富马酸水合酶缺乏型肾细胞癌与高级别乳头状肾细胞癌的临床病理特征及预后比较分析。

IF 1.7 3区 医学 Q4 ANDROLOGY
Translational andrology and urology Pub Date : 2025-08-30 Epub Date: 2025-08-26 DOI:10.21037/tau-2025-255
Yanfei Yu, Mancheng Xia, Shengwei Xiong, Aixiang Wang, Libo Liu, Yichuan Wang, Wei Yu, Shiming He, Xuesong Li, Suxia Wang
{"title":"富马酸水合酶缺乏型肾细胞癌与高级别乳头状肾细胞癌的临床病理特征及预后比较分析。","authors":"Yanfei Yu, Mancheng Xia, Shengwei Xiong, Aixiang Wang, Libo Liu, Yichuan Wang, Wei Yu, Shiming He, Xuesong Li, Suxia Wang","doi":"10.21037/tau-2025-255","DOIUrl":null,"url":null,"abstract":"<p><strong>Background: </strong>Papillary renal cell carcinoma (pRCC) is characterized by pronounced molecular and phenotypic heterogeneity. The traditional dichotomous classification was discontinued in the 2022 World Health Organization (WHO) Fifth Edition Classification, leading to the introduction of new renal cancer categories, including fumarate hydratase (FH)-deficient renal cell carcinoma (RCC). But there remains a significant risk of misdiagnosis between FH-deficient RCC and high-grade pRCC. Furthermore, existing studies rarely provide comprehensive comparative analyses of these types of renal cancer. This study aims to investigate the clinical and pathological characteristics, as well as the prognosis, of FH-deficient RCC and high-grade pRCC, thereby providing a basis for precise diagnosis.</p><p><strong>Methods: </strong>We retrospectively analyzed the clinical and pathological data of patients diagnosed with high-grade pRCC (n=40) or FH-deficient RCC (n=20) between May 2012 and May 2023.</p><p><strong>Results: </strong>Compared to high-grade pRCC, FH-deficient RCC exhibited significant differences in several parameters: age (P<0.001), presence of necrosis (P=0.007), sarcomatoid differentiation (P=0.03), vascular cancer thrombus formation (P=0.02), lymph node metastasis (P=0.001) renal sinus invasion (P=0.042), perirenal fat invasion (P=0.01), adrenal gland invasion (P=0.003), and pathological tumor (pT) stage (P=0.009). Patients with FH-deficient tumors tended to be younger and were more likely to exhibit features such as necrosis, sarcomatoid differentiation, renal sinus and perinephric fat invasion, adrenal gland involvement, lymph node metastasis, and more advanced pathological stages compared with those with high-grade pRCC. However, FH-deficient RCC demonstrated a significantly lower incidence of lymphovascular invasion when compared to high-grade pRCC. The 3-year progression-free survival (PFS) rates were 16.9% for FH-deficient RCC and 76.2% for high-grade pRCC. Patients with FH-deficient RCC had significantly worse outcomes than those with high-grade pRCC (P<0.001).</p><p><strong>Conclusions: </strong>Patients who are younger, have advanced pathological stages, or exhibit sarcomatoid differentiation should undergo mandatory immunohistochemical staining for FH and molecular testing to prevent misdiagnosis as conventional pRCC. Despite its aggressive local behavior and poorer clinical outcomes, FH-deficient RCC shows a significantly lower frequency of vascular invasion relative to high-grade pRCC. Further investigation into the mechanisms underlying the metastasis of these tumors is warranted to identify potential therapeutic targets.</p>","PeriodicalId":23270,"journal":{"name":"Translational andrology and urology","volume":"14 8","pages":"2195-2206"},"PeriodicalIF":1.7000,"publicationDate":"2025-08-30","publicationTypes":"Journal Article","fieldsOfStudy":null,"isOpenAccess":false,"openAccessPdf":"https://www.ncbi.nlm.nih.gov/pmc/articles/PMC12433056/pdf/","citationCount":"0","resultStr":"{\"title\":\"Comparative analysis of clinicopathological characteristics and prognostic outcomes in fumarate hydratase-deficient renal cell carcinoma versus high-grade papillary renal cell carcinoma.\",\"authors\":\"Yanfei Yu, Mancheng Xia, Shengwei Xiong, Aixiang Wang, Libo Liu, Yichuan Wang, Wei Yu, Shiming He, Xuesong Li, Suxia Wang\",\"doi\":\"10.21037/tau-2025-255\",\"DOIUrl\":null,\"url\":null,\"abstract\":\"<p><strong>Background: </strong>Papillary renal cell carcinoma (pRCC) is characterized by pronounced molecular and phenotypic heterogeneity. The traditional dichotomous classification was discontinued in the 2022 World Health Organization (WHO) Fifth Edition Classification, leading to the introduction of new renal cancer categories, including fumarate hydratase (FH)-deficient renal cell carcinoma (RCC). But there remains a significant risk of misdiagnosis between FH-deficient RCC and high-grade pRCC. Furthermore, existing studies rarely provide comprehensive comparative analyses of these types of renal cancer. This study aims to investigate the clinical and pathological characteristics, as well as the prognosis, of FH-deficient RCC and high-grade pRCC, thereby providing a basis for precise diagnosis.</p><p><strong>Methods: </strong>We retrospectively analyzed the clinical and pathological data of patients diagnosed with high-grade pRCC (n=40) or FH-deficient RCC (n=20) between May 2012 and May 2023.</p><p><strong>Results: </strong>Compared to high-grade pRCC, FH-deficient RCC exhibited significant differences in several parameters: age (P<0.001), presence of necrosis (P=0.007), sarcomatoid differentiation (P=0.03), vascular cancer thrombus formation (P=0.02), lymph node metastasis (P=0.001) renal sinus invasion (P=0.042), perirenal fat invasion (P=0.01), adrenal gland invasion (P=0.003), and pathological tumor (pT) stage (P=0.009). Patients with FH-deficient tumors tended to be younger and were more likely to exhibit features such as necrosis, sarcomatoid differentiation, renal sinus and perinephric fat invasion, adrenal gland involvement, lymph node metastasis, and more advanced pathological stages compared with those with high-grade pRCC. However, FH-deficient RCC demonstrated a significantly lower incidence of lymphovascular invasion when compared to high-grade pRCC. The 3-year progression-free survival (PFS) rates were 16.9% for FH-deficient RCC and 76.2% for high-grade pRCC. Patients with FH-deficient RCC had significantly worse outcomes than those with high-grade pRCC (P<0.001).</p><p><strong>Conclusions: </strong>Patients who are younger, have advanced pathological stages, or exhibit sarcomatoid differentiation should undergo mandatory immunohistochemical staining for FH and molecular testing to prevent misdiagnosis as conventional pRCC. Despite its aggressive local behavior and poorer clinical outcomes, FH-deficient RCC shows a significantly lower frequency of vascular invasion relative to high-grade pRCC. Further investigation into the mechanisms underlying the metastasis of these tumors is warranted to identify potential therapeutic targets.</p>\",\"PeriodicalId\":23270,\"journal\":{\"name\":\"Translational andrology and urology\",\"volume\":\"14 8\",\"pages\":\"2195-2206\"},\"PeriodicalIF\":1.7000,\"publicationDate\":\"2025-08-30\",\"publicationTypes\":\"Journal Article\",\"fieldsOfStudy\":null,\"isOpenAccess\":false,\"openAccessPdf\":\"https://www.ncbi.nlm.nih.gov/pmc/articles/PMC12433056/pdf/\",\"citationCount\":\"0\",\"resultStr\":null,\"platform\":\"Semanticscholar\",\"paperid\":null,\"PeriodicalName\":\"Translational andrology and urology\",\"FirstCategoryId\":\"3\",\"ListUrlMain\":\"https://doi.org/10.21037/tau-2025-255\",\"RegionNum\":3,\"RegionCategory\":\"医学\",\"ArticlePicture\":[],\"TitleCN\":null,\"AbstractTextCN\":null,\"PMCID\":null,\"EPubDate\":\"2025/8/26 0:00:00\",\"PubModel\":\"Epub\",\"JCR\":\"Q4\",\"JCRName\":\"ANDROLOGY\",\"Score\":null,\"Total\":0}","platform":"Semanticscholar","paperid":null,"PeriodicalName":"Translational andrology and urology","FirstCategoryId":"3","ListUrlMain":"https://doi.org/10.21037/tau-2025-255","RegionNum":3,"RegionCategory":"医学","ArticlePicture":[],"TitleCN":null,"AbstractTextCN":null,"PMCID":null,"EPubDate":"2025/8/26 0:00:00","PubModel":"Epub","JCR":"Q4","JCRName":"ANDROLOGY","Score":null,"Total":0}
引用次数: 0

