以呼吸困难患者食道黑色1例。

Jaehong Jeong, June Hwa Bae, Hyeong Ho Jo, Joong Goo Kwon, Eun Young Kim
{"title":"以呼吸困难患者食道黑色1例。","authors":"Jaehong Jeong, June Hwa Bae, Hyeong Ho Jo, Joong Goo Kwon, Eun Young Kim","doi":"10.7704/kjhugr.2025.0036","DOIUrl":null,"url":null,"abstract":"<p><p>Acute esophageal necrosis (AEN), also known as \"black esophagus,\" is a rare clinical condition marked by severe damage and death of the tissue lining the esophagus. During endoscopy, AEN typically presents with a blackened appearance. Risk factors for AEN include esophageal ischemia in the setting of multi-organ dysfunction, sepsis, hypoperfusion, vasculopathy, traumatic transection of the thoracic aorta, thromboembolic phenomena, gastric volvulus, diabetic ketoacidosis, alcohol intoxication, or malignancy. Here, we report a case of AEN diagnosed in a patient presenting with dyspnea and diabetic ketoacidosis who had not been diagnosed with diabetes mellitus previously.</p>","PeriodicalId":520887,"journal":{"name":"The Korean journal of helicobacter and upper gastrointestinal research","volume":"25 3","pages":"284-287"},"PeriodicalIF":0.0000,"publicationDate":"2025-09-01","publicationTypes":"Journal Article","fieldsOfStudy":null,"isOpenAccess":false,"openAccessPdf":"https://www.ncbi.nlm.nih.gov/pmc/articles/PMC12425667/pdf/","citationCount":"0","resultStr":"{\"title\":\"A Case of Black Esophagus in a Patient Presenting With Dyspnea.\",\"authors\":\"Jaehong Jeong, June Hwa Bae, Hyeong Ho Jo, Joong Goo Kwon, Eun Young Kim\",\"doi\":\"10.7704/kjhugr.2025.0036\",\"DOIUrl\":null,\"url\":null,\"abstract\":\"<p><p>Acute esophageal necrosis (AEN), also known as \\\"black esophagus,\\\" is a rare clinical condition marked by severe damage and death of the tissue lining the esophagus. During endoscopy, AEN typically presents with a blackened appearance. Risk factors for AEN include esophageal ischemia in the setting of multi-organ dysfunction, sepsis, hypoperfusion, vasculopathy, traumatic transection of the thoracic aorta, thromboembolic phenomena, gastric volvulus, diabetic ketoacidosis, alcohol intoxication, or malignancy. Here, we report a case of AEN diagnosed in a patient presenting with dyspnea and diabetic ketoacidosis who had not been diagnosed with diabetes mellitus previously.</p>\",\"PeriodicalId\":520887,\"journal\":{\"name\":\"The Korean journal of helicobacter and upper gastrointestinal research\",\"volume\":\"25 3\",\"pages\":\"284-287\"},\"PeriodicalIF\":0.0000,\"publicationDate\":\"2025-09-01\",\"publicationTypes\":\"Journal Article\",\"fieldsOfStudy\":null,\"isOpenAccess\":false,\"openAccessPdf\":\"https://www.ncbi.nlm.nih.gov/pmc/articles/PMC12425667/pdf/\",\"citationCount\":\"0\",\"resultStr\":null,\"platform\":\"Semanticscholar\",\"paperid\":null,\"PeriodicalName\":\"The Korean journal of helicobacter and upper gastrointestinal research\",\"FirstCategoryId\":\"1085\",\"ListUrlMain\":\"https://doi.org/10.7704/kjhugr.2025.0036\",\"RegionNum\":0,\"RegionCategory\":null,\"ArticlePicture\":[],\"TitleCN\":null,\"AbstractTextCN\":null,\"PMCID\":null,\"EPubDate\":\"\",\"PubModel\":\"\",\"JCR\":\"\",\"JCRName\":\"\",\"Score\":null,\"Total\":0}","platform":"Semanticscholar","paperid":null,"PeriodicalName":"The Korean journal of helicobacter and upper gastrointestinal research","FirstCategoryId":"1085","ListUrlMain":"https://doi.org/10.7704/kjhugr.2025.0036","RegionNum":0,"RegionCategory":null,"ArticlePicture":[],"TitleCN":null,"AbstractTextCN":null,"PMCID":null,"EPubDate":"","PubModel":"","JCR":"","JCRName":"","Score":null,"Total":0}
引用次数: 0

摘要

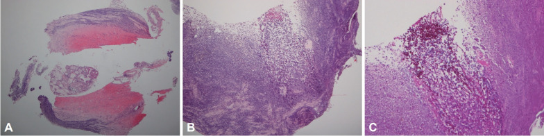
急性食管坏死(AEN),也被称为“黑色食管”,是一种罕见的临床疾病,其特征是食管内壁组织严重损伤和死亡。在内窥镜检查时,AEN通常呈现黑色外观。AEN的危险因素包括多器官功能障碍背景下的食管缺血、脓毒症、灌注不足、血管病变、创伤性胸主动脉横断、血栓栓塞现象、胃扭转、糖尿病酮症酸中毒、酒精中毒或恶性肿瘤。在此,我们报告一例以呼吸困难和糖尿病酮症酸中毒为表现的AEN病例,该患者以前未被诊断为糖尿病。
本文章由计算机程序翻译,如有差异,请以英文原文为准。

A Case of Black Esophagus in a Patient Presenting With Dyspnea.

A Case of Black Esophagus in a Patient Presenting With Dyspnea.

A Case of Black Esophagus in a Patient Presenting With Dyspnea.

A Case of Black Esophagus in a Patient Presenting With Dyspnea.

Acute esophageal necrosis (AEN), also known as "black esophagus," is a rare clinical condition marked by severe damage and death of the tissue lining the esophagus. During endoscopy, AEN typically presents with a blackened appearance. Risk factors for AEN include esophageal ischemia in the setting of multi-organ dysfunction, sepsis, hypoperfusion, vasculopathy, traumatic transection of the thoracic aorta, thromboembolic phenomena, gastric volvulus, diabetic ketoacidosis, alcohol intoxication, or malignancy. Here, we report a case of AEN diagnosed in a patient presenting with dyspnea and diabetic ketoacidosis who had not been diagnosed with diabetes mellitus previously.

求助全文
通过发布文献求助,成功后即可免费获取论文全文。 去求助
来源期刊
自引率
0.00%
发文量
0
×
引用
GB/T 7714-2015
复制
MLA
复制
APA
复制
导出至
BibTeX EndNote RefMan NoteFirst NoteExpress
×
提示
您的信息不完整,为了账户安全,请先补充。
现在去补充
×
提示
您因"违规操作"
具体请查看互助需知
我知道了
×
提示
确定
请完成安全验证×
copy
已复制链接
快去分享给好友吧!
我知道了
右上角分享
点击右上角分享
0
联系我们:info@booksci.cn Book学术提供免费学术资源搜索服务,方便国内外学者检索中英文文献。致力于提供最便捷和优质的服务体验。 Copyright © 2023 布克学术 All rights reserved.
京ICP备2023020795号-1
ghs 京公网安备 11010802042870号
Book学术文献互助
Book学术文献互助群
群 号:604180095
Book学术官方微信