基于计算机断层扫描的深度学习和多实例学习在预测肝细胞癌微血管侵袭及预后中的应用。

IF 5.4 3区 医学 Q1 GASTROENTEROLOGY & HEPATOLOGY
Yong-Yi Cen, Hai-Yang Nong, Xiao-Xiao Huang, Xiu-Xian Lu, Chang-Hong Pu, Li-Hong Huang, Xiao-Jun Zheng, Zhao-Lin Pan, Yin Huang, Ke Ding, De-You Huang
{"title":"基于计算机断层扫描的深度学习和多实例学习在预测肝细胞癌微血管侵袭及预后中的应用。","authors":"Yong-Yi Cen, Hai-Yang Nong, Xiao-Xiao Huang, Xiu-Xian Lu, Chang-Hong Pu, Li-Hong Huang, Xiao-Jun Zheng, Zhao-Lin Pan, Yin Huang, Ke Ding, De-You Huang","doi":"10.3748/wjg.v31.i30.109186","DOIUrl":null,"url":null,"abstract":"<p><strong>Background: </strong>Microvascular invasion (MVI) is an important prognostic factor in hepatocellular carcinoma (HCC), but its preoperative prediction remains challenging.</p><p><strong>Aim: </strong>To develop and validate a 2.5-dimensional (2.5D) deep learning-based multi-instance learning (MIL) model (MIL signature) for predicting MVI in HCC, evaluate and compare its performance against the radiomics signature and clinical signature, and assess its prognostic predictive value in both surgical resection and transcatheter arterial chemoembolization (TACE) cohorts.</p><p><strong>Methods: </strong>A retrospective cohort consisting of 192 patients with pathologically confirmed HCC was included, of whom 68 were MVI-positive and 124 were MVI-negative. The patients were randomly assigned to a training set (134 patients) and a validation set (58 patients) in a 7:3 ratio. An additional 45 HCC patients undergoing TACE treatment were included in the TACE validation cohort. A modeling strategy based on computed tomography arterial phase images was implemented, utilizing 2.5D deep learning in combination with a MIL framework for the prediction of MVI in HCC. Moreover, this method was compared with the radiomics signature and clinical signatures, and the predictive performance of the various models was evaluated using receiver operating characteristic curves and decision curve analysis (DCA), with DeLong's test applied to compare the area under the curve (AUC) between models. Kaplan-Meier curves were utilized to analyze differences in recurrence-free survival (RFS) or progression-free survival (PFS) among different HCC treatment cohorts stratified by MIL signature risk.</p><p><strong>Results: </strong>MIL signature demonstrated superior performance in the validation set (AUC = 0.877), significantly surpassing the radiomics signature (AUC = 0.727, <i>P</i> = 0.047) and clinical signature (AUC = 0.631, <i>P</i> = 0.004). DCA curves indicated that the MIL signature provided a greater clinical net benefit across the full spectrum of risk thresholds. In the prognostic analysis, high- and low-risk groups stratified by the MIL signature exhibited significant differences in RFS within the surgical resection cohort (training set <i>P</i> = 0.0058, validation set <i>P</i> = 0.031) and PFS within the TACE treatment cohort (<i>P</i> = 0.045).</p><p><strong>Conclusion: </strong>MIL signature demonstrates more accurate MVI prediction in HCC, surpassing radiomics signature and clinical signature, and offers precise prognostic stratification, thereby providing new technical support for personalized HCC treatment strategies.</p>","PeriodicalId":23778,"journal":{"name":"World Journal of Gastroenterology","volume":"31 30","pages":"109186"},"PeriodicalIF":5.4000,"publicationDate":"2025-08-14","publicationTypes":"Journal Article","fieldsOfStudy":null,"isOpenAccess":false,"openAccessPdf":"https://www.ncbi.nlm.nih.gov/pmc/articles/PMC12417879/pdf/","citationCount":"0","resultStr":"{\"title\":\"Computed tomography-based deep learning and multi-instance learning for predicting microvascular invasion and prognosis in hepatocellular carcinoma.\",\"authors\":\"Yong-Yi Cen, Hai-Yang Nong, Xiao-Xiao Huang, Xiu-Xian Lu, Chang-Hong Pu, Li-Hong Huang, Xiao-Jun Zheng, Zhao-Lin Pan, Yin Huang, Ke Ding, De-You Huang\",\"doi\":\"10.3748/wjg.v31.i30.109186\",\"DOIUrl\":null,\"url\":null,\"abstract\":\"<p><strong>Background: </strong>Microvascular invasion (MVI) is an important prognostic factor in hepatocellular carcinoma (HCC), but its preoperative prediction remains challenging.</p><p><strong>Aim: </strong>To develop and validate a 2.5-dimensional (2.5D) deep learning-based multi-instance learning (MIL) model (MIL signature) for predicting MVI in HCC, evaluate and compare its performance against the radiomics signature and clinical signature, and assess its prognostic predictive value in both surgical resection and transcatheter arterial chemoembolization (TACE) cohorts.</p><p><strong>Methods: </strong>A retrospective cohort consisting of 192 patients with pathologically confirmed HCC was included, of whom 68 were MVI-positive and 124 were MVI-negative. The patients were randomly assigned to a training set (134 patients) and a validation set (58 patients) in a 7:3 ratio. An additional 45 HCC patients undergoing TACE treatment were included in the TACE validation cohort. A modeling strategy based on computed tomography arterial phase images was implemented, utilizing 2.5D deep learning in combination with a MIL framework for the prediction of MVI in HCC. Moreover, this method was compared with the radiomics signature and clinical signatures, and the predictive performance of the various models was evaluated using receiver operating characteristic curves and decision curve analysis (DCA), with DeLong's test applied to compare the area under the curve (AUC) between models. Kaplan-Meier curves were utilized to analyze differences in recurrence-free survival (RFS) or progression-free survival (PFS) among different HCC treatment cohorts stratified by MIL signature risk.</p><p><strong>Results: </strong>MIL signature demonstrated superior performance in the validation set (AUC = 0.877), significantly surpassing the radiomics signature (AUC = 0.727, <i>P</i> = 0.047) and clinical signature (AUC = 0.631, <i>P</i> = 0.004). DCA curves indicated that the MIL signature provided a greater clinical net benefit across the full spectrum of risk thresholds. In the prognostic analysis, high- and low-risk groups stratified by the MIL signature exhibited significant differences in RFS within the surgical resection cohort (training set <i>P</i> = 0.0058, validation set <i>P</i> = 0.031) and PFS within the TACE treatment cohort (<i>P</i> = 0.045).</p><p><strong>Conclusion: </strong>MIL signature demonstrates more accurate MVI prediction in HCC, surpassing radiomics signature and clinical signature, and offers precise prognostic stratification, thereby providing new technical support for personalized HCC treatment strategies.</p>\",\"PeriodicalId\":23778,\"journal\":{\"name\":\"World Journal of Gastroenterology\",\"volume\":\"31 30\",\"pages\":\"109186\"},\"PeriodicalIF\":5.4000,\"publicationDate\":\"2025-08-14\",\"publicationTypes\":\"Journal Article\",\"fieldsOfStudy\":null,\"isOpenAccess\":false,\"openAccessPdf\":\"https://www.ncbi.nlm.nih.gov/pmc/articles/PMC12417879/pdf/\",\"citationCount\":\"0\",\"resultStr\":null,\"platform\":\"Semanticscholar\",\"paperid\":null,\"PeriodicalName\":\"World Journal of Gastroenterology\",\"FirstCategoryId\":\"3\",\"ListUrlMain\":\"https://doi.org/10.3748/wjg.v31.i30.109186\",\"RegionNum\":3,\"RegionCategory\":\"医学\",\"ArticlePicture\":[],\"TitleCN\":null,\"AbstractTextCN\":null,\"PMCID\":null,\"EPubDate\":\"\",\"PubModel\":\"\",\"JCR\":\"Q1\",\"JCRName\":\"GASTROENTEROLOGY & HEPATOLOGY\",\"Score\":null,\"Total\":0}","platform":"Semanticscholar","paperid":null,"PeriodicalName":"World Journal of Gastroenterology","FirstCategoryId":"3","ListUrlMain":"https://doi.org/10.3748/wjg.v31.i30.109186","RegionNum":3,"RegionCategory":"医学","ArticlePicture":[],"TitleCN":null,"AbstractTextCN":null,"PMCID":null,"EPubDate":"","PubModel":"","JCR":"Q1","JCRName":"GASTROENTEROLOGY & HEPATOLOGY","Score":null,"Total":0}
引用次数: 0

