包皮环切的年轻男性包皮环切性浆细胞炎1例。

IF 0.7 Q3 MEDICINE, GENERAL & INTERNAL
International Medical Case Reports Journal Pub Date : 2025-09-08 eCollection Date: 2025-01-01 DOI:10.2147/IMCRJ.S546576
Omer A Alsulaiman, Ahmed A Alsaati, Nasser Mohammed Alsaif, Khalid M Al-Husain, Fatma A Al-Jindan, Bader N Algamdi
{"title":"包皮环切的年轻男性包皮环切性浆细胞炎1例。","authors":"Omer A Alsulaiman, Ahmed A Alsaati, Nasser Mohammed Alsaif, Khalid M Al-Husain, Fatma A Al-Jindan, Bader N Algamdi","doi":"10.2147/IMCRJ.S546576","DOIUrl":null,"url":null,"abstract":"<p><p>A 22-year-old incarcerated Saudi man presented with a 2-day history of painful vesicles on the shaft of his circumcised penis that were unrelated to drug use, trauma, exposure to ill persons, or sexual intercourse. Initial laboratory tests were normal, and the patient was initially diagnosed with herpes simplex infection. Due to nonadherence to the initial antiviral treatment, the lesions progressed, leading to a revised diagnosis of chancroid. Subsequent testing ruled out sexually transmitted infections and revealed methicillin-resistant Staphylococcus aureus in the culture of the purulent exudate. Histopathology confirmed balanitis circumscripta plasmacellularis (BCP, zoon's balanitis). The lesion responded well to topical betamethasone, with marked clinical improvement over 2 months. This case highlights that although rare, BCP should be considered in circumcised patients with non-venereal genital lesions. Additionally, it underscores that early histopathological confirmation is essential to avoid misdiagnosis and inappropriate treatment.</p>","PeriodicalId":14337,"journal":{"name":"International Medical Case Reports Journal","volume":"18 ","pages":"1167-1173"},"PeriodicalIF":0.7000,"publicationDate":"2025-09-08","publicationTypes":"Journal Article","fieldsOfStudy":null,"isOpenAccess":false,"openAccessPdf":"https://www.ncbi.nlm.nih.gov/pmc/articles/PMC12430237/pdf/","citationCount":"0","resultStr":"{\"title\":\"Balanitis Circumscripta Plasmacellularis in a Young Circumcised Male: A Case Report.\",\"authors\":\"Omer A Alsulaiman, Ahmed A Alsaati, Nasser Mohammed Alsaif, Khalid M Al-Husain, Fatma A Al-Jindan, Bader N Algamdi\",\"doi\":\"10.2147/IMCRJ.S546576\",\"DOIUrl\":null,\"url\":null,\"abstract\":\"<p><p>A 22-year-old incarcerated Saudi man presented with a 2-day history of painful vesicles on the shaft of his circumcised penis that were unrelated to drug use, trauma, exposure to ill persons, or sexual intercourse. Initial laboratory tests were normal, and the patient was initially diagnosed with herpes simplex infection. Due to nonadherence to the initial antiviral treatment, the lesions progressed, leading to a revised diagnosis of chancroid. Subsequent testing ruled out sexually transmitted infections and revealed methicillin-resistant Staphylococcus aureus in the culture of the purulent exudate. Histopathology confirmed balanitis circumscripta plasmacellularis (BCP, zoon's balanitis). The lesion responded well to topical betamethasone, with marked clinical improvement over 2 months. This case highlights that although rare, BCP should be considered in circumcised patients with non-venereal genital lesions. Additionally, it underscores that early histopathological confirmation is essential to avoid misdiagnosis and inappropriate treatment.</p>\",\"PeriodicalId\":14337,\"journal\":{\"name\":\"International Medical Case Reports Journal\",\"volume\":\"18 \",\"pages\":\"1167-1173\"},\"PeriodicalIF\":0.7000,\"publicationDate\":\"2025-09-08\",\"publicationTypes\":\"Journal Article\",\"fieldsOfStudy\":null,\"isOpenAccess\":false,\"openAccessPdf\":\"https://www.ncbi.nlm.nih.gov/pmc/articles/PMC12430237/pdf/\",\"citationCount\":\"0\",\"resultStr\":null,\"platform\":\"Semanticscholar\",\"paperid\":null,\"PeriodicalName\":\"International Medical Case Reports Journal\",\"FirstCategoryId\":\"1085\",\"ListUrlMain\":\"https://doi.org/10.2147/IMCRJ.S546576\",\"RegionNum\":0,\"RegionCategory\":null,\"ArticlePicture\":[],\"TitleCN\":null,\"AbstractTextCN\":null,\"PMCID\":null,\"EPubDate\":\"2025/1/1 0:00:00\",\"PubModel\":\"eCollection\",\"JCR\":\"Q3\",\"JCRName\":\"MEDICINE, GENERAL & INTERNAL\",\"Score\":null,\"Total\":0}","platform":"Semanticscholar","paperid":null,"PeriodicalName":"International Medical Case Reports Journal","FirstCategoryId":"1085","ListUrlMain":"https://doi.org/10.2147/IMCRJ.S546576","RegionNum":0,"RegionCategory":null,"ArticlePicture":[],"TitleCN":null,"AbstractTextCN":null,"PMCID":null,"EPubDate":"2025/1/1 0:00:00","PubModel":"eCollection","JCR":"Q3","JCRName":"MEDICINE, GENERAL & INTERNAL","Score":null,"Total":0}
引用次数: 0

