异时性脂质肺炎的悖论。

IF 0.8 Q4 RESPIRATORY SYSTEM
Respirology Case Reports Pub Date : 2025-09-08 eCollection Date: 2025-09-01 DOI:10.1002/rcr2.70325
Haruki Kobayashi
{"title":"异时性脂质肺炎的悖论。","authors":"Haruki Kobayashi","doi":"10.1002/rcr2.70325","DOIUrl":null,"url":null,"abstract":"<p><p>A 70-year-old female patient diagnosed with stage IV EGFR-mutant non-small-cell lung cancer experienced three distinct instances of exogenous lipoid pneumonia while undergoing chemotherapy. Chest CT consistently revealed ground-glass opacities with a crazy-paving pattern, and bronchoscopy confirmed the presence of lipid-laden, CD163-positive foamy macrophages. It is noteworthy that each episode was associated with a distinct exogenous exposure: intranasal administration of petroleum jelly, prolonged utilisation of a kerosene heater, and subsequently, intranasal application of Junma Moisturising Oil. The localisation of all episodes to the right middle lobe was noted, and resolution was attained with the cessation of the offending agent. This is the first reported case of recurrent exogenous lipoid pneumonia in a single patient caused by multiple unrelated substances. This case underscores the diagnostic value of radiologic patterns, the significance of meticulous exposure history, and the necessity of contemplating alternative aetiologies in patients with new infiltrates during cancer therapy.</p>","PeriodicalId":45846,"journal":{"name":"Respirology Case Reports","volume":"13 9","pages":"e70325"},"PeriodicalIF":0.8000,"publicationDate":"2025-09-08","publicationTypes":"Journal Article","fieldsOfStudy":null,"isOpenAccess":false,"openAccessPdf":"https://www.ncbi.nlm.nih.gov/pmc/articles/PMC12417102/pdf/","citationCount":"0","resultStr":"{\"title\":\"The Paradox of Metachronous Lipoid Pneumonia.\",\"authors\":\"Haruki Kobayashi\",\"doi\":\"10.1002/rcr2.70325\",\"DOIUrl\":null,\"url\":null,\"abstract\":\"<p><p>A 70-year-old female patient diagnosed with stage IV EGFR-mutant non-small-cell lung cancer experienced three distinct instances of exogenous lipoid pneumonia while undergoing chemotherapy. Chest CT consistently revealed ground-glass opacities with a crazy-paving pattern, and bronchoscopy confirmed the presence of lipid-laden, CD163-positive foamy macrophages. It is noteworthy that each episode was associated with a distinct exogenous exposure: intranasal administration of petroleum jelly, prolonged utilisation of a kerosene heater, and subsequently, intranasal application of Junma Moisturising Oil. The localisation of all episodes to the right middle lobe was noted, and resolution was attained with the cessation of the offending agent. This is the first reported case of recurrent exogenous lipoid pneumonia in a single patient caused by multiple unrelated substances. This case underscores the diagnostic value of radiologic patterns, the significance of meticulous exposure history, and the necessity of contemplating alternative aetiologies in patients with new infiltrates during cancer therapy.</p>\",\"PeriodicalId\":45846,\"journal\":{\"name\":\"Respirology Case Reports\",\"volume\":\"13 9\",\"pages\":\"e70325\"},\"PeriodicalIF\":0.8000,\"publicationDate\":\"2025-09-08\",\"publicationTypes\":\"Journal Article\",\"fieldsOfStudy\":null,\"isOpenAccess\":false,\"openAccessPdf\":\"https://www.ncbi.nlm.nih.gov/pmc/articles/PMC12417102/pdf/\",\"citationCount\":\"0\",\"resultStr\":null,\"platform\":\"Semanticscholar\",\"paperid\":null,\"PeriodicalName\":\"Respirology Case Reports\",\"FirstCategoryId\":\"1085\",\"ListUrlMain\":\"https://doi.org/10.1002/rcr2.70325\",\"RegionNum\":0,\"RegionCategory\":null,\"ArticlePicture\":[],\"TitleCN\":null,\"AbstractTextCN\":null,\"PMCID\":null,\"EPubDate\":\"2025/9/1 0:00:00\",\"PubModel\":\"eCollection\",\"JCR\":\"Q4\",\"JCRName\":\"RESPIRATORY SYSTEM\",\"Score\":null,\"Total\":0}","platform":"Semanticscholar","paperid":null,"PeriodicalName":"Respirology Case Reports","FirstCategoryId":"1085","ListUrlMain":"https://doi.org/10.1002/rcr2.70325","RegionNum":0,"RegionCategory":null,"ArticlePicture":[],"TitleCN":null,"AbstractTextCN":null,"PMCID":null,"EPubDate":"2025/9/1 0:00:00","PubModel":"eCollection","JCR":"Q4","JCRName":"RESPIRATORY SYSTEM","Score":null,"Total":0}
引用次数: 0

