以双侧肺结节为表现的无症状神经梅毒1例。

IF 0.8 Q4 RESPIRATORY SYSTEM
Respirology Case Reports Pub Date : 2025-09-08 eCollection Date: 2025-09-01 DOI:10.1002/rcr2.70341
Hiroshi Takahashi, Tadashi Ishida
{"title":"以双侧肺结节为表现的无症状神经梅毒1例。","authors":"Hiroshi Takahashi, Tadashi Ishida","doi":"10.1002/rcr2.70341","DOIUrl":null,"url":null,"abstract":"<p><p>Globally, syphilis cases have been increasing and pulmonary lesions have been reported. However, asymptomatic neurosyphilis has not been documented. This condition is often unrecognised and presents with symptoms similar to those of other infectious and non-infectious lung diseases. In syphilitic pneumonia, defined as a secondary form of syphilis, intramuscular injection of benzylpenicillin (24 million units) remains the gold standard for treatment, with a favourable prognosis. This report presents for the first time a case of asymptomatic neurosyphilis with multiple pulmonary nodules and buttock lipodystrophy. If rapid plasma reagin (RPR) antibody titres are high and RPR testing is difficult during follow-up, cerebrospinal fluid (CSF) examination may be considered for further evaluation of asymptomatic neurosyphilis. This case showed a high expression of RPR (154 R.U.) and given the nature of the patient's work (long-distance transportation), short-term follow-up was difficult. Therefore, CSF was performed to enable early diagnosis and treatment.</p>","PeriodicalId":45846,"journal":{"name":"Respirology Case Reports","volume":"13 9","pages":"e70341"},"PeriodicalIF":0.8000,"publicationDate":"2025-09-08","publicationTypes":"Journal Article","fieldsOfStudy":null,"isOpenAccess":false,"openAccessPdf":"https://www.ncbi.nlm.nih.gov/pmc/articles/PMC12417626/pdf/","citationCount":"0","resultStr":"{\"title\":\"Asymptomatic Neurosyphilis Presenting With Bilateral Pulmonary Nodules: A Case Report.\",\"authors\":\"Hiroshi Takahashi, Tadashi Ishida\",\"doi\":\"10.1002/rcr2.70341\",\"DOIUrl\":null,\"url\":null,\"abstract\":\"<p><p>Globally, syphilis cases have been increasing and pulmonary lesions have been reported. However, asymptomatic neurosyphilis has not been documented. This condition is often unrecognised and presents with symptoms similar to those of other infectious and non-infectious lung diseases. In syphilitic pneumonia, defined as a secondary form of syphilis, intramuscular injection of benzylpenicillin (24 million units) remains the gold standard for treatment, with a favourable prognosis. This report presents for the first time a case of asymptomatic neurosyphilis with multiple pulmonary nodules and buttock lipodystrophy. If rapid plasma reagin (RPR) antibody titres are high and RPR testing is difficult during follow-up, cerebrospinal fluid (CSF) examination may be considered for further evaluation of asymptomatic neurosyphilis. This case showed a high expression of RPR (154 R.U.) and given the nature of the patient's work (long-distance transportation), short-term follow-up was difficult. Therefore, CSF was performed to enable early diagnosis and treatment.</p>\",\"PeriodicalId\":45846,\"journal\":{\"name\":\"Respirology Case Reports\",\"volume\":\"13 9\",\"pages\":\"e70341\"},\"PeriodicalIF\":0.8000,\"publicationDate\":\"2025-09-08\",\"publicationTypes\":\"Journal Article\",\"fieldsOfStudy\":null,\"isOpenAccess\":false,\"openAccessPdf\":\"https://www.ncbi.nlm.nih.gov/pmc/articles/PMC12417626/pdf/\",\"citationCount\":\"0\",\"resultStr\":null,\"platform\":\"Semanticscholar\",\"paperid\":null,\"PeriodicalName\":\"Respirology Case Reports\",\"FirstCategoryId\":\"1085\",\"ListUrlMain\":\"https://doi.org/10.1002/rcr2.70341\",\"RegionNum\":0,\"RegionCategory\":null,\"ArticlePicture\":[],\"TitleCN\":null,\"AbstractTextCN\":null,\"PMCID\":null,\"EPubDate\":\"2025/9/1 0:00:00\",\"PubModel\":\"eCollection\",\"JCR\":\"Q4\",\"JCRName\":\"RESPIRATORY SYSTEM\",\"Score\":null,\"Total\":0}","platform":"Semanticscholar","paperid":null,"PeriodicalName":"Respirology Case Reports","FirstCategoryId":"1085","ListUrlMain":"https://doi.org/10.1002/rcr2.70341","RegionNum":0,"RegionCategory":null,"ArticlePicture":[],"TitleCN":null,"AbstractTextCN":null,"PMCID":null,"EPubDate":"2025/9/1 0:00:00","PubModel":"eCollection","JCR":"Q4","JCRName":"RESPIRATORY SYSTEM","Score":null,"Total":0}
引用次数: 0

