适应性双靶向治疗在表皮生长因子受体(EGFR)突变的间充质-上皮转化(MET)扩增指导下的最小残留病(MRD)评估的非小细胞肺癌患者中的长期生存:一个病例报告和文献综述。

IF 3.5 2区 医学 Q2 ONCOLOGY
Translational lung cancer research Pub Date : 2025-08-31 Epub Date: 2025-08-26 DOI:10.21037/tlcr-2025-850
Xinyin Liu, Shidai Jin, Jun Li, Jiali Xu, Lei Song, Wen Gao, Jun Wang, Zhihong Zhang, Renhua Guo
{"title":"适应性双靶向治疗在表皮生长因子受体(EGFR)突变的间充质-上皮转化(MET)扩增指导下的最小残留病(MRD)评估的非小细胞肺癌患者中的长期生存:一个病例报告和文献综述。","authors":"Xinyin Liu, Shidai Jin, Jun Li, Jiali Xu, Lei Song, Wen Gao, Jun Wang, Zhihong Zhang, Renhua Guo","doi":"10.21037/tlcr-2025-850","DOIUrl":null,"url":null,"abstract":"<p><strong>Background: </strong>Epidermal growth factor receptor-tyrosine kinase inhibitors (<i>EGFR</i>-TKIs) have achieved great success in the treatment of non-small cell lung cancer (NSCLC) with activating <i>EGFR</i> mutations. However, acquired resistance is a major obstacle to long-term disease remission in clinical practice. Mesenchymal-epithelial transition (<i>MET</i>) gene amplification has been identified as a key resistance mechanism to first- and second-generation <i>EGFR</i>-TKIs.</p><p><strong>Case description: </strong>We report the case of a 65-year-old female patient with advanced lung adenocarcinoma (LUAD) who developed bone and adrenal gland metastases following treatment with gefitinib. Next-generation sequencing (NGS) of a biopsy specimen revealed the co-occurrence of <i>MET</i> amplification and <i>EGFR</i> exon 19 deletion mutation. The combined treatment of savolitinib and gefitinib effectively controlled the disease, resulting in a favorable long-term clinical outcome. With continued follow-up through April 2025, the patient has maintained progression-free survival (PFS) over 8 years. However, monitoring revealed the patient had grade 4 peripheral edema, and negative circulating tumor DNA (ctDNA), which necessitated a savolitinib dose reduction. Subsequent minimal residual disease (MRD) assessments and radiological scans revealed a remarkable therapeutic response with sustained efficacy.</p><p><strong>Conclusions: </strong>We report the first case of a LUAD patient with <i>MET</i> amplification and <i>EGFR</i> exon 19 deletion mutation who achieved a durable response with targeted therapy. ctDNA monitoring enabled precise dose modulation that balanced therapeutic efficacy with toxicity management. This case establishes a paradigm for chronic cancer management, demonstrating that integrating molecular diagnostics with dynamic treatment optimization can effectively convert aggressive malignancies into manageable chronic conditions while preserving the quality of life of patients.</p>","PeriodicalId":23271,"journal":{"name":"Translational lung cancer research","volume":"14 8","pages":"3270-3279"},"PeriodicalIF":3.5000,"publicationDate":"2025-08-31","publicationTypes":"Journal Article","fieldsOfStudy":null,"isOpenAccess":false,"openAccessPdf":"https://www.ncbi.nlm.nih.gov/pmc/articles/PMC12432664/pdf/","citationCount":"0","resultStr":"{\"title\":\"Long-term survival with adaptive dual-targeted therapy in an epidermal growth factor receptor (<i>EGFR</i>)-mutant non-small cell lung cancer patient with mesenchymal-epithelial transition (<i>MET</i>) amplification guided by minimal residual disease (MRD) assessments: a case report and literature review.\",\"authors\":\"Xinyin Liu, Shidai Jin, Jun Li, Jiali Xu, Lei Song, Wen Gao, Jun Wang, Zhihong Zhang, Renhua Guo\",\"doi\":\"10.21037/tlcr-2025-850\",\"DOIUrl\":null,\"url\":null,\"abstract\":\"<p><strong>Background: </strong>Epidermal growth factor receptor-tyrosine kinase inhibitors (<i>EGFR</i>-TKIs) have achieved great success in the treatment of non-small cell lung cancer (NSCLC) with activating <i>EGFR</i> mutations. However, acquired resistance is a major obstacle to long-term disease remission in clinical practice. Mesenchymal-epithelial transition (<i>MET</i>) gene amplification has been identified as a key resistance mechanism to first- and second-generation <i>EGFR</i>-TKIs.</p><p><strong>Case description: </strong>We report the case of a 65-year-old female patient with advanced lung adenocarcinoma (LUAD) who developed bone and adrenal gland metastases following treatment with gefitinib. Next-generation sequencing (NGS) of a biopsy specimen revealed the co-occurrence of <i>MET</i> amplification and <i>EGFR</i> exon 19 deletion mutation. The combined treatment of savolitinib and gefitinib effectively controlled the disease, resulting in a favorable long-term clinical outcome. With continued follow-up through April 2025, the patient has maintained progression-free survival (PFS) over 8 years. However, monitoring revealed the patient had grade 4 peripheral edema, and negative circulating tumor DNA (ctDNA), which necessitated a savolitinib dose reduction. Subsequent minimal residual disease (MRD) assessments and radiological scans revealed a remarkable therapeutic response with sustained efficacy.</p><p><strong>Conclusions: </strong>We report the first case of a LUAD patient with <i>MET</i> amplification and <i>EGFR</i> exon 19 deletion mutation who achieved a durable response with targeted therapy. ctDNA monitoring enabled precise dose modulation that balanced therapeutic efficacy with toxicity management. This case establishes a paradigm for chronic cancer management, demonstrating that integrating molecular diagnostics with dynamic treatment optimization can effectively convert aggressive malignancies into manageable chronic conditions while preserving the quality of life of patients.</p>\",\"PeriodicalId\":23271,\"journal\":{\"name\":\"Translational lung cancer research\",\"volume\":\"14 8\",\"pages\":\"3270-3279\"},\"PeriodicalIF\":3.5000,\"publicationDate\":\"2025-08-31\",\"publicationTypes\":\"Journal Article\",\"fieldsOfStudy\":null,\"isOpenAccess\":false,\"openAccessPdf\":\"https://www.ncbi.nlm.nih.gov/pmc/articles/PMC12432664/pdf/\",\"citationCount\":\"0\",\"resultStr\":null,\"platform\":\"Semanticscholar\",\"paperid\":null,\"PeriodicalName\":\"Translational lung cancer research\",\"FirstCategoryId\":\"3\",\"ListUrlMain\":\"https://doi.org/10.21037/tlcr-2025-850\",\"RegionNum\":2,\"RegionCategory\":\"医学\",\"ArticlePicture\":[],\"TitleCN\":null,\"AbstractTextCN\":null,\"PMCID\":null,\"EPubDate\":\"2025/8/26 0:00:00\",\"PubModel\":\"Epub\",\"JCR\":\"Q2\",\"JCRName\":\"ONCOLOGY\",\"Score\":null,\"Total\":0}","platform":"Semanticscholar","paperid":null,"PeriodicalName":"Translational lung cancer research","FirstCategoryId":"3","ListUrlMain":"https://doi.org/10.21037/tlcr-2025-850","RegionNum":2,"RegionCategory":"医学","ArticlePicture":[],"TitleCN":null,"AbstractTextCN":null,"PMCID":null,"EPubDate":"2025/8/26 0:00:00","PubModel":"Epub","JCR":"Q2","JCRName":"ONCOLOGY","Score":null,"Total":0}
引用次数: 0

