神经系统疾病与基底神经节钙化的遗传背景。

IF 4.6 2区 医学 Q1 CLINICAL NEUROLOGY
Maha Yektay Farahmand, Joel Wallenius, Johan Wasselius, Olof Gråhamn, Andreas Puschmann, Andreea Ilinca
{"title":"神经系统疾病与基底神经节钙化的遗传背景。","authors":"Maha Yektay Farahmand, Joel Wallenius, Johan Wasselius, Olof Gråhamn, Andreas Puschmann, Andreea Ilinca","doi":"10.1007/s00415-025-13344-1","DOIUrl":null,"url":null,"abstract":"<p><strong>Background: </strong>Bilateral basal ganglia calcifications (BGCs), if severe, are known hallmarks for idiopathic BGC disease (IBGC), but if milder, are often considered radiological findings of unknown significance. In previous studies, only a minority of patients with BGC had monogenic forms of IBGC.</p><p><strong>Methods: </strong>We studied consecutive patients from a tertiary neurology clinic with bilateral BGCs of variable severity, and their families. We analyzed known IBGC genes, and an extended panel of genes linked to monogenic stroke and metabolic conditions. Clinical, radiological, and genetic data were collected, including vascular risk factors, cerebrovascular events, imaging findings (total calcification score, white matter hyperintensities, ischemic/hemorrhagic lesions), and relevant family history.</p><p><strong>Results: </strong>Twenty-four families with BGCs and neurological symptoms were analyzed. Disease-causing variants were identified in 14 families (58.3%). Eight patients had IBGC (variants in SLC20A2, PDGFB, MYORG), 4 had mitochondrial disease (MT-TL1), and 2 had monogenic vascular conditions (GAL, MAP3K6). Three variants were novel. BGC severity was highest in IBGC cases, while vascular and mitochondrial cases had milder calcifications. White matter hyperintensities were seen in 94.7% of cases and correlated highly with the total calcification score. Clinical vascular events had occurred in 41.7% cases. No monogenic cause was found in 10 patients, although many of these showed clinical or radiological features suggestive of monogenic disease.</p><p><strong>Conclusions: </strong>Bilateral BGCs can occur in many neurogenetic disorders apart from IBGCs, and a broader genetic search increases the diagnostic yield. Patients with BGCs frequently had clinical cerebrovascular events, which emphasizes the role of cerebrovascular pathology in BGCs.</p>","PeriodicalId":16558,"journal":{"name":"Journal of Neurology","volume":"272 9","pages":"632"},"PeriodicalIF":4.6000,"publicationDate":"2025-09-14","publicationTypes":"Journal Article","fieldsOfStudy":null,"isOpenAccess":false,"openAccessPdf":"https://www.ncbi.nlm.nih.gov/pmc/articles/PMC12433921/pdf/","citationCount":"0","resultStr":"{\"title\":\"Genetic background of neurological disorders with basal ganglia calcification.\",\"authors\":\"Maha Yektay Farahmand, Joel Wallenius, Johan Wasselius, Olof Gråhamn, Andreas Puschmann, Andreea Ilinca\",\"doi\":\"10.1007/s00415-025-13344-1\",\"DOIUrl\":null,\"url\":null,\"abstract\":\"<p><strong>Background: </strong>Bilateral basal ganglia calcifications (BGCs), if severe, are known hallmarks for idiopathic BGC disease (IBGC), but if milder, are often considered radiological findings of unknown significance. In previous studies, only a minority of patients with BGC had monogenic forms of IBGC.</p><p><strong>Methods: </strong>We studied consecutive patients from a tertiary neurology clinic with bilateral BGCs of variable severity, and their families. We analyzed known IBGC genes, and an extended panel of genes linked to monogenic stroke and metabolic conditions. Clinical, radiological, and genetic data were collected, including vascular risk factors, cerebrovascular events, imaging findings (total calcification score, white matter hyperintensities, ischemic/hemorrhagic lesions), and relevant family history.</p><p><strong>Results: </strong>Twenty-four families with BGCs and neurological symptoms were analyzed. Disease-causing variants were identified in 14 families (58.3%). Eight patients had IBGC (variants in SLC20A2, PDGFB, MYORG), 4 had mitochondrial disease (MT-TL1), and 2 had monogenic vascular conditions (GAL, MAP3K6). Three variants were novel. BGC severity was highest in IBGC cases, while vascular and mitochondrial cases had milder calcifications. White matter hyperintensities were seen in 94.7% of cases and correlated highly with the total calcification score. Clinical vascular events had occurred in 41.7% cases. No monogenic cause was found in 10 patients, although many of these showed clinical or radiological features suggestive of monogenic disease.</p><p><strong>Conclusions: </strong>Bilateral BGCs can occur in many neurogenetic disorders apart from IBGCs, and a broader genetic search increases the diagnostic yield. Patients with BGCs frequently had clinical cerebrovascular events, which emphasizes the role of cerebrovascular pathology in BGCs.</p>\",\"PeriodicalId\":16558,\"journal\":{\"name\":\"Journal of Neurology\",\"volume\":\"272 9\",\"pages\":\"632\"},\"PeriodicalIF\":4.6000,\"publicationDate\":\"2025-09-14\",\"publicationTypes\":\"Journal Article\",\"fieldsOfStudy\":null,\"isOpenAccess\":false,\"openAccessPdf\":\"https://www.ncbi.nlm.nih.gov/pmc/articles/PMC12433921/pdf/\",\"citationCount\":\"0\",\"resultStr\":null,\"platform\":\"Semanticscholar\",\"paperid\":null,\"PeriodicalName\":\"Journal of Neurology\",\"FirstCategoryId\":\"3\",\"ListUrlMain\":\"https://doi.org/10.1007/s00415-025-13344-1\",\"RegionNum\":2,\"RegionCategory\":\"医学\",\"ArticlePicture\":[],\"TitleCN\":null,\"AbstractTextCN\":null,\"PMCID\":null,\"EPubDate\":\"\",\"PubModel\":\"\",\"JCR\":\"Q1\",\"JCRName\":\"CLINICAL NEUROLOGY\",\"Score\":null,\"Total\":0}","platform":"Semanticscholar","paperid":null,"PeriodicalName":"Journal of Neurology","FirstCategoryId":"3","ListUrlMain":"https://doi.org/10.1007/s00415-025-13344-1","RegionNum":2,"RegionCategory":"医学","ArticlePicture":[],"TitleCN":null,"AbstractTextCN":null,"PMCID":null,"EPubDate":"","PubModel":"","JCR":"Q1","JCRName":"CLINICAL NEUROLOGY","Score":null,"Total":0}
引用次数: 0

