有肝外受累证据的猫慢性家猫肝炎病毒感染的纵向观察。

IF 2.1 2区 农林科学 Q2 VETERINARY SCIENCES
Journal of Feline Medicine and Surgery Pub Date : 2025-09-01 Epub Date: 2025-09-13 DOI:10.1177/1098612X251359148
Sabrina Wahyu Wardhani, Sitthichok Lacharoje, Tanit Kasantikul, Chutchai Piewbang, Somporn Techangamsuwan
{"title":"有肝外受累证据的猫慢性家猫肝炎病毒感染的纵向观察。","authors":"Sabrina Wahyu Wardhani, Sitthichok Lacharoje, Tanit Kasantikul, Chutchai Piewbang, Somporn Techangamsuwan","doi":"10.1177/1098612X251359148","DOIUrl":null,"url":null,"abstract":"<p><p>ObjectivesDomestic cat hepadnavirus (DCHBV), belonging to the <i>Orthohepadnavirus</i> genus and closely related to the human hepatitis B virus (HBV), is detected in domestic cats; however, its disease progression and pathological impact remain unclear. This study investigates the longitudinal dynamics of DCHBV infection in naturally infected cats over a period of up to 310 days after detection, focusing on blood parameters and viral load fluctuations, liver pathology and extrahepatic dissemination.MethodsAmong 87 screened cats, four (4.6%) tested positive for DCHBV using quantitative PCR (qPCR). These cats were monitored longitudinally through repeated health checks, including viral load monitoring. After natural death, necropsy, histopathology, in situ hybridisation (ISH) and immunohistochemistry (IHC) were conducted to assess lesion distribution and viral localisation. Whole-genome sequencing and phylogenetic analysis were also performed on DCHBV-positive cases.ResultsThree of four DCHBV-positive cats exhibited persistent high viremia (>7 log<sub>10</sub> genomic copies/ml) for over 6 months. Despite sustained viremia, liver enzyme levels showed variable trends, with some cases maintaining normal alanine aminotransferase and alkaline phosphatase levels. Histopathological analysis revealed various degrees of interface hepatitis, consistent with immune-mediated liver injury. DCHBV DNA was most abundant in the liver and confirmed through qPCR, ISH and IHC. Viral DNA was also detected in extrahepatic tissue, including the spleen, lung and salivary glands. Complete genome sequencing confirmed clustering within genotype A, with low genetic variability. Coinfection with feline leukaemia virus (FeLV) was noted in two cats, which may influence host immune responses.Conclusions and relevancePersistent viremia and liver inflammation suggest DCHBV may contribute to hepatic pathology, likely influenced by host immune responses and coinfections. However, because of the limited number of cases and the presence of FeLV coinfection in some cats, firm conclusions cannot be drawn. These findings provide a foundational basis that warrants confirmation and expansion in larger cohorts.</p>","PeriodicalId":15851,"journal":{"name":"Journal of Feline Medicine and Surgery","volume":"27 9","pages":"1098612X251359148"},"PeriodicalIF":2.1000,"publicationDate":"2025-09-01","publicationTypes":"Journal Article","fieldsOfStudy":null,"isOpenAccess":false,"openAccessPdf":"https://www.ncbi.nlm.nih.gov/pmc/articles/PMC12433546/pdf/","citationCount":"0","resultStr":"{\"title\":\"Longitudinal observation of chronic domestic cat hepadnavirus infection in cats with evidence of extrahepatic involvement.\",\"authors\":\"Sabrina Wahyu Wardhani, Sitthichok Lacharoje, Tanit Kasantikul, Chutchai Piewbang, Somporn Techangamsuwan\",\"doi\":\"10.1177/1098612X251359148\",\"DOIUrl\":null,\"url\":null,\"abstract\":\"<p><p>ObjectivesDomestic cat hepadnavirus (DCHBV), belonging to the <i>Orthohepadnavirus</i> genus and closely related to the human hepatitis B virus (HBV), is detected in domestic cats; however, its disease progression and pathological impact remain unclear. This study investigates the longitudinal dynamics of DCHBV infection in naturally infected cats over a period of up to 310 days after detection, focusing on blood parameters and viral load fluctuations, liver pathology and extrahepatic dissemination.MethodsAmong 87 screened cats, four (4.6%) tested positive for DCHBV using quantitative PCR (qPCR). These cats were monitored longitudinally through repeated health checks, including viral load monitoring. After natural death, necropsy, histopathology, in situ hybridisation (ISH) and immunohistochemistry (IHC) were conducted to assess lesion distribution and viral localisation. Whole-genome sequencing and phylogenetic analysis were also performed on DCHBV-positive cases.ResultsThree of four DCHBV-positive cats exhibited persistent high viremia (>7 log<sub>10</sub> genomic copies/ml) for over 6 months. Despite sustained viremia, liver enzyme levels showed variable trends, with some cases maintaining normal alanine aminotransferase and alkaline phosphatase levels. Histopathological analysis revealed various degrees of interface hepatitis, consistent with immune-mediated liver injury. DCHBV DNA was most abundant in the liver and confirmed through qPCR, ISH and IHC. Viral DNA was also detected in extrahepatic tissue, including the spleen, lung and salivary glands. Complete genome sequencing confirmed clustering within genotype A, with low genetic variability. Coinfection with feline leukaemia virus (FeLV) was noted in two cats, which may influence host immune responses.Conclusions and relevancePersistent viremia and liver inflammation suggest DCHBV may contribute to hepatic pathology, likely influenced by host immune responses and coinfections. However, because of the limited number of cases and the presence of FeLV coinfection in some cats, firm conclusions cannot be drawn. These findings provide a foundational basis that warrants confirmation and expansion in larger cohorts.</p>\",\"PeriodicalId\":15851,\"journal\":{\"name\":\"Journal of Feline Medicine and Surgery\",\"volume\":\"27 9\",\"pages\":\"1098612X251359148\"},\"PeriodicalIF\":2.1000,\"publicationDate\":\"2025-09-01\",\"publicationTypes\":\"Journal Article\",\"fieldsOfStudy\":null,\"isOpenAccess\":false,\"openAccessPdf\":\"https://www.ncbi.nlm.nih.gov/pmc/articles/PMC12433546/pdf/\",\"citationCount\":\"0\",\"resultStr\":null,\"platform\":\"Semanticscholar\",\"paperid\":null,\"PeriodicalName\":\"Journal of Feline Medicine and Surgery\",\"FirstCategoryId\":\"97\",\"ListUrlMain\":\"https://doi.org/10.1177/1098612X251359148\",\"RegionNum\":2,\"RegionCategory\":\"农林科学\",\"ArticlePicture\":[],\"TitleCN\":null,\"AbstractTextCN\":null,\"PMCID\":null,\"EPubDate\":\"2025/9/13 0:00:00\",\"PubModel\":\"Epub\",\"JCR\":\"Q2\",\"JCRName\":\"VETERINARY SCIENCES\",\"Score\":null,\"Total\":0}","platform":"Semanticscholar","paperid":null,"PeriodicalName":"Journal of Feline Medicine and Surgery","FirstCategoryId":"97","ListUrlMain":"https://doi.org/10.1177/1098612X251359148","RegionNum":2,"RegionCategory":"农林科学","ArticlePicture":[],"TitleCN":null,"AbstractTextCN":null,"PMCID":null,"EPubDate":"2025/9/13 0:00:00","PubModel":"Epub","JCR":"Q2","JCRName":"VETERINARY SCIENCES","Score":null,"Total":0}
引用次数: 0

