脊髓髓外造血引起放射性骨髓发育不全脊髓受压1例报告。

Q4 Medicine
Acta Medica Philippina Pub Date : 2025-08-15 eCollection Date: 2025-01-01 DOI:10.47895/amp.vi0.11305
Rowel David D Yap, Patrick Neil A Guiao, Deonne Thaddeus V Gauiran
{"title":"脊髓髓外造血引起放射性骨髓发育不全脊髓受压1例报告。","authors":"Rowel David D Yap, Patrick Neil A Guiao, Deonne Thaddeus V Gauiran","doi":"10.47895/amp.vi0.11305","DOIUrl":null,"url":null,"abstract":"<p><p>In rare cases with no clinical practice guidelines available, the approach heavily relies on small studies, reports, and professional experience based on sound clinical judgement from available data. We present a case of a 52-year-old male radiation technologist with a 5-year history of pancytopenia diagnosed with radiation-induced marrow aplasia after presenting with bilateral lower extremity weakness and numbness. MRI revealed spinal EMH along T3 to T12. He was given steroids and radiation therapy (RT) of 18Gy in 10 fractions with improvement in sensory status at 4<sup>th</sup> session of RT and was discharged with steroid on tapering and maintenance of eltrombopag. BM aplasia following chronic low-level radiation exposure results from the accumulation of cytogenetic abnormalities over time. EMH is a compensatory mechanism for BM aplasia, the diagnosis of which is established by MRI. In spinal EMH, transverse myelopathy occurs from spinal cord compression (SCC). As of writing and with our literature-search, spinal EMH has never been reported in patients with aplastic anemia or radiation-related BM aplasia. With the paucity of available data, there is currently no specific guidelines in managing BM aplasia from radiation and consequent SCC. However, as with most cases of SCC, radiotherapy, steroids, and surgical decompression are viable options. This case report will add to the very small pool of information on EMH from radiation-induced BM aplasia and its approach to management especially in this rare, never-before-reported presentation.</p>","PeriodicalId":6994,"journal":{"name":"Acta Medica Philippina","volume":"59 11","pages":"94-97"},"PeriodicalIF":0.0000,"publicationDate":"2025-08-15","publicationTypes":"Journal Article","fieldsOfStudy":null,"isOpenAccess":false,"openAccessPdf":"https://www.ncbi.nlm.nih.gov/pmc/articles/PMC12424559/pdf/","citationCount":"0","resultStr":"{\"title\":\"Spinal Extramedullary Hematopoiesis Causing Spinal Cord Compression in Radiation-induced Bone Marrow Aplasia: A Case Report.\",\"authors\":\"Rowel David D Yap, Patrick Neil A Guiao, Deonne Thaddeus V Gauiran\",\"doi\":\"10.47895/amp.vi0.11305\",\"DOIUrl\":null,\"url\":null,\"abstract\":\"<p><p>In rare cases with no clinical practice guidelines available, the approach heavily relies on small studies, reports, and professional experience based on sound clinical judgement from available data. We present a case of a 52-year-old male radiation technologist with a 5-year history of pancytopenia diagnosed with radiation-induced marrow aplasia after presenting with bilateral lower extremity weakness and numbness. MRI revealed spinal EMH along T3 to T12. He was given steroids and radiation therapy (RT) of 18Gy in 10 fractions with improvement in sensory status at 4<sup>th</sup> session of RT and was discharged with steroid on tapering and maintenance of eltrombopag. BM aplasia following chronic low-level radiation exposure results from the accumulation of cytogenetic abnormalities over time. EMH is a compensatory mechanism for BM aplasia, the diagnosis of which is established by MRI. In spinal EMH, transverse myelopathy occurs from spinal cord compression (SCC). As of writing and with our literature-search, spinal EMH has never been reported in patients with aplastic anemia or radiation-related BM aplasia. With the paucity of available data, there is currently no specific guidelines in managing BM aplasia from radiation and consequent SCC. However, as with most cases of SCC, radiotherapy, steroids, and surgical decompression are viable options. This case report will add to the very small pool of information on EMH from radiation-induced BM aplasia and its approach to management especially in this rare, never-before-reported presentation.</p>\",\"PeriodicalId\":6994,\"journal\":{\"name\":\"Acta Medica Philippina\",\"volume\":\"59 11\",\"pages\":\"94-97\"},\"PeriodicalIF\":0.0000,\"publicationDate\":\"2025-08-15\",\"publicationTypes\":\"Journal Article\",\"fieldsOfStudy\":null,\"isOpenAccess\":false,\"openAccessPdf\":\"https://www.ncbi.nlm.nih.gov/pmc/articles/PMC12424559/pdf/\",\"citationCount\":\"0\",\"resultStr\":null,\"platform\":\"Semanticscholar\",\"paperid\":null,\"PeriodicalName\":\"Acta Medica Philippina\",\"FirstCategoryId\":\"1085\",\"ListUrlMain\":\"https://doi.org/10.47895/amp.vi0.11305\",\"RegionNum\":0,\"RegionCategory\":null,\"ArticlePicture\":[],\"TitleCN\":null,\"AbstractTextCN\":null,\"PMCID\":null,\"EPubDate\":\"2025/1/1 0:00:00\",\"PubModel\":\"eCollection\",\"JCR\":\"Q4\",\"JCRName\":\"Medicine\",\"Score\":null,\"Total\":0}","platform":"Semanticscholar","paperid":null,"PeriodicalName":"Acta Medica Philippina","FirstCategoryId":"1085","ListUrlMain":"https://doi.org/10.47895/amp.vi0.11305","RegionNum":0,"RegionCategory":null,"ArticlePicture":[],"TitleCN":null,"AbstractTextCN":null,"PMCID":null,"EPubDate":"2025/1/1 0:00:00","PubModel":"eCollection","JCR":"Q4","JCRName":"Medicine","Score":null,"Total":0}
引用次数: 0