摘要

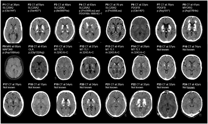
背景:双侧基底神经节钙化(BGCs),如果严重,是特发性基底神经节疾病(IBGC)的已知标志,但如果较轻,通常被认为是未知意义的影像学表现。在以往的研究中,只有少数BGC患者为单基因型IBGC。方法:我们研究了来自三级神经内科门诊的不同严重程度的双侧bgc患者及其家属。我们分析了已知的IBGC基因,以及与单基因中风和代谢状况相关的扩展基因组。收集临床、影像学和遗传学资料,包括血管危险因素、脑血管事件、影像学表现(钙化总评分、白质高信号、缺血性/出血性病变)和相关家族史。结果:分析了24个有BGCs和神经系统症状的家庭。14个家族(58.3%)发现致病变异。8名患者患有IBGC (SLC20A2、PDGFB、MYORG变异),4名患者患有线粒体疾病(MT-TL1), 2名患者患有单基因血管疾病(GAL、MAP3K6)。有三种变体是新颖的。BGC严重程度最高的IBGC病例,而血管和线粒体的钙化较轻。94.7%的病例出现白质高信号,且与钙化总评分高度相关。41.7%的病例发生了临床血管事件。10例患者未发现单基因病因,尽管其中许多患者表现出提示单基因疾病的临床或放射学特征。结论:除IBGCs外,双侧BGCs可发生在许多神经遗传性疾病中,更广泛的基因搜索可提高诊断率。bgc患者常发生临床脑血管事件,这强调了脑血管病理在bgc中的作用。
本文章由计算机程序翻译,如有差异,请以英文原文为准。

Genetic background of neurological disorders with basal ganglia calcification.