摘要

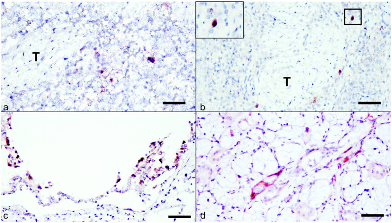
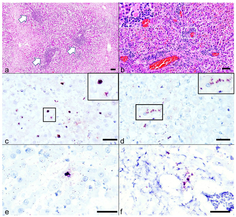
目的检测家猫肝炎病毒(DCHBV),该病毒属于正肝炎病毒属,与人类乙型肝炎病毒(HBV)密切相关;然而,其疾病进展和病理影响尚不清楚。本研究调查了自然感染DCHBV的猫在检测后长达310天的纵向动态,重点关注血液参数和病毒载量波动、肝脏病理和肝外传播。方法筛选的87只猫中,4只(4.6%)采用qPCR检测出DCHBV阳性。通过反复的健康检查,包括病毒载量监测,对这些猫进行了纵向监测。自然死亡后,进行尸检、组织病理学、原位杂交(ISH)和免疫组化(IHC)来评估病变分布和病毒定位。对dchbv阳性病例进行全基因组测序和系统发育分析。结果4只dchbv阳性猫中有3只出现持续高病毒血症(bb70 log10基因组拷贝/ml)超过6个月。尽管持续的病毒血症,肝酶水平表现出不同的趋势,一些病例维持正常的丙氨酸转氨酶和碱性磷酸酶水平。组织病理学分析显示不同程度的界面肝炎,符合免疫介导的肝损伤。DCHBV DNA在肝脏中最丰富,经qPCR、ISH和免疫组化证实。在肝外组织,包括脾脏、肺和唾液腺中也检测到病毒DNA。全基因组测序证实基因型A内聚类,遗传变异性低。两只猫同时感染猫白血病病毒(FeLV),这可能影响宿主的免疫反应。结论:持续性病毒血症和肝脏炎症提示DCHBV可能与肝脏病理有关,可能受宿主免疫反应和共感染的影响。然而,由于病例数量有限,并且在一些猫中存在FeLV合并感染,因此无法得出确定的结论。这些发现提供了一个基础基础,保证在更大的队列中得到确认和扩展。
本文章由计算机程序翻译,如有差异,请以英文原文为准。

