模拟胰腺神经内分泌肿瘤的实体浆液性囊腺瘤1例报告。

IF 0.5 Q4 GASTROENTEROLOGY & HEPATOLOGY
Case Reports in Gastrointestinal Medicine Pub Date : 2025-09-02 eCollection Date: 2025-01-01 DOI:10.1155/crgm/4945872
Adriano Carneiro da Costa, Jayant Kumar, Mohamed Ali Chaouch, Isabella Reccia, Camila Ramos Martins, Flavio Silano, Paulo Cezar Galvão do Amaral, Nagy Habib
{"title":"模拟胰腺神经内分泌肿瘤的实体浆液性囊腺瘤1例报告。","authors":"Adriano Carneiro da Costa, Jayant Kumar, Mohamed Ali Chaouch, Isabella Reccia, Camila Ramos Martins, Flavio Silano, Paulo Cezar Galvão do Amaral, Nagy Habib","doi":"10.1155/crgm/4945872","DOIUrl":null,"url":null,"abstract":"<p><p>Solid-type serous cystadenoma (SSCA) of the pancreas is an extremely rare benign condition among pancreatic cystic neoplasms. Although the imaging characteristics are not pathognomonic, this entity may mimic other solid pancreatic tumors. In particular, it can closely resemble a pancreatic neuroendocrine neoplasm (pNEN) on radiologic studies. We report the case of a 67-year-old woman who presented with abdominal pain. Preoperative abdominal magnetic resonance imaging (MRI) with contrast demonstrated a solid, hypervascular lesion at the pancreas, measuring 3.5 × 2.2 × 1.9 cm, with marked enhancement on dynamic imaging. A nonfunctioning pancreatic neuroendocrine tumor was initially suspected. The patient underwent laparoscopic pancreaticoduodenectomy. Histopathologic examination revealed a solid variant of serous cystadenoma, a rare subtype of pancreatic cysts. The patient remains asymptomatic, with no evidence of recurrence or residual disease at 7 years postoperatively. This case highlights the diagnostic challenge of distinguishing solid-type serous cystadenomas from other pancreatic lesions based on imaging alone, underscoring the role of pathology in definitive diagnosis.</p>","PeriodicalId":45645,"journal":{"name":"Case Reports in Gastrointestinal Medicine","volume":"2025 ","pages":"4945872"},"PeriodicalIF":0.5000,"publicationDate":"2025-09-02","publicationTypes":"Journal Article","fieldsOfStudy":null,"isOpenAccess":false,"openAccessPdf":"https://www.ncbi.nlm.nih.gov/pmc/articles/PMC12419928/pdf/","citationCount":"0","resultStr":"{\"title\":\"Solid Serous Cystadenoma Mimicking Neuroendocrine Tumor of the Pancreas: A Case Report.\",\"authors\":\"Adriano Carneiro da Costa, Jayant Kumar, Mohamed Ali Chaouch, Isabella Reccia, Camila Ramos Martins, Flavio Silano, Paulo Cezar Galvão do Amaral, Nagy Habib\",\"doi\":\"10.1155/crgm/4945872\",\"DOIUrl\":null,\"url\":null,\"abstract\":\"<p><p>Solid-type serous cystadenoma (SSCA) of the pancreas is an extremely rare benign condition among pancreatic cystic neoplasms. Although the imaging characteristics are not pathognomonic, this entity may mimic other solid pancreatic tumors. In particular, it can closely resemble a pancreatic neuroendocrine neoplasm (pNEN) on radiologic studies. We report the case of a 67-year-old woman who presented with abdominal pain. Preoperative abdominal magnetic resonance imaging (MRI) with contrast demonstrated a solid, hypervascular lesion at the pancreas, measuring 3.5 × 2.2 × 1.9 cm, with marked enhancement on dynamic imaging. A nonfunctioning pancreatic neuroendocrine tumor was initially suspected. The patient underwent laparoscopic pancreaticoduodenectomy. Histopathologic examination revealed a solid variant of serous cystadenoma, a rare subtype of pancreatic cysts. The patient remains asymptomatic, with no evidence of recurrence or residual disease at 7 years postoperatively. This case highlights the diagnostic challenge of distinguishing solid-type serous cystadenomas from other pancreatic lesions based on imaging alone, underscoring the role of pathology in definitive diagnosis.</p>\",\"PeriodicalId\":45645,\"journal\":{\"name\":\"Case Reports in Gastrointestinal Medicine\",\"volume\":\"2025 \",\"pages\":\"4945872\"},\"PeriodicalIF\":0.5000,\"publicationDate\":\"2025-09-02\",\"publicationTypes\":\"Journal Article\",\"fieldsOfStudy\":null,\"isOpenAccess\":false,\"openAccessPdf\":\"https://www.ncbi.nlm.nih.gov/pmc/articles/PMC12419928/pdf/\",\"citationCount\":\"0\",\"resultStr\":null,\"platform\":\"Semanticscholar\",\"paperid\":null,\"PeriodicalName\":\"Case Reports in Gastrointestinal Medicine\",\"FirstCategoryId\":\"1085\",\"ListUrlMain\":\"https://doi.org/10.1155/crgm/4945872\",\"RegionNum\":0,\"RegionCategory\":null,\"ArticlePicture\":[],\"TitleCN\":null,\"AbstractTextCN\":null,\"PMCID\":null,\"EPubDate\":\"2025/1/1 0:00:00\",\"PubModel\":\"eCollection\",\"JCR\":\"Q4\",\"JCRName\":\"GASTROENTEROLOGY & HEPATOLOGY\",\"Score\":null,\"Total\":0}","platform":"Semanticscholar","paperid":null,"PeriodicalName":"Case Reports in Gastrointestinal Medicine","FirstCategoryId":"1085","ListUrlMain":"https://doi.org/10.1155/crgm/4945872","RegionNum":0,"RegionCategory":null,"ArticlePicture":[],"TitleCN":null,"AbstractTextCN":null,"PMCID":null,"EPubDate":"2025/1/1 0:00:00","PubModel":"eCollection","JCR":"Q4","JCRName":"GASTROENTEROLOGY & HEPATOLOGY","Score":null,"Total":0}
引用次数: 0

