多灶性甲状腺髓样和乳头状癌发生碰撞肿瘤1例报告。

IF 0.5 Q4 PATHOLOGY
Case Reports in Pathology Pub Date : 2025-09-05 eCollection Date: 2025-01-01 DOI:10.1155/crip/1510607
Sayali Gadre, Raji T Naidu, Prachi R Gaddam, Neha Mittal, Susan Cherian
{"title":"多灶性甲状腺髓样和乳头状癌发生碰撞肿瘤1例报告。","authors":"Sayali Gadre, Raji T Naidu, Prachi R Gaddam, Neha Mittal, Susan Cherian","doi":"10.1155/crip/1510607","DOIUrl":null,"url":null,"abstract":"<p><p>Collision tumors are rare tumors comprising two morphologically distinct tumors within the same organ without histological admixture. Thyroid collision tumors are extremely rare. We present a case of a 64-year-old male patient with a radiologically suspicious, TI-RADS-TR4 lesion in the right lobe of the thyroid. Fine needle aspiration cytology (FNAC) from the lesion was diagnosed as medullary thyroid carcinoma. Total thyroidectomy with central and right lateral neck dissection was performed. On histopathological evaluation, a collision tumor was identified. Components of the collision tumor were multifocal medullary thyroid carcinoma (MTC) and multifocal infiltrative follicular variant of papillary thyroid carcinoma (PTC). Several hypotheses have been suggested regarding the pathogenesis of the collision tumor. Further management and prognosis of the tumor depend on the component with the higher stage and more aggressive behavior. The case report emphasizes the need for thorough sampling of uninvolved areas in the specimen for microscopic evaluation and staging of each component.</p>","PeriodicalId":45638,"journal":{"name":"Case Reports in Pathology","volume":"2025 ","pages":"1510607"},"PeriodicalIF":0.5000,"publicationDate":"2025-09-05","publicationTypes":"Journal Article","fieldsOfStudy":null,"isOpenAccess":false,"openAccessPdf":"https://www.ncbi.nlm.nih.gov/pmc/articles/PMC12431820/pdf/","citationCount":"0","resultStr":"{\"title\":\"Multifocal Medullary and Papillary Thyroid Carcinoma Occurring as a Collision Tumor: A Case Report.\",\"authors\":\"Sayali Gadre, Raji T Naidu, Prachi R Gaddam, Neha Mittal, Susan Cherian\",\"doi\":\"10.1155/crip/1510607\",\"DOIUrl\":null,\"url\":null,\"abstract\":\"<p><p>Collision tumors are rare tumors comprising two morphologically distinct tumors within the same organ without histological admixture. Thyroid collision tumors are extremely rare. We present a case of a 64-year-old male patient with a radiologically suspicious, TI-RADS-TR4 lesion in the right lobe of the thyroid. Fine needle aspiration cytology (FNAC) from the lesion was diagnosed as medullary thyroid carcinoma. Total thyroidectomy with central and right lateral neck dissection was performed. On histopathological evaluation, a collision tumor was identified. Components of the collision tumor were multifocal medullary thyroid carcinoma (MTC) and multifocal infiltrative follicular variant of papillary thyroid carcinoma (PTC). Several hypotheses have been suggested regarding the pathogenesis of the collision tumor. Further management and prognosis of the tumor depend on the component with the higher stage and more aggressive behavior. The case report emphasizes the need for thorough sampling of uninvolved areas in the specimen for microscopic evaluation and staging of each component.</p>\",\"PeriodicalId\":45638,\"journal\":{\"name\":\"Case Reports in Pathology\",\"volume\":\"2025 \",\"pages\":\"1510607\"},\"PeriodicalIF\":0.5000,\"publicationDate\":\"2025-09-05\",\"publicationTypes\":\"Journal Article\",\"fieldsOfStudy\":null,\"isOpenAccess\":false,\"openAccessPdf\":\"https://www.ncbi.nlm.nih.gov/pmc/articles/PMC12431820/pdf/\",\"citationCount\":\"0\",\"resultStr\":null,\"platform\":\"Semanticscholar\",\"paperid\":null,\"PeriodicalName\":\"Case Reports in Pathology\",\"FirstCategoryId\":\"1085\",\"ListUrlMain\":\"https://doi.org/10.1155/crip/1510607\",\"RegionNum\":0,\"RegionCategory\":null,\"ArticlePicture\":[],\"TitleCN\":null,\"AbstractTextCN\":null,\"PMCID\":null,\"EPubDate\":\"2025/1/1 0:00:00\",\"PubModel\":\"eCollection\",\"JCR\":\"Q4\",\"JCRName\":\"PATHOLOGY\",\"Score\":null,\"Total\":0}","platform":"Semanticscholar","paperid":null,"PeriodicalName":"Case Reports in Pathology","FirstCategoryId":"1085","ListUrlMain":"https://doi.org/10.1155/crip/1510607","RegionNum":0,"RegionCategory":null,"ArticlePicture":[],"TitleCN":null,"AbstractTextCN":null,"PMCID":null,"EPubDate":"2025/1/1 0:00:00","PubModel":"eCollection","JCR":"Q4","JCRName":"PATHOLOGY","Score":null,"Total":0}
引用次数: 0

