PD-L1阳性鼻窦内翻性乳头状瘤伴恶性转化的多模式治疗。

IF 1.4 Q2 Medicine
World Journal of OtorhinolaryngologyHead and Neck Surgery Pub Date : 2024-11-19 eCollection Date: 2025-09-01 DOI:10.1002/wjo2.221
Vanessa Velazquez, Mohamad Nawar Hakim, Hans Brockhoff, Satish Maharaj
{"title":"PD-L1阳性鼻窦内翻性乳头状瘤伴恶性转化的多模式治疗。","authors":"Vanessa Velazquez, Mohamad Nawar Hakim, Hans Brockhoff, Satish Maharaj","doi":"10.1002/wjo2.221","DOIUrl":null,"url":null,"abstract":"<p><p>Inverted papillomas (IP) are rare sinonasal tumors (Schneiderian papillomas) characterized by local invasion, with high recurrence rates and potential for malignant transformation into squamous cell carcinoma (SCC ex-IP). Traditionally, the mainstay of treatment has been surgical resection, often challenging due to invasion of the skull base or vital neurovascular structures. In advanced cases, prognosis is poorer and radiation therapy is the current standard of care with limited role of systemic therapy. We present a case of unresectable SCC ex-IP treated with sequential chemoradiation and PD-1 immunotherapy (pembrolizumab) and achieving complete response at 1 year. This case suggests that immunotherapy can effectively treat SCC ex-IP and we propose that programmed death ligand-1 (PD-L1) testing should be performed in all advanced cases. Prospective studies are needed to validate immunotherapy in adjuvant or frontline treatments for advanced SCC ex-IP, and the role of PD-L1 as a predictive biomarker.</p>","PeriodicalId":32097,"journal":{"name":"World Journal of OtorhinolaryngologyHead and Neck Surgery","volume":"11 3","pages":"477-481"},"PeriodicalIF":1.4000,"publicationDate":"2024-11-19","publicationTypes":"Journal Article","fieldsOfStudy":null,"isOpenAccess":false,"openAccessPdf":"https://www.ncbi.nlm.nih.gov/pmc/articles/PMC12418339/pdf/","citationCount":"0","resultStr":"{\"title\":\"Multimodal management of PD-L1 positive sinonasal inverted papilloma with malignant transformation.\",\"authors\":\"Vanessa Velazquez, Mohamad Nawar Hakim, Hans Brockhoff, Satish Maharaj\",\"doi\":\"10.1002/wjo2.221\",\"DOIUrl\":null,\"url\":null,\"abstract\":\"<p><p>Inverted papillomas (IP) are rare sinonasal tumors (Schneiderian papillomas) characterized by local invasion, with high recurrence rates and potential for malignant transformation into squamous cell carcinoma (SCC ex-IP). Traditionally, the mainstay of treatment has been surgical resection, often challenging due to invasion of the skull base or vital neurovascular structures. In advanced cases, prognosis is poorer and radiation therapy is the current standard of care with limited role of systemic therapy. We present a case of unresectable SCC ex-IP treated with sequential chemoradiation and PD-1 immunotherapy (pembrolizumab) and achieving complete response at 1 year. This case suggests that immunotherapy can effectively treat SCC ex-IP and we propose that programmed death ligand-1 (PD-L1) testing should be performed in all advanced cases. Prospective studies are needed to validate immunotherapy in adjuvant or frontline treatments for advanced SCC ex-IP, and the role of PD-L1 as a predictive biomarker.</p>\",\"PeriodicalId\":32097,\"journal\":{\"name\":\"World Journal of OtorhinolaryngologyHead and Neck Surgery\",\"volume\":\"11 3\",\"pages\":\"477-481\"},\"PeriodicalIF\":1.4000,\"publicationDate\":\"2024-11-19\",\"publicationTypes\":\"Journal Article\",\"fieldsOfStudy\":null,\"isOpenAccess\":false,\"openAccessPdf\":\"https://www.ncbi.nlm.nih.gov/pmc/articles/PMC12418339/pdf/\",\"citationCount\":\"0\",\"resultStr\":null,\"platform\":\"Semanticscholar\",\"paperid\":null,\"PeriodicalName\":\"World Journal of OtorhinolaryngologyHead and Neck Surgery\",\"FirstCategoryId\":\"3\",\"ListUrlMain\":\"https://doi.org/10.1002/wjo2.221\",\"RegionNum\":0,\"RegionCategory\":null,\"ArticlePicture\":[],\"TitleCN\":null,\"AbstractTextCN\":null,\"PMCID\":null,\"EPubDate\":\"2025/9/1 0:00:00\",\"PubModel\":\"eCollection\",\"JCR\":\"Q2\",\"JCRName\":\"Medicine\",\"Score\":null,\"Total\":0}","platform":"Semanticscholar","paperid":null,"PeriodicalName":"World Journal of OtorhinolaryngologyHead and Neck Surgery","FirstCategoryId":"3","ListUrlMain":"https://doi.org/10.1002/wjo2.221","RegionNum":0,"RegionCategory":null,"ArticlePicture":[],"TitleCN":null,"AbstractTextCN":null,"PMCID":null,"EPubDate":"2025/9/1 0:00:00","PubModel":"eCollection","JCR":"Q2","JCRName":"Medicine","Score":null,"Total":0}
引用次数: 0

