上颌腺性牙源性囊肿3例报告并文献复习。

Q2 Dentistry
Bruno Teixeira Gonçalves Rodrigues, Estephani Martins Barcellos de Carvalho, Francisco Lopes Leal Gonçalves, Thuany Servare de Lima, Nathália de Almeida Freire, Henrique Martins da Silveira, Mônica Simões Israel, Marcele Cruz da Silva, Paulo José d'Albuquerque Medeiros, Fábio Ramoa Pires
{"title":"上颌腺性牙源性囊肿3例报告并文献复习。","authors":"Bruno Teixeira Gonçalves Rodrigues, Estephani Martins Barcellos de Carvalho, Francisco Lopes Leal Gonçalves, Thuany Servare de Lima, Nathália de Almeida Freire, Henrique Martins da Silveira, Mônica Simões Israel, Marcele Cruz da Silva, Paulo José d'Albuquerque Medeiros, Fábio Ramoa Pires","doi":"10.4317/jced.62938","DOIUrl":null,"url":null,"abstract":"<p><strong>Background: </strong>Glandular Odontogenic Cyst (GOC) is a rare benign lesion with unique histological features, and more aggressive growth pattern compared to other odontogenic cysts. GOC typically presents as an asymptomatic, slow-growing swelling, predominantly affecting middle-aged males and often localized in the anterior mandible. This report details three cases of GOC affecting the maxilla.</p><p><strong>Case report: </strong>Case 1 presented a GOC mimicking a residual cyst in the maxilla. Case 2 involved a GOC located within the maxillary sinus. Case 3 showed a multilocular radiolucent GOC in the anterior maxilla. All cases were treated by surgery, and the diagnosis was confirmed through microscopic examination.</p><p><strong>Conclusions: </strong>Clinicians should consider GOC when evaluating unilocular or multilocular lesions in the maxilla. <b>Key words:</b>Odontogenic cyst, Jaws, Maxilla, Glandular odontogenic cyst.</p>","PeriodicalId":15376,"journal":{"name":"Journal of Clinical and Experimental Dentistry","volume":"17 8","pages":"e1014-e1018"},"PeriodicalIF":0.0000,"publicationDate":"2025-08-01","publicationTypes":"Journal Article","fieldsOfStudy":null,"isOpenAccess":false,"openAccessPdf":"https://www.ncbi.nlm.nih.gov/pmc/articles/PMC12424593/pdf/","citationCount":"0","resultStr":"{\"title\":\"Maxillary Glandular Odontogenic Cyst - report of 3 cases and literature review.\",\"authors\":\"Bruno Teixeira Gonçalves Rodrigues, Estephani Martins Barcellos de Carvalho, Francisco Lopes Leal Gonçalves, Thuany Servare de Lima, Nathália de Almeida Freire, Henrique Martins da Silveira, Mônica Simões Israel, Marcele Cruz da Silva, Paulo José d'Albuquerque Medeiros, Fábio Ramoa Pires\",\"doi\":\"10.4317/jced.62938\",\"DOIUrl\":null,\"url\":null,\"abstract\":\"<p><strong>Background: </strong>Glandular Odontogenic Cyst (GOC) is a rare benign lesion with unique histological features, and more aggressive growth pattern compared to other odontogenic cysts. GOC typically presents as an asymptomatic, slow-growing swelling, predominantly affecting middle-aged males and often localized in the anterior mandible. This report details three cases of GOC affecting the maxilla.</p><p><strong>Case report: </strong>Case 1 presented a GOC mimicking a residual cyst in the maxilla. Case 2 involved a GOC located within the maxillary sinus. Case 3 showed a multilocular radiolucent GOC in the anterior maxilla. All cases were treated by surgery, and the diagnosis was confirmed through microscopic examination.</p><p><strong>Conclusions: </strong>Clinicians should consider GOC when evaluating unilocular or multilocular lesions in the maxilla. <b>Key words:</b>Odontogenic cyst, Jaws, Maxilla, Glandular odontogenic cyst.</p>\",\"PeriodicalId\":15376,\"journal\":{\"name\":\"Journal of Clinical and Experimental Dentistry\",\"volume\":\"17 8\",\"pages\":\"e1014-e1018\"},\"PeriodicalIF\":0.0000,\"publicationDate\":\"2025-08-01\",\"publicationTypes\":\"Journal Article\",\"fieldsOfStudy\":null,\"isOpenAccess\":false,\"openAccessPdf\":\"https://www.ncbi.nlm.nih.gov/pmc/articles/PMC12424593/pdf/\",\"citationCount\":\"0\",\"resultStr\":null,\"platform\":\"Semanticscholar\",\"paperid\":null,\"PeriodicalName\":\"Journal of Clinical and Experimental Dentistry\",\"FirstCategoryId\":\"1085\",\"ListUrlMain\":\"https://doi.org/10.4317/jced.62938\",\"RegionNum\":0,\"RegionCategory\":null,\"ArticlePicture\":[],\"TitleCN\":null,\"AbstractTextCN\":null,\"PMCID\":null,\"EPubDate\":\"\",\"PubModel\":\"\",\"JCR\":\"Q2\",\"JCRName\":\"Dentistry\",\"Score\":null,\"Total\":0}","platform":"Semanticscholar","paperid":null,"PeriodicalName":"Journal of Clinical and Experimental Dentistry","FirstCategoryId":"1085","ListUrlMain":"https://doi.org/10.4317/jced.62938","RegionNum":0,"RegionCategory":null,"ArticlePicture":[],"TitleCN":null,"AbstractTextCN":null,"PMCID":null,"EPubDate":"","PubModel":"","JCR":"Q2","JCRName":"Dentistry","Score":null,"Total":0}
引用次数: 0