摘要

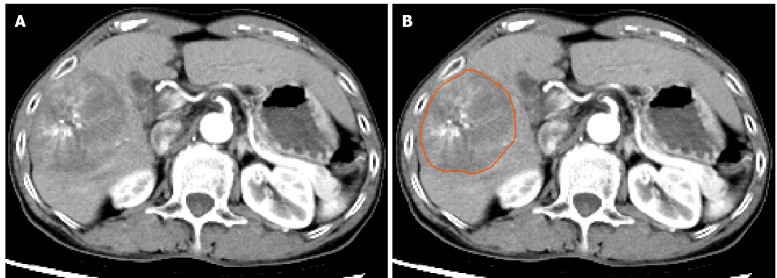
背景:微血管侵犯(MVI)是肝细胞癌(HCC)的一个重要预后因素,但其术前预测仍然具有挑战性。目的:开发并验证一种基于2.5维(2.5D)深度学习的多实例学习(MIL)模型(MIL signature),用于预测HCC的MVI,评估并比较其与放射组学特征和临床特征的表现,并评估其在手术切除和经导管动脉化疗栓塞(TACE)队列中的预后预测价值。方法:回顾性分析192例经病理证实的HCC患者,其中mvi阳性68例,mvi阴性124例。患者按7:3的比例随机分配到训练组(134例)和验证组(58例)。另外45名接受TACE治疗的HCC患者被纳入TACE验证队列。采用基于计算机断层扫描动脉期图像的建模策略,利用2.5D深度学习与MIL框架相结合来预测HCC的MVI。此外,将该方法与放射组学特征和临床特征进行比较,并使用受试者工作特征曲线和决策曲线分析(DCA)评估各种模型的预测性能,并使用DeLong检验比较模型之间的曲线下面积(AUC)。Kaplan-Meier曲线用于分析按MIL特征风险分层的不同HCC治疗队列中无复发生存期(RFS)或无进展生存期(PFS)的差异。结果:MIL特征在验证集中表现优异(AUC = 0.877),显著优于放射组学特征(AUC = 0.727, P = 0.047)和临床特征(AUC = 0.631, P = 0.004)。DCA曲线表明MIL特征在整个风险阈值范围内提供了更大的临床净收益。在预后分析中,以MIL特征分层的高危组和低危组在手术切除组(训练组P = 0.0058,验证组P = 0.031)和TACE治疗组(P = 0.045)的RFS中表现出显著差异。结论:MIL特征在HCC中预测MVI更准确,超越放射组学特征和临床特征,提供精确的预后分层,从而为HCC个性化治疗策略提供新的技术支持。
本文章由计算机程序翻译,如有差异,请以英文原文为准。

