健身电子游戏运动诱发椎动脉夹层1例报告。

IF 0.7 Q3 MEDICINE, GENERAL & INTERNAL
Hiroyuki Tokue, Azusa Tokue, Yoshito Tsushima
{"title":"健身电子游戏运动诱发椎动脉夹层1例报告。","authors":"Hiroyuki Tokue, Azusa Tokue, Yoshito Tsushima","doi":"10.12659/AJCR.950188","DOIUrl":null,"url":null,"abstract":"<p><p>BACKGROUND Vertebral artery dissection (VAD) is an important cause of ischemic stroke in young adults and is often associated with mechanical stressors such as trauma, sudden neck movements, or intense physical activity. While video games are not traditionally recognized as a risk factor, the increasing popularity of interactive fitness games calls for attention to their potential health implications. CASE REPORT We present the case of a 25-year-old sedentary woman with no vascular risk factors who developed acute left-sided neck pain while performing repetitive overhead pushing and pulling movements using a resistance-based controller during gameplay with Ring Fit Adventure (Nintendo Co., Ltd.), a home fitness video game. Two days later, she experienced sudden-onset left-sided numbness and visual disturbance. Neurological examination revealed left homonymous hemianopia and hemisensory deficits. Brain MRI revealed an acute infarct in the right occipital lobe, and magnetic resonance angiography showed right posterior cerebral artery occlusion and dissection of the left vertebral artery with intramural thrombus. She underwent successful endovascular thrombectomy and intra-arterial thrombolysis, followed by dual antiplatelet therapy. Her symptoms improved markedly, and she was discharged with only mild visual field defect. Imaging at follow-up demonstrated vascular remodeling. No underlying vasculopathy or prothrombotic condition was identified. CONCLUSIONS This case highlights that even a seemingly benign fitness video game may exert sufficient mechanical stress to trigger VAD, particularly in untrained individuals. While the temporal association suggests a potential link, causality cannot be definitively established. As home fitness gaming becomes increasingly popular, it is important for both clinicians and the general public to be aware of rare but serious vascular complications that may arise from sudden, strenuous activity in previously sedentary individuals.</p>","PeriodicalId":39064,"journal":{"name":"American Journal of Case Reports","volume":"26 ","pages":"e950188"},"PeriodicalIF":0.7000,"publicationDate":"2025-09-15","publicationTypes":"Journal Article","fieldsOfStudy":null,"isOpenAccess":false,"openAccessPdf":"https://www.ncbi.nlm.nih.gov/pmc/articles/PMC12447776/pdf/","citationCount":"0","resultStr":"{\"title\":\"Vertebral Artery Dissection Induced by Fitness Video Game Exercise: A Case Report.\",\"authors\":\"Hiroyuki Tokue, Azusa Tokue, Yoshito Tsushima\",\"doi\":\"10.12659/AJCR.950188\",\"DOIUrl\":null,\"url\":null,\"abstract\":\"<p><p>BACKGROUND Vertebral artery dissection (VAD) is an important cause of ischemic stroke in young adults and is often associated with mechanical stressors such as trauma, sudden neck movements, or intense physical activity. While video games are not traditionally recognized as a risk factor, the increasing popularity of interactive fitness games calls for attention to their potential health implications. CASE REPORT We present the case of a 25-year-old sedentary woman with no vascular risk factors who developed acute left-sided neck pain while performing repetitive overhead pushing and pulling movements using a resistance-based controller during gameplay with Ring Fit Adventure (Nintendo Co., Ltd.), a home fitness video game. Two days later, she experienced sudden-onset left-sided numbness and visual disturbance. Neurological examination revealed left homonymous hemianopia and hemisensory deficits. Brain MRI revealed an acute infarct in the right occipital lobe, and magnetic resonance angiography showed right posterior cerebral artery occlusion and dissection of the left vertebral artery with intramural thrombus. She underwent successful endovascular thrombectomy and intra-arterial thrombolysis, followed by dual antiplatelet therapy. Her symptoms improved markedly, and she was discharged with only mild visual field defect. Imaging at follow-up demonstrated vascular remodeling. No underlying vasculopathy or prothrombotic condition was identified. CONCLUSIONS This case highlights that even a seemingly benign fitness video game may exert sufficient mechanical stress to trigger VAD, particularly in untrained individuals. While the temporal association suggests a potential link, causality cannot be definitively established. As home fitness gaming becomes increasingly popular, it is important for both clinicians and the general public to be aware of rare but serious vascular complications that may arise from sudden, strenuous activity in previously sedentary individuals.</p>\",\"PeriodicalId\":39064,\"journal\":{\"name\":\"American Journal of Case Reports\",\"volume\":\"26 \",\"pages\":\"e950188\"},\"PeriodicalIF\":0.7000,\"publicationDate\":\"2025-09-15\",\"publicationTypes\":\"Journal Article\",\"fieldsOfStudy\":null,\"isOpenAccess\":false,\"openAccessPdf\":\"https://www.ncbi.nlm.nih.gov/pmc/articles/PMC12447776/pdf/\",\"citationCount\":\"0\",\"resultStr\":null,\"platform\":\"Semanticscholar\",\"paperid\":null,\"PeriodicalName\":\"American Journal of Case Reports\",\"FirstCategoryId\":\"1085\",\"ListUrlMain\":\"https://doi.org/10.12659/AJCR.950188\",\"RegionNum\":0,\"RegionCategory\":null,\"ArticlePicture\":[],\"TitleCN\":null,\"AbstractTextCN\":null,\"PMCID\":null,\"EPubDate\":\"\",\"PubModel\":\"\",\"JCR\":\"Q3\",\"JCRName\":\"MEDICINE, GENERAL & INTERNAL\",\"Score\":null,\"Total\":0}","platform":"Semanticscholar","paperid":null,"PeriodicalName":"American Journal of Case Reports","FirstCategoryId":"1085","ListUrlMain":"https://doi.org/10.12659/AJCR.950188","RegionNum":0,"RegionCategory":null,"ArticlePicture":[],"TitleCN":null,"AbstractTextCN":null,"PMCID":null,"EPubDate":"","PubModel":"","JCR":"Q3","JCRName":"MEDICINE, GENERAL & INTERNAL","Score":null,"Total":0}
引用次数: 0

