以呕吐和心力衰竭为表现的嗜铬细胞瘤1例。

IF 2.8 Q3 CARDIAC & CARDIOVASCULAR SYSTEMS
Han Cheng, Ling-Tong Gu, Jing Yang
{"title":"以呕吐和心力衰竭为表现的嗜铬细胞瘤1例。","authors":"Han Cheng, Ling-Tong Gu, Jing Yang","doi":"10.4330/wjc.v17.i8.110366","DOIUrl":null,"url":null,"abstract":"<p><strong>Background: </strong>Pheochromocytoma, a rare catecholamine-secreting tumor, typically presents with the classic triad of headache, palpitations, and diaphoresis, often accompanied by cardiovascular manifestations. While vomiting occurs in approximately 34.5% of cases, it is rarely the predominant and persistent presenting symptom. Pheochromocytoma-induced cardiomyopathy leading to heart failure is a recognized but uncommon complication. Due to its heterogeneous presentations, misdiagnosis and diagnostic delay are frequent.</p><p><strong>Case summary: </strong>A 53-year-old female presented predominantly with persistent and refractory vomiting as her chief complaint, accompanied by signs of acute heart failure [left ventricular ejection fraction (LVEF) 30%]. Initial evaluation at a primary hospital, including coronary angiography (revealing only mild stenosis), led to a misdiagnosis of coronary artery disease. Despite standard anti-thrombotic, anti-heart failure, and anti-emetic therapy, her vomiting persisted and heart failure did not resolve. Subsequent hospitalization revealed dramatic paroxysmal hypertension (202/129 mmHg to 97/51 mmHg) and fever. Significantly elevated plasma metanephrines and normetanephrine, combined with abdominal computed tomography and magnetic resonance imaging, confirmed a right adrenal pheochromocytoma. This diagnosis was significantly delayed due to the atypical prominence of gastrointestinal symptoms masking the underlying endocrine crisis.</p><p><strong>Conclusion: </strong>This case highlights a highly atypical presentation of pheochromocytoma dominated by refractory vomiting and complicated by acute catecholamine-induced cardiomyopathy. It emphatically underscores that pheochromocytoma must be considered in the differential diagnosis for patients presenting with unexplained, treatment-resistant vomiting, particularly when co-existing with acute heart failure. The presence of labile hypertension, even if not initially evident, provides a crucial diagnostic clue. Prompt biochemical screening (catecholamine metabolites) and adrenal imaging are essential to prevent diagnostic delay and enable timely, life-saving surgical intervention.</p>","PeriodicalId":23800,"journal":{"name":"World Journal of Cardiology","volume":"17 8","pages":"110366"},"PeriodicalIF":2.8000,"publicationDate":"2025-08-26","publicationTypes":"Journal Article","fieldsOfStudy":null,"isOpenAccess":false,"openAccessPdf":"https://www.ncbi.nlm.nih.gov/pmc/articles/PMC12427064/pdf/","citationCount":"0","resultStr":"{\"title\":\"Pheochromocytoma presenting with vomiting and heart failure: A case report.\",\"authors\":\"Han Cheng, Ling-Tong Gu, Jing Yang\",\"doi\":\"10.4330/wjc.v17.i8.110366\",\"DOIUrl\":null,\"url\":null,\"abstract\":\"<p><strong>Background: </strong>Pheochromocytoma, a rare catecholamine-secreting tumor, typically presents with the classic triad of headache, palpitations, and diaphoresis, often accompanied by cardiovascular manifestations. While vomiting occurs in approximately 34.5% of cases, it is rarely the predominant and persistent presenting symptom. Pheochromocytoma-induced cardiomyopathy leading to heart failure is a recognized but uncommon complication. Due to its heterogeneous presentations, misdiagnosis and diagnostic delay are frequent.</p><p><strong>Case summary: </strong>A 53-year-old female presented predominantly with persistent and refractory vomiting as her chief complaint, accompanied by signs of acute heart failure [left ventricular ejection fraction (LVEF) 30%]. Initial evaluation at a primary hospital, including coronary angiography (revealing only mild stenosis), led to a misdiagnosis of coronary artery disease. Despite standard anti-thrombotic, anti-heart failure, and anti-emetic therapy, her vomiting persisted and heart failure did not resolve. Subsequent hospitalization revealed dramatic paroxysmal hypertension (202/129 mmHg to 97/51 mmHg) and fever. Significantly elevated plasma metanephrines and normetanephrine, combined with abdominal computed tomography and magnetic resonance imaging, confirmed a right adrenal pheochromocytoma. This diagnosis was significantly delayed due to the atypical prominence of gastrointestinal symptoms masking the underlying endocrine crisis.</p><p><strong>Conclusion: </strong>This case highlights a highly atypical presentation of pheochromocytoma dominated by refractory vomiting and complicated by acute catecholamine-induced cardiomyopathy. It emphatically underscores that pheochromocytoma must be considered in the differential diagnosis for patients presenting with unexplained, treatment-resistant vomiting, particularly when co-existing with acute heart failure. The presence of labile hypertension, even if not initially evident, provides a crucial diagnostic clue. Prompt biochemical screening (catecholamine metabolites) and adrenal imaging are essential to prevent diagnostic delay and enable timely, life-saving surgical intervention.</p>\",\"PeriodicalId\":23800,\"journal\":{\"name\":\"World Journal of Cardiology\",\"volume\":\"17 8\",\"pages\":\"110366\"},\"PeriodicalIF\":2.8000,\"publicationDate\":\"2025-08-26\",\"publicationTypes\":\"Journal Article\",\"fieldsOfStudy\":null,\"isOpenAccess\":false,\"openAccessPdf\":\"https://www.ncbi.nlm.nih.gov/pmc/articles/PMC12427064/pdf/\",\"citationCount\":\"0\",\"resultStr\":null,\"platform\":\"Semanticscholar\",\"paperid\":null,\"PeriodicalName\":\"World Journal of Cardiology\",\"FirstCategoryId\":\"1085\",\"ListUrlMain\":\"https://doi.org/10.4330/wjc.v17.i8.110366\",\"RegionNum\":0,\"RegionCategory\":null,\"ArticlePicture\":[],\"TitleCN\":null,\"AbstractTextCN\":null,\"PMCID\":null,\"EPubDate\":\"\",\"PubModel\":\"\",\"JCR\":\"Q3\",\"JCRName\":\"CARDIAC & CARDIOVASCULAR SYSTEMS\",\"Score\":null,\"Total\":0}","platform":"Semanticscholar","paperid":null,"PeriodicalName":"World Journal of Cardiology","FirstCategoryId":"1085","ListUrlMain":"https://doi.org/10.4330/wjc.v17.i8.110366","RegionNum":0,"RegionCategory":null,"ArticlePicture":[],"TitleCN":null,"AbstractTextCN":null,"PMCID":null,"EPubDate":"","PubModel":"","JCR":"Q3","JCRName":"CARDIAC & CARDIOVASCULAR SYSTEMS","Score":null,"Total":0}
引用次数: 0

