视隔发育不良合并双侧同质性偏盲1例。

IF 0.7 Q3 MEDICINE, GENERAL & INTERNAL
International Medical Case Reports Journal Pub Date : 2025-09-08 eCollection Date: 2025-01-01 DOI:10.2147/IMCRJ.S513192
Jan Lestak, Martin Fus, Martin Kyncl
{"title":"视隔发育不良合并双侧同质性偏盲1例。","authors":"Jan Lestak, Martin Fus, Martin Kyncl","doi":"10.2147/IMCRJ.S513192","DOIUrl":null,"url":null,"abstract":"<p><p>The paper presents a case report of a man (born1968) who was examined for unusual changes in the visual fields. During the examination in 2020, the right eye had esotropia, the pupillary reaction was correct. The ocular findings on the anterior segment and the ocular media were normal. The papilla of the right eye was temporally paler with c/d=0.5, the left papilla was pale with c/d=0.6, otherwise the background was normal. IOP: 16/18 mmHg. During the examination, diffuse loss of the nerve fiber layer (50 um, resp. 49 um) was detected using OCT, and similarly low values were also found for vessel density. The visual fields showed left-sided homonymous hemianopia with central sparing, partially extending into the upper right quadrants. Electrophysiological examinations of the retina (pattern electroretinogram) and the entire visual analyzer (pattern visual evoked potential - PVEP) showed bilaterally lower amplitudes. The latencies of the P00 VEP peak were not prolonged. For these changes, a magnetic resonance imaging (MRI) examination of the brain was performed with the finding of agenesis of the corpus callosum, associated trigone of the lateral ventricles on both sides. Malformation of the development of the cerebral cortex temporooccipitally medially on the right, of the nature of plymicrogyria. Heterotopia of gray matter periventricularly occipitally on the right. Bilateral atrophy of the optic nerves and chiasm. In the case report of SOD plus, unusual changes in the visual fields are described - homonymous left-sided hemianopia with central sparing. MRI examination of the brain helped to classify this lesion in the temporo-occipital medial region on the right with polymicrogyria.</p>","PeriodicalId":14337,"journal":{"name":"International Medical Case Reports Journal","volume":"18 ","pages":"1159-1165"},"PeriodicalIF":0.7000,"publicationDate":"2025-09-08","publicationTypes":"Journal Article","fieldsOfStudy":null,"isOpenAccess":false,"openAccessPdf":"https://www.ncbi.nlm.nih.gov/pmc/articles/PMC12430242/pdf/","citationCount":"0","resultStr":"{\"title\":\"Septo-Optic Dysplasia Plus with Bilateral Homonymous Hemianopia - Case Report.\",\"authors\":\"Jan Lestak, Martin Fus, Martin Kyncl\",\"doi\":\"10.2147/IMCRJ.S513192\",\"DOIUrl\":null,\"url\":null,\"abstract\":\"<p><p>The paper presents a case report of a man (born1968) who was examined for unusual changes in the visual fields. During the examination in 2020, the right eye had esotropia, the pupillary reaction was correct. The ocular findings on the anterior segment and the ocular media were normal. The papilla of the right eye was temporally paler with c/d=0.5, the left papilla was pale with c/d=0.6, otherwise the background was normal. IOP: 16/18 mmHg. During the examination, diffuse loss of the nerve fiber layer (50 um, resp. 49 um) was detected using OCT, and similarly low values were also found for vessel density. The visual fields showed left-sided homonymous hemianopia with central sparing, partially extending into the upper right quadrants. Electrophysiological examinations of the retina (pattern electroretinogram) and the entire visual analyzer (pattern visual evoked potential - PVEP) showed bilaterally lower amplitudes. The latencies of the P00 VEP peak were not prolonged. For these changes, a magnetic resonance imaging (MRI) examination of the brain was performed with the finding of agenesis of the corpus callosum, associated trigone of the lateral ventricles on both sides. Malformation of the development of the cerebral cortex temporooccipitally medially on the right, of the nature of plymicrogyria. Heterotopia of gray matter periventricularly occipitally on the right. Bilateral atrophy of the optic nerves and chiasm. In the case report of SOD plus, unusual changes in the visual fields are described - homonymous left-sided hemianopia with central sparing. MRI examination of the brain helped to classify this lesion in the temporo-occipital medial region on the right with polymicrogyria.</p>\",\"PeriodicalId\":14337,\"journal\":{\"name\":\"International Medical Case Reports Journal\",\"volume\":\"18 \",\"pages\":\"1159-1165\"},\"PeriodicalIF\":0.7000,\"publicationDate\":\"2025-09-08\",\"publicationTypes\":\"Journal Article\",\"fieldsOfStudy\":null,\"isOpenAccess\":false,\"openAccessPdf\":\"https://www.ncbi.nlm.nih.gov/pmc/articles/PMC12430242/pdf/\",\"citationCount\":\"0\",\"resultStr\":null,\"platform\":\"Semanticscholar\",\"paperid\":null,\"PeriodicalName\":\"International Medical Case Reports Journal\",\"FirstCategoryId\":\"1085\",\"ListUrlMain\":\"https://doi.org/10.2147/IMCRJ.S513192\",\"RegionNum\":0,\"RegionCategory\":null,\"ArticlePicture\":[],\"TitleCN\":null,\"AbstractTextCN\":null,\"PMCID\":null,\"EPubDate\":\"2025/1/1 0:00:00\",\"PubModel\":\"eCollection\",\"JCR\":\"Q3\",\"JCRName\":\"MEDICINE, GENERAL & INTERNAL\",\"Score\":null,\"Total\":0}","platform":"Semanticscholar","paperid":null,"PeriodicalName":"International Medical Case Reports Journal","FirstCategoryId":"1085","ListUrlMain":"https://doi.org/10.2147/IMCRJ.S513192","RegionNum":0,"RegionCategory":null,"ArticlePicture":[],"TitleCN":null,"AbstractTextCN":null,"PMCID":null,"EPubDate":"2025/1/1 0:00:00","PubModel":"eCollection","JCR":"Q3","JCRName":"MEDICINE, GENERAL & INTERNAL","Score":null,"Total":0}
引用次数: 0

