垂体大腺瘤和硬瘤性颅咽管瘤:鞍部碰撞肿瘤1例报告。

IF 0.9 Q4 CLINICAL NEUROLOGY
Case Reports in Neurological Medicine Pub Date : 2025-09-04 eCollection Date: 2025-01-01 DOI:10.1155/crnm/6895334
LaToya McLean, Carrie Andrews, Louis Cappelli, Grant Gillan, Mark Curtis, James J Evans, Wenyin Shi
{"title":"垂体大腺瘤和硬瘤性颅咽管瘤:鞍部碰撞肿瘤1例报告。","authors":"LaToya McLean, Carrie Andrews, Louis Cappelli, Grant Gillan, Mark Curtis, James J Evans, Wenyin Shi","doi":"10.1155/crnm/6895334","DOIUrl":null,"url":null,"abstract":"<p><p>We present a rare case of a collision tumor involving a pituitary macroadenoma and adamantinomatous craniopharyngioma in a 49-year-old woman. The patient presented with a 2-year history of amenorrhea and elevated prolactin. Brain MRI revealed two sellar masses. Initially managed with observation due to the absence of neurological deficits, surgical resection was later performed after clinical and radiographic progression. Pathology confirmed both tumor types: pituitary macroadenoma and adamantinomatous craniopharyngioma. Postoperative MRI showed residual disease at the superior margin. The patient subsequently received fractionated stereotactic radiation for residual disease and tolerated well.</p>","PeriodicalId":9615,"journal":{"name":"Case Reports in Neurological Medicine","volume":"2025 ","pages":"6895334"},"PeriodicalIF":0.9000,"publicationDate":"2025-09-04","publicationTypes":"Journal Article","fieldsOfStudy":null,"isOpenAccess":false,"openAccessPdf":"https://www.ncbi.nlm.nih.gov/pmc/articles/PMC12425626/pdf/","citationCount":"0","resultStr":"{\"title\":\"Pituitary Macroadenoma and Adamantinomatous Craniopharyngioma: A Rare Case Report of Sellar Collision Tumors.\",\"authors\":\"LaToya McLean, Carrie Andrews, Louis Cappelli, Grant Gillan, Mark Curtis, James J Evans, Wenyin Shi\",\"doi\":\"10.1155/crnm/6895334\",\"DOIUrl\":null,\"url\":null,\"abstract\":\"<p><p>We present a rare case of a collision tumor involving a pituitary macroadenoma and adamantinomatous craniopharyngioma in a 49-year-old woman. The patient presented with a 2-year history of amenorrhea and elevated prolactin. Brain MRI revealed two sellar masses. Initially managed with observation due to the absence of neurological deficits, surgical resection was later performed after clinical and radiographic progression. Pathology confirmed both tumor types: pituitary macroadenoma and adamantinomatous craniopharyngioma. Postoperative MRI showed residual disease at the superior margin. The patient subsequently received fractionated stereotactic radiation for residual disease and tolerated well.</p>\",\"PeriodicalId\":9615,\"journal\":{\"name\":\"Case Reports in Neurological Medicine\",\"volume\":\"2025 \",\"pages\":\"6895334\"},\"PeriodicalIF\":0.9000,\"publicationDate\":\"2025-09-04\",\"publicationTypes\":\"Journal Article\",\"fieldsOfStudy\":null,\"isOpenAccess\":false,\"openAccessPdf\":\"https://www.ncbi.nlm.nih.gov/pmc/articles/PMC12425626/pdf/\",\"citationCount\":\"0\",\"resultStr\":null,\"platform\":\"Semanticscholar\",\"paperid\":null,\"PeriodicalName\":\"Case Reports in Neurological Medicine\",\"FirstCategoryId\":\"1085\",\"ListUrlMain\":\"https://doi.org/10.1155/crnm/6895334\",\"RegionNum\":0,\"RegionCategory\":null,\"ArticlePicture\":[],\"TitleCN\":null,\"AbstractTextCN\":null,\"PMCID\":null,\"EPubDate\":\"2025/1/1 0:00:00\",\"PubModel\":\"eCollection\",\"JCR\":\"Q4\",\"JCRName\":\"CLINICAL NEUROLOGY\",\"Score\":null,\"Total\":0}","platform":"Semanticscholar","paperid":null,"PeriodicalName":"Case Reports in Neurological Medicine","FirstCategoryId":"1085","ListUrlMain":"https://doi.org/10.1155/crnm/6895334","RegionNum":0,"RegionCategory":null,"ArticlePicture":[],"TitleCN":null,"AbstractTextCN":null,"PMCID":null,"EPubDate":"2025/1/1 0:00:00","PubModel":"eCollection","JCR":"Q4","JCRName":"CLINICAL NEUROLOGY","Score":null,"Total":0}
引用次数: 0

摘要

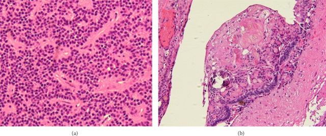
我们报告一个罕见的碰撞肿瘤,涉及垂体大腺瘤和硬瘤性颅咽管瘤在49岁的女性。患者有2年闭经和催乳素升高的病史。脑部MRI显示两个鞍区肿块。由于没有神经功能障碍,最初进行观察,在临床和影像学进展后进行手术切除。病理证实两种肿瘤类型:垂体大腺瘤和硬瘤性颅咽管瘤。术后MRI显示上缘病变残留。患者随后接受了分次立体定向放射治疗残余病变,耐受性良好。
本文章由计算机程序翻译,如有差异,请以英文原文为准。

Pituitary Macroadenoma and Adamantinomatous Craniopharyngioma: A Rare Case Report of Sellar Collision Tumors.

Pituitary Macroadenoma and Adamantinomatous Craniopharyngioma: A Rare Case Report of Sellar Collision Tumors.

Pituitary Macroadenoma and Adamantinomatous Craniopharyngioma: A Rare Case Report of Sellar Collision Tumors.

We present a rare case of a collision tumor involving a pituitary macroadenoma and adamantinomatous craniopharyngioma in a 49-year-old woman. The patient presented with a 2-year history of amenorrhea and elevated prolactin. Brain MRI revealed two sellar masses. Initially managed with observation due to the absence of neurological deficits, surgical resection was later performed after clinical and radiographic progression. Pathology confirmed both tumor types: pituitary macroadenoma and adamantinomatous craniopharyngioma. Postoperative MRI showed residual disease at the superior margin. The patient subsequently received fractionated stereotactic radiation for residual disease and tolerated well.

求助全文
通过发布文献求助,成功后即可免费获取论文全文。 去求助
来源期刊
自引率
0.00%
发文量
26
审稿时长
11 weeks
×
引用
GB/T 7714-2015
复制
MLA
复制
APA
复制
导出至
BibTeX EndNote RefMan NoteFirst NoteExpress
×
提示
您的信息不完整,为了账户安全,请先补充。
现在去补充
×
提示
您因"违规操作"
具体请查看互助需知
我知道了
×
提示
确定
请完成安全验证×
copy
已复制链接
快去分享给好友吧!
我知道了
右上角分享
点击右上角分享
0
联系我们:info@booksci.cn Book学术提供免费学术资源搜索服务,方便国内外学者检索中英文文献。致力于提供最便捷和优质的服务体验。 Copyright © 2023 布克学术 All rights reserved.
京ICP备2023020795号-1
ghs 京公网安备 11010802042870号
Book学术文献互助
Book学术文献互助群
群 号:604180095
Book学术官方微信