kit阴性全身性肥大细胞增多症与急性髓性白血病相关。

IF 0.6 Q4 ONCOLOGY
Case Reports in Oncological Medicine Pub Date : 2025-09-06 eCollection Date: 2025-01-01 DOI:10.1155/crom/3563591
Kabeer Ali, Tasnuva Rashid, Jennifer Miatech, Abhinav Karan, Zachary Chandler, Gerardo Diaz Garcia, W J R Quan
{"title":"kit阴性全身性肥大细胞增多症与急性髓性白血病相关。","authors":"Kabeer Ali, Tasnuva Rashid, Jennifer Miatech, Abhinav Karan, Zachary Chandler, Gerardo Diaz Garcia, W J R Quan","doi":"10.1155/crom/3563591","DOIUrl":null,"url":null,"abstract":"<p><p>Systemic mastocytosis (SM) is a rare blood disorder characterized by the clonal proliferation of mast cells in tissues. Mast cells release various vasoactive mediators, including histamine, leukotrienes, prostaglandins, platelet-activating factors, and cytokines such as tumor necrosis factor. Clinical manifestations can range from mild itching to severe distributive shock. In some rare cases, mastocytosis is associated with other blood disorders, such as systemic mastocytosis with associated hematologic neoplasm (SM-AHN). Almost all cases of SM exhibit a KIT point mutation. We report a rare case of KIT-negative SM associated with acute myeloid leukemia. Historically, AML has been associated with a poor prognosis, and further research is needed to understand the prognosis of SM associated with AML. In this particular case, the patient underwent induction chemotherapy with azacitidine and venetoclax, and a follow-up bone marrow biopsy showed a reduction in mastocytosis without complete hematologic recovery. The authors aim to present this case as an example of the complex nature of SM and its diverse clinical presentations.</p>","PeriodicalId":9636,"journal":{"name":"Case Reports in Oncological Medicine","volume":"2025 ","pages":"3563591"},"PeriodicalIF":0.6000,"publicationDate":"2025-09-06","publicationTypes":"Journal Article","fieldsOfStudy":null,"isOpenAccess":false,"openAccessPdf":"https://www.ncbi.nlm.nih.gov/pmc/articles/PMC12433324/pdf/","citationCount":"0","resultStr":"{\"title\":\"KIT-Negative Systemic Mastocytosis Associated With Acute Myeloid Leukemia.\",\"authors\":\"Kabeer Ali, Tasnuva Rashid, Jennifer Miatech, Abhinav Karan, Zachary Chandler, Gerardo Diaz Garcia, W J R Quan\",\"doi\":\"10.1155/crom/3563591\",\"DOIUrl\":null,\"url\":null,\"abstract\":\"<p><p>Systemic mastocytosis (SM) is a rare blood disorder characterized by the clonal proliferation of mast cells in tissues. Mast cells release various vasoactive mediators, including histamine, leukotrienes, prostaglandins, platelet-activating factors, and cytokines such as tumor necrosis factor. Clinical manifestations can range from mild itching to severe distributive shock. In some rare cases, mastocytosis is associated with other blood disorders, such as systemic mastocytosis with associated hematologic neoplasm (SM-AHN). Almost all cases of SM exhibit a KIT point mutation. We report a rare case of KIT-negative SM associated with acute myeloid leukemia. Historically, AML has been associated with a poor prognosis, and further research is needed to understand the prognosis of SM associated with AML. In this particular case, the patient underwent induction chemotherapy with azacitidine and venetoclax, and a follow-up bone marrow biopsy showed a reduction in mastocytosis without complete hematologic recovery. The authors aim to present this case as an example of the complex nature of SM and its diverse clinical presentations.</p>\",\"PeriodicalId\":9636,\"journal\":{\"name\":\"Case Reports in Oncological Medicine\",\"volume\":\"2025 \",\"pages\":\"3563591\"},\"PeriodicalIF\":0.6000,\"publicationDate\":\"2025-09-06\",\"publicationTypes\":\"Journal Article\",\"fieldsOfStudy\":null,\"isOpenAccess\":false,\"openAccessPdf\":\"https://www.ncbi.nlm.nih.gov/pmc/articles/PMC12433324/pdf/\",\"citationCount\":\"0\",\"resultStr\":null,\"platform\":\"Semanticscholar\",\"paperid\":null,\"PeriodicalName\":\"Case Reports in Oncological Medicine\",\"FirstCategoryId\":\"1085\",\"ListUrlMain\":\"https://doi.org/10.1155/crom/3563591\",\"RegionNum\":0,\"RegionCategory\":null,\"ArticlePicture\":[],\"TitleCN\":null,\"AbstractTextCN\":null,\"PMCID\":null,\"EPubDate\":\"2025/1/1 0:00:00\",\"PubModel\":\"eCollection\",\"JCR\":\"Q4\",\"JCRName\":\"ONCOLOGY\",\"Score\":null,\"Total\":0}","platform":"Semanticscholar","paperid":null,"PeriodicalName":"Case Reports in Oncological Medicine","FirstCategoryId":"1085","ListUrlMain":"https://doi.org/10.1155/crom/3563591","RegionNum":0,"RegionCategory":null,"ArticlePicture":[],"TitleCN":null,"AbstractTextCN":null,"PMCID":null,"EPubDate":"2025/1/1 0:00:00","PubModel":"eCollection","JCR":"Q4","JCRName":"ONCOLOGY","Score":null,"Total":0}
引用次数: 0