摘要

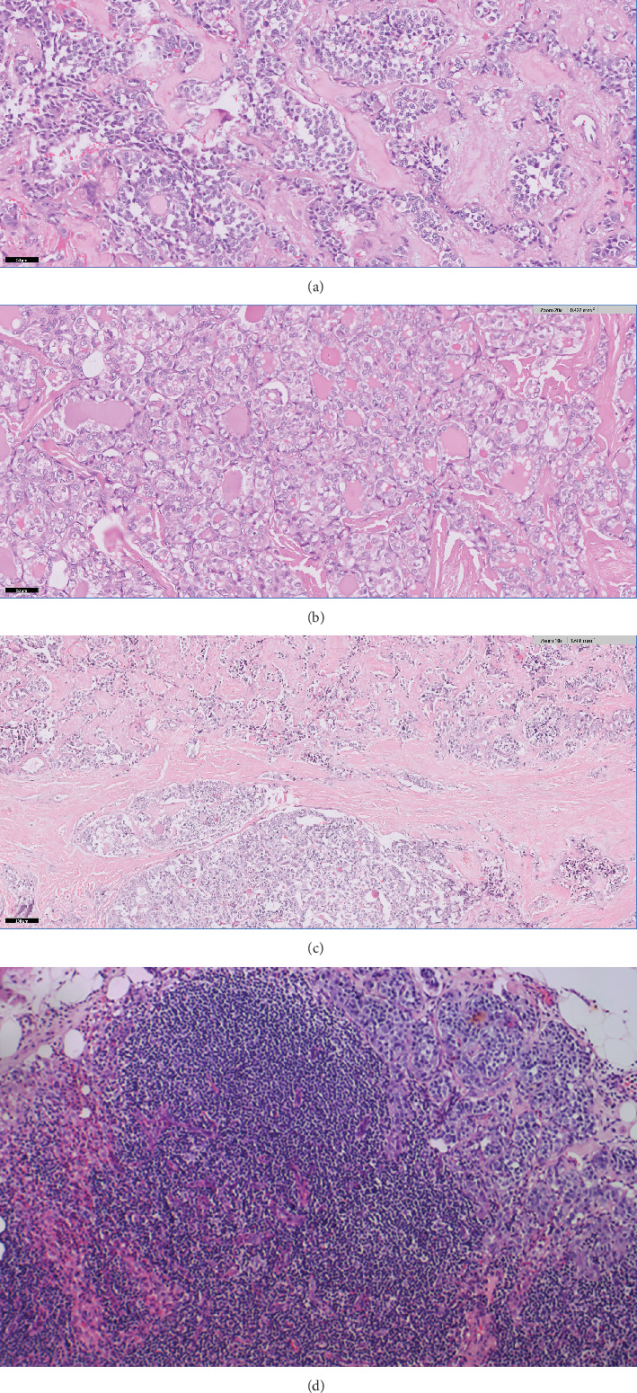
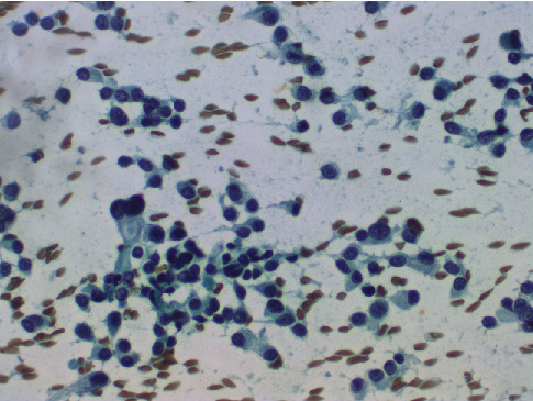
碰撞瘤是一种罕见的肿瘤,由两个形态不同的肿瘤在同一器官内组成,没有组织学上的混杂。甲状腺碰撞瘤极为罕见。我们报告一例64岁男性患者放射学上可疑的甲状腺右叶TI-RADS-TR4病变。细针穿刺细胞学检查诊断为甲状腺髓样癌。行甲状腺全切除术并中央及右侧颈外侧清扫术。经组织病理学检查,发现碰撞瘤。碰撞肿瘤的组成为多灶性甲状腺髓样癌(MTC)和多灶性浸润性滤泡变异型甲状腺乳头状癌(PTC)。关于碰撞瘤的发病机制,人们提出了几种假说。肿瘤的进一步处理和预后取决于具有较高分期和更具侵袭性行为的成分。病例报告强调需要对标本中未涉及的区域进行彻底采样,以便对每个组成部分进行显微镜评估和分期。
本文章由计算机程序翻译,如有差异,请以英文原文为准。

