右肝叶发育不全和坏疽性胆囊炎:手术意义和病例报告。

IF 0.7 Q3 MEDICINE, GENERAL & INTERNAL
Mohamad Ayham Muqresh, Sandrella I Zebian, Abdulkarim M Alkadrou, Osama Al-Shoaib, Thamer Bin Traiki
{"title":"右肝叶发育不全和坏疽性胆囊炎:手术意义和病例报告。","authors":"Mohamad Ayham Muqresh, Sandrella I Zebian, Abdulkarim M Alkadrou, Osama Al-Shoaib, Thamer Bin Traiki","doi":"10.12659/AJCR.948437","DOIUrl":null,"url":null,"abstract":"<p><p>BACKGROUND Hypoplasia of the right hepatic lobe is a rare congenital anomaly often discovered incidentally during imaging or surgery. This anomaly can be challenging during surgery, leading to intraoperative complications. Patient with right hepatic hypoplasia usually live normally without symptoms, but it can be associated with liver cirrhosis, portal hypertension, and gallstones. While the exact pathophysiological relationship between congenital hepatic hypoplasia and cholecystitis remains unclear, a few contributing factors have been proposed. These include mutations in the hepatocyte nuclear factor 1B (HNF1B) transcription, impaired gallbladder function, and gallbladder ischemia due to malposition. CASE REPORT A 70-year-old man presented with gangrenous cholecystitis and concurrent hypoplasia of the right hepatic lobe; a combination not previously documented. The patient, initially asymptomatic, presented with sharp epigastric pain and was diagnosed with acute cholecystitis through abdominal ultrasound. However, computed tomography (CT) imaging showed severe hypoplasia of the right liver lobe with associated compensatory hypertrophy of the left lobe in addition to stones in the gallbladder. Despite normal laboratory results, we think that the anomaly delayed the diagnosis until the development of cholecystitis as a complication. The patient underwent a successful laparoscopic cholecystectomy without converting to open surgery. CONCLUSIONS This case underscores the importance of recognizing anatomical variations when planning surgery. Awareness of right hepatic lobe hypoplasia can aid in timely diagnosis and appropriate management, ultimately reducing surgical risks and complications. Furthermore, we recommend performing CT in case of vague or atypical symptoms of acute cholecystitis, as well as when the gallbladder shows malposition on abdominal ultrasound (US). However, we recommend identifying the anatomical structure during the surgery to avoid complications.</p>","PeriodicalId":39064,"journal":{"name":"American Journal of Case Reports","volume":"26 ","pages":"e948437"},"PeriodicalIF":0.7000,"publicationDate":"2025-09-14","publicationTypes":"Journal Article","fieldsOfStudy":null,"isOpenAccess":false,"openAccessPdf":"https://www.ncbi.nlm.nih.gov/pmc/articles/PMC12445154/pdf/","citationCount":"0","resultStr":"{\"title\":\"Right Hepatic Lobe Hypoplasia and Gangrenous Cholecystitis: Surgical Implications and Case Report.\",\"authors\":\"Mohamad Ayham Muqresh, Sandrella I Zebian, Abdulkarim M Alkadrou, Osama Al-Shoaib, Thamer Bin Traiki\",\"doi\":\"10.12659/AJCR.948437\",\"DOIUrl\":null,\"url\":null,\"abstract\":\"<p><p>BACKGROUND Hypoplasia of the right hepatic lobe is a rare congenital anomaly often discovered incidentally during imaging or surgery. This anomaly can be challenging during surgery, leading to intraoperative complications. Patient with right hepatic hypoplasia usually live normally without symptoms, but it can be associated with liver cirrhosis, portal hypertension, and gallstones. While the exact pathophysiological relationship between congenital hepatic hypoplasia and cholecystitis remains unclear, a few contributing factors have been proposed. These include mutations in the hepatocyte nuclear factor 1B (HNF1B) transcription, impaired gallbladder function, and gallbladder ischemia due to malposition. CASE REPORT A 70-year-old man presented with gangrenous cholecystitis and concurrent hypoplasia of the right hepatic lobe; a combination not previously documented. The patient, initially asymptomatic, presented with sharp epigastric pain and was diagnosed with acute cholecystitis through abdominal ultrasound. However, computed tomography (CT) imaging showed severe hypoplasia of the right liver lobe with associated compensatory hypertrophy of the left lobe in addition to stones in the gallbladder. Despite normal laboratory results, we think that the anomaly delayed the diagnosis until the development of cholecystitis as a complication. The patient underwent a successful laparoscopic cholecystectomy without converting to open surgery. CONCLUSIONS This case underscores the importance of recognizing anatomical variations when planning surgery. Awareness of right hepatic lobe hypoplasia can aid in timely diagnosis and appropriate management, ultimately reducing surgical risks and complications. Furthermore, we recommend performing CT in case of vague or atypical symptoms of acute cholecystitis, as well as when the gallbladder shows malposition on abdominal ultrasound (US). However, we recommend identifying the anatomical structure during the surgery to avoid complications.</p>\",\"PeriodicalId\":39064,\"journal\":{\"name\":\"American Journal of Case Reports\",\"volume\":\"26 \",\"pages\":\"e948437\"},\"PeriodicalIF\":0.7000,\"publicationDate\":\"2025-09-14\",\"publicationTypes\":\"Journal Article\",\"fieldsOfStudy\":null,\"isOpenAccess\":false,\"openAccessPdf\":\"https://www.ncbi.nlm.nih.gov/pmc/articles/PMC12445154/pdf/\",\"citationCount\":\"0\",\"resultStr\":null,\"platform\":\"Semanticscholar\",\"paperid\":null,\"PeriodicalName\":\"American Journal of Case Reports\",\"FirstCategoryId\":\"1085\",\"ListUrlMain\":\"https://doi.org/10.12659/AJCR.948437\",\"RegionNum\":0,\"RegionCategory\":null,\"ArticlePicture\":[],\"TitleCN\":null,\"AbstractTextCN\":null,\"PMCID\":null,\"EPubDate\":\"\",\"PubModel\":\"\",\"JCR\":\"Q3\",\"JCRName\":\"MEDICINE, GENERAL & INTERNAL\",\"Score\":null,\"Total\":0}","platform":"Semanticscholar","paperid":null,"PeriodicalName":"American Journal of Case Reports","FirstCategoryId":"1085","ListUrlMain":"https://doi.org/10.12659/AJCR.948437","RegionNum":0,"RegionCategory":null,"ArticlePicture":[],"TitleCN":null,"AbstractTextCN":null,"PMCID":null,"EPubDate":"","PubModel":"","JCR":"Q3","JCRName":"MEDICINE, GENERAL & INTERNAL","Score":null,"Total":0}
引用次数: 0