Longitudinal observation of chronic domestic cat hepadnavirus infection in cats with evidence of extrahepatic involvement.

Longitudinal observation of chronic domestic cat hepadnavirus infection in cats with evidence of extrahepatic involvement.

Longitudinal observation of chronic domestic cat hepadnavirus infection in cats with evidence of extrahepatic involvement.

Longitudinal observation of chronic domestic cat hepadnavirus infection in cats with evidence of extrahepatic involvement.

ObjectivesDomestic cat hepadnavirus (DCHBV), belonging to the Orthohepadnavirus genus and closely related to the human hepatitis B virus (HBV), is detected in domestic cats; however, its disease progression and pathological impact remain unclear. This study investigates the longitudinal dynamics of DCHBV infection in naturally infected cats over a period of up to 310 days after detection, focusing on blood parameters and viral load fluctuations, liver pathology and extrahepatic dissemination.MethodsAmong 87 screened cats, four (4.6%) tested positive for DCHBV using quantitative PCR (qPCR). These cats were monitored longitudinally through repeated health checks, including viral load monitoring. After natural death, necropsy, histopathology, in situ hybridisation (ISH) and immunohistochemistry (IHC) were conducted to assess lesion distribution and viral localisation. Whole-genome sequencing and phylogenetic analysis were also performed on DCHBV-positive cases.ResultsThree of four DCHBV-positive cats exhibited persistent high viremia (>7 log10 genomic copies/ml) for over 6 months. Despite sustained viremia, liver enzyme levels showed variable trends, with some cases maintaining normal alanine aminotransferase and alkaline phosphatase levels. Histopathological analysis revealed various degrees of interface hepatitis, consistent with immune-mediated liver injury. DCHBV DNA was most abundant in the liver and confirmed through qPCR, ISH and IHC. Viral DNA was also detected in extrahepatic tissue, including the spleen, lung and salivary glands. Complete genome sequencing confirmed clustering within genotype A, with low genetic variability. Coinfection with feline leukaemia virus (FeLV) was noted in two cats, which may influence host immune responses.Conclusions and relevancePersistent viremia and liver inflammation suggest DCHBV may contribute to hepatic pathology, likely influenced by host immune responses and coinfections. However, because of the limited number of cases and the presence of FeLV coinfection in some cats, firm conclusions cannot be drawn. These findings provide a foundational basis that warrants confirmation and expansion in larger cohorts.

求助全文
通过发布文献求助,成功后即可免费获取论文全文。 去求助
来源期刊
CiteScore
3.90
自引率
17.60%
发文量
254
审稿时长
8-16 weeks
期刊介绍: JFMS is an international, peer-reviewed journal aimed at both practitioners and researchers with an interest in the clinical veterinary healthcare of domestic cats. The journal is published monthly in two formats: ‘Classic’ editions containing high-quality original papers on all aspects of feline medicine and surgery, including basic research relevant to clinical practice; and dedicated ‘Clinical Practice’ editions primarily containing opinionated review articles providing state-of-the-art information for feline clinicians, along with other relevant articles such as consensus guidelines.
×
引用
GB/T 7714-2015
复制
MLA
复制
APA
复制
导出至
BibTeX EndNote RefMan NoteFirst NoteExpress
×
提示
您的信息不完整,为了账户安全,请先补充。
现在去补充
×
提示
您因"违规操作"
具体请查看互助需知
我知道了
×
提示
确定
请完成安全验证×
copy
已复制链接
快去分享给好友吧!
我知道了
右上角分享
点击右上角分享
0
联系我们:info@booksci.cn Book学术提供免费学术资源搜索服务,方便国内外学者检索中英文文献。致力于提供最便捷和优质的服务体验。 Copyright © 2023 布克学术 All rights reserved.
京ICP备2023020795号-1
ghs 京公网安备 11010802042870号
Book学术文献互助
Book学术文献互助群
群 号:604180095
Book学术官方微信