基于mri对acl损伤与正常膝关节腓总神经的评估:内外外侧半月板修复的意义。

IF 1.8 Q3 ORTHOPEDICS
Mounika N S Chodavarapu, D Lakshmi Manjula, Srinivas B S Kambhampati, Chintakunta Gurivi Reddy, Shyam Kumar Chinta
{"title":"基于mri对acl损伤与正常膝关节腓总神经的评估:内外外侧半月板修复的意义。","authors":"Mounika N S Chodavarapu, D Lakshmi Manjula, Srinivas B S Kambhampati, Chintakunta Gurivi Reddy, Shyam Kumar Chinta","doi":"10.22038/ABJS.2025.84236.3831","DOIUrl":null,"url":null,"abstract":"<p><strong>Objectives: </strong>This study investigates the risk of CPN injury by measuring the nerve's proximity to the trajectory of a straight needle inserted from the anteromedial portal at the knee joint level during inside-out lateral meniscus repairs in both ACL-injured and normal knees.</p><p><strong>Methods: </strong>In this retrospective study, we examined MRI scans of 30 ACL-injured knees and 30 normal knees. A reference line was drawn 1 cm medial to the patellar tendon at the joint level, extending to the lateral margin of the popliteus and continuing posteriorly. Perpendicular distances from this line to the CPN were measured to compare anatomical variations between the groups. These measurements were analyzed using paired t-tests, with a p-value of less than 0.05, which is considered statistically significant.</p><p><strong>Results: </strong>Analysis of 60 MRI scans revealed that the CPN is located significantly closer to the reference line in ACL-injured knees (mean distance: 1.59 cm) compared to normal knees (mean distance: 2.01 cm), with a p-value of less than 0.005. This finding suggests a higher potential risk of nerve injury in ACL-injured knees during inside-out meniscal repair procedures.</p><p><strong>Conclusion: </strong>The CPN is located significantly closer to potential surgical paths in ACL-injured knees compared to normal knees. These findings highlight the importance of meticulous surgical planning and technique adjustments to minimize the risk of CPN injury during inside-out meniscus repairs especially when using straight needles.</p>","PeriodicalId":46704,"journal":{"name":"Archives of Bone and Joint Surgery-ABJS","volume":"13 8","pages":"479-486"},"PeriodicalIF":1.8000,"publicationDate":"2025-01-01","publicationTypes":"Journal Article","fieldsOfStudy":null,"isOpenAccess":false,"openAccessPdf":"https://www.ncbi.nlm.nih.gov/pmc/articles/PMC12432831/pdf/","citationCount":"0","resultStr":"{\"title\":\"MRI-Based Assessment of the Common Peroneal Nerve in ACL-Injured Versus Normal Knees: Implications for Inside-Out Lateral Meniscus Repair.\",\"authors\":\"Mounika N S Chodavarapu, D Lakshmi Manjula, Srinivas B S Kambhampati, Chintakunta Gurivi Reddy, Shyam Kumar Chinta\",\"doi\":\"10.22038/ABJS.2025.84236.3831\",\"DOIUrl\":null,\"url\":null,\"abstract\":\"<p><strong>Objectives: </strong>This study investigates the risk of CPN injury by measuring the nerve's proximity to the trajectory of a straight needle inserted from the anteromedial portal at the knee joint level during inside-out lateral meniscus repairs in both ACL-injured and normal knees.</p><p><strong>Methods: </strong>In this retrospective study, we examined MRI scans of 30 ACL-injured knees and 30 normal knees. A reference line was drawn 1 cm medial to the patellar tendon at the joint level, extending to the lateral margin of the popliteus and continuing posteriorly. Perpendicular distances from this line to the CPN were measured to compare anatomical variations between the groups. These measurements were analyzed using paired t-tests, with a p-value of less than 0.05, which is considered statistically significant.</p><p><strong>Results: </strong>Analysis of 60 MRI scans revealed that the CPN is located significantly closer to the reference line in ACL-injured knees (mean distance: 1.59 cm) compared to normal knees (mean distance: 2.01 cm), with a p-value of less than 0.005. This finding suggests a higher potential risk of nerve injury in ACL-injured knees during inside-out meniscal repair procedures.</p><p><strong>Conclusion: </strong>The CPN is located significantly closer to potential surgical paths in ACL-injured knees compared to normal knees. These findings highlight the importance of meticulous surgical planning and technique adjustments to minimize the risk of CPN injury during inside-out meniscus repairs especially when using straight needles.</p>\",\"PeriodicalId\":46704,\"journal\":{\"name\":\"Archives of Bone and Joint Surgery-ABJS\",\"volume\":\"13 8\",\"pages\":\"479-486\"},\"PeriodicalIF\":1.8000,\"publicationDate\":\"2025-01-01\",\"publicationTypes\":\"Journal Article\",\"fieldsOfStudy\":null,\"isOpenAccess\":false,\"openAccessPdf\":\"https://www.ncbi.nlm.nih.gov/pmc/articles/PMC12432831/pdf/\",\"citationCount\":\"0\",\"resultStr\":null,\"platform\":\"Semanticscholar\",\"paperid\":null,\"PeriodicalName\":\"Archives of Bone and Joint Surgery-ABJS\",\"FirstCategoryId\":\"1085\",\"ListUrlMain\":\"https://doi.org/10.22038/ABJS.2025.84236.3831\",\"RegionNum\":0,\"RegionCategory\":null,\"ArticlePicture\":[],\"TitleCN\":null,\"AbstractTextCN\":null,\"PMCID\":null,\"EPubDate\":\"\",\"PubModel\":\"\",\"JCR\":\"Q3\",\"JCRName\":\"ORTHOPEDICS\",\"Score\":null,\"Total\":0}","platform":"Semanticscholar","paperid":null,"PeriodicalName":"Archives of Bone and Joint Surgery-ABJS","FirstCategoryId":"1085","ListUrlMain":"https://doi.org/10.22038/ABJS.2025.84236.3831","RegionNum":0,"RegionCategory":null,"ArticlePicture":[],"TitleCN":null,"AbstractTextCN":null,"PMCID":null,"EPubDate":"","PubModel":"","JCR":"Q3","JCRName":"ORTHOPEDICS","Score":null,"Total":0}
引用次数: 0

