新一代宏基因组测序揭示老年重症肺炎并发脓胸的牙龈卟啉单胞菌:病例报告。

IF 2.9 3区 医学 Q2 INFECTIOUS DISEASES
Infection and Drug Resistance Pub Date : 2025-09-09 eCollection Date: 2025-01-01 DOI:10.2147/IDR.S543666
Na Guo, Guannan Ma, Huimin Liu, Jingxuan Qiu, Yan Yu, Yunlei Gao, Zhong Yi, Zhirong Wan, Lei Zhang, Xiaorui Wu
{"title":"新一代宏基因组测序揭示老年重症肺炎并发脓胸的牙龈卟啉单胞菌:病例报告。","authors":"Na Guo, Guannan Ma, Huimin Liu, Jingxuan Qiu, Yan Yu, Yunlei Gao, Zhong Yi, Zhirong Wan, Lei Zhang, Xiaorui Wu","doi":"10.2147/IDR.S543666","DOIUrl":null,"url":null,"abstract":"<p><strong>Background: </strong>Severe pneumonia with empyema in elderly patients presents diagnostic and therapeutic challenges. Traditional culture methods often fail to identify the causative pathogen, leading to delays in targeted treatment. Metagenomic next-generation sequencing (mNGS) has emerged as a powerful tool for detecting rare and fastidious pathogens.</p><p><strong>Case presentation: </strong>We report a 77-year-old male with a history of chronic smoking and alcohol consumption who presented with a two-month history of cough, sputum production, and progressive dyspnea. His condition rapidly deteriorated with high fever and respiratory failure. Initial antibiotic therapy was ineffective, and multiple cultures of blood, sputum, and pleural fluid were negative. However, mNGS of blood and pleural fluid identified <i>Porphyromonas gingivalis</i>, a well-known periodontal pathogen rarely associated with pulmonary infections. The patient's treatment was adjusted to include targeted anaerobic coverage (imipenem plus vancomycin) alongside chest tube drainage, leading to significant clinical improvement.</p><p><strong>Conclusion: </strong>This case highlights the clinical utility of mNGS in diagnosing culture-negative pulmonary infections. <i>Porphyromonas gingivalis</i> should be considered a potential pathogen in patients with severe pneumonia and empyema, particularly in those with poor oral hygiene or periodontal disease.</p>","PeriodicalId":13577,"journal":{"name":"Infection and Drug Resistance","volume":"18 ","pages":"4811-4816"},"PeriodicalIF":2.9000,"publicationDate":"2025-09-09","publicationTypes":"Journal Article","fieldsOfStudy":null,"isOpenAccess":false,"openAccessPdf":"https://www.ncbi.nlm.nih.gov/pmc/articles/PMC12433199/pdf/","citationCount":"0","resultStr":"{\"title\":\"Metagenomic Next-Generation Sequencing Reveals <i>Porphyromonas gingivalis</i> in Geriatric Severe Pneumonia Complicated by Empyema: Case Report.\",\"authors\":\"Na Guo, Guannan Ma, Huimin Liu, Jingxuan Qiu, Yan Yu, Yunlei Gao, Zhong Yi, Zhirong Wan, Lei Zhang, Xiaorui Wu\",\"doi\":\"10.2147/IDR.S543666\",\"DOIUrl\":null,\"url\":null,\"abstract\":\"<p><strong>Background: </strong>Severe pneumonia with empyema in elderly patients presents diagnostic and therapeutic challenges. Traditional culture methods often fail to identify the causative pathogen, leading to delays in targeted treatment. Metagenomic next-generation sequencing (mNGS) has emerged as a powerful tool for detecting rare and fastidious pathogens.</p><p><strong>Case presentation: </strong>We report a 77-year-old male with a history of chronic smoking and alcohol consumption who presented with a two-month history of cough, sputum production, and progressive dyspnea. His condition rapidly deteriorated with high fever and respiratory failure. Initial antibiotic therapy was ineffective, and multiple cultures of blood, sputum, and pleural fluid were negative. However, mNGS of blood and pleural fluid identified <i>Porphyromonas gingivalis</i>, a well-known periodontal pathogen rarely associated with pulmonary infections. The patient's treatment was adjusted to include targeted anaerobic coverage (imipenem plus vancomycin) alongside chest tube drainage, leading to significant clinical improvement.</p><p><strong>Conclusion: </strong>This case highlights the clinical utility of mNGS in diagnosing culture-negative pulmonary infections. <i>Porphyromonas gingivalis</i> should be considered a potential pathogen in patients with severe pneumonia and empyema, particularly in those with poor oral hygiene or periodontal disease.</p>\",\"PeriodicalId\":13577,\"journal\":{\"name\":\"Infection and Drug Resistance\",\"volume\":\"18 \",\"pages\":\"4811-4816\"},\"PeriodicalIF\":2.9000,\"publicationDate\":\"2025-09-09\",\"publicationTypes\":\"Journal Article\",\"fieldsOfStudy\":null,\"isOpenAccess\":false,\"openAccessPdf\":\"https://www.ncbi.nlm.nih.gov/pmc/articles/PMC12433199/pdf/\",\"citationCount\":\"0\",\"resultStr\":null,\"platform\":\"Semanticscholar\",\"paperid\":null,\"PeriodicalName\":\"Infection and Drug Resistance\",\"FirstCategoryId\":\"3\",\"ListUrlMain\":\"https://doi.org/10.2147/IDR.S543666\",\"RegionNum\":3,\"RegionCategory\":\"医学\",\"ArticlePicture\":[],\"TitleCN\":null,\"AbstractTextCN\":null,\"PMCID\":null,\"EPubDate\":\"2025/1/1 0:00:00\",\"PubModel\":\"eCollection\",\"JCR\":\"Q2\",\"JCRName\":\"INFECTIOUS DISEASES\",\"Score\":null,\"Total\":0}","platform":"Semanticscholar","paperid":null,"PeriodicalName":"Infection and Drug Resistance","FirstCategoryId":"3","ListUrlMain":"https://doi.org/10.2147/IDR.S543666","RegionNum":3,"RegionCategory":"医学","ArticlePicture":[],"TitleCN":null,"AbstractTextCN":null,"PMCID":null,"EPubDate":"2025/1/1 0:00:00","PubModel":"eCollection","JCR":"Q2","JCRName":"INFECTIOUS DISEASES","Score":null,"Total":0}
引用次数: 0

