房间隔缺损封堵器用于冠状动脉旁路移植术后升主动脉假性动脉瘤的闭合。

IF 0.5 4区 医学 Q4 SURGERY
İbrahim Kara, Fatih Toptan, Salih Salihi, Mustafa Tarık Ağaç, Yunus Emre Yazıcı
{"title":"房间隔缺损封堵器用于冠状动脉旁路移植术后升主动脉假性动脉瘤的闭合。","authors":"İbrahim Kara, Fatih Toptan, Salih Salihi, Mustafa Tarık Ağaç, Yunus Emre Yazıcı","doi":"10.5606/tgkdc.dergisi.2025.25878","DOIUrl":null,"url":null,"abstract":"<p><p>An aortic pseudoaneurysm is a rare, but serious condition which can result in life-threatening complications. It is usually caused by previous cardiac surgery, trauma, or infection. Due to the high likelihood of rupture with primary surgical intervention, endovascular closure may be performed as the standard of care in eligible cases. In this article, we present a case of a huge aortic pseudoaneurysm with a wide neck which could safely be closed using an atrial septal occluder.</p>","PeriodicalId":49413,"journal":{"name":"Turk Gogus Kalp Damar Cerrahisi Dergisi-Turkish Journal of Thoracic and Cardiovascular Surgery","volume":"33 3","pages":"397-400"},"PeriodicalIF":0.5000,"publicationDate":"2025-07-21","publicationTypes":"Journal Article","fieldsOfStudy":null,"isOpenAccess":false,"openAccessPdf":"https://www.ncbi.nlm.nih.gov/pmc/articles/PMC12421551/pdf/","citationCount":"0","resultStr":"{\"title\":\"Use of an atrial septal defect occluder for the closure of an ascending aorta pseudoaneurysm after coronary artery bypass grafting.\",\"authors\":\"İbrahim Kara, Fatih Toptan, Salih Salihi, Mustafa Tarık Ağaç, Yunus Emre Yazıcı\",\"doi\":\"10.5606/tgkdc.dergisi.2025.25878\",\"DOIUrl\":null,\"url\":null,\"abstract\":\"<p><p>An aortic pseudoaneurysm is a rare, but serious condition which can result in life-threatening complications. It is usually caused by previous cardiac surgery, trauma, or infection. Due to the high likelihood of rupture with primary surgical intervention, endovascular closure may be performed as the standard of care in eligible cases. In this article, we present a case of a huge aortic pseudoaneurysm with a wide neck which could safely be closed using an atrial septal occluder.</p>\",\"PeriodicalId\":49413,\"journal\":{\"name\":\"Turk Gogus Kalp Damar Cerrahisi Dergisi-Turkish Journal of Thoracic and Cardiovascular Surgery\",\"volume\":\"33 3\",\"pages\":\"397-400\"},\"PeriodicalIF\":0.5000,\"publicationDate\":\"2025-07-21\",\"publicationTypes\":\"Journal Article\",\"fieldsOfStudy\":null,\"isOpenAccess\":false,\"openAccessPdf\":\"https://www.ncbi.nlm.nih.gov/pmc/articles/PMC12421551/pdf/\",\"citationCount\":\"0\",\"resultStr\":null,\"platform\":\"Semanticscholar\",\"paperid\":null,\"PeriodicalName\":\"Turk Gogus Kalp Damar Cerrahisi Dergisi-Turkish Journal of Thoracic and Cardiovascular Surgery\",\"FirstCategoryId\":\"3\",\"ListUrlMain\":\"https://doi.org/10.5606/tgkdc.dergisi.2025.25878\",\"RegionNum\":4,\"RegionCategory\":\"医学\",\"ArticlePicture\":[],\"TitleCN\":null,\"AbstractTextCN\":null,\"PMCID\":null,\"EPubDate\":\"2025/7/1 0:00:00\",\"PubModel\":\"eCollection\",\"JCR\":\"Q4\",\"JCRName\":\"SURGERY\",\"Score\":null,\"Total\":0}","platform":"Semanticscholar","paperid":null,"PeriodicalName":"Turk Gogus Kalp Damar Cerrahisi Dergisi-Turkish Journal of Thoracic and Cardiovascular Surgery","FirstCategoryId":"3","ListUrlMain":"https://doi.org/10.5606/tgkdc.dergisi.2025.25878","RegionNum":4,"RegionCategory":"医学","ArticlePicture":[],"TitleCN":null,"AbstractTextCN":null,"PMCID":null,"EPubDate":"2025/7/1 0:00:00","PubModel":"eCollection","JCR":"Q4","JCRName":"SURGERY","Score":null,"Total":0}
引用次数: 0