摘要

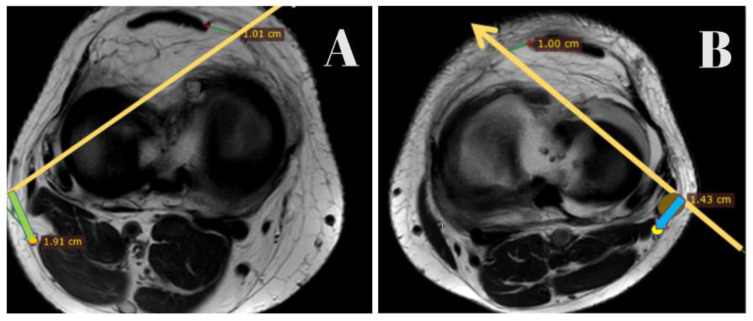
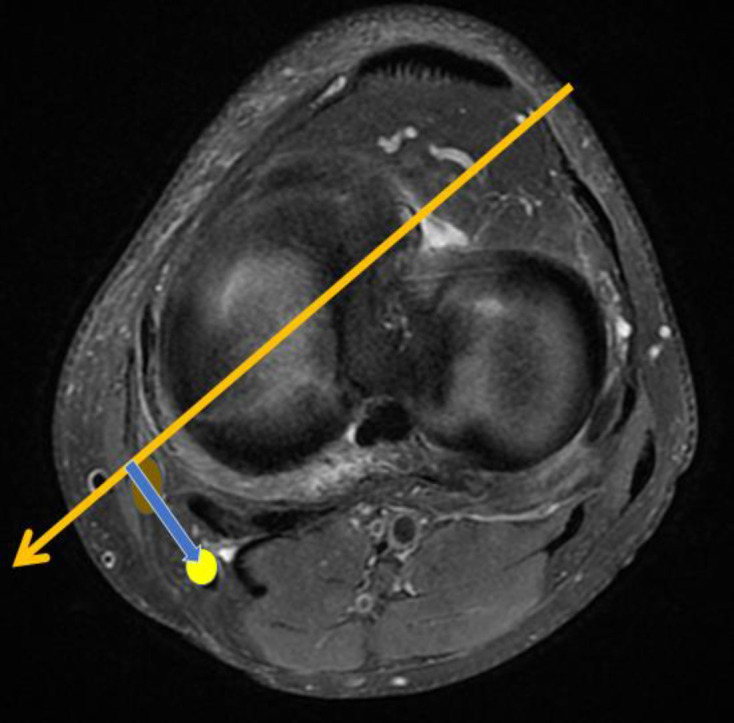
目的:本研究通过测量从前内侧门静脉在膝关节水平插入直针轨迹的神经接近度,在acl损伤和正常膝关节的外侧半月板修复过程中调查CPN损伤的风险。方法:在这项回顾性研究中,我们检查了30个acl损伤膝盖和30个正常膝盖的MRI扫描。在髌腱内侧1 cm处的关节水平处画一条基准线,延伸至腘肌外侧缘并继续向后延伸。测量从这条线到CPN的垂直距离,比较各组之间的解剖差异。这些测量结果采用配对t检验进行分析,p值小于0.05,认为具有统计学意义。结果:60次MRI扫描分析显示,与正常膝关节(平均距离2.01 cm)相比,acl损伤膝关节(平均距离1.59 cm)的CPN位置明显靠近参考线,p值小于0.005。这一发现表明,在内外半月板修复过程中,acl损伤的膝关节神经损伤的潜在风险更高。结论:与正常膝关节相比,acl损伤膝关节的CPN位置明显靠近手术路径。这些发现强调了细致的手术计划和技术调整的重要性,以尽量减少CPN损伤的风险在半月板内外修复,特别是当使用直针。
本文章由计算机程序翻译,如有差异,请以英文原文为准。

