心肌炎病变的频谱CT表现及其与MRI水肿的相关性。

IF 3.6 Q1 RADIOLOGY, NUCLEAR MEDICINE & MEDICAL IMAGING
Sara Boccalini, Clara Fourrier, Salim Si-Mohamed, Eric Bonnefoy-Cudraz, Thomas Bochaton, Loic Boussel, Anna Vlachomitrou, Rafael Wiemker, Philippe Douek
{"title":"心肌炎病变的频谱CT表现及其与MRI水肿的相关性。","authors":"Sara Boccalini, Clara Fourrier, Salim Si-Mohamed, Eric Bonnefoy-Cudraz, Thomas Bochaton, Loic Boussel, Anna Vlachomitrou, Rafael Wiemker, Philippe Douek","doi":"10.1186/s41747-025-00613-x","DOIUrl":null,"url":null,"abstract":"<p><strong>Background: </strong>Spectral computed tomography (CT) late-enhancement (LE) acquisitions can help detect myocarditis. An arterial acquisition is often performed for coronary artery analysis. However, little is known about the appearance of myocarditis on the arterial phase. We investigated the appearance of myocarditis on arterial acquisitions of cardiac spectral CT, and its relationship to LE and edema.</p><p><strong>Materials and methods: </strong>Forty-seven cardiac spectral CTs performed in patients with magnetic resonance imaging (MRI)-confirmed myocarditis were retrospectively assessed. Three myocardial attenuation/enhancement patterns were visually identified and segmented on both arterial and LE acquisitions: hypodense-arterial + normal-LE (HypoArt-NorLE); normal-arterial + hyperdense-LE (NorArt-HyperLE); and hypodense-arterial + hyperdense-late (HypoArt-HyperLE). Characteristics of conventional and spectral images were calculated for all patterns and for remote myocardium. Values of HypoArt-HyperLE lesions were compared in the groups with and without edema on MRI, as assessed with T2 mapping (available for 25 patients).</p><p><strong>Results: </strong>We found 173 lesions, 46 (26%) HypoArt-NorLE, 54 (31%) NorArt-HyperLE, and 73 (42%) HypoArt-HyperLE. On the arterial phase, HypoArt-HyperLE were more hypodense (p < 0.001) and had less iodine (0.23 mg/mL less; p < 0.001) than RM. On LE, both HypoArt-HyperLE and NorArt-HyperLE were more hyperdense and contained more iodine than the remote myocardium (all p < 0.001). HypoArt-HyperLE lesions were more hypodense and contained less iodine on the arterial phase in patients with edema on MRI as compared to those without (all p < 0.001).</p><p><strong>Conclusion: </strong>Most myocarditis lesions detectable with spectral CT are visible on both arterial and LE acquisitions. These lesions appeared to be more pronounced on the arterial phase in patients with edema on MRI.</p><p><strong>Relevance statement: </strong>Spectral CT arterial acquisition performed for the differential diagnosis of acute myocardial pathologies in many cases can depict myocarditis lesions as epicardial hypodense areas, most likely related to the presence of edema.</p><p><strong>Key points: </strong>Data from spectral CT shows that most myocarditis lesions appear as hypodense on the arterial phase, matching the epicardial LE zones. A minority of myocarditis lesions appear as epicardial LE areas without anomalies of attenuation on the arterial phase. Hypodense myocardial areas are correlated to the presence of edema on MRI, suggesting they are due to the same phenomenon.</p>","PeriodicalId":36926,"journal":{"name":"European Radiology Experimental","volume":"9 1","pages":"90"},"PeriodicalIF":3.6000,"publicationDate":"2025-09-11","publicationTypes":"Journal Article","fieldsOfStudy":null,"isOpenAccess":false,"openAccessPdf":"https://www.ncbi.nlm.nih.gov/pmc/articles/PMC12425864/pdf/","citationCount":"0","resultStr":"{\"title\":\"Appearance of myocarditis lesions on spectral CT arterial acquisitions and correlation with edema on MRI.\",\"authors\":\"Sara Boccalini, Clara Fourrier, Salim Si-Mohamed, Eric Bonnefoy-Cudraz, Thomas Bochaton, Loic Boussel, Anna Vlachomitrou, Rafael Wiemker, Philippe Douek\",\"doi\":\"10.1186/s41747-025-00613-x\",\"DOIUrl\":null,\"url\":null,\"abstract\":\"<p><strong>Background: </strong>Spectral computed tomography (CT) late-enhancement (LE) acquisitions can help detect myocarditis. An arterial acquisition is often performed for coronary artery analysis. However, little is known about the appearance of myocarditis on the arterial phase. We investigated the appearance of myocarditis on arterial acquisitions of cardiac spectral CT, and its relationship to LE and edema.</p><p><strong>Materials and methods: </strong>Forty-seven cardiac spectral CTs performed in patients with magnetic resonance imaging (MRI)-confirmed myocarditis were retrospectively assessed. Three myocardial attenuation/enhancement patterns were visually identified and segmented on both arterial and LE acquisitions: hypodense-arterial + normal-LE (HypoArt-NorLE); normal-arterial + hyperdense-LE (NorArt-HyperLE); and hypodense-arterial + hyperdense-late (HypoArt-HyperLE). Characteristics of conventional and spectral images were calculated for all patterns and for remote myocardium. Values of HypoArt-HyperLE lesions were compared in the groups with and without edema on MRI, as assessed with T2 mapping (available for 25 patients).</p><p><strong>Results: </strong>We found 173 lesions, 46 (26%) HypoArt-NorLE, 54 (31%) NorArt-HyperLE, and 73 (42%) HypoArt-HyperLE. On the arterial phase, HypoArt-HyperLE were more hypodense (p < 0.001) and had less iodine (0.23 mg/mL less; p < 0.001) than RM. On LE, both HypoArt-HyperLE and NorArt-HyperLE were more hyperdense and contained more iodine than the remote myocardium (all p < 0.001). HypoArt-HyperLE lesions were more hypodense and contained less iodine on the arterial phase in patients with edema on MRI as compared to those without (all p < 0.001).</p><p><strong>Conclusion: </strong>Most myocarditis lesions detectable with spectral CT are visible on both arterial and LE acquisitions. These lesions appeared to be more pronounced on the arterial phase in patients with edema on MRI.</p><p><strong>Relevance statement: </strong>Spectral CT arterial acquisition performed for the differential diagnosis of acute myocardial pathologies in many cases can depict myocarditis lesions as epicardial hypodense areas, most likely related to the presence of edema.</p><p><strong>Key points: </strong>Data from spectral CT shows that most myocarditis lesions appear as hypodense on the arterial phase, matching the epicardial LE zones. A minority of myocarditis lesions appear as epicardial LE areas without anomalies of attenuation on the arterial phase. Hypodense myocardial areas are correlated to the presence of edema on MRI, suggesting they are due to the same phenomenon.</p>\",\"PeriodicalId\":36926,\"journal\":{\"name\":\"European Radiology Experimental\",\"volume\":\"9 1\",\"pages\":\"90\"},\"PeriodicalIF\":3.6000,\"publicationDate\":\"2025-09-11\",\"publicationTypes\":\"Journal Article\",\"fieldsOfStudy\":null,\"isOpenAccess\":false,\"openAccessPdf\":\"https://www.ncbi.nlm.nih.gov/pmc/articles/PMC12425864/pdf/\",\"citationCount\":\"0\",\"resultStr\":null,\"platform\":\"Semanticscholar\",\"paperid\":null,\"PeriodicalName\":\"European Radiology Experimental\",\"FirstCategoryId\":\"1085\",\"ListUrlMain\":\"https://doi.org/10.1186/s41747-025-00613-x\",\"RegionNum\":0,\"RegionCategory\":null,\"ArticlePicture\":[],\"TitleCN\":null,\"AbstractTextCN\":null,\"PMCID\":null,\"EPubDate\":\"\",\"PubModel\":\"\",\"JCR\":\"Q1\",\"JCRName\":\"RADIOLOGY, NUCLEAR MEDICINE & MEDICAL IMAGING\",\"Score\":null,\"Total\":0}","platform":"Semanticscholar","paperid":null,"PeriodicalName":"European Radiology Experimental","FirstCategoryId":"1085","ListUrlMain":"https://doi.org/10.1186/s41747-025-00613-x","RegionNum":0,"RegionCategory":null,"ArticlePicture":[],"TitleCN":null,"AbstractTextCN":null,"PMCID":null,"EPubDate":"","PubModel":"","JCR":"Q1","JCRName":"RADIOLOGY, NUCLEAR MEDICINE & MEDICAL IMAGING","Score":null,"Total":0}
引用次数: 0