摘要

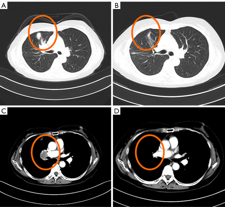
背景:表皮生长因子受体酪氨酸激酶抑制剂(EGFR- tkis)在治疗具有激活EGFR突变的非小细胞肺癌(NSCLC)方面取得了巨大成功。然而,在临床实践中,获得性耐药是疾病长期缓解的主要障碍。间充质上皮转化(MET)基因扩增已被确定为第一代和第二代EGFR-TKIs的关键耐药机制。病例描述:我们报告一例65岁晚期肺腺癌(LUAD)女性患者,在接受吉非替尼治疗后发生骨和肾上腺转移。活检标本的下一代测序(NGS)显示MET扩增和EGFR外显子19缺失突变共同发生。沙伐替尼联合吉非替尼有效控制了病情,远期临床效果良好。通过持续随访至2025年4月,患者保持了超过8年的无进展生存期(PFS)。然而,监测显示患者有4级外周水肿,循环肿瘤DNA (ctDNA)阴性,这需要减少萨沃替尼的剂量。随后的最小残留病(MRD)评估和放射扫描显示显著的治疗反应和持续的疗效。结论:我们报告了首例MET扩增和EGFR外显子19缺失突变的LUAD患者,该患者通过靶向治疗获得了持久的反应。ctDNA监测实现了精确的剂量调节,平衡了治疗效果和毒性管理。该病例建立了慢性癌症管理的范例,表明将分子诊断与动态治疗优化相结合可以有效地将侵袭性恶性肿瘤转化为可控制的慢性疾病,同时保持患者的生活质量。
本文章由计算机程序翻译,如有差异,请以英文原文为准。

Long-term survival with adaptive dual-targeted therapy in an epidermal growth factor receptor (<i>EGFR</i>)-mutant non-small cell lung cancer patient with mesenchymal-epithelial transition (<i>MET</i>) amplification guided by minimal residual disease (MRD) assessments: a case report and literature review.