MRI-Based Assessment of the Common Peroneal Nerve in ACL-Injured Versus Normal Knees: Implications for Inside-Out Lateral Meniscus Repair.

MRI-Based Assessment of the Common Peroneal Nerve in ACL-Injured Versus Normal Knees: Implications for Inside-Out Lateral Meniscus Repair.

MRI-Based Assessment of the Common Peroneal Nerve in ACL-Injured Versus Normal Knees: Implications for Inside-Out Lateral Meniscus Repair.

Objectives: This study investigates the risk of CPN injury by measuring the nerve's proximity to the trajectory of a straight needle inserted from the anteromedial portal at the knee joint level during inside-out lateral meniscus repairs in both ACL-injured and normal knees.

Methods: In this retrospective study, we examined MRI scans of 30 ACL-injured knees and 30 normal knees. A reference line was drawn 1 cm medial to the patellar tendon at the joint level, extending to the lateral margin of the popliteus and continuing posteriorly. Perpendicular distances from this line to the CPN were measured to compare anatomical variations between the groups. These measurements were analyzed using paired t-tests, with a p-value of less than 0.05, which is considered statistically significant.

Results: Analysis of 60 MRI scans revealed that the CPN is located significantly closer to the reference line in ACL-injured knees (mean distance: 1.59 cm) compared to normal knees (mean distance: 2.01 cm), with a p-value of less than 0.005. This finding suggests a higher potential risk of nerve injury in ACL-injured knees during inside-out meniscal repair procedures.

Conclusion: The CPN is located significantly closer to potential surgical paths in ACL-injured knees compared to normal knees. These findings highlight the importance of meticulous surgical planning and technique adjustments to minimize the risk of CPN injury during inside-out meniscus repairs especially when using straight needles.

求助全文
通过发布文献求助,成功后即可免费获取论文全文。 去求助
来源期刊
CiteScore
2.30
自引率
0.00%
发文量
128
期刊介绍: The Archives of Bone and Joint Surgery (ABJS) aims to encourage a better understanding of all aspects of Orthopedic Sciences. The journal accepts scientific papers including original research, review article, short communication, case report, and letter to the editor in all fields of bone, joint, musculoskeletal surgery and related researches. The Archives of Bone and Joint Surgery (ABJS) will publish papers in all aspects of today`s modern orthopedic sciences including: Arthroscopy, Arthroplasty, Sport Medicine, Reconstruction, Hand and Upper Extremity, Pediatric Orthopedics, Spine, Trauma, Foot and Ankle, Tumor, Joint Rheumatic Disease, Skeletal Imaging, Orthopedic Physical Therapy, Rehabilitation, Orthopedic Basic Sciences (Biomechanics, Biotechnology, Biomaterial..).
×
引用
GB/T 7714-2015
复制
MLA
复制
APA
复制
导出至
BibTeX EndNote RefMan NoteFirst NoteExpress
×
提示
您的信息不完整,为了账户安全,请先补充。
现在去补充
×
提示
您因"违规操作"
具体请查看互助需知
我知道了
×
提示
确定
请完成安全验证×
copy
已复制链接
快去分享给好友吧!
我知道了
右上角分享
点击右上角分享
0
联系我们:info@booksci.cn Book学术提供免费学术资源搜索服务,方便国内外学者检索中英文文献。致力于提供最便捷和优质的服务体验。 Copyright © 2023 布克学术 All rights reserved.
京ICP备2023020795号-1
ghs 京公网安备 11010802042870号
Book学术文献互助
Book学术文献互助群
群 号:604180095
Book学术官方微信