摘要

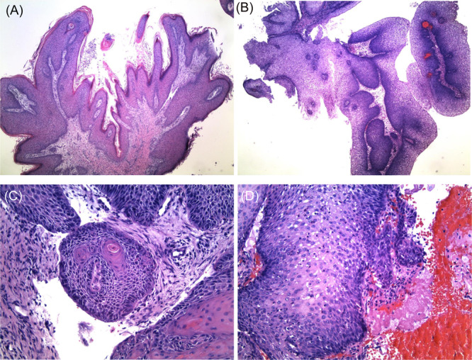
内翻性乳头状瘤(IP)是一种罕见的鼻窦肿瘤(施耐德乳头状瘤),其特点是局部浸润,复发率高,有恶性转化为鳞状细胞癌(SCC前IP)的潜力。传统上,主要的治疗方法是手术切除,通常由于侵犯颅底或重要的神经血管结构而具有挑战性。在晚期病例中,预后较差,放射治疗是目前的标准治疗,全身治疗的作用有限。我们报告了一例不可切除的鳞状细胞癌前ip,通过顺序放化疗和PD-1免疫治疗(派姆单抗)治疗,并在1年内获得完全缓解。本病例提示免疫治疗可有效治疗急性鳞状细胞癌,我们建议所有晚期病例均应进行程序性死亡配体-1 (PD-L1)检测。需要前瞻性研究来验证免疫疗法在晚期鳞状细胞癌前ip的辅助或一线治疗中的作用,以及PD-L1作为预测性生物标志物的作用。
本文章由计算机程序翻译,如有差异,请以英文原文为准。

Multimodal management of PD-L1 positive sinonasal inverted papilloma with malignant transformation.

Multimodal management of PD-L1 positive sinonasal inverted papilloma with malignant transformation.

Multimodal management of PD-L1 positive sinonasal inverted papilloma with malignant transformation.

Multimodal management of PD-L1 positive sinonasal inverted papilloma with malignant transformation.

Inverted papillomas (IP) are rare sinonasal tumors (Schneiderian papillomas) characterized by local invasion, with high recurrence rates and potential for malignant transformation into squamous cell carcinoma (SCC ex-IP). Traditionally, the mainstay of treatment has been surgical resection, often challenging due to invasion of the skull base or vital neurovascular structures. In advanced cases, prognosis is poorer and radiation therapy is the current standard of care with limited role of systemic therapy. We present a case of unresectable SCC ex-IP treated with sequential chemoradiation and PD-1 immunotherapy (pembrolizumab) and achieving complete response at 1 year. This case suggests that immunotherapy can effectively treat SCC ex-IP and we propose that programmed death ligand-1 (PD-L1) testing should be performed in all advanced cases. Prospective studies are needed to validate immunotherapy in adjuvant or frontline treatments for advanced SCC ex-IP, and the role of PD-L1 as a predictive biomarker.

求助全文
通过发布文献求助,成功后即可免费获取论文全文。 去求助
来源期刊
CiteScore
4.10
自引率
0.00%
发文量
283
审稿时长
13 weeks
×
引用
GB/T 7714-2015
复制
MLA
复制
APA
复制
导出至
BibTeX EndNote RefMan NoteFirst NoteExpress
×
提示
您的信息不完整,为了账户安全,请先补充。
现在去补充
×
提示
您因"违规操作"
具体请查看互助需知
我知道了
×
提示
确定
请完成安全验证×
copy
已复制链接
快去分享给好友吧!
我知道了
右上角分享
点击右上角分享
0
联系我们:info@booksci.cn Book学术提供免费学术资源搜索服务,方便国内外学者检索中英文文献。致力于提供最便捷和优质的服务体验。 Copyright © 2023 布克学术 All rights reserved.
京ICP备2023020795号-1
ghs 京公网安备 11010802042870号
Book学术文献互助
Book学术文献互助群
群 号:604180095
Book学术官方微信