摘要

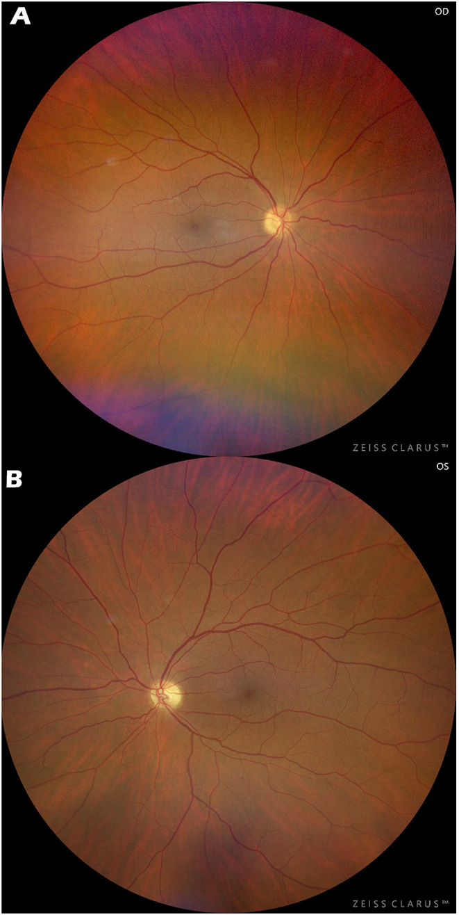
本文提出了一个病例报告的人(1968年出生)谁是检查不寻常的变化,在视野。2020年检查时,右眼内斜视,瞳孔反应正确。眼前节及眼中膜检查正常。右眼乳头暂时性偏白,c/d=0.5,左侧乳头暂时性偏白,c/d=0.6,其他背景正常。IOP: 16/18 mmHg。检查过程中,神经纤维层弥漫性损失(50 μ m)。使用OCT检测到49 μ m),血管密度也发现类似的低值。视野表现为左侧同质性偏盲伴中央偏视,部分延伸至右上象限。视网膜电生理检查(视网膜电图)和全视觉分析仪(模式视觉诱发电位- PVEP)显示双侧振幅较低。P00 VEP峰的潜伏期没有延长。对于这些变化,对大脑进行磁共振成像(MRI)检查,发现胼胝体发育不全,两侧侧脑室相关三角区发育不全。右面颞枕内侧大脑皮层发育的畸形,具有多缩回症的特征。右侧脑室周围枕部灰质异位。双侧视神经和交叉萎缩。在SOD阳性的病例报告中,描述了视野的异常变化-伴有中央保留的同义性左侧偏盲。脑MRI检查有助于对右侧多小回症颞枕内侧区病变进行分类。
本文章由计算机程序翻译,如有差异,请以英文原文为准。

