软组织尤因家族肿瘤1例报告。

IF 1 Q4 PUBLIC, ENVIRONMENTAL & OCCUPATIONAL HEALTH
Pan African Medical Journal Pub Date : 2025-06-23 eCollection Date: 2025-01-01 DOI:10.11604/pamj.2025.51.55.39626
Anass Haloui, Nassira Karich, Nada Akouh, Nadir Miry, Rim Ouajdi, Siham Nasri, Larbi Benradi, Mohamed Belahcen, Amal Bennani
{"title":"软组织尤因家族肿瘤1例报告。","authors":"Anass Haloui, Nassira Karich, Nada Akouh, Nadir Miry, Rim Ouajdi, Siham Nasri, Larbi Benradi, Mohamed Belahcen, Amal Bennani","doi":"10.11604/pamj.2025.51.55.39626","DOIUrl":null,"url":null,"abstract":"<p><p>The Ewing family tumors (EFT) of soft tissue represent a spectrum of neoplasms of uncertain histogenesis, arising in soft tissue without bone involvement. They include Extraskeletal Ewing Sarcoma and Primitive Neuroectodermal Tumor. These tumors are morphologically indistinguishable from Ewing sarcoma of the skeletal system. Known to be translocation-associated neoplasms, they share a common non-random translocation leading to the fusion of the EWSR1 gene on the 22q12 region, with one of the many members of the ETS family of transcription factors. Occurring mainly in adolescents and young men under the age of 30, EFT´s may arise virtually anywhere, but are most common in deep soft tissues of the extremities. The purpose of this work is to report a rare case of an EFT arising in the upper arm of a 14-year-old boy, who presented with a painful right arm mass evolving for 6 months, while highlighting the main histological, immunohistochemical and molecular features of this rare condition, along with an original flow chart of a relevant diagnostic approach for differential diagnosis.</p>","PeriodicalId":48190,"journal":{"name":"Pan African Medical Journal","volume":"51 ","pages":"55"},"PeriodicalIF":1.0000,"publicationDate":"2025-06-23","publicationTypes":"Journal Article","fieldsOfStudy":null,"isOpenAccess":false,"openAccessPdf":"https://www.ncbi.nlm.nih.gov/pmc/articles/PMC12433008/pdf/","citationCount":"0","resultStr":"{\"title\":\"Ewing family tumors of soft tissue: a case report.\",\"authors\":\"Anass Haloui, Nassira Karich, Nada Akouh, Nadir Miry, Rim Ouajdi, Siham Nasri, Larbi Benradi, Mohamed Belahcen, Amal Bennani\",\"doi\":\"10.11604/pamj.2025.51.55.39626\",\"DOIUrl\":null,\"url\":null,\"abstract\":\"<p><p>The Ewing family tumors (EFT) of soft tissue represent a spectrum of neoplasms of uncertain histogenesis, arising in soft tissue without bone involvement. They include Extraskeletal Ewing Sarcoma and Primitive Neuroectodermal Tumor. These tumors are morphologically indistinguishable from Ewing sarcoma of the skeletal system. Known to be translocation-associated neoplasms, they share a common non-random translocation leading to the fusion of the EWSR1 gene on the 22q12 region, with one of the many members of the ETS family of transcription factors. Occurring mainly in adolescents and young men under the age of 30, EFT´s may arise virtually anywhere, but are most common in deep soft tissues of the extremities. The purpose of this work is to report a rare case of an EFT arising in the upper arm of a 14-year-old boy, who presented with a painful right arm mass evolving for 6 months, while highlighting the main histological, immunohistochemical and molecular features of this rare condition, along with an original flow chart of a relevant diagnostic approach for differential diagnosis.</p>\",\"PeriodicalId\":48190,\"journal\":{\"name\":\"Pan African Medical Journal\",\"volume\":\"51 \",\"pages\":\"55\"},\"PeriodicalIF\":1.0000,\"publicationDate\":\"2025-06-23\",\"publicationTypes\":\"Journal Article\",\"fieldsOfStudy\":null,\"isOpenAccess\":false,\"openAccessPdf\":\"https://www.ncbi.nlm.nih.gov/pmc/articles/PMC12433008/pdf/\",\"citationCount\":\"0\",\"resultStr\":null,\"platform\":\"Semanticscholar\",\"paperid\":null,\"PeriodicalName\":\"Pan African Medical Journal\",\"FirstCategoryId\":\"1085\",\"ListUrlMain\":\"https://doi.org/10.11604/pamj.2025.51.55.39626\",\"RegionNum\":0,\"RegionCategory\":null,\"ArticlePicture\":[],\"TitleCN\":null,\"AbstractTextCN\":null,\"PMCID\":null,\"EPubDate\":\"2025/1/1 0:00:00\",\"PubModel\":\"eCollection\",\"JCR\":\"Q4\",\"JCRName\":\"PUBLIC, ENVIRONMENTAL & OCCUPATIONAL HEALTH\",\"Score\":null,\"Total\":0}","platform":"Semanticscholar","paperid":null,"PeriodicalName":"Pan African Medical Journal","FirstCategoryId":"1085","ListUrlMain":"https://doi.org/10.11604/pamj.2025.51.55.39626","RegionNum":0,"RegionCategory":null,"ArticlePicture":[],"TitleCN":null,"AbstractTextCN":null,"PMCID":null,"EPubDate":"2025/1/1 0:00:00","PubModel":"eCollection","JCR":"Q4","JCRName":"PUBLIC, ENVIRONMENTAL & OCCUPATIONAL HEALTH","Score":null,"Total":0}
引用次数: 0