摘要

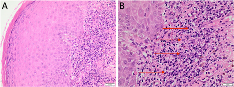
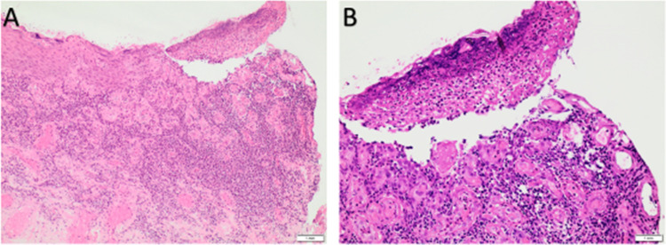
一名22岁被监禁的沙特男子,在其行包皮环切术的阴茎根部出现疼痛囊泡2天,与吸毒、创伤、接触病人或性交无关。最初的实验室检查正常,患者最初被诊断为单纯疱疹感染。由于不坚持最初的抗病毒治疗,病变进展,导致修改诊断软下疳。随后的检测排除了性传播感染,并在化脓性渗出物培养中发现耐甲氧西林金黄色葡萄球菌。组织病理学证实为局限性浆细胞性balanitis (BCP,动物balanitis)。病灶对局部倍他米松反应良好,2个月后临床明显改善。本病例强调,虽然罕见,但包皮环切术患者非性生殖器病变应考虑BCP。此外,它强调早期组织病理学确认是必不可少的,以避免误诊和不适当的治疗。
本文章由计算机程序翻译,如有差异,请以英文原文为准。

Balanitis Circumscripta Plasmacellularis in a Young Circumcised Male: A Case Report.

Balanitis Circumscripta Plasmacellularis in a Young Circumcised Male: A Case Report.

Balanitis Circumscripta Plasmacellularis in a Young Circumcised Male: A Case Report.

Balanitis Circumscripta Plasmacellularis in a Young Circumcised Male: A Case Report.

A 22-year-old incarcerated Saudi man presented with a 2-day history of painful vesicles on the shaft of his circumcised penis that were unrelated to drug use, trauma, exposure to ill persons, or sexual intercourse. Initial laboratory tests were normal, and the patient was initially diagnosed with herpes simplex infection. Due to nonadherence to the initial antiviral treatment, the lesions progressed, leading to a revised diagnosis of chancroid. Subsequent testing ruled out sexually transmitted infections and revealed methicillin-resistant Staphylococcus aureus in the culture of the purulent exudate. Histopathology confirmed balanitis circumscripta plasmacellularis (BCP, zoon's balanitis). The lesion responded well to topical betamethasone, with marked clinical improvement over 2 months. This case highlights that although rare, BCP should be considered in circumcised patients with non-venereal genital lesions. Additionally, it underscores that early histopathological confirmation is essential to avoid misdiagnosis and inappropriate treatment.

求助全文
通过发布文献求助,成功后即可免费获取论文全文。 去求助
来源期刊
International Medical Case Reports Journal
International Medical Case Reports Journal MEDICINE, GENERAL & INTERNAL-
CiteScore
1.40
自引率
0.00%
发文量
135
审稿时长
16 weeks
期刊介绍: International Medical Case Reports Journal is an international, peer-reviewed, open access, online journal publishing original case reports from all medical specialties. Submissions should not normally exceed 3,000 words or 4 published pages including figures, diagrams and references. As of 1st April 2019, the International Medical Case Reports Journal will no longer consider meta-analyses for publication.
×
引用
GB/T 7714-2015
复制
MLA
复制
APA
复制
导出至
BibTeX EndNote RefMan NoteFirst NoteExpress
×
提示
您的信息不完整,为了账户安全,请先补充。
现在去补充
×
提示
您因"违规操作"
具体请查看互助需知
我知道了
×
提示
确定
请完成安全验证×
copy
已复制链接
快去分享给好友吧!
我知道了
右上角分享
点击右上角分享
0
联系我们:info@booksci.cn Book学术提供免费学术资源搜索服务,方便国内外学者检索中英文文献。致力于提供最便捷和优质的服务体验。 Copyright © 2023 布克学术 All rights reserved.
京ICP备2023020795号-1
ghs 京公网安备 11010802042870号
Book学术文献互助
Book学术文献互助群
群 号:604180095
Book学术官方微信