摘要

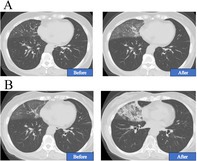
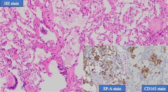
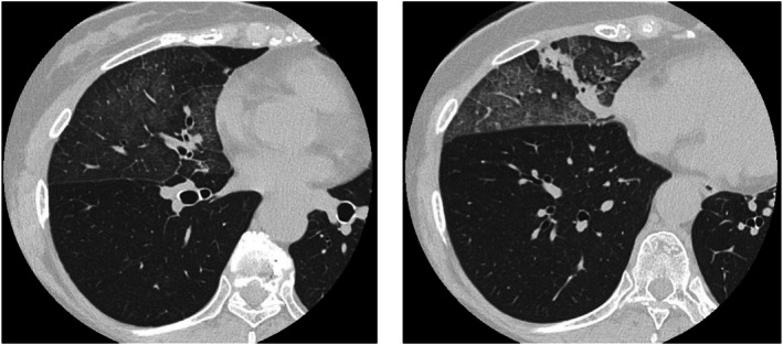
一位70岁的女性患者被诊断为IV期egfr突变型非小细胞肺癌,在接受化疗时经历了三种不同的外源性脂质肺炎。胸部CT一致显示毛玻璃混浊,呈疯狂铺路状,支气管镜检查证实脂质,cd163阳性泡沫巨噬细胞的存在。值得注意的是,每次发作都与不同的外源性暴露有关:鼻内施用凡士林,长时间使用煤油加热器,随后鼻内使用骏马润肤油。所有的发作都发生在右中叶,并在停止发作剂后得到解决。这是首例由多种不相关物质引起的单一患者复发性外源性脂质性肺炎的报道。该病例强调了放射学模式的诊断价值,细致的暴露史的重要性,以及在癌症治疗期间考虑新浸润患者的其他病因的必要性。
本文章由计算机程序翻译,如有差异,请以英文原文为准。

The Paradox of Metachronous Lipoid Pneumonia.

The Paradox of Metachronous Lipoid Pneumonia.

The Paradox of Metachronous Lipoid Pneumonia.

The Paradox of Metachronous Lipoid Pneumonia.

A 70-year-old female patient diagnosed with stage IV EGFR-mutant non-small-cell lung cancer experienced three distinct instances of exogenous lipoid pneumonia while undergoing chemotherapy. Chest CT consistently revealed ground-glass opacities with a crazy-paving pattern, and bronchoscopy confirmed the presence of lipid-laden, CD163-positive foamy macrophages. It is noteworthy that each episode was associated with a distinct exogenous exposure: intranasal administration of petroleum jelly, prolonged utilisation of a kerosene heater, and subsequently, intranasal application of Junma Moisturising Oil. The localisation of all episodes to the right middle lobe was noted, and resolution was attained with the cessation of the offending agent. This is the first reported case of recurrent exogenous lipoid pneumonia in a single patient caused by multiple unrelated substances. This case underscores the diagnostic value of radiologic patterns, the significance of meticulous exposure history, and the necessity of contemplating alternative aetiologies in patients with new infiltrates during cancer therapy.

求助全文
通过发布文献求助,成功后即可免费获取论文全文。 去求助
来源期刊
Respirology Case Reports
Respirology Case Reports RESPIRATORY SYSTEM-
CiteScore
1.40
自引率
0.00%
发文量
178
审稿时长
8 weeks
期刊介绍: Respirology Case Reports is an open-access online journal dedicated to the publication of original clinical case reports, case series, clinical images and clinical videos in all fields of respiratory medicine. The Journal encourages the international exchange between clinicians and researchers of experiences in diagnosing and treating uncommon diseases or diseases with unusual presentations. All manuscripts are peer-reviewed through a streamlined process that aims at providing a rapid turnaround time from submission to publication.
×
引用
GB/T 7714-2015
复制
MLA
复制
APA
复制
导出至
BibTeX EndNote RefMan NoteFirst NoteExpress
×
提示
您的信息不完整,为了账户安全,请先补充。
现在去补充
×
提示
您因"违规操作"
具体请查看互助需知
我知道了
×
提示
确定
请完成安全验证×
copy
已复制链接
快去分享给好友吧!
我知道了
右上角分享
点击右上角分享
0
联系我们:info@booksci.cn Book学术提供免费学术资源搜索服务,方便国内外学者检索中英文文献。致力于提供最便捷和优质的服务体验。 Copyright © 2023 布克学术 All rights reserved.
京ICP备2023020795号-1
ghs 京公网安备 11010802042870号
Book学术文献互助
Book学术文献互助群
群 号:604180095
Book学术官方微信