Long-term survival with adaptive dual-targeted therapy in an epidermal growth factor receptor (<i>EGFR</i>)-mutant non-small cell lung cancer patient with mesenchymal-epithelial transition (<i>MET</i>) amplification guided by minimal residual disease (MRD) assessments: a case report and literature review.

Long-term survival with adaptive dual-targeted therapy in an epidermal growth factor receptor (<i>EGFR</i>)-mutant non-small cell lung cancer patient with mesenchymal-epithelial transition (<i>MET</i>) amplification guided by minimal residual disease (MRD) assessments: a case report and literature review.

Long-term survival with adaptive dual-targeted therapy in an epidermal growth factor receptor (EGFR)-mutant non-small cell lung cancer patient with mesenchymal-epithelial transition (MET) amplification guided by minimal residual disease (MRD) assessments: a case report and literature review.

Background: Epidermal growth factor receptor-tyrosine kinase inhibitors (EGFR-TKIs) have achieved great success in the treatment of non-small cell lung cancer (NSCLC) with activating EGFR mutations. However, acquired resistance is a major obstacle to long-term disease remission in clinical practice. Mesenchymal-epithelial transition (MET) gene amplification has been identified as a key resistance mechanism to first- and second-generation EGFR-TKIs.

Case description: We report the case of a 65-year-old female patient with advanced lung adenocarcinoma (LUAD) who developed bone and adrenal gland metastases following treatment with gefitinib. Next-generation sequencing (NGS) of a biopsy specimen revealed the co-occurrence of MET amplification and EGFR exon 19 deletion mutation. The combined treatment of savolitinib and gefitinib effectively controlled the disease, resulting in a favorable long-term clinical outcome. With continued follow-up through April 2025, the patient has maintained progression-free survival (PFS) over 8 years. However, monitoring revealed the patient had grade 4 peripheral edema, and negative circulating tumor DNA (ctDNA), which necessitated a savolitinib dose reduction. Subsequent minimal residual disease (MRD) assessments and radiological scans revealed a remarkable therapeutic response with sustained efficacy.

Conclusions: We report the first case of a LUAD patient with MET amplification and EGFR exon 19 deletion mutation who achieved a durable response with targeted therapy. ctDNA monitoring enabled precise dose modulation that balanced therapeutic efficacy with toxicity management. This case establishes a paradigm for chronic cancer management, demonstrating that integrating molecular diagnostics with dynamic treatment optimization can effectively convert aggressive malignancies into manageable chronic conditions while preserving the quality of life of patients.

求助全文
通过发布文献求助,成功后即可免费获取论文全文。 去求助
来源期刊
CiteScore
7.20
自引率
2.50%
发文量
137
期刊介绍: Translational Lung Cancer Research(TLCR, Transl Lung Cancer Res, Print ISSN 2218-6751; Online ISSN 2226-4477) is an international, peer-reviewed, open-access journal, which was founded in March 2012. TLCR is indexed by PubMed/PubMed Central and the Chemical Abstracts Service (CAS) Databases. It is published quarterly the first year, and published bimonthly since February 2013. It provides practical up-to-date information on prevention, early detection, diagnosis, and treatment of lung cancer. Specific areas of its interest include, but not limited to, multimodality therapy, markers, imaging, tumor biology, pathology, chemoprevention, and technical advances related to lung cancer.
×
引用
GB/T 7714-2015
复制
MLA
复制
APA
复制
导出至
BibTeX EndNote RefMan NoteFirst NoteExpress
×
提示
您的信息不完整,为了账户安全,请先补充。
现在去补充
×
提示
您因"违规操作"
具体请查看互助需知
我知道了
×
提示
确定
请完成安全验证×
copy
已复制链接
快去分享给好友吧!
我知道了
右上角分享
点击右上角分享
0
联系我们:info@booksci.cn Book学术提供免费学术资源搜索服务,方便国内外学者检索中英文文献。致力于提供最便捷和优质的服务体验。 Copyright © 2023 布克学术 All rights reserved.
京ICP备2023020795号-1
ghs 京公网安备 11010802042870号
Book学术文献互助
Book学术文献互助群
群 号:604180095
Book学术官方微信