肾细胞癌以口腔转移为首发表现:1例报告并文献复习。

IF 1.3 Q4 ONCOLOGY
ecancermedicalscience Pub Date : 2025-07-02 eCollection Date: 2025-01-01 DOI:10.3332/ecancer.2025.1938
Rukmini Bezbaruah, Asreen Suhana, Arpan Choudhury
{"title":"肾细胞癌以口腔转移为首发表现:1例报告并文献复习。","authors":"Rukmini Bezbaruah, Asreen Suhana, Arpan Choudhury","doi":"10.3332/ecancer.2025.1938","DOIUrl":null,"url":null,"abstract":"<p><p>Metastasis of renal cell carcinoma (RCC) to the head and neck region is rare. The metastases of RCC are radioresistant with surgery as the primary treatment modality. Here, we present a case of a 73-year-old male who presented with left facial swelling which on biopsy and immunohistochemistry showed metastatic RCC. The patient was re-evaluated again and the left renal primary was found out.</p>","PeriodicalId":11460,"journal":{"name":"ecancermedicalscience","volume":"19 ","pages":"1938"},"PeriodicalIF":1.3000,"publicationDate":"2025-07-02","publicationTypes":"Journal Article","fieldsOfStudy":null,"isOpenAccess":false,"openAccessPdf":"https://www.ncbi.nlm.nih.gov/pmc/articles/PMC12426493/pdf/","citationCount":"0","resultStr":"{\"title\":\"Oral metastasis as initial presentation of renal cell carcinoma: a case report with review of literature.\",\"authors\":\"Rukmini Bezbaruah, Asreen Suhana, Arpan Choudhury\",\"doi\":\"10.3332/ecancer.2025.1938\",\"DOIUrl\":null,\"url\":null,\"abstract\":\"<p><p>Metastasis of renal cell carcinoma (RCC) to the head and neck region is rare. The metastases of RCC are radioresistant with surgery as the primary treatment modality. Here, we present a case of a 73-year-old male who presented with left facial swelling which on biopsy and immunohistochemistry showed metastatic RCC. The patient was re-evaluated again and the left renal primary was found out.</p>\",\"PeriodicalId\":11460,\"journal\":{\"name\":\"ecancermedicalscience\",\"volume\":\"19 \",\"pages\":\"1938\"},\"PeriodicalIF\":1.3000,\"publicationDate\":\"2025-07-02\",\"publicationTypes\":\"Journal Article\",\"fieldsOfStudy\":null,\"isOpenAccess\":false,\"openAccessPdf\":\"https://www.ncbi.nlm.nih.gov/pmc/articles/PMC12426493/pdf/\",\"citationCount\":\"0\",\"resultStr\":null,\"platform\":\"Semanticscholar\",\"paperid\":null,\"PeriodicalName\":\"ecancermedicalscience\",\"FirstCategoryId\":\"1085\",\"ListUrlMain\":\"https://doi.org/10.3332/ecancer.2025.1938\",\"RegionNum\":0,\"RegionCategory\":null,\"ArticlePicture\":[],\"TitleCN\":null,\"AbstractTextCN\":null,\"PMCID\":null,\"EPubDate\":\"2025/1/1 0:00:00\",\"PubModel\":\"eCollection\",\"JCR\":\"Q4\",\"JCRName\":\"ONCOLOGY\",\"Score\":null,\"Total\":0}","platform":"Semanticscholar","paperid":null,"PeriodicalName":"ecancermedicalscience","FirstCategoryId":"1085","ListUrlMain":"https://doi.org/10.3332/ecancer.2025.1938","RegionNum":0,"RegionCategory":null,"ArticlePicture":[],"TitleCN":null,"AbstractTextCN":null,"PMCID":null,"EPubDate":"2025/1/1 0:00:00","PubModel":"eCollection","JCR":"Q4","JCRName":"ONCOLOGY","Score":null,"Total":0}
引用次数: 0

摘要

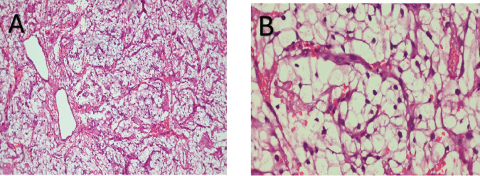
摘要肾细胞癌(RCC)转移至头颈部是罕见的。肾细胞癌转移灶具有放射抵抗性,手术是主要的治疗方式。在这里,我们提出一个73岁男性的病例,他表现为左面部肿胀,活检和免疫组织化学显示转移性肾细胞癌。再次对患者进行复查,确定了左肾原发病变。
本文章由计算机程序翻译,如有差异,请以英文原文为准。

Oral metastasis as initial presentation of renal cell carcinoma: a case report with review of literature.

Oral metastasis as initial presentation of renal cell carcinoma: a case report with review of literature.

Oral metastasis as initial presentation of renal cell carcinoma: a case report with review of literature.

Oral metastasis as initial presentation of renal cell carcinoma: a case report with review of literature.

Metastasis of renal cell carcinoma (RCC) to the head and neck region is rare. The metastases of RCC are radioresistant with surgery as the primary treatment modality. Here, we present a case of a 73-year-old male who presented with left facial swelling which on biopsy and immunohistochemistry showed metastatic RCC. The patient was re-evaluated again and the left renal primary was found out.

求助全文
通过发布文献求助,成功后即可免费获取论文全文。 去求助
来源期刊
CiteScore
3.80
自引率
5.60%
发文量
138
审稿时长
27 weeks
×
引用
GB/T 7714-2015
复制
MLA
复制
APA
复制
导出至
BibTeX EndNote RefMan NoteFirst NoteExpress
×
提示
您的信息不完整,为了账户安全,请先补充。
现在去补充
×
提示
您因"违规操作"
具体请查看互助需知
我知道了
×
提示
确定
请完成安全验证×
copy
已复制链接
快去分享给好友吧!
我知道了
右上角分享
点击右上角分享
0
联系我们:info@booksci.cn Book学术提供免费学术资源搜索服务,方便国内外学者检索中英文文献。致力于提供最便捷和优质的服务体验。 Copyright © 2023 布克学术 All rights reserved.
京ICP备2023020795号-1
ghs 京公网安备 11010802042870号
Book学术文献互助
Book学术文献互助群
群 号:604180095
Book学术官方微信