摘要

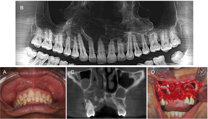
背景:腺性牙源性囊肿(GOC)是一种罕见的良性病变,具有独特的组织学特征,与其他牙源性囊肿相比,其生长方式更具侵袭性。GOC通常表现为无症状,生长缓慢的肿胀,主要影响中年男性,通常局限于前下颌骨。本文报告了三例影响上颌骨的GOC。病例报告:病例1在上颌骨出现了一个模仿残余囊肿的GOC。病例2涉及位于上颌窦内的GOC。病例3在上颌骨前显示多房放射性GOC。所有病例均行手术治疗,镜检确诊。结论:临床医生在评估上颌骨单眼或多房病变时应考虑GOC。关键词:牙源性囊肿,颌,上颌骨,腺源性牙源性囊肿
本文章由计算机程序翻译,如有差异,请以英文原文为准。

Maxillary Glandular Odontogenic Cyst - report of 3 cases and literature review.

Maxillary Glandular Odontogenic Cyst - report of 3 cases and literature review.

Maxillary Glandular Odontogenic Cyst - report of 3 cases and literature review.

Maxillary Glandular Odontogenic Cyst - report of 3 cases and literature review.

Background: Glandular Odontogenic Cyst (GOC) is a rare benign lesion with unique histological features, and more aggressive growth pattern compared to other odontogenic cysts. GOC typically presents as an asymptomatic, slow-growing swelling, predominantly affecting middle-aged males and often localized in the anterior mandible. This report details three cases of GOC affecting the maxilla.

Case report: Case 1 presented a GOC mimicking a residual cyst in the maxilla. Case 2 involved a GOC located within the maxillary sinus. Case 3 showed a multilocular radiolucent GOC in the anterior maxilla. All cases were treated by surgery, and the diagnosis was confirmed through microscopic examination.

Conclusions: Clinicians should consider GOC when evaluating unilocular or multilocular lesions in the maxilla. Key words:Odontogenic cyst, Jaws, Maxilla, Glandular odontogenic cyst.

求助全文
通过发布文献求助,成功后即可免费获取论文全文。 去求助
来源期刊
CiteScore
2.70
自引率
0.00%
发文量
118
期刊介绍: Indexed in PUBMED, PubMed Central® (PMC) since 2012 and SCOPUSJournal of Clinical and Experimental Dentistry is an Open Access (free access on-line) - http://www.medicinaoral.com/odo/indice.htm. The aim of the Journal of Clinical and Experimental Dentistry is: - Periodontology - Community and Preventive Dentistry - Esthetic Dentistry - Biomaterials and Bioengineering in Dentistry - Operative Dentistry and Endodontics - Prosthetic Dentistry - Orthodontics - Oral Medicine and Pathology - Odontostomatology for the disabled or special patients - Oral Surgery
×
引用
GB/T 7714-2015
复制
MLA
复制
APA
复制
导出至
BibTeX EndNote RefMan NoteFirst NoteExpress
×
提示
您的信息不完整,为了账户安全,请先补充。
现在去补充
×
提示
您因"违规操作"
具体请查看互助需知
我知道了
×
提示
确定
请完成安全验证×
copy
已复制链接
快去分享给好友吧!
我知道了
右上角分享
点击右上角分享
0
联系我们:info@booksci.cn Book学术提供免费学术资源搜索服务,方便国内外学者检索中英文文献。致力于提供最便捷和优质的服务体验。 Copyright © 2023 布克学术 All rights reserved.
京ICP备2023020795号-1
ghs 京公网安备 11010802042870号
Book学术文献互助
Book学术文献互助群
群 号:604180095
Book学术官方微信