成骨不全患者的Stanford B型主动脉夹层一例报告。

IF 0.8 Q3 MEDICINE, GENERAL & INTERNAL
Harsh Patel
{"title":"成骨不全患者的Stanford B型主动脉夹层一例报告。","authors":"Harsh Patel","doi":"10.1177/23247096251377178","DOIUrl":null,"url":null,"abstract":"<p><p>Osteogenesis imperfecta is a group of rare, genetically inherited, autosomal dominant connective tissue disorders affecting the production of type-1 collagen. The most common cardiovascular manifestations of the pathology include aortic regurgitation and aortic root disease. Other manifestations remain particularly rare, with only 2 previously reported cases of type B aortic dissection in patients with osteogenesis imperfecta described in the literature. The management of vascular pathology in connective tissue disease remains a significant clinical challenge due to the intrinsic fragility of connective tissues and tendencies to bleed with open surgical repair. This is a case of a 69-year-old with a genetically confirmed diagnosis of osteogenesis imperfecta presenting with epigastric pain radiating to the back. She had vascular risk factors of hypertension and hypercholesterolaemia. Imaging revealed an acute, uncomplicated Stanford Type B aortic dissection, which was managed with intravenous and then oral beta-blocker therapy. Close imaging surveillance demonstrated stability in the extent of the dissection, and she remains asymptomatic at 6 months of follow-up. Notably, her inpatient stay was complicated by a reactive pleural effusion, which resolved without intervention. Given the rarity of aortic dissection in patients with osteogenesis imperfecta and the lack of clinical evidence to guide decision-making, this case report emphasizes the importance of an individualized approach to management in the acute phase with intensive outpatient surveillance. Awareness of the risks posed by connective tissue fragility in this patient population is essential in guiding both emergency and elective surgical management and long-term care planning.</p>","PeriodicalId":16198,"journal":{"name":"Journal of investigative medicine high impact case reports","volume":"13 ","pages":"23247096251377178"},"PeriodicalIF":0.8000,"publicationDate":"2025-01-01","publicationTypes":"Journal Article","fieldsOfStudy":null,"isOpenAccess":false,"openAccessPdf":"https://www.ncbi.nlm.nih.gov/pmc/articles/PMC12433543/pdf/","citationCount":"0","resultStr":"{\"title\":\"Stanford Type B Aortic Dissection in a Patient With Osteogenesis Imperfecta: A Case Report.\",\"authors\":\"Harsh Patel\",\"doi\":\"10.1177/23247096251377178\",\"DOIUrl\":null,\"url\":null,\"abstract\":\"<p><p>Osteogenesis imperfecta is a group of rare, genetically inherited, autosomal dominant connective tissue disorders affecting the production of type-1 collagen. The most common cardiovascular manifestations of the pathology include aortic regurgitation and aortic root disease. Other manifestations remain particularly rare, with only 2 previously reported cases of type B aortic dissection in patients with osteogenesis imperfecta described in the literature. The management of vascular pathology in connective tissue disease remains a significant clinical challenge due to the intrinsic fragility of connective tissues and tendencies to bleed with open surgical repair. This is a case of a 69-year-old with a genetically confirmed diagnosis of osteogenesis imperfecta presenting with epigastric pain radiating to the back. She had vascular risk factors of hypertension and hypercholesterolaemia. Imaging revealed an acute, uncomplicated Stanford Type B aortic dissection, which was managed with intravenous and then oral beta-blocker therapy. Close imaging surveillance demonstrated stability in the extent of the dissection, and she remains asymptomatic at 6 months of follow-up. Notably, her inpatient stay was complicated by a reactive pleural effusion, which resolved without intervention. Given the rarity of aortic dissection in patients with osteogenesis imperfecta and the lack of clinical evidence to guide decision-making, this case report emphasizes the importance of an individualized approach to management in the acute phase with intensive outpatient surveillance. Awareness of the risks posed by connective tissue fragility in this patient population is essential in guiding both emergency and elective surgical management and long-term care planning.</p>\",\"PeriodicalId\":16198,\"journal\":{\"name\":\"Journal of investigative medicine high impact case reports\",\"volume\":\"13 \",\"pages\":\"23247096251377178\"},\"PeriodicalIF\":0.8000,\"publicationDate\":\"2025-01-01\",\"publicationTypes\":\"Journal Article\",\"fieldsOfStudy\":null,\"isOpenAccess\":false,\"openAccessPdf\":\"https://www.ncbi.nlm.nih.gov/pmc/articles/PMC12433543/pdf/\",\"citationCount\":\"0\",\"resultStr\":null,\"platform\":\"Semanticscholar\",\"paperid\":null,\"PeriodicalName\":\"Journal of investigative medicine high impact case reports\",\"FirstCategoryId\":\"1085\",\"ListUrlMain\":\"https://doi.org/10.1177/23247096251377178\",\"RegionNum\":0,\"RegionCategory\":null,\"ArticlePicture\":[],\"TitleCN\":null,\"AbstractTextCN\":null,\"PMCID\":null,\"EPubDate\":\"2025/9/13 0:00:00\",\"PubModel\":\"Epub\",\"JCR\":\"Q3\",\"JCRName\":\"MEDICINE, GENERAL & INTERNAL\",\"Score\":null,\"Total\":0}","platform":"Semanticscholar","paperid":null,"PeriodicalName":"Journal of investigative medicine high impact case reports","FirstCategoryId":"1085","ListUrlMain":"https://doi.org/10.1177/23247096251377178","RegionNum":0,"RegionCategory":null,"ArticlePicture":[],"TitleCN":null,"AbstractTextCN":null,"PMCID":null,"EPubDate":"2025/9/13 0:00:00","PubModel":"Epub","JCR":"Q3","JCRName":"MEDICINE, GENERAL & INTERNAL","Score":null,"Total":0}
引用次数: 0

