宫颈腺纤维瘤:绝经后出血的罕见原因。

IF 1 Q3 OBSTETRICS & GYNECOLOGY
Journal of Mid-life Health Pub Date : 2025-07-01 Epub Date: 2025-09-05 DOI:10.4103/jmh.jmh_71_25
Navdeep Kaur, Akanksha Agarwal, Bharti Sharma, Nalini Gupta
{"title":"宫颈腺纤维瘤:绝经后出血的罕见原因。","authors":"Navdeep Kaur, Akanksha Agarwal, Bharti Sharma, Nalini Gupta","doi":"10.4103/jmh.jmh_71_25","DOIUrl":null,"url":null,"abstract":"<p><p>Adenofibroma of the cervix is an extremely rare benign Mullerian mixed tumor, which contains both benign epithelial and mesenchymal tissue. The WHO 2020 classification of the female genital tract does not even include adenofibroma as a separate entity. A postmenopausal lady in her mid-50s presented with bleeding per vagina. On examination, there were multiple cervical polyps. Histopathology of cervical polyps suggested adenofibroma of the cervix due to the absence of mitotic figures and cellular atypia. Sometimes even well-differentiated adenosarcomas can be misdiagnosed as adenofibroma. Immunohistochemistry markers help in differentiating adenosarcoma from adenofibroma. There are no typical clinical or imaging characteristics that strongly suggest the diagnosis. Although adenofibroma is a benign tumor; still it has been found to invade the myometrium and pelvic veins, relapse, and metastasize. It is crucial to perform a detailed histopathological examination of all the cervical tumors not only to exclude malignant lesions but also to exclude adenofibroma regardless of clinical symptoms.</p>","PeriodicalId":37717,"journal":{"name":"Journal of Mid-life Health","volume":"16 3","pages":"321-323"},"PeriodicalIF":1.0000,"publicationDate":"2025-07-01","publicationTypes":"Journal Article","fieldsOfStudy":null,"isOpenAccess":false,"openAccessPdf":"https://www.ncbi.nlm.nih.gov/pmc/articles/PMC12431692/pdf/","citationCount":"0","resultStr":"{\"title\":\"Cervical Adenofibroma: A Rare Cause for Postmenopausal Bleeding.\",\"authors\":\"Navdeep Kaur, Akanksha Agarwal, Bharti Sharma, Nalini Gupta\",\"doi\":\"10.4103/jmh.jmh_71_25\",\"DOIUrl\":null,\"url\":null,\"abstract\":\"<p><p>Adenofibroma of the cervix is an extremely rare benign Mullerian mixed tumor, which contains both benign epithelial and mesenchymal tissue. The WHO 2020 classification of the female genital tract does not even include adenofibroma as a separate entity. A postmenopausal lady in her mid-50s presented with bleeding per vagina. On examination, there were multiple cervical polyps. Histopathology of cervical polyps suggested adenofibroma of the cervix due to the absence of mitotic figures and cellular atypia. Sometimes even well-differentiated adenosarcomas can be misdiagnosed as adenofibroma. Immunohistochemistry markers help in differentiating adenosarcoma from adenofibroma. There are no typical clinical or imaging characteristics that strongly suggest the diagnosis. Although adenofibroma is a benign tumor; still it has been found to invade the myometrium and pelvic veins, relapse, and metastasize. It is crucial to perform a detailed histopathological examination of all the cervical tumors not only to exclude malignant lesions but also to exclude adenofibroma regardless of clinical symptoms.</p>\",\"PeriodicalId\":37717,\"journal\":{\"name\":\"Journal of Mid-life Health\",\"volume\":\"16 3\",\"pages\":\"321-323\"},\"PeriodicalIF\":1.0000,\"publicationDate\":\"2025-07-01\",\"publicationTypes\":\"Journal Article\",\"fieldsOfStudy\":null,\"isOpenAccess\":false,\"openAccessPdf\":\"https://www.ncbi.nlm.nih.gov/pmc/articles/PMC12431692/pdf/\",\"citationCount\":\"0\",\"resultStr\":null,\"platform\":\"Semanticscholar\",\"paperid\":null,\"PeriodicalName\":\"Journal of Mid-life Health\",\"FirstCategoryId\":\"1085\",\"ListUrlMain\":\"https://doi.org/10.4103/jmh.jmh_71_25\",\"RegionNum\":0,\"RegionCategory\":null,\"ArticlePicture\":[],\"TitleCN\":null,\"AbstractTextCN\":null,\"PMCID\":null,\"EPubDate\":\"2025/9/5 0:00:00\",\"PubModel\":\"Epub\",\"JCR\":\"Q3\",\"JCRName\":\"OBSTETRICS & GYNECOLOGY\",\"Score\":null,\"Total\":0}","platform":"Semanticscholar","paperid":null,"PeriodicalName":"Journal of Mid-life Health","FirstCategoryId":"1085","ListUrlMain":"https://doi.org/10.4103/jmh.jmh_71_25","RegionNum":0,"RegionCategory":null,"ArticlePicture":[],"TitleCN":null,"AbstractTextCN":null,"PMCID":null,"EPubDate":"2025/9/5 0:00:00","PubModel":"Epub","JCR":"Q3","JCRName":"OBSTETRICS & GYNECOLOGY","Score":null,"Total":0}
引用次数: 0