摘要

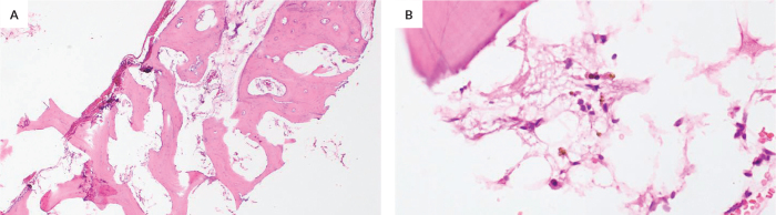
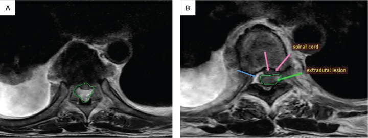
在没有临床实践指南的极少数情况下,该方法严重依赖于基于现有数据的合理临床判断的小型研究、报告和专业经验。我们报告一位52岁男性放射技师,有5年的全血细胞减少史,在出现双侧下肢无力和麻木后被诊断为放射性骨髓发育不全。MRI显示沿T3至T12的脊髓EMH。患者接受10次18Gy的类固醇和放射治疗(RT),第4次放射治疗时感觉状态有所改善,在逐渐减量和维持伊曲波巴后停用类固醇。慢性低水平辐射暴露后的脑脊髓瘤发育不全是细胞遗传学异常随时间积累的结果。EMH是脑基底膜发育不全的代偿机制,MRI对其进行了诊断。在脊髓EMH中,横贯性脊髓病发生于脊髓压迫(SCC)。截至撰写本文和我们的文献检索,脊髓EMH从未在再生障碍性贫血或辐射相关脑脊髓型再障患者中报道过。由于缺乏可用的数据,目前还没有具体的指南来管理放射和随之而来的SCC引起的BM发育不全。然而,与大多数SCC病例一样,放疗、类固醇和手术减压是可行的选择。本病例报告将为辐射致基底细胞发育不全的EMH及其治疗方法提供更多的信息,尤其是这种罕见的、从未报道过的病例。
本文章由计算机程序翻译,如有差异,请以英文原文为准。

Spinal Extramedullary Hematopoiesis Causing Spinal Cord Compression in Radiation-induced Bone Marrow Aplasia: A Case Report.

Spinal Extramedullary Hematopoiesis Causing Spinal Cord Compression in Radiation-induced Bone Marrow Aplasia: A Case Report.

Spinal Extramedullary Hematopoiesis Causing Spinal Cord Compression in Radiation-induced Bone Marrow Aplasia: A Case Report.

Spinal Extramedullary Hematopoiesis Causing Spinal Cord Compression in Radiation-induced Bone Marrow Aplasia: A Case Report.

In rare cases with no clinical practice guidelines available, the approach heavily relies on small studies, reports, and professional experience based on sound clinical judgement from available data. We present a case of a 52-year-old male radiation technologist with a 5-year history of pancytopenia diagnosed with radiation-induced marrow aplasia after presenting with bilateral lower extremity weakness and numbness. MRI revealed spinal EMH along T3 to T12. He was given steroids and radiation therapy (RT) of 18Gy in 10 fractions with improvement in sensory status at 4th session of RT and was discharged with steroid on tapering and maintenance of eltrombopag. BM aplasia following chronic low-level radiation exposure results from the accumulation of cytogenetic abnormalities over time. EMH is a compensatory mechanism for BM aplasia, the diagnosis of which is established by MRI. In spinal EMH, transverse myelopathy occurs from spinal cord compression (SCC). As of writing and with our literature-search, spinal EMH has never been reported in patients with aplastic anemia or radiation-related BM aplasia. With the paucity of available data, there is currently no specific guidelines in managing BM aplasia from radiation and consequent SCC. However, as with most cases of SCC, radiotherapy, steroids, and surgical decompression are viable options. This case report will add to the very small pool of information on EMH from radiation-induced BM aplasia and its approach to management especially in this rare, never-before-reported presentation.

求助全文
通过发布文献求助,成功后即可免费获取论文全文。 去求助
来源期刊
Acta Medica Philippina
Acta Medica Philippina Medicine-Medicine (all)
CiteScore
0.40
自引率
0.00%
发文量
199
×
引用
GB/T 7714-2015
复制
MLA
复制
APA
复制
导出至
BibTeX EndNote RefMan NoteFirst NoteExpress
×
提示
您的信息不完整,为了账户安全,请先补充。
现在去补充
×
提示
您因"违规操作"
具体请查看互助需知
我知道了
×
提示
确定
请完成安全验证×
copy
已复制链接
快去分享给好友吧!
我知道了
右上角分享
点击右上角分享
0
联系我们:info@booksci.cn Book学术提供免费学术资源搜索服务,方便国内外学者检索中英文文献。致力于提供最便捷和优质的服务体验。 Copyright © 2023 布克学术 All rights reserved.
京ICP备2023020795号-1
ghs 京公网安备 11010802042870号
Book学术文献互助
Book学术文献互助群
群 号:604180095
Book学术官方微信