Multifocal Medullary and Papillary Thyroid Carcinoma Occurring as a Collision Tumor: A Case Report.

Multifocal Medullary and Papillary Thyroid Carcinoma Occurring as a Collision Tumor: A Case Report.

Multifocal Medullary and Papillary Thyroid Carcinoma Occurring as a Collision Tumor: A Case Report.

Multifocal Medullary and Papillary Thyroid Carcinoma Occurring as a Collision Tumor: A Case Report.

Collision tumors are rare tumors comprising two morphologically distinct tumors within the same organ without histological admixture. Thyroid collision tumors are extremely rare. We present a case of a 64-year-old male patient with a radiologically suspicious, TI-RADS-TR4 lesion in the right lobe of the thyroid. Fine needle aspiration cytology (FNAC) from the lesion was diagnosed as medullary thyroid carcinoma. Total thyroidectomy with central and right lateral neck dissection was performed. On histopathological evaluation, a collision tumor was identified. Components of the collision tumor were multifocal medullary thyroid carcinoma (MTC) and multifocal infiltrative follicular variant of papillary thyroid carcinoma (PTC). Several hypotheses have been suggested regarding the pathogenesis of the collision tumor. Further management and prognosis of the tumor depend on the component with the higher stage and more aggressive behavior. The case report emphasizes the need for thorough sampling of uninvolved areas in the specimen for microscopic evaluation and staging of each component.

求助全文
通过发布文献求助,成功后即可免费获取论文全文。 去求助
来源期刊
自引率
0.00%
发文量
20
审稿时长
12 weeks
×
引用
GB/T 7714-2015
复制
MLA
复制
APA
复制
导出至
BibTeX EndNote RefMan NoteFirst NoteExpress
×
提示
您的信息不完整,为了账户安全,请先补充。
现在去补充
×
提示
您因"违规操作"
具体请查看互助需知
我知道了
×
提示
确定
请完成安全验证×
copy
已复制链接
快去分享给好友吧!
我知道了
右上角分享
点击右上角分享
0
联系我们:info@booksci.cn Book学术提供免费学术资源搜索服务,方便国内外学者检索中英文文献。致力于提供最便捷和优质的服务体验。 Copyright © 2023 布克学术 All rights reserved.
京ICP备2023020795号-1
ghs 京公网安备 11010802042870号
Book学术文献互助
Book学术文献互助群
群 号:604180095
Book学术官方微信