儿童期结肠扭转与先天性巨结肠病相关。

IF 2.3 3区 医学 Q2 GASTROENTEROLOGY & HEPATOLOGY
Hazem Samir Amra, Mostafa M Elghandour, Mohammed Abdel-Latif
{"title":"儿童期结肠扭转与先天性巨结肠病相关。","authors":"Hazem Samir Amra, Mostafa M Elghandour, Mohammed Abdel-Latif","doi":"10.1007/s00384-025-04994-8","DOIUrl":null,"url":null,"abstract":"<p><strong>Purpose: </strong>Colonic volvulus (CV) is a twist of part of the colon over its mesentery. Although CV is rare in children, its incidence is unknown. Hirschsprung's disease (HD) represents a significant risk factor of CV in children, especially when diagnosed late.</p><p><strong>Aim: </strong>To review the clinical, radiological and management data of children with CV associated with HD.</p><p><strong>Methods: </strong>Medical records were reviewed from January 2000 to December 2022 looking for children had CV associated with HD.</p><p><strong>Results: </strong>21 cases (17 males and 4 females) were admitted with CV. Their ages ranged from 8 days to 14 years. Sigmoid volvulus was recorded in 17 (81%) cases, while 4 (19%) cases had cecal volvulus. CV was associated with HD in 9 (42.9%) cases. Their median age was 7 years. Eight cases had sigmoid volvulus associated with short segment HD, while one case had cecal volvulus with long segment HD. CV was the first presentation, before the diagnosis of HD, in 8 cases. The diagnosis of HD was overlooked in 3 cases; 2 cases had an anastomotic leakage after sigmoidectomy, while the third case had recurrence of volvulus after successful nonoperative management.</p><p><strong>Conclusion: </strong>The diagnosis of CV in children mandates a high index of suspicion. Moreover, HD should be suspected and excluded in every case of CV in children.</p>","PeriodicalId":13789,"journal":{"name":"International Journal of Colorectal Disease","volume":"40 1","pages":"199"},"PeriodicalIF":2.3000,"publicationDate":"2025-09-15","publicationTypes":"Journal Article","fieldsOfStudy":null,"isOpenAccess":false,"openAccessPdf":"https://www.ncbi.nlm.nih.gov/pmc/articles/PMC12433919/pdf/","citationCount":"0","resultStr":"{\"title\":\"Colonic Volvulus Associated with Hirschsprung's Disease in the Pediatric Age.\",\"authors\":\"Hazem Samir Amra, Mostafa M Elghandour, Mohammed Abdel-Latif\",\"doi\":\"10.1007/s00384-025-04994-8\",\"DOIUrl\":null,\"url\":null,\"abstract\":\"<p><strong>Purpose: </strong>Colonic volvulus (CV) is a twist of part of the colon over its mesentery. Although CV is rare in children, its incidence is unknown. Hirschsprung's disease (HD) represents a significant risk factor of CV in children, especially when diagnosed late.</p><p><strong>Aim: </strong>To review the clinical, radiological and management data of children with CV associated with HD.</p><p><strong>Methods: </strong>Medical records were reviewed from January 2000 to December 2022 looking for children had CV associated with HD.</p><p><strong>Results: </strong>21 cases (17 males and 4 females) were admitted with CV. Their ages ranged from 8 days to 14 years. Sigmoid volvulus was recorded in 17 (81%) cases, while 4 (19%) cases had cecal volvulus. CV was associated with HD in 9 (42.9%) cases. Their median age was 7 years. Eight cases had sigmoid volvulus associated with short segment HD, while one case had cecal volvulus with long segment HD. CV was the first presentation, before the diagnosis of HD, in 8 cases. The diagnosis of HD was overlooked in 3 cases; 2 cases had an anastomotic leakage after sigmoidectomy, while the third case had recurrence of volvulus after successful nonoperative management.</p><p><strong>Conclusion: </strong>The diagnosis of CV in children mandates a high index of suspicion. Moreover, HD should be suspected and excluded in every case of CV in children.</p>\",\"PeriodicalId\":13789,\"journal\":{\"name\":\"International Journal of Colorectal Disease\",\"volume\":\"40 1\",\"pages\":\"199\"},\"PeriodicalIF\":2.3000,\"publicationDate\":\"2025-09-15\",\"publicationTypes\":\"Journal Article\",\"fieldsOfStudy\":null,\"isOpenAccess\":false,\"openAccessPdf\":\"https://www.ncbi.nlm.nih.gov/pmc/articles/PMC12433919/pdf/\",\"citationCount\":\"0\",\"resultStr\":null,\"platform\":\"Semanticscholar\",\"paperid\":null,\"PeriodicalName\":\"International Journal of Colorectal Disease\",\"FirstCategoryId\":\"3\",\"ListUrlMain\":\"https://doi.org/10.1007/s00384-025-04994-8\",\"RegionNum\":3,\"RegionCategory\":\"医学\",\"ArticlePicture\":[],\"TitleCN\":null,\"AbstractTextCN\":null,\"PMCID\":null,\"EPubDate\":\"\",\"PubModel\":\"\",\"JCR\":\"Q2\",\"JCRName\":\"GASTROENTEROLOGY & HEPATOLOGY\",\"Score\":null,\"Total\":0}","platform":"Semanticscholar","paperid":null,"PeriodicalName":"International Journal of Colorectal Disease","FirstCategoryId":"3","ListUrlMain":"https://doi.org/10.1007/s00384-025-04994-8","RegionNum":3,"RegionCategory":"医学","ArticlePicture":[],"TitleCN":null,"AbstractTextCN":null,"PMCID":null,"EPubDate":"","PubModel":"","JCR":"Q2","JCRName":"GASTROENTEROLOGY & HEPATOLOGY","Score":null,"Total":0}
引用次数: 0