摘要

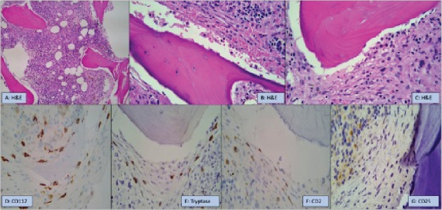
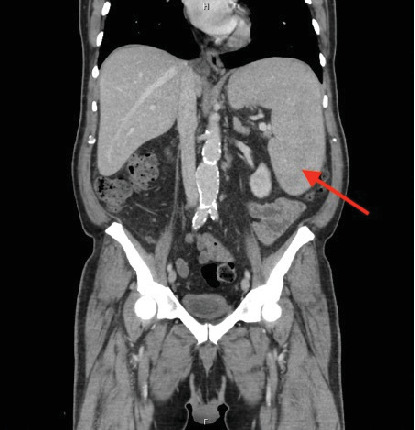
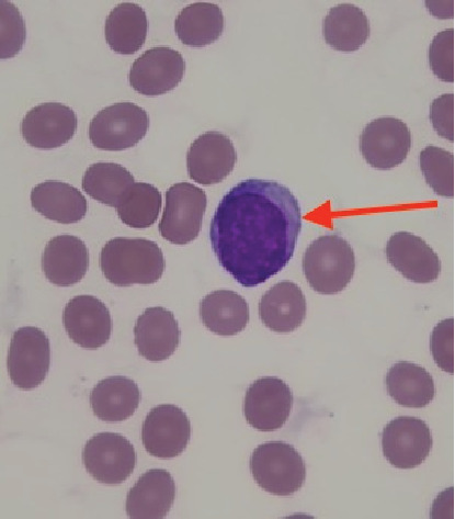
系统性肥大细胞增多症(SM)是一种罕见的血液疾病,其特征是组织中肥大细胞的克隆性增殖。肥大细胞释放多种血管活性介质,包括组胺、白三烯、前列腺素、血小板活化因子和肿瘤坏死因子等细胞因子。临床表现可从轻度瘙痒到严重的分布性休克。在一些罕见的病例中,肥大细胞增多症与其他血液疾病相关,如系统性肥大细胞增多症伴血液学肿瘤(SM-AHN)。几乎所有的SM病例都表现出KIT点突变。我们报告一例罕见的kit阴性SM与急性髓性白血病相关。历史上,AML与不良预后相关,SM与AML的预后需要进一步研究。在这个特殊的病例中,患者接受了阿扎胞苷和venetoclax诱导化疗,随访的骨髓活检显示肥大细胞增多症减少,但血液学没有完全恢复。作者的目的是提出这个例子作为SM的复杂性质和其多样化的临床表现。
本文章由计算机程序翻译,如有差异,请以英文原文为准。

KIT-Negative Systemic Mastocytosis Associated With Acute Myeloid Leukemia.

KIT-Negative Systemic Mastocytosis Associated With Acute Myeloid Leukemia.

KIT-Negative Systemic Mastocytosis Associated With Acute Myeloid Leukemia.

KIT-Negative Systemic Mastocytosis Associated With Acute Myeloid Leukemia.

Systemic mastocytosis (SM) is a rare blood disorder characterized by the clonal proliferation of mast cells in tissues. Mast cells release various vasoactive mediators, including histamine, leukotrienes, prostaglandins, platelet-activating factors, and cytokines such as tumor necrosis factor. Clinical manifestations can range from mild itching to severe distributive shock. In some rare cases, mastocytosis is associated with other blood disorders, such as systemic mastocytosis with associated hematologic neoplasm (SM-AHN). Almost all cases of SM exhibit a KIT point mutation. We report a rare case of KIT-negative SM associated with acute myeloid leukemia. Historically, AML has been associated with a poor prognosis, and further research is needed to understand the prognosis of SM associated with AML. In this particular case, the patient underwent induction chemotherapy with azacitidine and venetoclax, and a follow-up bone marrow biopsy showed a reduction in mastocytosis without complete hematologic recovery. The authors aim to present this case as an example of the complex nature of SM and its diverse clinical presentations.

求助全文
通过发布文献求助,成功后即可免费获取论文全文。 去求助
来源期刊
自引率
0.00%
发文量
11
审稿时长
16 weeks
期刊介绍: Case Reports in Oncological Medicine is a peer-reviewed, Open Access journal that publishes case reports and case series related to breast cancer, lung cancer, gastrointestinal cancer, skin cancer, head and neck cancer, paediatric oncology, neurooncology as well as genitourinary cancer.
×
引用
GB/T 7714-2015
复制
MLA
复制
APA
复制
导出至
BibTeX EndNote RefMan NoteFirst NoteExpress
×
提示
您的信息不完整,为了账户安全,请先补充。
现在去补充
×
提示
您因"违规操作"
具体请查看互助需知
我知道了
×
提示
确定
请完成安全验证×
copy
已复制链接
快去分享给好友吧!
我知道了
右上角分享
点击右上角分享
0
联系我们:info@booksci.cn Book学术提供免费学术资源搜索服务,方便国内外学者检索中英文文献。致力于提供最便捷和优质的服务体验。 Copyright © 2023 布克学术 All rights reserved.
京ICP备2023020795号-1
ghs 京公网安备 11010802042870号
Book学术文献互助
Book学术文献互助群
群 号:604180095
Book学术官方微信