前庭切口骨膜下隧道通道与冠状推进皮瓣联合富血小板纤维蛋白治疗上颌龈退缩的比较评价——一项随机对照研究。

Q2 Dentistry
Megha Ellu Poojary, Monali Shah, Richa Saroj
{"title":"前庭切口骨膜下隧道通道与冠状推进皮瓣联合富血小板纤维蛋白治疗上颌龈退缩的比较评价——一项随机对照研究。","authors":"Megha Ellu Poojary, Monali Shah, Richa Saroj","doi":"10.4103/jisp.jisp_490_24","DOIUrl":null,"url":null,"abstract":"<p><strong>Background: </strong>Gingival recession requires root coverage to address esthetics and dentinal hypersensitivity, prevent root caries and abrasion, and improve plaque control. The coronally advanced flap (CAF) with subepithelial connective tissue graft (SCTG) is a widely accepted gold standard but is technique sensitive and less predictable. The vestibular incision subperiosteal tunnel access (VISTA) technique is a minimally invasive alternative that yields more predictable results and better patient compliance. Platelet-rich fibrin (PRF) as a membrane for covering defects is less technique sensitive and improves patient comfort compared to SCTG. This study aims to compare the effectiveness of VISTA and CAF, both combined with PRF, in treating maxillary gingival recession.</p><p><strong>Materials and methods: </strong>This randomized controlled trial involved 30 sites (15 in each group) in patients with Cairo <i>et</i> <i>al</i>. recession type 1 (RT1) recession. Sites were assigned to the test group (VISTA + PRF) or the control group (CAF + PRF). Primary outcomes, including probing depth (PD), clinical attachment level (CAL), width of keratinized tissue, thickness of attached gingiva (TAG), vertical depth of recession (VDR), gingival recession width (GRW), and percentage root coverage (%RC), were assessed at baseline and 3 months. Secondary outcomes included postsurgical discomfort, evaluated immediately after surgery and at 1 week.</p><p><strong>Results: </strong>On comparison of the groups, statistically more significant results in terms of PD, CAL, TAG, VDR, GRW, percentage root coverage, and postsurgical discomfort level were seen in the test group compared to the control group.</p><p><strong>Conclusion: </strong>Both VISTA + PRF and CAF + PRF effectively treat maxillary anterior gingival recession (Cairo <i>et al.</i> RT1), but VISTA + PRF shows superior outcomes.</p>","PeriodicalId":15890,"journal":{"name":"Journal of Indian Society of Periodontology","volume":"29 2","pages":"116-122"},"PeriodicalIF":0.0000,"publicationDate":"2025-03-01","publicationTypes":"Journal Article","fieldsOfStudy":null,"isOpenAccess":false,"openAccessPdf":"https://www.ncbi.nlm.nih.gov/pmc/articles/PMC12425240/pdf/","citationCount":"0","resultStr":"{\"title\":\"Comparative evaluation of vestibular incision subperiosteal tunnel access and coronally advanced flap in adjunction with platelet-rich fibrin for maxillary gingival recession - A randomized controlled study.\",\"authors\":\"Megha Ellu Poojary, Monali Shah, Richa Saroj\",\"doi\":\"10.4103/jisp.jisp_490_24\",\"DOIUrl\":null,\"url\":null,\"abstract\":\"<p><strong>Background: </strong>Gingival recession requires root coverage to address esthetics and dentinal hypersensitivity, prevent root caries and abrasion, and improve plaque control. The coronally advanced flap (CAF) with subepithelial connective tissue graft (SCTG) is a widely accepted gold standard but is technique sensitive and less predictable. The vestibular incision subperiosteal tunnel access (VISTA) technique is a minimally invasive alternative that yields more predictable results and better patient compliance. Platelet-rich fibrin (PRF) as a membrane for covering defects is less technique sensitive and improves patient comfort compared to SCTG. This study aims to compare the effectiveness of VISTA and CAF, both combined with PRF, in treating maxillary gingival recession.</p><p><strong>Materials and methods: </strong>This randomized controlled trial involved 30 sites (15 in each group) in patients with Cairo <i>et</i> <i>al</i>. recession type 1 (RT1) recession. Sites were assigned to the test group (VISTA + PRF) or the control group (CAF + PRF). Primary outcomes, including probing depth (PD), clinical attachment level (CAL), width of keratinized tissue, thickness of attached gingiva (TAG), vertical depth of recession (VDR), gingival recession width (GRW), and percentage root coverage (%RC), were assessed at baseline and 3 months. Secondary outcomes included postsurgical discomfort, evaluated immediately after surgery and at 1 week.</p><p><strong>Results: </strong>On comparison of the groups, statistically more significant results in terms of PD, CAL, TAG, VDR, GRW, percentage root coverage, and postsurgical discomfort level were seen in the test group compared to the control group.</p><p><strong>Conclusion: </strong>Both VISTA + PRF and CAF + PRF effectively treat maxillary anterior gingival recession (Cairo <i>et al.</i> RT1), but VISTA + PRF shows superior outcomes.</p>\",\"PeriodicalId\":15890,\"journal\":{\"name\":\"Journal of Indian Society of Periodontology\",\"volume\":\"29 2\",\"pages\":\"116-122\"},\"PeriodicalIF\":0.0000,\"publicationDate\":\"2025-03-01\",\"publicationTypes\":\"Journal Article\",\"fieldsOfStudy\":null,\"isOpenAccess\":false,\"openAccessPdf\":\"https://www.ncbi.nlm.nih.gov/pmc/articles/PMC12425240/pdf/\",\"citationCount\":\"0\",\"resultStr\":null,\"platform\":\"Semanticscholar\",\"paperid\":null,\"PeriodicalName\":\"Journal of Indian Society of Periodontology\",\"FirstCategoryId\":\"1085\",\"ListUrlMain\":\"https://doi.org/10.4103/jisp.jisp_490_24\",\"RegionNum\":0,\"RegionCategory\":null,\"ArticlePicture\":[],\"TitleCN\":null,\"AbstractTextCN\":null,\"PMCID\":null,\"EPubDate\":\"2025/8/19 0:00:00\",\"PubModel\":\"Epub\",\"JCR\":\"Q2\",\"JCRName\":\"Dentistry\",\"Score\":null,\"Total\":0}","platform":"Semanticscholar","paperid":null,"PeriodicalName":"Journal of Indian Society of Periodontology","FirstCategoryId":"1085","ListUrlMain":"https://doi.org/10.4103/jisp.jisp_490_24","RegionNum":0,"RegionCategory":null,"ArticlePicture":[],"TitleCN":null,"AbstractTextCN":null,"PMCID":null,"EPubDate":"2025/8/19 0:00:00","PubModel":"Epub","JCR":"Q2","JCRName":"Dentistry","Score":null,"Total":0}
引用次数: 0

