复杂经导管主动脉瓣植入性心内膜炎的手术入路。

IF 0.5 4区 医学 Q4 SURGERY
Burak Bozkurt, İsmail Yücesin Arslan, Mukan Kağan Kuş, Talib Durak, Mehmet Kaplan
{"title":"复杂经导管主动脉瓣植入性心内膜炎的手术入路。","authors":"Burak Bozkurt, İsmail Yücesin Arslan, Mukan Kağan Kuş, Talib Durak, Mehmet Kaplan","doi":"10.5606/tgkdc.dergisi.2025.26945","DOIUrl":null,"url":null,"abstract":"","PeriodicalId":49413,"journal":{"name":"Turk Gogus Kalp Damar Cerrahisi Dergisi-Turkish Journal of Thoracic and Cardiovascular Surgery","volume":"33 3","pages":"391-394"},"PeriodicalIF":0.5000,"publicationDate":"2025-07-21","publicationTypes":"Journal Article","fieldsOfStudy":null,"isOpenAccess":false,"openAccessPdf":"https://www.ncbi.nlm.nih.gov/pmc/articles/PMC12421567/pdf/","citationCount":"0","resultStr":"{\"title\":\"Surgical approach to complicated transcatheter aortic valve implantation endocarditis.\",\"authors\":\"Burak Bozkurt, İsmail Yücesin Arslan, Mukan Kağan Kuş, Talib Durak, Mehmet Kaplan\",\"doi\":\"10.5606/tgkdc.dergisi.2025.26945\",\"DOIUrl\":null,\"url\":null,\"abstract\":\"\",\"PeriodicalId\":49413,\"journal\":{\"name\":\"Turk Gogus Kalp Damar Cerrahisi Dergisi-Turkish Journal of Thoracic and Cardiovascular Surgery\",\"volume\":\"33 3\",\"pages\":\"391-394\"},\"PeriodicalIF\":0.5000,\"publicationDate\":\"2025-07-21\",\"publicationTypes\":\"Journal Article\",\"fieldsOfStudy\":null,\"isOpenAccess\":false,\"openAccessPdf\":\"https://www.ncbi.nlm.nih.gov/pmc/articles/PMC12421567/pdf/\",\"citationCount\":\"0\",\"resultStr\":null,\"platform\":\"Semanticscholar\",\"paperid\":null,\"PeriodicalName\":\"Turk Gogus Kalp Damar Cerrahisi Dergisi-Turkish Journal of Thoracic and Cardiovascular Surgery\",\"FirstCategoryId\":\"3\",\"ListUrlMain\":\"https://doi.org/10.5606/tgkdc.dergisi.2025.26945\",\"RegionNum\":4,\"RegionCategory\":\"医学\",\"ArticlePicture\":[],\"TitleCN\":null,\"AbstractTextCN\":null,\"PMCID\":null,\"EPubDate\":\"2025/7/1 0:00:00\",\"PubModel\":\"eCollection\",\"JCR\":\"Q4\",\"JCRName\":\"SURGERY\",\"Score\":null,\"Total\":0}","platform":"Semanticscholar","paperid":null,"PeriodicalName":"Turk Gogus Kalp Damar Cerrahisi Dergisi-Turkish Journal of Thoracic and Cardiovascular Surgery","FirstCategoryId":"3","ListUrlMain":"https://doi.org/10.5606/tgkdc.dergisi.2025.26945","RegionNum":4,"RegionCategory":"医学","ArticlePicture":[],"TitleCN":null,"AbstractTextCN":null,"PMCID":null,"EPubDate":"2025/7/1 0:00:00","PubModel":"eCollection","JCR":"Q4","JCRName":"SURGERY","Score":null,"Total":0}
引用次数: 0

摘要

本文章由计算机程序翻译,如有差异,请以英文原文为准。

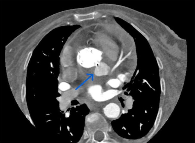
Surgical approach to complicated transcatheter aortic valve implantation endocarditis.

Surgical approach to complicated transcatheter aortic valve implantation endocarditis.

Surgical approach to complicated transcatheter aortic valve implantation endocarditis.

Surgical approach to complicated transcatheter aortic valve implantation endocarditis.
求助全文
通过发布文献求助,成功后即可免费获取论文全文。 去求助
来源期刊
CiteScore
1.00
自引率
0.00%
发文量
98
审稿时长
3-8 weeks
期刊介绍: The Turkish Journal of Thoracic and Cardiovascular Surgery is an international open access journal which publishes original articles on topics in generality of Cardiac, Thoracic, Arterial, Venous, Lymphatic Disorders and their managements. These encompass all relevant clinical, surgical and experimental studies, editorials, current and collective reviews, technical know-how papers, case reports, interesting images, How to Do It papers, correspondences, and commentaries.
×
引用
GB/T 7714-2015
复制
MLA
复制
APA
复制
导出至
BibTeX EndNote RefMan NoteFirst NoteExpress
×
提示
您的信息不完整,为了账户安全,请先补充。
现在去补充
×
提示
您因"违规操作"
具体请查看互助需知
我知道了
×
提示
确定
请完成安全验证×
copy
已复制链接
快去分享给好友吧!
我知道了
右上角分享
点击右上角分享
0
联系我们:info@booksci.cn Book学术提供免费学术资源搜索服务,方便国内外学者检索中英文文献。致力于提供最便捷和优质的服务体验。 Copyright © 2023 布克学术 All rights reserved.
京ICP备2023020795号-1
ghs 京公网安备 11010802042870号
Book学术文献互助
Book学术文献互助群
群 号:604180095
Book学术官方微信