白血病性滑膜炎合并慢性髓细胞白血病的成功治疗。

IF 0.7 Q4 HEMATOLOGY
Case Reports in Hematology Pub Date : 2025-09-02 eCollection Date: 2025-01-01 DOI:10.1155/crh/3159757
Hiroki Tsutsumi, Masahisa Kudo, Nobuo Maseki, Machiko Kawamura, Kazuhiko Kobayashi, Yasunobu Sekiguchi, Yuka Harada, Daichi Sadato, Hirofumi Kobayashi
{"title":"白血病性滑膜炎合并慢性髓细胞白血病的成功治疗。","authors":"Hiroki Tsutsumi, Masahisa Kudo, Nobuo Maseki, Machiko Kawamura, Kazuhiko Kobayashi, Yasunobu Sekiguchi, Yuka Harada, Daichi Sadato, Hirofumi Kobayashi","doi":"10.1155/crh/3159757","DOIUrl":null,"url":null,"abstract":"<p><p>Chronic myelomonocytic leukemia (CMML) is a myeloproliferative disease characterized by monocyte-predominant hematopoiesis. It is sometimes complicated with cutaneous involvement known as leukemic cutis, which is associated with a poor prognosis. We report a patient with CMML who developed fever with knee joint swelling and pain. The patient was considered to have leukemic synovitis, and treatment with azacitidine improved her symptoms. Our case suggested that leukemic synovitis might indicate the indication for treatment, and arthrocentesis should be performed in patients with leukemia who present with joint swelling.</p>","PeriodicalId":46307,"journal":{"name":"Case Reports in Hematology","volume":"2025 ","pages":"3159757"},"PeriodicalIF":0.7000,"publicationDate":"2025-09-02","publicationTypes":"Journal Article","fieldsOfStudy":null,"isOpenAccess":false,"openAccessPdf":"https://www.ncbi.nlm.nih.gov/pmc/articles/PMC12419918/pdf/","citationCount":"0","resultStr":"{\"title\":\"Successful Treatment of Leukemic Synovitis Complicated With Chronic Myelomonocytic Leukemia.\",\"authors\":\"Hiroki Tsutsumi, Masahisa Kudo, Nobuo Maseki, Machiko Kawamura, Kazuhiko Kobayashi, Yasunobu Sekiguchi, Yuka Harada, Daichi Sadato, Hirofumi Kobayashi\",\"doi\":\"10.1155/crh/3159757\",\"DOIUrl\":null,\"url\":null,\"abstract\":\"<p><p>Chronic myelomonocytic leukemia (CMML) is a myeloproliferative disease characterized by monocyte-predominant hematopoiesis. It is sometimes complicated with cutaneous involvement known as leukemic cutis, which is associated with a poor prognosis. We report a patient with CMML who developed fever with knee joint swelling and pain. The patient was considered to have leukemic synovitis, and treatment with azacitidine improved her symptoms. Our case suggested that leukemic synovitis might indicate the indication for treatment, and arthrocentesis should be performed in patients with leukemia who present with joint swelling.</p>\",\"PeriodicalId\":46307,\"journal\":{\"name\":\"Case Reports in Hematology\",\"volume\":\"2025 \",\"pages\":\"3159757\"},\"PeriodicalIF\":0.7000,\"publicationDate\":\"2025-09-02\",\"publicationTypes\":\"Journal Article\",\"fieldsOfStudy\":null,\"isOpenAccess\":false,\"openAccessPdf\":\"https://www.ncbi.nlm.nih.gov/pmc/articles/PMC12419918/pdf/\",\"citationCount\":\"0\",\"resultStr\":null,\"platform\":\"Semanticscholar\",\"paperid\":null,\"PeriodicalName\":\"Case Reports in Hematology\",\"FirstCategoryId\":\"1085\",\"ListUrlMain\":\"https://doi.org/10.1155/crh/3159757\",\"RegionNum\":0,\"RegionCategory\":null,\"ArticlePicture\":[],\"TitleCN\":null,\"AbstractTextCN\":null,\"PMCID\":null,\"EPubDate\":\"2025/1/1 0:00:00\",\"PubModel\":\"eCollection\",\"JCR\":\"Q4\",\"JCRName\":\"HEMATOLOGY\",\"Score\":null,\"Total\":0}","platform":"Semanticscholar","paperid":null,"PeriodicalName":"Case Reports in Hematology","FirstCategoryId":"1085","ListUrlMain":"https://doi.org/10.1155/crh/3159757","RegionNum":0,"RegionCategory":null,"ArticlePicture":[],"TitleCN":null,"AbstractTextCN":null,"PMCID":null,"EPubDate":"2025/1/1 0:00:00","PubModel":"eCollection","JCR":"Q4","JCRName":"HEMATOLOGY","Score":null,"Total":0}
引用次数: 0

摘要

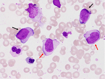
慢性髓单细胞白血病(CMML)是一种以单核细胞造血为主的骨髓增生性疾病。它有时并发皮肤受累,称为白血病皮肤,这与预后不良有关。我们报告了一位患有CMML的患者,他出现发烧并伴有膝关节肿胀和疼痛。患者被认为患有白血病性滑膜炎,阿扎胞苷治疗改善了她的症状。我们的病例提示白血病性滑膜炎可能是治疗的指征,对于出现关节肿胀的白血病患者应该进行关节穿刺。
本文章由计算机程序翻译,如有差异,请以英文原文为准。

Successful Treatment of Leukemic Synovitis Complicated With Chronic Myelomonocytic Leukemia.

Successful Treatment of Leukemic Synovitis Complicated With Chronic Myelomonocytic Leukemia.

Successful Treatment of Leukemic Synovitis Complicated With Chronic Myelomonocytic Leukemia.

Successful Treatment of Leukemic Synovitis Complicated With Chronic Myelomonocytic Leukemia.

Chronic myelomonocytic leukemia (CMML) is a myeloproliferative disease characterized by monocyte-predominant hematopoiesis. It is sometimes complicated with cutaneous involvement known as leukemic cutis, which is associated with a poor prognosis. We report a patient with CMML who developed fever with knee joint swelling and pain. The patient was considered to have leukemic synovitis, and treatment with azacitidine improved her symptoms. Our case suggested that leukemic synovitis might indicate the indication for treatment, and arthrocentesis should be performed in patients with leukemia who present with joint swelling.

求助全文
通过发布文献求助,成功后即可免费获取论文全文。 去求助
来源期刊
自引率
0.00%
发文量
51
审稿时长
13 weeks
×
引用
GB/T 7714-2015
复制
MLA
复制
APA
复制
导出至
BibTeX EndNote RefMan NoteFirst NoteExpress
×
提示
您的信息不完整,为了账户安全,请先补充。
现在去补充
×
提示
您因"违规操作"
具体请查看互助需知
我知道了
×
提示
确定
请完成安全验证×
copy
已复制链接
快去分享给好友吧!
我知道了
右上角分享
点击右上角分享
0
联系我们:info@booksci.cn Book学术提供免费学术资源搜索服务,方便国内外学者检索中英文文献。致力于提供最便捷和优质的服务体验。 Copyright © 2023 布克学术 All rights reserved.
京ICP备2023020795号-1
ghs 京公网安备 11010802042870号
Book学术文献互助
Book学术文献互助群
群 号:604180095
Book学术官方微信