摘要

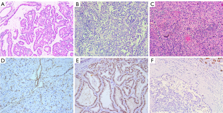
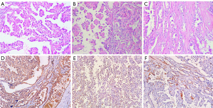
背景:乳头状肾细胞癌(pRCC)具有明显的分子和表型异质性。2022年世界卫生组织(世卫组织)第五版分类中停止了传统的二分法分类,引入了新的肾癌分类,包括富马酸水合酶(FH)缺陷肾细胞癌(RCC)。但是在fh缺乏的RCC和高级别pRCC之间仍然存在很大的误诊风险。此外,现有的研究很少对这些类型的肾癌进行全面的比较分析。本研究旨在探讨fh缺乏性RCC和高级别pRCC的临床、病理特点及预后,为精准诊断提供依据。方法:回顾性分析2012年5月至2023年5月期间诊断为高级别pRCC (n=40)或fh缺陷RCC (n=20)患者的临床和病理资料。结果:与高级别pRCC相比,FH缺陷RCC在以下几个参数上有显著差异:年龄(p)结论:年轻、病理分期晚期或表现为肉瘤样分化的患者应进行FH免疫组化染色和分子检测,以防止误诊为常规pRCC。尽管fh缺乏的RCC具有侵袭性的局部行为和较差的临床结果,但相对于高级别pRCC,其血管侵袭的频率明显较低。进一步研究这些肿瘤转移的机制是必要的,以确定潜在的治疗靶点。
本文章由计算机程序翻译,如有差异,请以英文原文为准。

Comparative analysis of clinicopathological characteristics and prognostic outcomes in fumarate hydratase-deficient renal cell carcinoma versus high-grade papillary renal cell carcinoma.