Septo-Optic Dysplasia Plus with Bilateral Homonymous Hemianopia - Case Report.

Septo-Optic Dysplasia Plus with Bilateral Homonymous Hemianopia - Case Report.

Septo-Optic Dysplasia Plus with Bilateral Homonymous Hemianopia - Case Report.

Septo-Optic Dysplasia Plus with Bilateral Homonymous Hemianopia - Case Report.

The paper presents a case report of a man (born1968) who was examined for unusual changes in the visual fields. During the examination in 2020, the right eye had esotropia, the pupillary reaction was correct. The ocular findings on the anterior segment and the ocular media were normal. The papilla of the right eye was temporally paler with c/d=0.5, the left papilla was pale with c/d=0.6, otherwise the background was normal. IOP: 16/18 mmHg. During the examination, diffuse loss of the nerve fiber layer (50 um, resp. 49 um) was detected using OCT, and similarly low values were also found for vessel density. The visual fields showed left-sided homonymous hemianopia with central sparing, partially extending into the upper right quadrants. Electrophysiological examinations of the retina (pattern electroretinogram) and the entire visual analyzer (pattern visual evoked potential - PVEP) showed bilaterally lower amplitudes. The latencies of the P00 VEP peak were not prolonged. For these changes, a magnetic resonance imaging (MRI) examination of the brain was performed with the finding of agenesis of the corpus callosum, associated trigone of the lateral ventricles on both sides. Malformation of the development of the cerebral cortex temporooccipitally medially on the right, of the nature of plymicrogyria. Heterotopia of gray matter periventricularly occipitally on the right. Bilateral atrophy of the optic nerves and chiasm. In the case report of SOD plus, unusual changes in the visual fields are described - homonymous left-sided hemianopia with central sparing. MRI examination of the brain helped to classify this lesion in the temporo-occipital medial region on the right with polymicrogyria.

求助全文
通过发布文献求助,成功后即可免费获取论文全文。 去求助
来源期刊
International Medical Case Reports Journal
International Medical Case Reports Journal MEDICINE, GENERAL & INTERNAL-
CiteScore
1.40
自引率
0.00%
发文量
135
审稿时长
16 weeks
期刊介绍: International Medical Case Reports Journal is an international, peer-reviewed, open access, online journal publishing original case reports from all medical specialties. Submissions should not normally exceed 3,000 words or 4 published pages including figures, diagrams and references. As of 1st April 2019, the International Medical Case Reports Journal will no longer consider meta-analyses for publication.
×
引用
GB/T 7714-2015
复制
MLA
复制
APA
复制
导出至
BibTeX EndNote RefMan NoteFirst NoteExpress
×
提示
您的信息不完整,为了账户安全,请先补充。
现在去补充
×
提示
您因"违规操作"
具体请查看互助需知
我知道了
×
提示
确定
请完成安全验证×
copy
已复制链接
快去分享给好友吧!
我知道了
右上角分享
点击右上角分享
0
联系我们:info@booksci.cn Book学术提供免费学术资源搜索服务,方便国内外学者检索中英文文献。致力于提供最便捷和优质的服务体验。 Copyright © 2023 布克学术 All rights reserved.
京ICP备2023020795号-1
ghs 京公网安备 11010802042870号
Book学术文献互助
Book学术文献互助群
群 号:604180095
Book学术官方微信