摘要

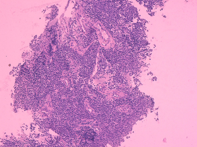
Ewing家族软组织肿瘤(EFT)代表了一种不确定组织发生的肿瘤谱,发生在没有骨累及的软组织中。它们包括骨骼外尤文氏肉瘤和原始神经外胚层肿瘤。这些肿瘤在形态上与骨骼系统的尤文氏肉瘤难以区分。已知易位相关肿瘤,它们具有共同的非随机易位,导致EWSR1基因在22q12区域与ETS家族转录因子中的一个成员融合。EFT主要发生在青少年和30岁以下的年轻男性中,几乎可以出现在任何地方,但最常见于四肢的深层软组织。本研究报告一例罕见的发生在14岁男孩上臂的EFT病例,他表现为右臂肿块疼痛发展了6个月,同时强调了这种罕见疾病的主要组织学,免疫组织化学和分子特征,以及相关诊断方法的原始流程图,用于鉴别诊断。
本文章由计算机程序翻译,如有差异,请以英文原文为准。

Ewing family tumors of soft tissue: a case report.

Ewing family tumors of soft tissue: a case report.

Ewing family tumors of soft tissue: a case report.

Ewing family tumors of soft tissue: a case report.

The Ewing family tumors (EFT) of soft tissue represent a spectrum of neoplasms of uncertain histogenesis, arising in soft tissue without bone involvement. They include Extraskeletal Ewing Sarcoma and Primitive Neuroectodermal Tumor. These tumors are morphologically indistinguishable from Ewing sarcoma of the skeletal system. Known to be translocation-associated neoplasms, they share a common non-random translocation leading to the fusion of the EWSR1 gene on the 22q12 region, with one of the many members of the ETS family of transcription factors. Occurring mainly in adolescents and young men under the age of 30, EFT´s may arise virtually anywhere, but are most common in deep soft tissues of the extremities. The purpose of this work is to report a rare case of an EFT arising in the upper arm of a 14-year-old boy, who presented with a painful right arm mass evolving for 6 months, while highlighting the main histological, immunohistochemical and molecular features of this rare condition, along with an original flow chart of a relevant diagnostic approach for differential diagnosis.

求助全文
通过发布文献求助,成功后即可免费获取论文全文。 去求助
来源期刊
Pan African Medical Journal
Pan African Medical Journal PUBLIC, ENVIRONMENTAL & OCCUPATIONAL HEALTH-
CiteScore
1.80
自引率
0.00%
发文量
691
×
引用
GB/T 7714-2015
复制
MLA
复制
APA
复制
导出至
BibTeX EndNote RefMan NoteFirst NoteExpress
×
提示
您的信息不完整,为了账户安全,请先补充。
现在去补充
×
提示
您因"违规操作"
具体请查看互助需知
我知道了
×
提示
确定
请完成安全验证×
copy
已复制链接
快去分享给好友吧!
我知道了
右上角分享
点击右上角分享
0
联系我们:info@booksci.cn Book学术提供免费学术资源搜索服务,方便国内外学者检索中英文文献。致力于提供最便捷和优质的服务体验。 Copyright © 2023 布克学术 All rights reserved.
京ICP备2023020795号-1
ghs 京公网安备 11010802042870号
Book学术文献互助
Book学术文献互助群
群 号:604180095
Book学术官方微信