摘要

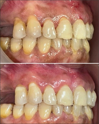
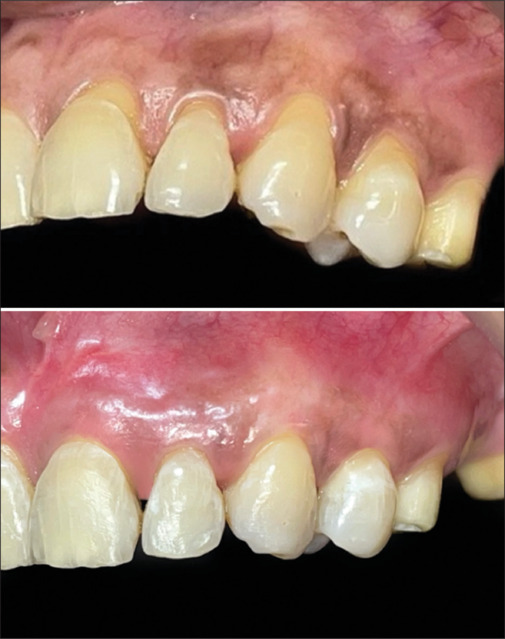
背景:牙龈萎缩需要牙根覆盖,以解决美观和牙本质过敏,防止牙根龋齿和磨损,并改善菌斑控制。冠状晚期皮瓣(CAF)与上皮下结缔组织移植物(SCTG)是被广泛接受的金标准,但技术敏感且难以预测。前庭切口骨膜下隧道入路(VISTA)技术是一种微创替代方法,可产生更可预测的结果和更好的患者依从性。与SCTG相比,富血小板纤维蛋白(PRF)作为一种覆盖缺陷的膜,技术敏感性较低,可提高患者的舒适度。本研究旨在比较VISTA和CAF联合PRF治疗上颌龈退缩的疗效。材料和方法:本随机对照试验涉及Cairo等患者的30个部位(每组15个)1型衰退(RT1)。将试验组(VISTA + PRF)和对照组(CAF + PRF)分为两组。主要结果包括探测深度(PD)、临床附着水平(CAL)、角化组织宽度、附着龈厚度(TAG)、垂直退缩深度(VDR)、牙龈退缩宽度(GRW)和牙根覆盖率百分比(%RC),在基线和3个月时进行评估。次要结果包括术后不适,术后立即和1周评估。结果:组间比较,实验组在PD、CAL、TAG、VDR、GRW、牙根覆盖率百分比、术后不适程度等指标均较对照组有统计学意义。结论:VISTA + PRF和CAF + PRF均能有效治疗上颌前龈退缩(Cairo等)。RT1),但VISTA + PRF显示出更好的结果。
本文章由计算机程序翻译,如有差异,请以英文原文为准。

