\":\"Rheumatology International\",\"volume\":\"45 10\",\"pages\":\"227\"},\"PeriodicalIF\":2.9000,\"publicationDate\":\"2025-09-16\",\"publicationTypes\":\"Journal Article\",\"fieldsOfStudy\":null,\"isOpenAccess\":false,\"openAccessPdf\":\"https://www.ncbi.nlm.nih.gov/pmc/articles/PMC12441099/pdf/\",\"citationCount\":\"0\",\"resultStr\":null,\"platform\":\"Semanticscholar\",\"paperid\":null,\"PeriodicalName\":\"Rheumatology International\",\"FirstCategoryId\":\"3\",\"ListUrlMain\":\"https://doi.org/10.1007/s00296-025-05982-5\",\"RegionNum\":3,\"RegionCategory\":\"医学\",\"ArticlePicture\":[],\"TitleCN\":null,\"AbstractTextCN\":null,\"PMCID\":null,\"EPubDate\":\"\",\"PubModel\":\"\",\"JCR\":\"Q2\",\"JCRName\":\"RHEUMATOLOGY\",\"Score\":null,\"Total\":0}","platform":"Semanticscholar","paperid":null,"PeriodicalName":"Rheumatology International","FirstCategoryId":"3","ListUrlMain":"https://doi.org/10.1007/s00296-025-05982-5","RegionNum":3,"RegionCategory":"医学","ArticlePicture":[],"TitleCN":null,"AbstractTextCN":null,"PMCID":null,"EPubDate":"","PubModel":"","JCR":"Q2","JCRName":"RHEUMATOLOGY","Score":null,"Total":0}
引用次数: 0

摘要

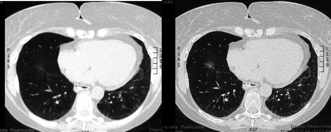
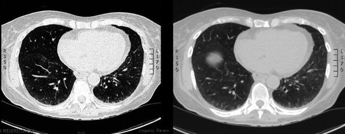
系统性硬化症(SSc)和淀粉样变是罕见的复杂疾病,损害多个器官的功能,每种疾病都有不同的致病机制:SSc的自身免疫和淀粉样变的错误折叠蛋白沉积。我们报告了第一例57岁女性并发SSc和系统性AL淀粉样变并多器官受累的病例,其中淀粉样变治疗导致SSc症状显著改善。患者于2023年夏季出现疲劳、用力性呼吸困难、上腹部疼痛和晕厥发作。调查显示左心室厚度轻度增加,NT-proBNP和肌钙蛋白升高,冠状动脉造影阴性。随后,她被诊断为SSc,多器官受累,活检证实为系统性AL淀粉样变。采用改良的Dara-CyBorD方案治疗可改善SSc症状,特别是在呼吸困难和皮肤受累方面。这是首次报道的SSc与系统性AL淀粉样变并存的病例。该患者对淀粉样变治疗反应良好,提示潜在的重叠治疗益处。多学科的方法是必不可少的,需要进一步的研究来探索这两种罕见疾病之间的治疗相互作用。
本文章由计算机程序翻译,如有差异,请以英文原文为准。

Simultaneous onset of systemic sclerosis and light chain amyloidosis: the first report of a case report and review of the literature.

Simultaneous onset of systemic sclerosis and light chain amyloidosis: the first report of a case report and review of the literature.

Simultaneous onset of systemic sclerosis and light chain amyloidosis: the first report of a case report and review of the literature.

Simultaneous onset of systemic sclerosis and light chain amyloidosis: the first report of a case report and review of the literature.

Systemic sclerosis (SSc) and amyloidosis are rare, complex conditions that impair the function of multiple organs, each with distinct pathogenic mechanisms: autoimmunity for SSc and misfolded protein deposition for amyloidosis. We present the first documented case of a 57-year-old woman with coexisting SSc and systemic AL amyloidosis with multi-organ involvement, in which treatment for amyloidosis led to a notable improvement in SSc symptoms. The patient presented experiencing fatigue, exertional dyspnea, epigastric pain and syncopal episodes in the summer of 2023. Investigations revealed mild increase in left ventricle thickness, elevated NT-proBNP and troponin with negative coronary angiography. She was subsequently diagnosed with SSc with multi-organ involvement and systemic AL amyloidosis confirmed by biopsy. Treatment with a modified Dara-CyBorD protocol led to improvement in SSc symptoms, especially in terms of dyspnea and skin involvement. This is the first reported case of SSc coexisting with systemic AL amyloidosis. The patient responded well to therapy for amyloidosis, suggesting potential overlapping treatment benefits. A multidisciplinary approach was essential, and further studies are needed to explore therapeutic interactions between these two rare diseases.

求助全文
通过发布文献求助,成功后即可免费获取论文全文。 去求助
来源期刊
Rheumatology International
Rheumatology International 医学-风湿病学
CiteScore
7.30
自引率
5.00%
发文量
191
审稿时长
16. months
期刊介绍: RHEUMATOLOGY INTERNATIONAL is an independent journal reflecting world-wide progress in the research, diagnosis and treatment of the various rheumatic diseases. It is designed to serve researchers and clinicians in the field of rheumatology. RHEUMATOLOGY INTERNATIONAL will cover all modern trends in clinical research as well as in the management of rheumatic diseases. Special emphasis will be given to public health issues related to rheumatic diseases, applying rheumatology research to clinical practice, epidemiology of rheumatic diseases, diagnostic tests for rheumatic diseases, patient reported outcomes (PROs) in rheumatology and evidence on education of rheumatology. Contributions to these topics will appear in the form of original publications, short communications, editorials, and reviews. "Letters to the editor" will be welcome as an enhancement to discussion. Basic science research, including in vitro or animal studies, is discouraged to submit, as we will only review studies on humans with an epidemological or clinical perspective. Case reports without a proper review of the literatura (Case-based Reviews) will not be published. Every effort will be made to ensure speed of publication while maintaining a high standard of contents and production. Manuscripts submitted for publication must contain a statement to the effect that all human studies have been reviewed by the appropriate ethics committee and have therefore been performed in accordance with the ethical standards laid down in an appropriate version of the 1964 Declaration of Helsinki. It should also be stated clearly in the text that all persons gave their informed consent prior to their inclusion in the study. Details that might disclose the identity of the subjects under study should be omitted.
×
引用
GB/T 7714-2015
复制
MLA
复制
APA
复制
导出至
BibTeX EndNote RefMan NoteFirst NoteExpress
×
提示
您的信息不完整,为了账户安全,请先补充。
现在去补充
×
提示
您因"违规操作"
具体请查看互助需知
我知道了
×
提示
确定
请完成安全验证×
copy
已复制链接
快去分享给好友吧!
我知道了
右上角分享
点击右上角分享
0
联系我们:info@booksci.cn Book学术提供免费学术资源搜索服务,方便国内外学者检索中英文文献。致力于提供最便捷和优质的服务体验。 Copyright © 2023 布克学术 All rights reserved.
京ICP备2023020795号-1
ghs 京公网安备 11010802042870号
Book学术文献互助
Book学术文献互助群
群 号:604180095
Book学术官方微信