肺曲霉病模拟转移性肾细胞癌:肾切除术后的诊断考虑。

IF 0.7 Q3 MEDICINE, GENERAL & INTERNAL
Case Reports in Medicine Pub Date : 2025-09-05 eCollection Date: 2025-01-01 DOI:10.1155/carm/9920083
Supriya Peshin, Ramsha Sohail, Faizan Bashir, Donovan Mabe
{"title":"肺曲霉病模拟转移性肾细胞癌:肾切除术后的诊断考虑。","authors":"Supriya Peshin, Ramsha Sohail, Faizan Bashir, Donovan Mabe","doi":"10.1155/carm/9920083","DOIUrl":null,"url":null,"abstract":"<p><p>Survivors of renal cell carcinoma (RCC), especially following nephrectomy, require long follow-up for recurrence or systemic complications. While those with a history of RCC develop pulmonary nodules often with concern for metastasis, we must consider infectious diseases, especially in patients with environmental exposures and immune alterations related to metabolic changes secondary to nephrectomy. We report a 49-year-old male with a history of RCC status postnephrectomy, history of long-term smoking, and history of significant coal dust exposure, who developed progressive pulmonary nodules. Although initially suspected to be metastatic RCC (mRCC), serial imaging demonstrated nodule enlargement without metabolic activity on PET scan, requiring further evaluation. Given the persistent respiratory symptoms, he underwent bronchoscopy with microbiologic analysis which identified <i>Aspergillus fumigates</i> and was ultimately diagnosed with chronic pulmonary aspergillosis. Our patient was successfully treated with voriconazole and over time demonstrated significant clinical improvement. In this case, we have made the observation of the diagnostic dilemma presented by the pulmonary nodules in RCC survivors and the importance of a broad differential to avoid misdiagnosis. Immune changes following nephrectomy, possible accompanying chronic kidney disease (CKD), or prolonged oncologic surveillance could place patients at risk for opportunistic infections. In order to ensure timely detection and treatment of infections that may mimic tumor progression, clinicians treating RCC survivors should integrate microbiologic diagnostics into routine pulmonary evaluations.</p>","PeriodicalId":9627,"journal":{"name":"Case Reports in Medicine","volume":"2025 ","pages":"9920083"},"PeriodicalIF":0.7000,"publicationDate":"2025-09-05","publicationTypes":"Journal Article","fieldsOfStudy":null,"isOpenAccess":false,"openAccessPdf":"https://www.ncbi.nlm.nih.gov/pmc/articles/PMC12431814/pdf/","citationCount":"0","resultStr":"{\"title\":\"Pulmonary Aspergillosis Mimicking Metastatic RCC: A Postnephrectomy Diagnostic Consideration.\",\"authors\":\"Supriya Peshin, Ramsha Sohail, Faizan Bashir, Donovan Mabe\",\"doi\":\"10.1155/carm/9920083\",\"DOIUrl\":null,\"url\":null,\"abstract\":\"<p><p>Survivors of renal cell carcinoma (RCC), especially following nephrectomy, require long follow-up for recurrence or systemic complications. While those with a history of RCC develop pulmonary nodules often with concern for metastasis, we must consider infectious diseases, especially in patients with environmental exposures and immune alterations related to metabolic changes secondary to nephrectomy. We report a 49-year-old male with a history of RCC status postnephrectomy, history of long-term smoking, and history of significant coal dust exposure, who developed progressive pulmonary nodules. Although initially suspected to be metastatic RCC (mRCC), serial imaging demonstrated nodule enlargement without metabolic activity on PET scan, requiring further evaluation. Given the persistent respiratory symptoms, he underwent bronchoscopy with microbiologic analysis which identified <i>Aspergillus fumigates</i> and was ultimately diagnosed with chronic pulmonary aspergillosis. Our patient was successfully treated with voriconazole and over time demonstrated significant clinical improvement. In this case, we have made the observation of the diagnostic dilemma presented by the pulmonary nodules in RCC survivors and the importance of a broad differential to avoid misdiagnosis. Immune changes following nephrectomy, possible accompanying chronic kidney disease (CKD), or prolonged oncologic surveillance could place patients at risk for opportunistic infections. In order to ensure timely detection and treatment of infections that may mimic tumor progression, clinicians treating RCC survivors should integrate microbiologic diagnostics into routine pulmonary evaluations.</p>\",\"PeriodicalId\":9627,\"journal\":{\"name\":\"Case Reports in Medicine\",\"volume\":\"2025 \",\"pages\":\"9920083\"},\"PeriodicalIF\":0.7000,\"publicationDate\":\"2025-09-05\",\"publicationTypes\":\"Journal Article\",\"fieldsOfStudy\":null,\"isOpenAccess\":false,\"openAccessPdf\":\"https://www.ncbi.nlm.nih.gov/pmc/articles/PMC12431814/pdf/\",\"citationCount\":\"0\",\"resultStr\":null,\"platform\":\"Semanticscholar\",\"paperid\":null,\"PeriodicalName\":\"Case Reports in Medicine\",\"FirstCategoryId\":\"1085\",\"ListUrlMain\":\"https://doi.org/10.1155/carm/9920083\",\"RegionNum\":0,\"RegionCategory\":null,\"ArticlePicture\":[],\"TitleCN\":null,\"AbstractTextCN\":null,\"PMCID\":null,\"EPubDate\":\"2025/1/1 0:00:00\",\"PubModel\":\"eCollection\",\"JCR\":\"Q3\",\"JCRName\":\"MEDICINE, GENERAL & INTERNAL\",\"Score\":null,\"Total\":0}","platform":"Semanticscholar","paperid":null,"PeriodicalName":"Case Reports in Medicine","FirstCategoryId":"1085","ListUrlMain":"https://doi.org/10.1155/carm/9920083","RegionNum":0,"RegionCategory":null,"ArticlePicture":[],"TitleCN":null,"AbstractTextCN":null,"PMCID":null,"EPubDate":"2025/1/1 0:00:00","PubModel":"eCollection","JCR":"Q3","JCRName":"MEDICINE, GENERAL & INTERNAL","Score":null,"Total":0}
引用次数: 0