摘要

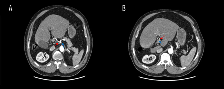
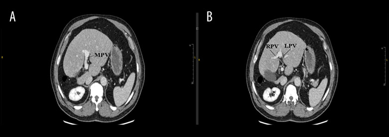
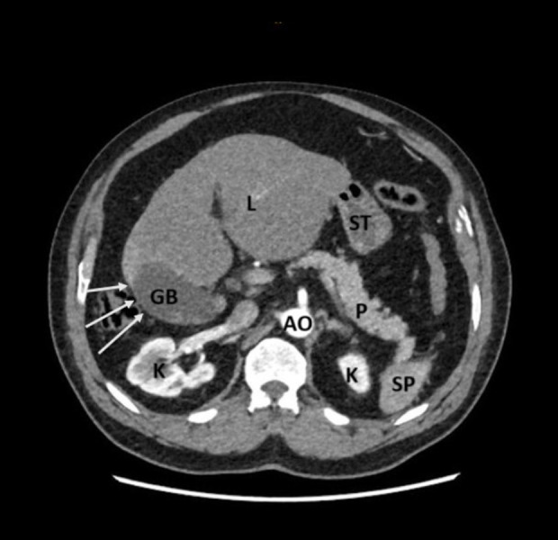
背景右肝叶发育不全是一种罕见的先天性异常,通常在影像学或外科手术中偶然发现。这种异常在手术中可能具有挑战性,导致术中并发症。右肝发育不全患者通常生活正常,无症状,但可合并肝硬化、门静脉高压症和胆结石。虽然先天性肝发育不全和胆囊炎之间的确切病理生理关系尚不清楚,但已经提出了一些促成因素。这些包括肝细胞核因子1B (HNF1B)转录的突变,胆囊功能受损以及由于位置不当导致的胆囊缺血。病例报告:一名70岁男性表现为坏疽性胆囊炎并并发右肝叶发育不全;以前没有记录的组合。患者最初无症状,表现为剧烈的胃脘痛,经腹部超声诊断为急性胆囊炎。然而,计算机断层扫描(CT)成像显示右肝叶严重发育不全,伴有左肝叶代偿性肥大,胆囊结石。尽管实验室结果正常,但我们认为这种异常延迟了诊断,直到发展为胆囊炎作为并发症。患者接受了成功的腹腔镜胆囊切除术,没有转到开放手术。结论:本病例强调了在计划手术时识别解剖变异的重要性。意识到右肝叶发育不全有助于及时诊断和适当处理,最终减少手术风险和并发症。此外,我们建议在急性胆囊炎症状不明确或不典型的情况下,以及腹部超声(US)显示胆囊位置异常时,进行CT检查。然而,我们建议在手术中确定解剖结构,以避免并发症。
本文章由计算机程序翻译,如有差异,请以英文原文为准。