Comparative evaluation of vestibular incision subperiosteal tunnel access and coronally advanced flap in adjunction with platelet-rich fibrin for maxillary gingival recession - A randomized controlled study.

Comparative evaluation of vestibular incision subperiosteal tunnel access and coronally advanced flap in adjunction with platelet-rich fibrin for maxillary gingival recession - A randomized controlled study.

Comparative evaluation of vestibular incision subperiosteal tunnel access and coronally advanced flap in adjunction with platelet-rich fibrin for maxillary gingival recession - A randomized controlled study.

Comparative evaluation of vestibular incision subperiosteal tunnel access and coronally advanced flap in adjunction with platelet-rich fibrin for maxillary gingival recession - A randomized controlled study.

Background: Gingival recession requires root coverage to address esthetics and dentinal hypersensitivity, prevent root caries and abrasion, and improve plaque control. The coronally advanced flap (CAF) with subepithelial connective tissue graft (SCTG) is a widely accepted gold standard but is technique sensitive and less predictable. The vestibular incision subperiosteal tunnel access (VISTA) technique is a minimally invasive alternative that yields more predictable results and better patient compliance. Platelet-rich fibrin (PRF) as a membrane for covering defects is less technique sensitive and improves patient comfort compared to SCTG. This study aims to compare the effectiveness of VISTA and CAF, both combined with PRF, in treating maxillary gingival recession.

Materials and methods: This randomized controlled trial involved 30 sites (15 in each group) in patients with Cairo et al. recession type 1 (RT1) recession. Sites were assigned to the test group (VISTA + PRF) or the control group (CAF + PRF). Primary outcomes, including probing depth (PD), clinical attachment level (CAL), width of keratinized tissue, thickness of attached gingiva (TAG), vertical depth of recession (VDR), gingival recession width (GRW), and percentage root coverage (%RC), were assessed at baseline and 3 months. Secondary outcomes included postsurgical discomfort, evaluated immediately after surgery and at 1 week.

Results: On comparison of the groups, statistically more significant results in terms of PD, CAL, TAG, VDR, GRW, percentage root coverage, and postsurgical discomfort level were seen in the test group compared to the control group.

Conclusion: Both VISTA + PRF and CAF + PRF effectively treat maxillary anterior gingival recession (Cairo et al. RT1), but VISTA + PRF shows superior outcomes.

求助全文
通过发布文献求助,成功后即可免费获取论文全文。 去求助
来源期刊
CiteScore
1.70
自引率
0.00%
发文量
87
审稿时长
44 weeks
期刊介绍: The Journal of Indian Society of Periodontology publishes original scientific articles to support practice , education and research in the dental specialty of periodontology and oral implantology. Journal of Indian Society of Periodontology (JISP), is the official publication of the Society and is managed and brought out by the Editor of the society. The journal is published Bimonthly with special issues being brought out for specific occasions. The ISP had a bulletin as its publication for a large number of years and was enhanced as a Journal a few years ago
×
引用
GB/T 7714-2015
复制
MLA
复制
APA
复制
导出至
BibTeX EndNote RefMan NoteFirst NoteExpress
×
提示
您的信息不完整,为了账户安全,请先补充。
现在去补充
×
提示
您因"违规操作"
具体请查看互助需知
我知道了
×
提示
确定
请完成安全验证×
copy
已复制链接
快去分享给好友吧!
我知道了
右上角分享
点击右上角分享
0
联系我们:info@booksci.cn Book学术提供免费学术资源搜索服务,方便国内外学者检索中英文文献。致力于提供最便捷和优质的服务体验。 Copyright © 2023 布克学术 All rights reserved.
京ICP备2023020795号-1
ghs 京公网安备 11010802042870号
Book学术文献互助
Book学术文献互助群
群 号:604180095
Book学术官方微信