摘要

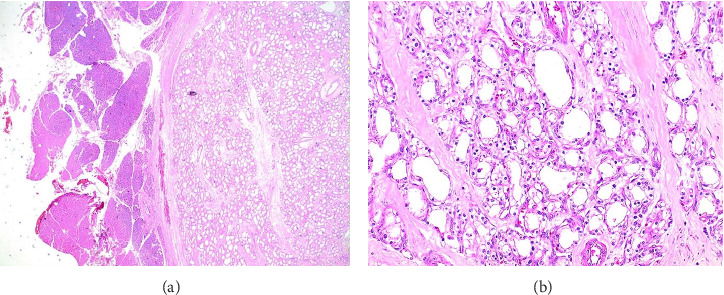
胰腺固体型浆液性囊腺瘤(SSCA)是胰腺囊性肿瘤中极为罕见的良性疾病。虽然其影像学特征不具有典型的病理特征,但可能与其他实体胰腺肿瘤相似。特别是,它在放射学研究上与胰腺神经内分泌肿瘤(pNEN)非常相似。我们报告的情况下,一个67岁的妇女谁提出腹痛。术前腹部磁共振造影(MRI)示胰腺实性高血管病变,尺寸为3.5 × 2.2 × 1.9 cm,动态成像明显增强。最初怀疑为无功能胰腺神经内分泌肿瘤。患者行腹腔镜胰十二指肠切除术。组织病理检查显示为浆液性囊腺瘤,一种罕见的胰腺囊肿亚型。患者无症状,术后7年无复发或残留疾病的迹象。本病例强调了仅凭影像学区分实体型浆液性囊腺瘤与其他胰腺病变的诊断挑战,强调了病理在明确诊断中的作用。
本文章由计算机程序翻译,如有差异,请以英文原文为准。

Solid Serous Cystadenoma Mimicking Neuroendocrine Tumor of the Pancreas: A Case Report.

Solid Serous Cystadenoma Mimicking Neuroendocrine Tumor of the Pancreas: A Case Report.

Solid Serous Cystadenoma Mimicking Neuroendocrine Tumor of the Pancreas: A Case Report.

Solid Serous Cystadenoma Mimicking Neuroendocrine Tumor of the Pancreas: A Case Report.

Solid-type serous cystadenoma (SSCA) of the pancreas is an extremely rare benign condition among pancreatic cystic neoplasms. Although the imaging characteristics are not pathognomonic, this entity may mimic other solid pancreatic tumors. In particular, it can closely resemble a pancreatic neuroendocrine neoplasm (pNEN) on radiologic studies. We report the case of a 67-year-old woman who presented with abdominal pain. Preoperative abdominal magnetic resonance imaging (MRI) with contrast demonstrated a solid, hypervascular lesion at the pancreas, measuring 3.5 × 2.2 × 1.9 cm, with marked enhancement on dynamic imaging. A nonfunctioning pancreatic neuroendocrine tumor was initially suspected. The patient underwent laparoscopic pancreaticoduodenectomy. Histopathologic examination revealed a solid variant of serous cystadenoma, a rare subtype of pancreatic cysts. The patient remains asymptomatic, with no evidence of recurrence or residual disease at 7 years postoperatively. This case highlights the diagnostic challenge of distinguishing solid-type serous cystadenomas from other pancreatic lesions based on imaging alone, underscoring the role of pathology in definitive diagnosis.

求助全文
通过发布文献求助,成功后即可免费获取论文全文。 去求助
来源期刊
Case Reports in Gastrointestinal Medicine
Case Reports in Gastrointestinal Medicine GASTROENTEROLOGY & HEPATOLOGY-
自引率
0.00%
发文量
33
审稿时长
14 weeks
×
引用
GB/T 7714-2015
复制
MLA
复制
APA
复制
导出至
BibTeX EndNote RefMan NoteFirst NoteExpress
×
提示
您的信息不完整,为了账户安全,请先补充。
现在去补充
×
提示
您因"违规操作"
具体请查看互助需知
我知道了
×
提示
确定
请完成安全验证×
copy
已复制链接
快去分享给好友吧!
我知道了
右上角分享
点击右上角分享
0
联系我们:info@booksci.cn Book学术提供免费学术资源搜索服务,方便国内外学者检索中英文文献。致力于提供最便捷和优质的服务体验。 Copyright © 2023 布克学术 All rights reserved.
京ICP备2023020795号-1
ghs 京公网安备 11010802042870号
Book学术文献互助
Book学术文献互助群
群 号:604180095
Book学术官方微信