摘要

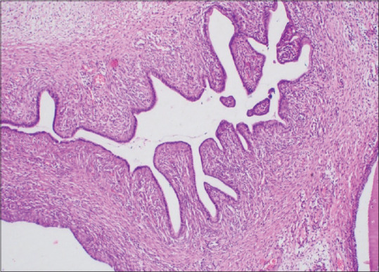
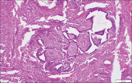
宫颈腺纤维瘤是一种极为罕见的良性苗勒氏混合性肿瘤,包括良性上皮组织和间质组织。世卫组织2020年对女性生殖道的分类甚至没有将腺纤维瘤作为一个单独的实体。一位50多岁的绝经后女性表现为每个阴道出血。检查发现多发性宫颈息肉。宫颈息肉的组织病理学提示宫颈腺纤维瘤,由于没有有丝分裂图形和细胞异型性。有时甚至分化良好的腺肉瘤也可能被误诊为腺纤维瘤。免疫组织化学标记有助于区分腺肉瘤和腺纤维瘤。没有典型的临床或影像学特征强烈提示诊断。虽然腺纤维瘤是一种良性肿瘤;然而,它仍被发现侵袭子宫肌层和盆腔静脉,复发和转移。对所有宫颈肿瘤进行详细的组织病理学检查是至关重要的,不仅可以排除恶性病变,而且可以排除腺纤维瘤,无论临床症状如何。
本文章由计算机程序翻译,如有差异,请以英文原文为准。

Cervical Adenofibroma: A Rare Cause for Postmenopausal Bleeding.

Cervical Adenofibroma: A Rare Cause for Postmenopausal Bleeding.

Cervical Adenofibroma: A Rare Cause for Postmenopausal Bleeding.

Adenofibroma of the cervix is an extremely rare benign Mullerian mixed tumor, which contains both benign epithelial and mesenchymal tissue. The WHO 2020 classification of the female genital tract does not even include adenofibroma as a separate entity. A postmenopausal lady in her mid-50s presented with bleeding per vagina. On examination, there were multiple cervical polyps. Histopathology of cervical polyps suggested adenofibroma of the cervix due to the absence of mitotic figures and cellular atypia. Sometimes even well-differentiated adenosarcomas can be misdiagnosed as adenofibroma. Immunohistochemistry markers help in differentiating adenosarcoma from adenofibroma. There are no typical clinical or imaging characteristics that strongly suggest the diagnosis. Although adenofibroma is a benign tumor; still it has been found to invade the myometrium and pelvic veins, relapse, and metastasize. It is crucial to perform a detailed histopathological examination of all the cervical tumors not only to exclude malignant lesions but also to exclude adenofibroma regardless of clinical symptoms.

求助全文
通过发布文献求助,成功后即可免费获取论文全文。 去求助
来源期刊
Journal of Mid-life Health
Journal of Mid-life Health Social Sciences-Health (social science)
CiteScore
1.70
自引率
9.10%
发文量
39
审稿时长
43 weeks
期刊介绍: Journal of mid-life health is the official journal of the Indian Menopause society published Quarterly in January, April, July and October. It is peer reviewed, scientific journal of mid-life health and its problems. It includes all aspects of mid-life health, preventive as well as curative. The journal publishes on subjects such as gynecology, neurology, geriatrics, psychiatry, endocrinology, urology, andrology, psychology, healthy ageing, cardiovascular health, bone health, quality of life etc. as relevant of men and women in their midlife. The Journal provides a visible platform to the researchers as well as clinicians to publish their experiences in this area thereby helping in the promotion of mid-life health leading to healthy ageing, growing need due to increasing life expectancy. The Editorial team has maintained high standards and published original research papers, case reports and review articles from the best of the best contributors both national & international, consistently so that now, it has become a great tool in the hands of menopause practitioners.
×
引用
GB/T 7714-2015
复制
MLA
复制
APA
复制
导出至
BibTeX EndNote RefMan NoteFirst NoteExpress
×
提示
您的信息不完整,为了账户安全,请先补充。
现在去补充
×
提示
您因"违规操作"
具体请查看互助需知
我知道了
×
提示
确定
请完成安全验证×
copy
已复制链接
快去分享给好友吧!
我知道了
右上角分享
点击右上角分享
0
联系我们:info@booksci.cn Book学术提供免费学术资源搜索服务,方便国内外学者检索中英文文献。致力于提供最便捷和优质的服务体验。 Copyright © 2023 布克学术 All rights reserved.
京ICP备2023020795号-1
ghs 京公网安备 11010802042870号
Book学术文献互助
Book学术文献互助群
群 号:604180095
Book学术官方微信