摘要

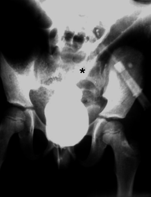
目的:结肠扭转(CV)是结肠在肠系膜上的部分扭曲。虽然CV在儿童中很少见,但其发病率尚不清楚。先天性巨结肠病(HD)是儿童CV的重要危险因素,特别是当诊断较晚时。目的:回顾儿童CV合并HD的临床、放射学和治疗资料。方法:回顾2000年1月至2022年12月的医疗记录,寻找CV与HD相关的儿童。结果:21例CV患者(男17例,女4例)入院。它们的年龄从8天到14岁不等。乙状结肠扭转17例(81%),盲肠扭转4例(19%)。9例(42.9%)CV与HD相关。他们的平均年龄为7岁。乙状结肠扭转伴短节段HD 8例,盲肠扭转伴长节段HD 1例。在诊断为HD之前,CV是8例中的第一个表现。3例忽视HD诊断;2例乙状结肠切除术后出现吻合口漏,3例非手术治疗成功后肠扭转复发。结论:儿童CV的诊断需要较高的怀疑指数。此外,在所有儿童CV病例中都应怀疑并排除HD。
本文章由计算机程序翻译,如有差异,请以英文原文为准。

Colonic Volvulus Associated with Hirschsprung's Disease in the Pediatric Age.

Colonic Volvulus Associated with Hirschsprung's Disease in the Pediatric Age.

Colonic Volvulus Associated with Hirschsprung's Disease in the Pediatric Age.

Colonic Volvulus Associated with Hirschsprung's Disease in the Pediatric Age.

Purpose: Colonic volvulus (CV) is a twist of part of the colon over its mesentery. Although CV is rare in children, its incidence is unknown. Hirschsprung's disease (HD) represents a significant risk factor of CV in children, especially when diagnosed late.

Aim: To review the clinical, radiological and management data of children with CV associated with HD.

Methods: Medical records were reviewed from January 2000 to December 2022 looking for children had CV associated with HD.

Results: 21 cases (17 males and 4 females) were admitted with CV. Their ages ranged from 8 days to 14 years. Sigmoid volvulus was recorded in 17 (81%) cases, while 4 (19%) cases had cecal volvulus. CV was associated with HD in 9 (42.9%) cases. Their median age was 7 years. Eight cases had sigmoid volvulus associated with short segment HD, while one case had cecal volvulus with long segment HD. CV was the first presentation, before the diagnosis of HD, in 8 cases. The diagnosis of HD was overlooked in 3 cases; 2 cases had an anastomotic leakage after sigmoidectomy, while the third case had recurrence of volvulus after successful nonoperative management.

Conclusion: The diagnosis of CV in children mandates a high index of suspicion. Moreover, HD should be suspected and excluded in every case of CV in children.

求助全文
通过发布文献求助,成功后即可免费获取论文全文。 去求助
来源期刊
CiteScore
4.90
自引率
3.60%
发文量
206
审稿时长
3-8 weeks
期刊介绍: The International Journal of Colorectal Disease, Clinical and Molecular Gastroenterology and Surgery aims to publish novel and state-of-the-art papers which deal with the physiology and pathophysiology of diseases involving the entire gastrointestinal tract. In addition to original research articles, the following categories will be included: reviews (usually commissioned but may also be submitted), case reports, letters to the editor, and protocols on clinical studies. The journal offers its readers an interdisciplinary forum for clinical science and molecular research related to gastrointestinal disease.
×
引用
GB/T 7714-2015
复制
MLA
复制
APA
复制
导出至
BibTeX EndNote RefMan NoteFirst NoteExpress
×
提示
您的信息不完整,为了账户安全,请先补充。
现在去补充
×
提示
您因"违规操作"
具体请查看互助需知
我知道了
×
提示
确定
请完成安全验证×
copy
已复制链接
快去分享给好友吧!
我知道了
右上角分享
点击右上角分享
0
联系我们:info@booksci.cn Book学术提供免费学术资源搜索服务,方便国内外学者检索中英文文献。致力于提供最便捷和优质的服务体验。 Copyright © 2023 布克学术 All rights reserved.
京ICP备2023020795号-1
ghs 京公网安备 11010802042870号
Book学术文献互助
Book学术文献互助群
群 号:604180095
Book学术官方微信