Genetic background of neurological disorders with basal ganglia calcification.

Genetic background of neurological disorders with basal ganglia calcification.

Genetic background of neurological disorders with basal ganglia calcification.

Background: Bilateral basal ganglia calcifications (BGCs), if severe, are known hallmarks for idiopathic BGC disease (IBGC), but if milder, are often considered radiological findings of unknown significance. In previous studies, only a minority of patients with BGC had monogenic forms of IBGC.

Methods: We studied consecutive patients from a tertiary neurology clinic with bilateral BGCs of variable severity, and their families. We analyzed known IBGC genes, and an extended panel of genes linked to monogenic stroke and metabolic conditions. Clinical, radiological, and genetic data were collected, including vascular risk factors, cerebrovascular events, imaging findings (total calcification score, white matter hyperintensities, ischemic/hemorrhagic lesions), and relevant family history.

Results: Twenty-four families with BGCs and neurological symptoms were analyzed. Disease-causing variants were identified in 14 families (58.3%). Eight patients had IBGC (variants in SLC20A2, PDGFB, MYORG), 4 had mitochondrial disease (MT-TL1), and 2 had monogenic vascular conditions (GAL, MAP3K6). Three variants were novel. BGC severity was highest in IBGC cases, while vascular and mitochondrial cases had milder calcifications. White matter hyperintensities were seen in 94.7% of cases and correlated highly with the total calcification score. Clinical vascular events had occurred in 41.7% cases. No monogenic cause was found in 10 patients, although many of these showed clinical or radiological features suggestive of monogenic disease.

Conclusions: Bilateral BGCs can occur in many neurogenetic disorders apart from IBGCs, and a broader genetic search increases the diagnostic yield. Patients with BGCs frequently had clinical cerebrovascular events, which emphasizes the role of cerebrovascular pathology in BGCs.

求助全文
通过发布文献求助,成功后即可免费获取论文全文。 去求助
来源期刊
Journal of Neurology
Journal of Neurology 医学-临床神经学
CiteScore
10.00
自引率
5.00%
发文量
558
审稿时长
1 months
期刊介绍: The Journal of Neurology is an international peer-reviewed journal which provides a source for publishing original communications and reviews on clinical neurology covering the whole field. In addition, Letters to the Editors serve as a forum for clinical cases and the exchange of ideas which highlight important new findings. A section on Neurological progress serves to summarise the major findings in certain fields of neurology. Commentaries on new developments in clinical neuroscience, which may be commissioned or submitted, are published as editorials. Every neurologist interested in the current diagnosis and treatment of neurological disorders needs access to the information contained in this valuable journal.
×
引用
GB/T 7714-2015
复制
MLA
复制
APA
复制
导出至
BibTeX EndNote RefMan NoteFirst NoteExpress
×
提示
您的信息不完整,为了账户安全,请先补充。
现在去补充
×
提示
您因"违规操作"
具体请查看互助需知
我知道了
×
提示
确定
请完成安全验证×
copy
已复制链接
快去分享给好友吧!
我知道了
右上角分享
点击右上角分享
0
联系我们:info@booksci.cn Book学术提供免费学术资源搜索服务,方便国内外学者检索中英文文献。致力于提供最便捷和优质的服务体验。 Copyright © 2023 布克学术 All rights reserved.
京ICP备2023020795号-1
ghs 京公网安备 11010802042870号
Book学术文献互助
Book学术文献互助群
群 号:604180095
Book学术官方微信