摘要

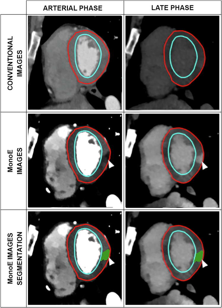
背景:频谱计算机断层扫描(CT)晚期增强(LE)图像可以帮助检测心肌炎。动脉采集常用于冠状动脉分析。然而,对动脉期心肌炎的表现知之甚少。我们研究了心肌炎在心脏频谱CT动脉获取上的表现及其与LE和水肿的关系。材料和方法:回顾性分析47例磁共振成像(MRI)证实的心肌炎患者的心脏频谱ct。在动脉和LE图像上,通过视觉识别和分割出三种心肌衰减/增强模式:低密度-动脉+正常LE (HypoArt-NorLE);正常动脉+高密度le (NorArt-HyperLE);低动脉+晚期高密度(HypoArt-HyperLE)。计算所有模式和远端心肌的常规和光谱图像特征。在MRI上比较有水肿组和无水肿组的HypoArt-HyperLE病变的价值,通过T2制图评估(25例患者可用)。结果:我们发现173个病变,46个(26%)HypoArt-NorLE, 54个(31%)NorArt-HyperLE, 73个(42%)HypoArt-HyperLE。在动脉期,HypoArt-HyperLE更低密度(p)。结论:大多数频谱CT检测到的心肌炎病变在动脉期和LE期都可见。这些病变在水肿患者的动脉期更明显。相关性声明:在许多病例中,用于急性心肌病理鉴别诊断的CT动脉频谱采集可将心肌炎病变描绘为心外膜低密度区,很可能与水肿有关。重点:频谱CT资料显示,大多数心肌炎病变在动脉期表现为低密度,与心外膜LE带相吻合。少数心肌炎病变表现为心外膜LE区,动脉期无异常衰减。在MRI上,低密度心肌区与水肿的存在相关,提示它们是由同一现象引起的。
本文章由计算机程序翻译,如有差异,请以英文原文为准。