摘要

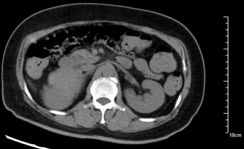
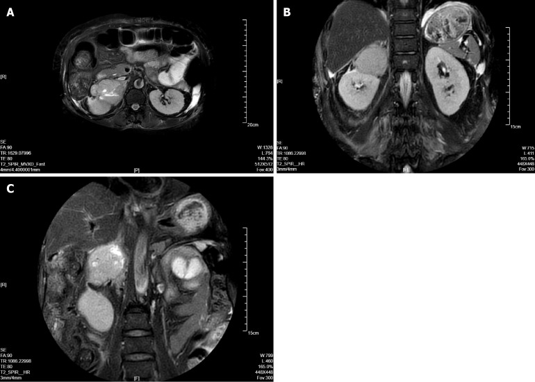
背景:嗜铬细胞瘤是一种罕见的分泌儿茶酚胺的肿瘤,典型表现为头痛、心悸和出汗,常伴有心血管症状。呕吐在34.5%的病例中发生,但很少是主要和持续的症状。嗜铬细胞瘤引起的心肌病导致心力衰竭是公认的但罕见的并发症。由于其异质性表现,误诊和诊断延误是常见的。病例总结:一名53岁女性,主要以持续难治性呕吐为主诉,并伴有急性心力衰竭征像[左心室射血分数(LVEF) 30%]。在一家初级医院的初步评估,包括冠状动脉造影(仅显示轻度狭窄),导致冠状动脉疾病的误诊。尽管标准的抗血栓、抗心力衰竭和止吐治疗,她的呕吐持续存在,心力衰竭没有解决。随后的住院显示了剧烈的阵发性高血压(202/129 mmHg至97/51 mmHg)和发烧。血浆肾上腺素和去甲肾上腺素显著升高,结合腹部计算机断层扫描和磁共振成像,证实右侧肾上腺嗜铬细胞瘤。由于胃肠道症状的不典型突出掩盖了潜在的内分泌危机,这一诊断明显延迟。结论:本病例是一个高度不典型的嗜铬细胞瘤,以难治性呕吐为主,并发急性儿茶酚胺引起的心肌病。它强调,嗜铬细胞瘤必须在鉴别诊断中考虑到无法解释的,治疗抵抗性呕吐的患者,特别是当与急性心力衰竭共存时。不稳定性高血压的存在,即使最初不明显,也提供了重要的诊断线索。及时的生化筛查(儿茶酚胺代谢物)和肾上腺成像对于防止诊断延误和及时进行挽救生命的手术干预至关重要。
本文章由计算机程序翻译,如有差异,请以英文原文为准。

