尿面综合征是排尿功能障碍的一种表现性和揭露性症状:病例报告和文献回顾。

Case Reports in Urology Pub Date : 2025-09-05 eCollection Date: 2025-01-01 DOI:10.1155/criu/5548217
Fawaz Alkeraithe, Waleed Altulayqi, Mutasim Alkhalifah, Faisal Alasmari, Mohammad Asiri, Ahmad Alhazmi
{"title":"尿面综合征是排尿功能障碍的一种表现性和揭露性症状:病例报告和文献回顾。","authors":"Fawaz Alkeraithe, Waleed Altulayqi, Mutasim Alkhalifah, Faisal Alasmari, Mohammad Asiri, Ahmad Alhazmi","doi":"10.1155/criu/5548217","DOIUrl":null,"url":null,"abstract":"<p><p>Urofacial syndrome (UFS) is a rare autosomal recessive disorder characterized by voiding dysfunction, inverted facial expressions when smiling, and potential mutations in LRIG2 or HPSE2 genes. We report two sisters diagnosed with UFS who were managed using sacral neuromodulation (SNM). The first, aged 24, had recurrent UTIs, chronic urinary retention, and a trabeculated bladder without vesicoureteral reflux (VUR). Genetic testing identified a homozygous LRIG2 variant. Following SNM, her voiding function improved, reducing the frequency of catheterization. The second patient, aged 27, presented with a Grade 5 left-sided VUR, severe hydronephrosis, and a nonfunctioning left kidney. Urodynamic studies revealed an acontractile bladder. Post-SNM, her postvoid residual decreased to 30 mL, allowing independent voiding. Both displayed the hallmark inverted facial grimace. Diagnostic imaging and urodynamics confirmed neurogenic bladder, excluding spinal anomalies. Management included clean intermittent catheterization (CIC) and SNM, which enhanced bladder emptying and reduced catheter dependence. This case highlights SNM as a promising therapeutic option in UFS, improving voiding efficiency and quality of life. Early recognition of the distinctive facial expression is critical to prevent upper tract damage. Urologists should suspect UFS in patients with voiding dysfunction and abnormal facial expressions, considering SNM as a viable intervention. Further studies on SNM's role in UFS are warranted.</p>","PeriodicalId":30323,"journal":{"name":"Case Reports in Urology","volume":"2025 ","pages":"5548217"},"PeriodicalIF":0.0000,"publicationDate":"2025-09-05","publicationTypes":"Journal Article","fieldsOfStudy":null,"isOpenAccess":false,"openAccessPdf":"https://www.ncbi.nlm.nih.gov/pmc/articles/PMC12431806/pdf/","citationCount":"0","resultStr":"{\"title\":\"Urofacial Syndrome, an Expressive and Unmasking Sign of Voiding Dysfunction: Case Report and Review of the Literature.\",\"authors\":\"Fawaz Alkeraithe, Waleed Altulayqi, Mutasim Alkhalifah, Faisal Alasmari, Mohammad Asiri, Ahmad Alhazmi\",\"doi\":\"10.1155/criu/5548217\",\"DOIUrl\":null,\"url\":null,\"abstract\":\"<p><p>Urofacial syndrome (UFS) is a rare autosomal recessive disorder characterized by voiding dysfunction, inverted facial expressions when smiling, and potential mutations in LRIG2 or HPSE2 genes. We report two sisters diagnosed with UFS who were managed using sacral neuromodulation (SNM). The first, aged 24, had recurrent UTIs, chronic urinary retention, and a trabeculated bladder without vesicoureteral reflux (VUR). Genetic testing identified a homozygous LRIG2 variant. Following SNM, her voiding function improved, reducing the frequency of catheterization. The second patient, aged 27, presented with a Grade 5 left-sided VUR, severe hydronephrosis, and a nonfunctioning left kidney. Urodynamic studies revealed an acontractile bladder. Post-SNM, her postvoid residual decreased to 30 mL, allowing independent voiding. Both displayed the hallmark inverted facial grimace. Diagnostic imaging and urodynamics confirmed neurogenic bladder, excluding spinal anomalies. Management included clean intermittent catheterization (CIC) and SNM, which enhanced bladder emptying and reduced catheter dependence. This case highlights SNM as a promising therapeutic option in UFS, improving voiding efficiency and quality of life. Early recognition of the distinctive facial expression is critical to prevent upper tract damage. Urologists should suspect UFS in patients with voiding dysfunction and abnormal facial expressions, considering SNM as a viable intervention. Further studies on SNM's role in UFS are warranted.</p>\",\"PeriodicalId\":30323,\"journal\":{\"name\":\"Case Reports in Urology\",\"volume\":\"2025 \",\"pages\":\"5548217\"},\"PeriodicalIF\":0.0000,\"publicationDate\":\"2025-09-05\",\"publicationTypes\":\"Journal Article\",\"fieldsOfStudy\":null,\"isOpenAccess\":false,\"openAccessPdf\":\"https://www.ncbi.nlm.nih.gov/pmc/articles/PMC12431806/pdf/\",\"citationCount\":\"0\",\"resultStr\":null,\"platform\":\"Semanticscholar\",\"paperid\":null,\"PeriodicalName\":\"Case Reports in Urology\",\"FirstCategoryId\":\"1085\",\"ListUrlMain\":\"https://doi.org/10.1155/criu/5548217\",\"RegionNum\":0,\"RegionCategory\":null,\"ArticlePicture\":[],\"TitleCN\":null,\"AbstractTextCN\":null,\"PMCID\":null,\"EPubDate\":\"2025/1/1 0:00:00\",\"PubModel\":\"eCollection\",\"JCR\":\"\",\"JCRName\":\"\",\"Score\":null,\"Total\":0}","platform":"Semanticscholar","paperid":null,"PeriodicalName":"Case Reports in Urology","FirstCategoryId":"1085","ListUrlMain":"https://doi.org/10.1155/criu/5548217","RegionNum":0,"RegionCategory":null,"ArticlePicture":[],"TitleCN":null,"AbstractTextCN":null,"PMCID":null,"EPubDate":"2025/1/1 0:00:00","PubModel":"eCollection","JCR":"","JCRName":"","Score":null,"Total":0}
引用次数: 0

