非典型胃病变提示潜在胰腺癌直接侵袭。

Byeong Joo Jo
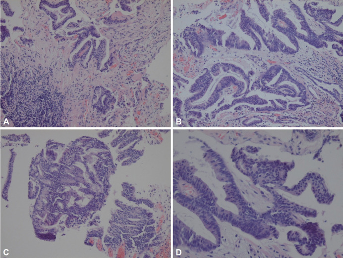
{"title":"非典型胃病变提示潜在胰腺癌直接侵袭。","authors":"Byeong Joo Jo","doi":"10.7704/kjhugr.2025.0032","DOIUrl":null,"url":null,"abstract":"<p><p>Atypical gastric lesions present diagnostic challenges, particularly when they mimic benign conditions. We report the case of a 76-year-old male who underwent esophagogastroduodenoscopy (EGD) during routine screening. The EGD revealed a 1-cm ulcerative lesion in the lesser curvature of the stomach. The initial endoscopic report simply described the lesion as a \"gastric ulcer,\" and the initial biopsy indicated a tubulovillous adenoma with low-grade dysplasia. However, follow-up endoscopy demonstrated an irregular, non-healing ulcer without a clean base, raising a strong possibility of deeper infiltration. A follow-up biopsy showed atypical findings, suggestive of malignancy, and prompting further evaluation. Abdominal computed tomography (CT) revealed a mass in the pancreatic body and tail that directly invaded the gastric wall, along with extensive peritoneal metastasis. Positron emission tomography-CT confirmed hypermetabolic activity in the pancreatic lesion. The final diagnosis was a pancreatic adenocarcinoma with gastric invasion. This case highlights the importance of correlating endoscopic findings with imaging and pathology findings, especially when endoscopic morphology appears atypical and inconsistent with biopsy results. Repeat evaluations and cross-sectional imaging may prevent unnecessary procedures and allow timely identification of extrinsic malignancies that present as primary gastric lesions.</p>","PeriodicalId":520887,"journal":{"name":"The Korean journal of helicobacter and upper gastrointestinal research","volume":"25 3","pages":"288-291"},"PeriodicalIF":0.0000,"publicationDate":"2025-09-01","publicationTypes":"Journal Article","fieldsOfStudy":null,"isOpenAccess":false,"openAccessPdf":"https://www.ncbi.nlm.nih.gov/pmc/articles/PMC12425658/pdf/","citationCount":"0","resultStr":"{\"title\":\"Atypical Gastric Lesion Revealing Underlying Pancreatic Cancer With Direct Invasion.\",\"authors\":\"Byeong Joo Jo\",\"doi\":\"10.7704/kjhugr.2025.0032\",\"DOIUrl\":null,\"url\":null,\"abstract\":\"<p><p>Atypical gastric lesions present diagnostic challenges, particularly when they mimic benign conditions. We report the case of a 76-year-old male who underwent esophagogastroduodenoscopy (EGD) during routine screening. The EGD revealed a 1-cm ulcerative lesion in the lesser curvature of the stomach. The initial endoscopic report simply described the lesion as a \\\"gastric ulcer,\\\" and the initial biopsy indicated a tubulovillous adenoma with low-grade dysplasia. However, follow-up endoscopy demonstrated an irregular, non-healing ulcer without a clean base, raising a strong possibility of deeper infiltration. A follow-up biopsy showed atypical findings, suggestive of malignancy, and prompting further evaluation. Abdominal computed tomography (CT) revealed a mass in the pancreatic body and tail that directly invaded the gastric wall, along with extensive peritoneal metastasis. Positron emission tomography-CT confirmed hypermetabolic activity in the pancreatic lesion. The final diagnosis was a pancreatic adenocarcinoma with gastric invasion. This case highlights the importance of correlating endoscopic findings with imaging and pathology findings, especially when endoscopic morphology appears atypical and inconsistent with biopsy results. Repeat evaluations and cross-sectional imaging may prevent unnecessary procedures and allow timely identification of extrinsic malignancies that present as primary gastric lesions.</p>\",\"PeriodicalId\":520887,\"journal\":{\"name\":\"The Korean journal of helicobacter and upper gastrointestinal research\",\"volume\":\"25 3\",\"pages\":\"288-291\"},\"PeriodicalIF\":0.0000,\"publicationDate\":\"2025-09-01\",\"publicationTypes\":\"Journal Article\",\"fieldsOfStudy\":null,\"isOpenAccess\":false,\"openAccessPdf\":\"https://www.ncbi.nlm.nih.gov/pmc/articles/PMC12425658/pdf/\",\"citationCount\":\"0\",\"resultStr\":null,\"platform\":\"Semanticscholar\",\"paperid\":null,\"PeriodicalName\":\"The Korean journal of helicobacter and upper gastrointestinal research\",\"FirstCategoryId\":\"1085\",\"ListUrlMain\":\"https://doi.org/10.7704/kjhugr.2025.0032\",\"RegionNum\":0,\"RegionCategory\":null,\"ArticlePicture\":[],\"TitleCN\":null,\"AbstractTextCN\":null,\"PMCID\":null,\"EPubDate\":\"\",\"PubModel\":\"\",\"JCR\":\"\",\"JCRName\":\"\",\"Score\":null,\"Total\":0}","platform":"Semanticscholar","paperid":null,"PeriodicalName":"The Korean journal of helicobacter and upper gastrointestinal research","FirstCategoryId":"1085","ListUrlMain":"https://doi.org/10.7704/kjhugr.2025.0032","RegionNum":0,"RegionCategory":null,"ArticlePicture":[],"TitleCN":null,"AbstractTextCN":null,"PMCID":null,"EPubDate":"","PubModel":"","JCR":"","JCRName":"","Score":null,"Total":0}
引用次数: 0