Right Hepatic Lobe Hypoplasia and Gangrenous Cholecystitis: Surgical Implications and Case Report.

Right Hepatic Lobe Hypoplasia and Gangrenous Cholecystitis: Surgical Implications and Case Report.

Right Hepatic Lobe Hypoplasia and Gangrenous Cholecystitis: Surgical Implications and Case Report.

Right Hepatic Lobe Hypoplasia and Gangrenous Cholecystitis: Surgical Implications and Case Report.

BACKGROUND Hypoplasia of the right hepatic lobe is a rare congenital anomaly often discovered incidentally during imaging or surgery. This anomaly can be challenging during surgery, leading to intraoperative complications. Patient with right hepatic hypoplasia usually live normally without symptoms, but it can be associated with liver cirrhosis, portal hypertension, and gallstones. While the exact pathophysiological relationship between congenital hepatic hypoplasia and cholecystitis remains unclear, a few contributing factors have been proposed. These include mutations in the hepatocyte nuclear factor 1B (HNF1B) transcription, impaired gallbladder function, and gallbladder ischemia due to malposition. CASE REPORT A 70-year-old man presented with gangrenous cholecystitis and concurrent hypoplasia of the right hepatic lobe; a combination not previously documented. The patient, initially asymptomatic, presented with sharp epigastric pain and was diagnosed with acute cholecystitis through abdominal ultrasound. However, computed tomography (CT) imaging showed severe hypoplasia of the right liver lobe with associated compensatory hypertrophy of the left lobe in addition to stones in the gallbladder. Despite normal laboratory results, we think that the anomaly delayed the diagnosis until the development of cholecystitis as a complication. The patient underwent a successful laparoscopic cholecystectomy without converting to open surgery. CONCLUSIONS This case underscores the importance of recognizing anatomical variations when planning surgery. Awareness of right hepatic lobe hypoplasia can aid in timely diagnosis and appropriate management, ultimately reducing surgical risks and complications. Furthermore, we recommend performing CT in case of vague or atypical symptoms of acute cholecystitis, as well as when the gallbladder shows malposition on abdominal ultrasound (US). However, we recommend identifying the anatomical structure during the surgery to avoid complications.

求助全文
通过发布文献求助,成功后即可免费获取论文全文。 去求助
来源期刊
American Journal of Case Reports
American Journal of Case Reports Medicine-Medicine (all)
CiteScore
1.80
自引率
0.00%
发文量
599
期刊介绍: American Journal of Case Reports is an international, peer-reviewed scientific journal that publishes single and series case reports in all medical fields. American Journal of Case Reports is issued on a continuous basis as a primary electronic journal. Print copies of a single article or a set of articles can be ordered on demand.
×
引用
GB/T 7714-2015
复制
MLA
复制
APA
复制
导出至
BibTeX EndNote RefMan NoteFirst NoteExpress
×
提示
您的信息不完整,为了账户安全,请先补充。
现在去补充
×
提示
您因"违规操作"
具体请查看互助需知
我知道了
×
提示
确定
请完成安全验证×
copy
已复制链接
快去分享给好友吧!
我知道了
右上角分享
点击右上角分享
0
联系我们:info@booksci.cn Book学术提供免费学术资源搜索服务,方便国内外学者检索中英文文献。致力于提供最便捷和优质的服务体验。 Copyright © 2023 布克学术 All rights reserved.
京ICP备2023020795号-1
ghs 京公网安备 11010802042870号
Book学术文献互助
Book学术文献互助群
群 号:604180095
Book学术官方微信