Appearance of myocarditis lesions on spectral CT arterial acquisitions and correlation with edema on MRI.

Appearance of myocarditis lesions on spectral CT arterial acquisitions and correlation with edema on MRI.

Appearance of myocarditis lesions on spectral CT arterial acquisitions and correlation with edema on MRI.

Appearance of myocarditis lesions on spectral CT arterial acquisitions and correlation with edema on MRI.

Background: Spectral computed tomography (CT) late-enhancement (LE) acquisitions can help detect myocarditis. An arterial acquisition is often performed for coronary artery analysis. However, little is known about the appearance of myocarditis on the arterial phase. We investigated the appearance of myocarditis on arterial acquisitions of cardiac spectral CT, and its relationship to LE and edema.

Materials and methods: Forty-seven cardiac spectral CTs performed in patients with magnetic resonance imaging (MRI)-confirmed myocarditis were retrospectively assessed. Three myocardial attenuation/enhancement patterns were visually identified and segmented on both arterial and LE acquisitions: hypodense-arterial + normal-LE (HypoArt-NorLE); normal-arterial + hyperdense-LE (NorArt-HyperLE); and hypodense-arterial + hyperdense-late (HypoArt-HyperLE). Characteristics of conventional and spectral images were calculated for all patterns and for remote myocardium. Values of HypoArt-HyperLE lesions were compared in the groups with and without edema on MRI, as assessed with T2 mapping (available for 25 patients).

Results: We found 173 lesions, 46 (26%) HypoArt-NorLE, 54 (31%) NorArt-HyperLE, and 73 (42%) HypoArt-HyperLE. On the arterial phase, HypoArt-HyperLE were more hypodense (p < 0.001) and had less iodine (0.23 mg/mL less; p < 0.001) than RM. On LE, both HypoArt-HyperLE and NorArt-HyperLE were more hyperdense and contained more iodine than the remote myocardium (all p < 0.001). HypoArt-HyperLE lesions were more hypodense and contained less iodine on the arterial phase in patients with edema on MRI as compared to those without (all p < 0.001).

Conclusion: Most myocarditis lesions detectable with spectral CT are visible on both arterial and LE acquisitions. These lesions appeared to be more pronounced on the arterial phase in patients with edema on MRI.

Relevance statement: Spectral CT arterial acquisition performed for the differential diagnosis of acute myocardial pathologies in many cases can depict myocarditis lesions as epicardial hypodense areas, most likely related to the presence of edema.

Key points: Data from spectral CT shows that most myocarditis lesions appear as hypodense on the arterial phase, matching the epicardial LE zones. A minority of myocarditis lesions appear as epicardial LE areas without anomalies of attenuation on the arterial phase. Hypodense myocardial areas are correlated to the presence of edema on MRI, suggesting they are due to the same phenomenon.

求助全文
通过发布文献求助,成功后即可免费获取论文全文。 去求助
来源期刊
European Radiology Experimental
European Radiology Experimental Medicine-Radiology, Nuclear Medicine and Imaging
CiteScore
6.70
自引率
2.60%
发文量
56
审稿时长
18 weeks
×
引用
GB/T 7714-2015
复制
MLA
复制
APA
复制
导出至
BibTeX EndNote RefMan NoteFirst NoteExpress
×
提示
您的信息不完整,为了账户安全,请先补充。
现在去补充
×
提示
您因"违规操作"
具体请查看互助需知
我知道了
×
提示
确定
请完成安全验证×
copy
已复制链接
快去分享给好友吧!
我知道了
右上角分享
点击右上角分享
0
联系我们:info@booksci.cn Book学术提供免费学术资源搜索服务,方便国内外学者检索中英文文献。致力于提供最便捷和优质的服务体验。 Copyright © 2023 布克学术 All rights reserved.
京ICP备2023020795号-1
ghs 京公网安备 11010802042870号
Book学术文献互助
Book学术文献互助群
群 号:604180095
Book学术官方微信