摘要

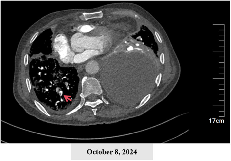
背景:老年重症肺炎伴脓胸患者的诊断和治疗面临挑战。传统的培养方法往往不能识别致病病原体,导致靶向治疗的延误。新一代宏基因组测序(mNGS)已成为检测稀有和挑剔病原体的有力工具。病例介绍:我们报告一位77岁男性,有慢性吸烟和饮酒史,有两个月的咳嗽、咳痰和进行性呼吸困难病史。他的病情迅速恶化,出现高烧和呼吸衰竭。最初的抗生素治疗无效,血液、痰和胸膜液的多种培养均为阴性。然而,血液和胸膜液的mNGS鉴定出牙龈卟啉单胞菌,这是一种众所周知的牙周病原体,很少与肺部感染相关。患者的治疗调整为包括靶向无氧覆盖(亚胺培南加万古霉素)和胸管引流,导致显著的临床改善。结论:本病例突出了mNGS在诊断培养阴性肺部感染中的临床应用价值。牙龈卟啉单胞菌应被认为是严重肺炎和脓肿患者的潜在病原体,特别是那些口腔卫生不良或牙周病患者。
本文章由计算机程序翻译,如有差异,请以英文原文为准。

Metagenomic Next-Generation Sequencing Reveals <i>Porphyromonas gingivalis</i> in Geriatric Severe Pneumonia Complicated by Empyema: Case Report.

Metagenomic Next-Generation Sequencing Reveals <i>Porphyromonas gingivalis</i> in Geriatric Severe Pneumonia Complicated by Empyema: Case Report.

Metagenomic Next-Generation Sequencing Reveals <i>Porphyromonas gingivalis</i> in Geriatric Severe Pneumonia Complicated by Empyema: Case Report.

Metagenomic Next-Generation Sequencing Reveals Porphyromonas gingivalis in Geriatric Severe Pneumonia Complicated by Empyema: Case Report.

Background: Severe pneumonia with empyema in elderly patients presents diagnostic and therapeutic challenges. Traditional culture methods often fail to identify the causative pathogen, leading to delays in targeted treatment. Metagenomic next-generation sequencing (mNGS) has emerged as a powerful tool for detecting rare and fastidious pathogens.

Case presentation: We report a 77-year-old male with a history of chronic smoking and alcohol consumption who presented with a two-month history of cough, sputum production, and progressive dyspnea. His condition rapidly deteriorated with high fever and respiratory failure. Initial antibiotic therapy was ineffective, and multiple cultures of blood, sputum, and pleural fluid were negative. However, mNGS of blood and pleural fluid identified Porphyromonas gingivalis, a well-known periodontal pathogen rarely associated with pulmonary infections. The patient's treatment was adjusted to include targeted anaerobic coverage (imipenem plus vancomycin) alongside chest tube drainage, leading to significant clinical improvement.

Conclusion: This case highlights the clinical utility of mNGS in diagnosing culture-negative pulmonary infections. Porphyromonas gingivalis should be considered a potential pathogen in patients with severe pneumonia and empyema, particularly in those with poor oral hygiene or periodontal disease.

求助全文
通过发布文献求助,成功后即可免费获取论文全文。 去求助
来源期刊
Infection and Drug Resistance
Infection and Drug Resistance Medicine-Pharmacology (medical)
CiteScore
5.60
自引率
7.70%
发文量
826
审稿时长
16 weeks
期刊介绍: About Journal Editors Peer Reviewers Articles Article Publishing Charges Aims and Scope Call For Papers ISSN: 1178-6973 Editor-in-Chief: Professor Suresh Antony An international, peer-reviewed, open access journal that focuses on the optimal treatment of infection (bacterial, fungal and viral) and the development and institution of preventative strategies to minimize the development and spread of resistance.
×
引用
GB/T 7714-2015
复制
MLA
复制
APA
复制
导出至
BibTeX EndNote RefMan NoteFirst NoteExpress
×
提示
您的信息不完整,为了账户安全,请先补充。
现在去补充
×
提示
您因"违规操作"
具体请查看互助需知
我知道了
×
提示
确定
请完成安全验证×
copy
已复制链接
快去分享给好友吧!
我知道了
右上角分享
点击右上角分享
0
联系我们:info@booksci.cn Book学术提供免费学术资源搜索服务,方便国内外学者检索中英文文献。致力于提供最便捷和优质的服务体验。 Copyright © 2023 布克学术 All rights reserved.
京ICP备2023020795号-1
ghs 京公网安备 11010802042870号
Book学术文献互助
Book学术文献互助群
群 号:604180095
Book学术官方微信