Comparative analysis of clinicopathological characteristics and prognostic outcomes in fumarate hydratase-deficient renal cell carcinoma versus high-grade papillary renal cell carcinoma.

Comparative analysis of clinicopathological characteristics and prognostic outcomes in fumarate hydratase-deficient renal cell carcinoma versus high-grade papillary renal cell carcinoma.

Comparative analysis of clinicopathological characteristics and prognostic outcomes in fumarate hydratase-deficient renal cell carcinoma versus high-grade papillary renal cell carcinoma.

Background: Papillary renal cell carcinoma (pRCC) is characterized by pronounced molecular and phenotypic heterogeneity. The traditional dichotomous classification was discontinued in the 2022 World Health Organization (WHO) Fifth Edition Classification, leading to the introduction of new renal cancer categories, including fumarate hydratase (FH)-deficient renal cell carcinoma (RCC). But there remains a significant risk of misdiagnosis between FH-deficient RCC and high-grade pRCC. Furthermore, existing studies rarely provide comprehensive comparative analyses of these types of renal cancer. This study aims to investigate the clinical and pathological characteristics, as well as the prognosis, of FH-deficient RCC and high-grade pRCC, thereby providing a basis for precise diagnosis.

Methods: We retrospectively analyzed the clinical and pathological data of patients diagnosed with high-grade pRCC (n=40) or FH-deficient RCC (n=20) between May 2012 and May 2023.

Results: Compared to high-grade pRCC, FH-deficient RCC exhibited significant differences in several parameters: age (P<0.001), presence of necrosis (P=0.007), sarcomatoid differentiation (P=0.03), vascular cancer thrombus formation (P=0.02), lymph node metastasis (P=0.001) renal sinus invasion (P=0.042), perirenal fat invasion (P=0.01), adrenal gland invasion (P=0.003), and pathological tumor (pT) stage (P=0.009). Patients with FH-deficient tumors tended to be younger and were more likely to exhibit features such as necrosis, sarcomatoid differentiation, renal sinus and perinephric fat invasion, adrenal gland involvement, lymph node metastasis, and more advanced pathological stages compared with those with high-grade pRCC. However, FH-deficient RCC demonstrated a significantly lower incidence of lymphovascular invasion when compared to high-grade pRCC. The 3-year progression-free survival (PFS) rates were 16.9% for FH-deficient RCC and 76.2% for high-grade pRCC. Patients with FH-deficient RCC had significantly worse outcomes than those with high-grade pRCC (P<0.001).

Conclusions: Patients who are younger, have advanced pathological stages, or exhibit sarcomatoid differentiation should undergo mandatory immunohistochemical staining for FH and molecular testing to prevent misdiagnosis as conventional pRCC. Despite its aggressive local behavior and poorer clinical outcomes, FH-deficient RCC shows a significantly lower frequency of vascular invasion relative to high-grade pRCC. Further investigation into the mechanisms underlying the metastasis of these tumors is warranted to identify potential therapeutic targets.

求助全文
通过发布文献求助,成功后即可免费获取论文全文。 去求助
来源期刊
CiteScore
4.10
自引率
5.00%
发文量
80
期刊介绍: ranslational Andrology and Urology (Print ISSN 2223-4683; Online ISSN 2223-4691; Transl Androl Urol; TAU) is an open access, peer-reviewed, bi-monthly journal (quarterly published from Mar.2012 - Dec. 2014). The main focus of the journal is to describe new findings in the field of translational research of Andrology and Urology, provides current and practical information on basic research and clinical investigations of Andrology and Urology. Specific areas of interest include, but not limited to, molecular study, pathology, biology and technical advances related to andrology and urology. Topics cover range from evaluation, prevention, diagnosis, therapy, prognosis, rehabilitation and future challenges to urology and andrology. Contributions pertinent to urology and andrology are also included from related fields such as public health, basic sciences, education, sociology, and nursing.
×
引用
GB/T 7714-2015
复制
MLA
复制
APA
复制
导出至
BibTeX EndNote RefMan NoteFirst NoteExpress
×
提示
您的信息不完整,为了账户安全,请先补充。
现在去补充
×
提示
您因"违规操作"
具体请查看互助需知
我知道了
×
提示
确定
请完成安全验证×
copy
已复制链接
快去分享给好友吧!
我知道了
右上角分享
点击右上角分享
0
联系我们:info@booksci.cn Book学术提供免费学术资源搜索服务,方便国内外学者检索中英文文献。致力于提供最便捷和优质的服务体验。 Copyright © 2023 布克学术 All rights reserved.
京ICP备2023020795号-1
ghs 京公网安备 11010802042870号
Book学术文献互助
Book学术文献互助群
群 号:604180095
Book学术官方微信