摘要

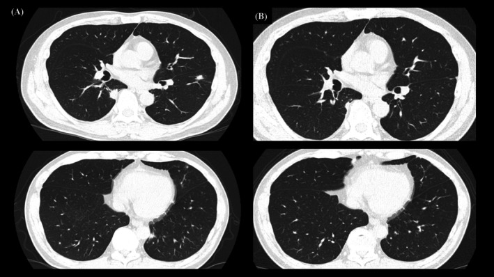
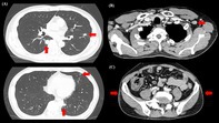
在全球范围内,梅毒病例一直在增加,并报告了肺部病变。然而,无症状的神经梅毒尚未被记录。这种情况往往不为人所知,其症状与其他传染性和非传染性肺部疾病相似。在被定义为梅毒的第二种形式的梅毒肺炎中,肌肉注射青霉素(2400万单位)仍然是治疗的金标准,预后良好。本文首次报道一例无症状性神经梅毒伴多发肺结节和臀部脂肪营养不良。如果快速血浆反应素(RPR)抗体滴度高且随访时RPR检测困难,可考虑脑脊液(CSF)检查以进一步评估无症状神经梅毒。本例RPR高表达(154 ruu),且由于患者工作性质(长途运输),短期随访困难。因此,采用脑脊液进行早期诊断和治疗。
本文章由计算机程序翻译,如有差异,请以英文原文为准。

Asymptomatic Neurosyphilis Presenting With Bilateral Pulmonary Nodules: A Case Report.

Asymptomatic Neurosyphilis Presenting With Bilateral Pulmonary Nodules: A Case Report.

Asymptomatic Neurosyphilis Presenting With Bilateral Pulmonary Nodules: A Case Report.

Asymptomatic Neurosyphilis Presenting With Bilateral Pulmonary Nodules: A Case Report.

Globally, syphilis cases have been increasing and pulmonary lesions have been reported. However, asymptomatic neurosyphilis has not been documented. This condition is often unrecognised and presents with symptoms similar to those of other infectious and non-infectious lung diseases. In syphilitic pneumonia, defined as a secondary form of syphilis, intramuscular injection of benzylpenicillin (24 million units) remains the gold standard for treatment, with a favourable prognosis. This report presents for the first time a case of asymptomatic neurosyphilis with multiple pulmonary nodules and buttock lipodystrophy. If rapid plasma reagin (RPR) antibody titres are high and RPR testing is difficult during follow-up, cerebrospinal fluid (CSF) examination may be considered for further evaluation of asymptomatic neurosyphilis. This case showed a high expression of RPR (154 R.U.) and given the nature of the patient's work (long-distance transportation), short-term follow-up was difficult. Therefore, CSF was performed to enable early diagnosis and treatment.

求助全文
通过发布文献求助,成功后即可免费获取论文全文。 去求助
来源期刊
Respirology Case Reports
Respirology Case Reports RESPIRATORY SYSTEM-
CiteScore
1.40
自引率
0.00%
发文量
178
审稿时长
8 weeks
期刊介绍: Respirology Case Reports is an open-access online journal dedicated to the publication of original clinical case reports, case series, clinical images and clinical videos in all fields of respiratory medicine. The Journal encourages the international exchange between clinicians and researchers of experiences in diagnosing and treating uncommon diseases or diseases with unusual presentations. All manuscripts are peer-reviewed through a streamlined process that aims at providing a rapid turnaround time from submission to publication.
×
引用
GB/T 7714-2015
复制
MLA
复制
APA
复制
导出至
BibTeX EndNote RefMan NoteFirst NoteExpress
×
提示
您的信息不完整,为了账户安全,请先补充。
现在去补充
×
提示
您因"违规操作"
具体请查看互助需知
我知道了
×
提示
确定
请完成安全验证×
copy
已复制链接
快去分享给好友吧!
我知道了
右上角分享
点击右上角分享
0
联系我们:info@booksci.cn Book学术提供免费学术资源搜索服务,方便国内外学者检索中英文文献。致力于提供最便捷和优质的服务体验。 Copyright © 2023 布克学术 All rights reserved.
京ICP备2023020795号-1
ghs 京公网安备 11010802042870号
Book学术文献互助
Book学术文献互助群
群 号:604180095
Book学术官方微信