Computed tomography-based deep learning and multi-instance learning for predicting microvascular invasion and prognosis in hepatocellular carcinoma.

Computed tomography-based deep learning and multi-instance learning for predicting microvascular invasion and prognosis in hepatocellular carcinoma.

Computed tomography-based deep learning and multi-instance learning for predicting microvascular invasion and prognosis in hepatocellular carcinoma.

Computed tomography-based deep learning and multi-instance learning for predicting microvascular invasion and prognosis in hepatocellular carcinoma.

Background: Microvascular invasion (MVI) is an important prognostic factor in hepatocellular carcinoma (HCC), but its preoperative prediction remains challenging.

Aim: To develop and validate a 2.5-dimensional (2.5D) deep learning-based multi-instance learning (MIL) model (MIL signature) for predicting MVI in HCC, evaluate and compare its performance against the radiomics signature and clinical signature, and assess its prognostic predictive value in both surgical resection and transcatheter arterial chemoembolization (TACE) cohorts.

Methods: A retrospective cohort consisting of 192 patients with pathologically confirmed HCC was included, of whom 68 were MVI-positive and 124 were MVI-negative. The patients were randomly assigned to a training set (134 patients) and a validation set (58 patients) in a 7:3 ratio. An additional 45 HCC patients undergoing TACE treatment were included in the TACE validation cohort. A modeling strategy based on computed tomography arterial phase images was implemented, utilizing 2.5D deep learning in combination with a MIL framework for the prediction of MVI in HCC. Moreover, this method was compared with the radiomics signature and clinical signatures, and the predictive performance of the various models was evaluated using receiver operating characteristic curves and decision curve analysis (DCA), with DeLong's test applied to compare the area under the curve (AUC) between models. Kaplan-Meier curves were utilized to analyze differences in recurrence-free survival (RFS) or progression-free survival (PFS) among different HCC treatment cohorts stratified by MIL signature risk.

Results: MIL signature demonstrated superior performance in the validation set (AUC = 0.877), significantly surpassing the radiomics signature (AUC = 0.727, P = 0.047) and clinical signature (AUC = 0.631, P = 0.004). DCA curves indicated that the MIL signature provided a greater clinical net benefit across the full spectrum of risk thresholds. In the prognostic analysis, high- and low-risk groups stratified by the MIL signature exhibited significant differences in RFS within the surgical resection cohort (training set P = 0.0058, validation set P = 0.031) and PFS within the TACE treatment cohort (P = 0.045).

Conclusion: MIL signature demonstrates more accurate MVI prediction in HCC, surpassing radiomics signature and clinical signature, and offers precise prognostic stratification, thereby providing new technical support for personalized HCC treatment strategies.

求助全文
通过发布文献求助,成功后即可免费获取论文全文。 去求助
来源期刊
World Journal of Gastroenterology
World Journal of Gastroenterology 医学-胃肠肝病学
CiteScore
7.80
自引率
4.70%
发文量
464
审稿时长
2.4 months
期刊介绍: The primary aims of the WJG are to improve diagnostic, therapeutic and preventive modalities and the skills of clinicians and to guide clinical practice in gastroenterology and hepatology.
×
引用
GB/T 7714-2015
复制
MLA
复制
APA
复制
导出至
BibTeX EndNote RefMan NoteFirst NoteExpress
×
提示
您的信息不完整,为了账户安全,请先补充。
现在去补充
×
提示
您因"违规操作"
具体请查看互助需知
我知道了
×
提示
确定
请完成安全验证×
copy
已复制链接
快去分享给好友吧!
我知道了
右上角分享
点击右上角分享
0
联系我们:info@booksci.cn Book学术提供免费学术资源搜索服务,方便国内外学者检索中英文文献。致力于提供最便捷和优质的服务体验。 Copyright © 2023 布克学术 All rights reserved.
京ICP备2023020795号-1
ghs 京公网安备 11010802042870号
Book学术文献互助
Book学术文献互助群
群 号:604180095
Book学术官方微信