摘要

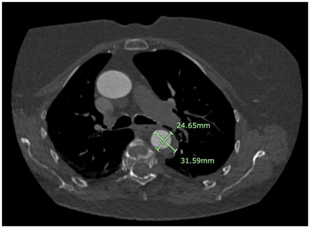
成骨不全症是一组罕见的,遗传遗传的,常染色体显性结缔组织疾病,影响1型胶原蛋白的产生。最常见的心血管病理表现包括主动脉反流和主动脉根部疾病。其他表现仍然特别罕见,文献中仅报道了2例成骨不全患者出现B型主动脉夹层。由于结缔组织固有的脆弱性和开放性手术修复的出血倾向,结缔组织疾病的血管病理学管理仍然是一个重大的临床挑战。这是一个69岁的病例,遗传确诊为成骨不全症,表现为放射到背部的上腹部疼痛。她有高血压和高胆固醇血症的血管危险因素。影像学显示为急性、无并发症的斯坦福B型主动脉夹层,经静脉注射和口服β受体阻滞剂治疗。密切的影像学监测显示剥离程度稳定,随访6个月时患者仍无症状。值得注意的是,她的住院期间因反应性胸腔积液而复杂化,这在没有干预的情况下解决了。鉴于成骨不全患者很少发生主动脉夹层,且缺乏指导决策的临床证据,本病例报告强调了在急性期采用个性化治疗方法并加强门诊监测的重要性。在这一患者群体中,认识结缔组织脆弱性所带来的风险对于指导急诊和选择性手术管理以及长期护理规划至关重要。
本文章由计算机程序翻译,如有差异,请以英文原文为准。

Stanford Type B Aortic Dissection in a Patient With Osteogenesis Imperfecta: A Case Report.

Stanford Type B Aortic Dissection in a Patient With Osteogenesis Imperfecta: A Case Report.

Stanford Type B Aortic Dissection in a Patient With Osteogenesis Imperfecta: A Case Report.

Osteogenesis imperfecta is a group of rare, genetically inherited, autosomal dominant connective tissue disorders affecting the production of type-1 collagen. The most common cardiovascular manifestations of the pathology include aortic regurgitation and aortic root disease. Other manifestations remain particularly rare, with only 2 previously reported cases of type B aortic dissection in patients with osteogenesis imperfecta described in the literature. The management of vascular pathology in connective tissue disease remains a significant clinical challenge due to the intrinsic fragility of connective tissues and tendencies to bleed with open surgical repair. This is a case of a 69-year-old with a genetically confirmed diagnosis of osteogenesis imperfecta presenting with epigastric pain radiating to the back. She had vascular risk factors of hypertension and hypercholesterolaemia. Imaging revealed an acute, uncomplicated Stanford Type B aortic dissection, which was managed with intravenous and then oral beta-blocker therapy. Close imaging surveillance demonstrated stability in the extent of the dissection, and she remains asymptomatic at 6 months of follow-up. Notably, her inpatient stay was complicated by a reactive pleural effusion, which resolved without intervention. Given the rarity of aortic dissection in patients with osteogenesis imperfecta and the lack of clinical evidence to guide decision-making, this case report emphasizes the importance of an individualized approach to management in the acute phase with intensive outpatient surveillance. Awareness of the risks posed by connective tissue fragility in this patient population is essential in guiding both emergency and elective surgical management and long-term care planning.

求助全文
通过发布文献求助,成功后即可免费获取论文全文。 去求助
来源期刊
CiteScore
1.90
自引率
0.00%
发文量
165
审稿时长
12 weeks
期刊介绍: The AFMR is committed to enhancing the training and career development of our members and to furthering its mission to facilitate the conduct of research to improve medical care. Case reports represent an important avenue for trainees (interns, residents, and fellows) and early-stage faculty to demonstrate productive, scholarly activity.
×
引用
GB/T 7714-2015
复制
MLA
复制
APA
复制
导出至
BibTeX EndNote RefMan NoteFirst NoteExpress
×
提示
您的信息不完整,为了账户安全,请先补充。
现在去补充
×
提示
您因"违规操作"
具体请查看互助需知
我知道了
×
提示
确定
请完成安全验证×
copy
已复制链接
快去分享给好友吧!
我知道了
右上角分享
点击右上角分享
0
联系我们:info@booksci.cn Book学术提供免费学术资源搜索服务,方便国内外学者检索中英文文献。致力于提供最便捷和优质的服务体验。 Copyright © 2023 布克学术 All rights reserved.
京ICP备2023020795号-1
ghs 京公网安备 11010802042870号
Book学术文献互助
Book学术文献互助群
群 号:604180095
Book学术官方微信