摘要

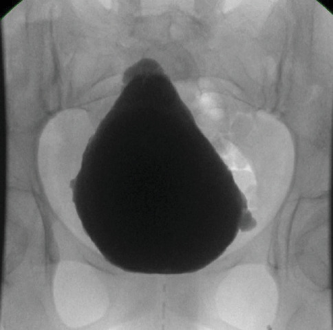
尿面综合征(UFS)是一种罕见的常染色体隐性遗传病,其特征为排尿功能障碍、微笑时面部表情倒置、LRIG2或HPSE2基因潜在突变。我们报告了两名被诊断为UFS的姐妹,她们使用骶骨神经调节(SNM)进行治疗。第一位患者,24岁,患有复发性尿路感染,慢性尿潴留和膀胱小梁,无膀胱输尿管反流(VUR)。基因检测鉴定出一种纯合子LRIG2变体。SNM治疗后,患者的排尿功能得到改善,置管次数减少。第二例患者,27岁,表现为5级左侧VUR,严重肾积水,左肾功能不全。尿动力学检查显示膀胱收缩。snm后,她的空后残留减少到30ml,允许独立排尿。两人脸上都露出了标志性的倒挂鬼脸。诊断影像和尿动力学证实神经源性膀胱,排除脊柱异常。治疗包括清洁间歇导尿(CIC)和SNM,增强膀胱排空,减少对导管的依赖。该病例强调了SNM作为UFS的一种有希望的治疗选择,可以提高排尿效率和生活质量。早期识别独特的面部表情对于防止上尿路损伤至关重要。泌尿科医生应该怀疑有排尿功能障碍和面部表情异常的患者存在UFS,并考虑将SNM作为可行的干预措施。有必要进一步研究SNM在UFS中的作用。
本文章由计算机程序翻译,如有差异,请以英文原文为准。

Urofacial Syndrome, an Expressive and Unmasking Sign of Voiding Dysfunction: Case Report and Review of the Literature.

Urofacial Syndrome, an Expressive and Unmasking Sign of Voiding Dysfunction: Case Report and Review of the Literature.

Urofacial Syndrome, an Expressive and Unmasking Sign of Voiding Dysfunction: Case Report and Review of the Literature.

Urofacial Syndrome, an Expressive and Unmasking Sign of Voiding Dysfunction: Case Report and Review of the Literature.

Urofacial syndrome (UFS) is a rare autosomal recessive disorder characterized by voiding dysfunction, inverted facial expressions when smiling, and potential mutations in LRIG2 or HPSE2 genes. We report two sisters diagnosed with UFS who were managed using sacral neuromodulation (SNM). The first, aged 24, had recurrent UTIs, chronic urinary retention, and a trabeculated bladder without vesicoureteral reflux (VUR). Genetic testing identified a homozygous LRIG2 variant. Following SNM, her voiding function improved, reducing the frequency of catheterization. The second patient, aged 27, presented with a Grade 5 left-sided VUR, severe hydronephrosis, and a nonfunctioning left kidney. Urodynamic studies revealed an acontractile bladder. Post-SNM, her postvoid residual decreased to 30 mL, allowing independent voiding. Both displayed the hallmark inverted facial grimace. Diagnostic imaging and urodynamics confirmed neurogenic bladder, excluding spinal anomalies. Management included clean intermittent catheterization (CIC) and SNM, which enhanced bladder emptying and reduced catheter dependence. This case highlights SNM as a promising therapeutic option in UFS, improving voiding efficiency and quality of life. Early recognition of the distinctive facial expression is critical to prevent upper tract damage. Urologists should suspect UFS in patients with voiding dysfunction and abnormal facial expressions, considering SNM as a viable intervention. Further studies on SNM's role in UFS are warranted.

求助全文
通过发布文献求助,成功后即可免费获取论文全文。 去求助
来源期刊
自引率
0.00%
发文量
28
审稿时长
13 weeks
×
引用
GB/T 7714-2015
复制
MLA
复制
APA
复制
导出至
BibTeX EndNote RefMan NoteFirst NoteExpress
×
提示
您的信息不完整,为了账户安全,请先补充。
现在去补充
×
提示
您因"违规操作"
具体请查看互助需知
我知道了
×
提示
确定
请完成安全验证×
copy
已复制链接
快去分享给好友吧!
我知道了
右上角分享
点击右上角分享
0
联系我们:info@booksci.cn Book学术提供免费学术资源搜索服务,方便国内外学者检索中英文文献。致力于提供最便捷和优质的服务体验。 Copyright © 2023 布克学术 All rights reserved.
京ICP备2023020795号-1
ghs 京公网安备 11010802042870号
Book学术文献互助
Book学术文献互助群
群 号:604180095
Book学术官方微信