摘要

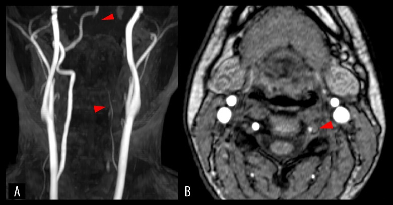
椎动脉夹层(VAD)是青壮年缺血性卒中的重要病因,通常与机械应激源(如创伤、颈部突然运动或剧烈体育活动)有关。虽然电子游戏在传统上并不被认为是一种风险因素,但互动健身游戏的日益流行却引起了人们对其潜在健康影响的关注。病例报告:我们报告了一名25岁的久坐女性,无血管危险因素,她在玩家庭健身视频游戏Ring Fit Adventure(任天堂公司)时,使用基于阻力的控制器进行重复的头顶推拉动作时,出现了急性左侧颈部疼痛。两天后,她突然出现左侧麻木和视觉障碍。神经学检查显示左侧同义性偏视和半感觉缺陷。脑MRI显示右侧枕叶急性梗死,磁共振血管造影显示右侧大脑后动脉闭塞和左侧椎动脉夹层伴壁内血栓。她成功地接受了血管内取栓和动脉内溶栓,随后接受了双重抗血小板治疗。她的症状明显改善,出院时仅有轻度视野缺损。随访时影像学显示血管重构。没有发现潜在的血管病变或血栓形成前状况。结论:本病例强调,即使是看似良性的健身视频游戏也可能施加足够的机械应力来触发VAD,特别是在未经训练的个体中。虽然时间上的联系暗示了一种潜在的联系,但因果关系无法确定。随着家庭健身游戏越来越受欢迎,对于临床医生和公众来说,重要的是要意识到,以前久坐不动的人可能会因突然剧烈运动而出现罕见但严重的血管并发症。
本文章由计算机程序翻译,如有差异,请以英文原文为准。

Vertebral Artery Dissection Induced by Fitness Video Game Exercise: A Case Report.

Vertebral Artery Dissection Induced by Fitness Video Game Exercise: A Case Report.

Vertebral Artery Dissection Induced by Fitness Video Game Exercise: A Case Report.

BACKGROUND Vertebral artery dissection (VAD) is an important cause of ischemic stroke in young adults and is often associated with mechanical stressors such as trauma, sudden neck movements, or intense physical activity. While video games are not traditionally recognized as a risk factor, the increasing popularity of interactive fitness games calls for attention to their potential health implications. CASE REPORT We present the case of a 25-year-old sedentary woman with no vascular risk factors who developed acute left-sided neck pain while performing repetitive overhead pushing and pulling movements using a resistance-based controller during gameplay with Ring Fit Adventure (Nintendo Co., Ltd.), a home fitness video game. Two days later, she experienced sudden-onset left-sided numbness and visual disturbance. Neurological examination revealed left homonymous hemianopia and hemisensory deficits. Brain MRI revealed an acute infarct in the right occipital lobe, and magnetic resonance angiography showed right posterior cerebral artery occlusion and dissection of the left vertebral artery with intramural thrombus. She underwent successful endovascular thrombectomy and intra-arterial thrombolysis, followed by dual antiplatelet therapy. Her symptoms improved markedly, and she was discharged with only mild visual field defect. Imaging at follow-up demonstrated vascular remodeling. No underlying vasculopathy or prothrombotic condition was identified. CONCLUSIONS This case highlights that even a seemingly benign fitness video game may exert sufficient mechanical stress to trigger VAD, particularly in untrained individuals. While the temporal association suggests a potential link, causality cannot be definitively established. As home fitness gaming becomes increasingly popular, it is important for both clinicians and the general public to be aware of rare but serious vascular complications that may arise from sudden, strenuous activity in previously sedentary individuals.

求助全文
通过发布文献求助,成功后即可免费获取论文全文。 去求助
来源期刊
American Journal of Case Reports
American Journal of Case Reports Medicine-Medicine (all)
CiteScore
1.80
自引率
0.00%
发文量
599
期刊介绍: American Journal of Case Reports is an international, peer-reviewed scientific journal that publishes single and series case reports in all medical fields. American Journal of Case Reports is issued on a continuous basis as a primary electronic journal. Print copies of a single article or a set of articles can be ordered on demand.
×
引用
GB/T 7714-2015
复制
MLA
复制
APA
复制
导出至
BibTeX EndNote RefMan NoteFirst NoteExpress
×
提示
您的信息不完整,为了账户安全,请先补充。
现在去补充
×
提示
您因"违规操作"
具体请查看互助需知
我知道了
×
提示
确定
请完成安全验证×
copy
已复制链接
快去分享给好友吧!
我知道了
右上角分享
点击右上角分享
0
联系我们:info@booksci.cn Book学术提供免费学术资源搜索服务,方便国内外学者检索中英文文献。致力于提供最便捷和优质的服务体验。 Copyright © 2023 布克学术 All rights reserved.
京ICP备2023020795号-1
ghs 京公网安备 11010802042870号
Book学术文献互助
Book学术文献互助群
群 号:604180095
Book学术官方微信