Pheochromocytoma presenting with vomiting and heart failure: A case report.

Pheochromocytoma presenting with vomiting and heart failure: A case report.

Pheochromocytoma presenting with vomiting and heart failure: A case report.

Pheochromocytoma presenting with vomiting and heart failure: A case report.

Background: Pheochromocytoma, a rare catecholamine-secreting tumor, typically presents with the classic triad of headache, palpitations, and diaphoresis, often accompanied by cardiovascular manifestations. While vomiting occurs in approximately 34.5% of cases, it is rarely the predominant and persistent presenting symptom. Pheochromocytoma-induced cardiomyopathy leading to heart failure is a recognized but uncommon complication. Due to its heterogeneous presentations, misdiagnosis and diagnostic delay are frequent.

Case summary: A 53-year-old female presented predominantly with persistent and refractory vomiting as her chief complaint, accompanied by signs of acute heart failure [left ventricular ejection fraction (LVEF) 30%]. Initial evaluation at a primary hospital, including coronary angiography (revealing only mild stenosis), led to a misdiagnosis of coronary artery disease. Despite standard anti-thrombotic, anti-heart failure, and anti-emetic therapy, her vomiting persisted and heart failure did not resolve. Subsequent hospitalization revealed dramatic paroxysmal hypertension (202/129 mmHg to 97/51 mmHg) and fever. Significantly elevated plasma metanephrines and normetanephrine, combined with abdominal computed tomography and magnetic resonance imaging, confirmed a right adrenal pheochromocytoma. This diagnosis was significantly delayed due to the atypical prominence of gastrointestinal symptoms masking the underlying endocrine crisis.

Conclusion: This case highlights a highly atypical presentation of pheochromocytoma dominated by refractory vomiting and complicated by acute catecholamine-induced cardiomyopathy. It emphatically underscores that pheochromocytoma must be considered in the differential diagnosis for patients presenting with unexplained, treatment-resistant vomiting, particularly when co-existing with acute heart failure. The presence of labile hypertension, even if not initially evident, provides a crucial diagnostic clue. Prompt biochemical screening (catecholamine metabolites) and adrenal imaging are essential to prevent diagnostic delay and enable timely, life-saving surgical intervention.

求助全文
通过发布文献求助,成功后即可免费获取论文全文。 去求助
来源期刊
World Journal of Cardiology
World Journal of Cardiology CARDIAC & CARDIOVASCULAR SYSTEMS-
CiteScore
3.30
自引率
5.30%
发文量
54
×
引用
GB/T 7714-2015
复制
MLA
复制
APA
复制
导出至
BibTeX EndNote RefMan NoteFirst NoteExpress
×
提示
您的信息不完整,为了账户安全,请先补充。
现在去补充
×
提示
您因"违规操作"
具体请查看互助需知
我知道了
×
提示
确定
请完成安全验证×
copy
已复制链接
快去分享给好友吧!
我知道了
右上角分享
点击右上角分享
0
联系我们:info@booksci.cn Book学术提供免费学术资源搜索服务,方便国内外学者检索中英文文献。致力于提供最便捷和优质的服务体验。 Copyright © 2023 布克学术 All rights reserved.
京ICP备2023020795号-1
ghs 京公网安备 11010802042870号
Book学术文献互助
Book学术文献互助群
群 号:604180095
Book学术官方微信