摘要

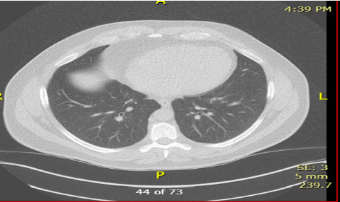
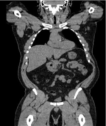
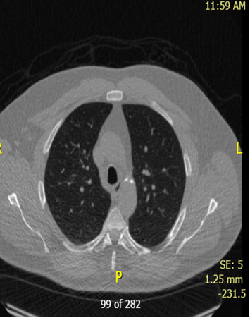
肾细胞癌(RCC)的幸存者,特别是肾切除术后,需要长期随访复发或全身并发症。当有肾细胞癌病史的患者出现肺结节时,我们必须考虑到感染性疾病,特别是那些环境暴露和与肾切除术后继发代谢变化相关的免疫改变的患者。我们报告了一位49岁男性患者,他在肾切除术后患有肾小细胞癌,有长期吸烟史,并有明显的煤尘暴露史,他发展为进行性肺结节。虽然最初怀疑为转移性肾细胞癌(mRCC),但连续影像学显示结节增大,PET扫描无代谢活动,需要进一步评估。鉴于持续的呼吸道症状,他接受了支气管镜检查并进行了微生物学分析,发现了烟熏曲霉,最终被诊断为慢性肺曲霉病。我们的患者成功地用伏立康唑治疗,并随着时间的推移显示出显著的临床改善。在本例中,我们观察了RCC幸存者肺结节的诊断困境,以及广泛鉴别以避免误诊的重要性。肾切除术后的免疫变化,可能伴有慢性肾脏疾病(CKD),或长期的肿瘤监测可能使患者处于机会性感染的危险之中。为了确保及时发现和治疗可能模拟肿瘤进展的感染,临床医生治疗RCC幸存者应将微生物学诊断纳入常规肺部评估。
本文章由计算机程序翻译,如有差异,请以英文原文为准。

Pulmonary Aspergillosis Mimicking Metastatic RCC: A Postnephrectomy Diagnostic Consideration.

Pulmonary Aspergillosis Mimicking Metastatic RCC: A Postnephrectomy Diagnostic Consideration.

Pulmonary Aspergillosis Mimicking Metastatic RCC: A Postnephrectomy Diagnostic Consideration.

Pulmonary Aspergillosis Mimicking Metastatic RCC: A Postnephrectomy Diagnostic Consideration.

Survivors of renal cell carcinoma (RCC), especially following nephrectomy, require long follow-up for recurrence or systemic complications. While those with a history of RCC develop pulmonary nodules often with concern for metastasis, we must consider infectious diseases, especially in patients with environmental exposures and immune alterations related to metabolic changes secondary to nephrectomy. We report a 49-year-old male with a history of RCC status postnephrectomy, history of long-term smoking, and history of significant coal dust exposure, who developed progressive pulmonary nodules. Although initially suspected to be metastatic RCC (mRCC), serial imaging demonstrated nodule enlargement without metabolic activity on PET scan, requiring further evaluation. Given the persistent respiratory symptoms, he underwent bronchoscopy with microbiologic analysis which identified Aspergillus fumigates and was ultimately diagnosed with chronic pulmonary aspergillosis. Our patient was successfully treated with voriconazole and over time demonstrated significant clinical improvement. In this case, we have made the observation of the diagnostic dilemma presented by the pulmonary nodules in RCC survivors and the importance of a broad differential to avoid misdiagnosis. Immune changes following nephrectomy, possible accompanying chronic kidney disease (CKD), or prolonged oncologic surveillance could place patients at risk for opportunistic infections. In order to ensure timely detection and treatment of infections that may mimic tumor progression, clinicians treating RCC survivors should integrate microbiologic diagnostics into routine pulmonary evaluations.

求助全文
通过发布文献求助,成功后即可免费获取论文全文。 去求助
来源期刊
Case Reports in Medicine
Case Reports in Medicine MEDICINE, GENERAL & INTERNAL-
CiteScore
1.70
自引率
0.00%
发文量
53
审稿时长
13 weeks
×
引用
GB/T 7714-2015
复制
MLA
复制
APA
复制
导出至
BibTeX EndNote RefMan NoteFirst NoteExpress
×
提示
您的信息不完整,为了账户安全,请先补充。
现在去补充
×
提示
您因"违规操作"
具体请查看互助需知
我知道了
×
提示
确定
请完成安全验证×
copy
已复制链接
快去分享给好友吧!
我知道了
右上角分享
点击右上角分享
0
联系我们:info@booksci.cn Book学术提供免费学术资源搜索服务,方便国内外学者检索中英文文献。致力于提供最便捷和优质的服务体验。 Copyright © 2023 布克学术 All rights reserved.
京ICP备2023020795号-1
ghs 京公网安备 11010802042870号
Book学术文献互助
Book学术文献互助群
群 号:604180095
Book学术官方微信