摘要

非典型胃病变呈现诊断挑战,特别是当他们模仿良性条件。我们报告一个病例76岁的男性谁接受了食管胃十二指肠镜检查(EGD)在常规筛查。EGD显示胃小弯处有1厘米溃疡性病变。最初的内镜报告简单地将病变描述为“胃溃疡”,而最初的活检显示为低级别不典型增生的管状绒毛腺瘤。然而,随访的内窥镜检查显示一个不规则的,未愈合的溃疡,没有干净的基础,增加了更深层浸润的可能性。随访活检显示非典型的发现,提示恶性肿瘤,并提示进一步的评估。腹部计算机断层扫描(CT)显示胰腺体和尾部的肿块直接侵犯胃壁,并伴有广泛的腹膜转移。正电子发射断层扫描证实胰腺病变有高代谢活动。最终诊断为胰腺腺癌伴胃侵。该病例强调了将内窥镜检查结果与影像学和病理学结果相关联的重要性,特别是当内窥镜形态学出现非典型且与活检结果不一致时。重复评估和横断面成像可以避免不必要的手术,并允许及时识别作为原发性胃病变的外源性恶性肿瘤。
本文章由计算机程序翻译,如有差异,请以英文原文为准。

Atypical Gastric Lesion Revealing Underlying Pancreatic Cancer With Direct Invasion.

Atypical Gastric Lesion Revealing Underlying Pancreatic Cancer With Direct Invasion.

Atypical Gastric Lesion Revealing Underlying Pancreatic Cancer With Direct Invasion.

Atypical Gastric Lesion Revealing Underlying Pancreatic Cancer With Direct Invasion.

Atypical gastric lesions present diagnostic challenges, particularly when they mimic benign conditions. We report the case of a 76-year-old male who underwent esophagogastroduodenoscopy (EGD) during routine screening. The EGD revealed a 1-cm ulcerative lesion in the lesser curvature of the stomach. The initial endoscopic report simply described the lesion as a "gastric ulcer," and the initial biopsy indicated a tubulovillous adenoma with low-grade dysplasia. However, follow-up endoscopy demonstrated an irregular, non-healing ulcer without a clean base, raising a strong possibility of deeper infiltration. A follow-up biopsy showed atypical findings, suggestive of malignancy, and prompting further evaluation. Abdominal computed tomography (CT) revealed a mass in the pancreatic body and tail that directly invaded the gastric wall, along with extensive peritoneal metastasis. Positron emission tomography-CT confirmed hypermetabolic activity in the pancreatic lesion. The final diagnosis was a pancreatic adenocarcinoma with gastric invasion. This case highlights the importance of correlating endoscopic findings with imaging and pathology findings, especially when endoscopic morphology appears atypical and inconsistent with biopsy results. Repeat evaluations and cross-sectional imaging may prevent unnecessary procedures and allow timely identification of extrinsic malignancies that present as primary gastric lesions.

求助全文
通过发布文献求助,成功后即可免费获取论文全文。 去求助
来源期刊
自引率
0.00%
发文量
0
×
引用
GB/T 7714-2015
复制
MLA
复制
APA
复制
导出至
BibTeX EndNote RefMan NoteFirst NoteExpress
×
提示
您的信息不完整,为了账户安全,请先补充。
现在去补充
×
提示
您因"违规操作"
具体请查看互助需知
我知道了
×
提示
确定
请完成安全验证×
copy
已复制链接
快去分享给好友吧!
我知道了
右上角分享
点击右上角分享
0
联系我们:info@booksci.cn Book学术提供免费学术资源搜索服务,方便国内外学者检索中英文文献。致力于提供最便捷和优质的服务体验。 Copyright © 2023 布克学术 All rights reserved.
京ICP备2023020795号-1
ghs 京公网安备 11010802042870号
Book学术文献互助
Book学术文献互助群
群 号:604180095
Book学术官方微信