摘要

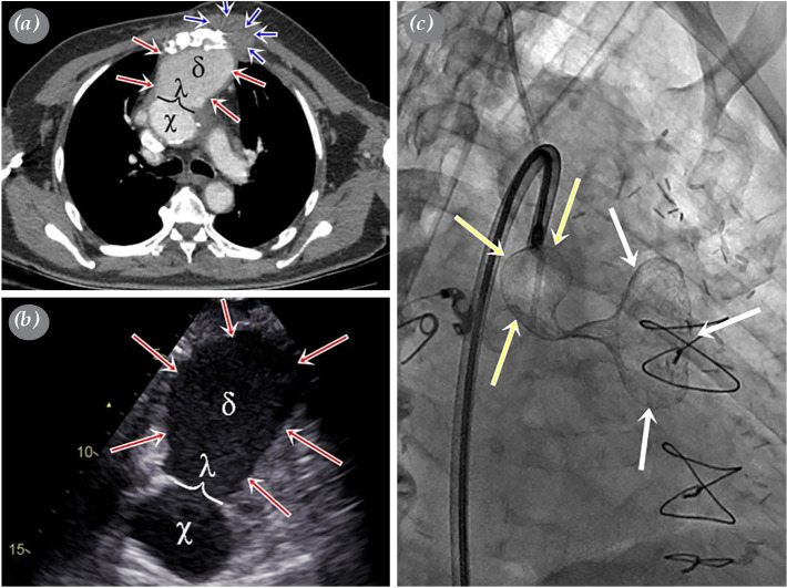
主动脉假性动脉瘤是一种罕见但严重的疾病,可导致危及生命的并发症。它通常是由以前的心脏手术、创伤或感染引起的。由于初级手术干预时血管破裂的可能性很高,在符合条件的病例中,血管内闭合可作为标准护理。在这篇文章中,我们提出了一个巨大的假性动脉瘤与宽颈,可以安全地使用房间隔封堵器关闭。
本文章由计算机程序翻译,如有差异,请以英文原文为准。

Use of an atrial septal defect occluder for the closure of an ascending aorta pseudoaneurysm after coronary artery bypass grafting.

Use of an atrial septal defect occluder for the closure of an ascending aorta pseudoaneurysm after coronary artery bypass grafting.

Use of an atrial septal defect occluder for the closure of an ascending aorta pseudoaneurysm after coronary artery bypass grafting.

An aortic pseudoaneurysm is a rare, but serious condition which can result in life-threatening complications. It is usually caused by previous cardiac surgery, trauma, or infection. Due to the high likelihood of rupture with primary surgical intervention, endovascular closure may be performed as the standard of care in eligible cases. In this article, we present a case of a huge aortic pseudoaneurysm with a wide neck which could safely be closed using an atrial septal occluder.

求助全文
通过发布文献求助,成功后即可免费获取论文全文。 去求助
来源期刊
CiteScore
1.00
自引率
0.00%
发文量
98
审稿时长
3-8 weeks
期刊介绍: The Turkish Journal of Thoracic and Cardiovascular Surgery is an international open access journal which publishes original articles on topics in generality of Cardiac, Thoracic, Arterial, Venous, Lymphatic Disorders and their managements. These encompass all relevant clinical, surgical and experimental studies, editorials, current and collective reviews, technical know-how papers, case reports, interesting images, How to Do It papers, correspondences, and commentaries.
×
引用
GB/T 7714-2015
复制
MLA
复制
APA
复制
导出至
BibTeX EndNote RefMan NoteFirst NoteExpress
×
提示
您的信息不完整,为了账户安全,请先补充。
现在去补充
×
提示
您因"违规操作"
具体请查看互助需知
我知道了
×
提示
确定
请完成安全验证×
copy
已复制链接
快去分享给好友吧!
我知道了
右上角分享
点击右上角分享
0
联系我们:info@booksci.cn Book学术提供免费学术资源搜索服务,方便国内外学者检索中英文文献。致力于提供最便捷和优质的服务体验。 Copyright © 2023 布克学术 All rights reserved.
京ICP备2023020795号-1
ghs 京公网安备 11010802042870号
Book学术文献互助
Book学术文献互助群
群 号:604180095
Book学术官方微信