肛门周围瘘克罗恩病的影像学:胃肠病学家的实用指南。

IF 5.4 3区 医学 Q1 GASTROENTEROLOGY & HEPATOLOGY
Habeeb Habeeb, Lynna Chen, Isabelle De Kock, Gauraang Bhatnagar, Numan Kutaiba, Abhinav Vasudevan, Ashish R Srinivasan
{"title":"肛门周围瘘克罗恩病的影像学:胃肠病学家的实用指南。","authors":"Habeeb Habeeb, Lynna Chen, Isabelle De Kock, Gauraang Bhatnagar, Numan Kutaiba, Abhinav Vasudevan, Ashish R Srinivasan","doi":"10.3748/wjg.v31.i34.110611","DOIUrl":null,"url":null,"abstract":"<p><p>Perianal fistulising Crohn's disease is a challenging complication that can affect up to 20% of patients with Crohn's disease and is associated with significant morbidity. Despite advances in medical therapies, particularly anti-tumor necrosis factor agents, the majority of patients still require surgical intervention. Accurate diagnosis and monitoring are essential to optimise outcomes and guide multidisciplinary management. Although clinical scoring systems such as the perianal disease activity index are widely used, their subjective application limits their reproducibility and reliability, underscoring the need for more objective methods of evaluating perianal fistulising Crohn's disease activity. Imaging has thus become central to the objective assessment of perianal fistulising Crohn's disease, with magnetic resonance imaging (MRI) recognised as the gold standard in view of its ability to provide clear, detailed images of the perianal region in a radiation-free manner. Guidelines also endorse the use of imaging modalities such as endoanal ultrasound and transperineal ultrasound as viable alternatives to MRI for the assessment of perianal fistulising Crohn's disease in centres with appropriate expertise. This article aims to evaluate and compare the diagnostic accuracy and clinical utility of MRI, endoanal ultrasound, and transperineal ultrasound in the assessment of perianal fistulising Crohn's disease, highlighting their respective strengths, limitations, and roles in clinical practice.</p>","PeriodicalId":23778,"journal":{"name":"World Journal of Gastroenterology","volume":"31 34","pages":"110611"},"PeriodicalIF":5.4000,"publicationDate":"2025-09-14","publicationTypes":"Journal Article","fieldsOfStudy":null,"isOpenAccess":false,"openAccessPdf":"https://www.ncbi.nlm.nih.gov/pmc/articles/PMC12421400/pdf/","citationCount":"0","resultStr":"{\"title\":\"Imaging in perianal fistulising Crohn's disease: A practical guide for the gastroenterologist.\",\"authors\":\"Habeeb Habeeb, Lynna Chen, Isabelle De Kock, Gauraang Bhatnagar, Numan Kutaiba, Abhinav Vasudevan, Ashish R Srinivasan\",\"doi\":\"10.3748/wjg.v31.i34.110611\",\"DOIUrl\":null,\"url\":null,\"abstract\":\"<p><p>Perianal fistulising Crohn's disease is a challenging complication that can affect up to 20% of patients with Crohn's disease and is associated with significant morbidity. Despite advances in medical therapies, particularly anti-tumor necrosis factor agents, the majority of patients still require surgical intervention. Accurate diagnosis and monitoring are essential to optimise outcomes and guide multidisciplinary management. Although clinical scoring systems such as the perianal disease activity index are widely used, their subjective application limits their reproducibility and reliability, underscoring the need for more objective methods of evaluating perianal fistulising Crohn's disease activity. Imaging has thus become central to the objective assessment of perianal fistulising Crohn's disease, with magnetic resonance imaging (MRI) recognised as the gold standard in view of its ability to provide clear, detailed images of the perianal region in a radiation-free manner. Guidelines also endorse the use of imaging modalities such as endoanal ultrasound and transperineal ultrasound as viable alternatives to MRI for the assessment of perianal fistulising Crohn's disease in centres with appropriate expertise. This article aims to evaluate and compare the diagnostic accuracy and clinical utility of MRI, endoanal ultrasound, and transperineal ultrasound in the assessment of perianal fistulising Crohn's disease, highlighting their respective strengths, limitations, and roles in clinical practice.</p>\",\"PeriodicalId\":23778,\"journal\":{\"name\":\"World Journal of Gastroenterology\",\"volume\":\"31 34\",\"pages\":\"110611\"},\"PeriodicalIF\":5.4000,\"publicationDate\":\"2025-09-14\",\"publicationTypes\":\"Journal Article\",\"fieldsOfStudy\":null,\"isOpenAccess\":false,\"openAccessPdf\":\"https://www.ncbi.nlm.nih.gov/pmc/articles/PMC12421400/pdf/\",\"citationCount\":\"0\",\"resultStr\":null,\"platform\":\"Semanticscholar\",\"paperid\":null,\"PeriodicalName\":\"World Journal of Gastroenterology\",\"FirstCategoryId\":\"3\",\"ListUrlMain\":\"https://doi.org/10.3748/wjg.v31.i34.110611\",\"RegionNum\":3,\"RegionCategory\":\"医学\",\"ArticlePicture\":[],\"TitleCN\":null,\"AbstractTextCN\":null,\"PMCID\":null,\"EPubDate\":\"\",\"PubModel\":\"\",\"JCR\":\"Q1\",\"JCRName\":\"GASTROENTEROLOGY & HEPATOLOGY\",\"Score\":null,\"Total\":0}","platform":"Semanticscholar","paperid":null,"PeriodicalName":"World Journal of Gastroenterology","FirstCategoryId":"3","ListUrlMain":"https://doi.org/10.3748/wjg.v31.i34.110611","RegionNum":3,"RegionCategory":"医学","ArticlePicture":[],"TitleCN":null,"AbstractTextCN":null,"PMCID":null,"EPubDate":"","PubModel":"","JCR":"Q1","JCRName":"GASTROENTEROLOGY & HEPATOLOGY","Score":null,"Total":0}
引用次数: 0

摘要

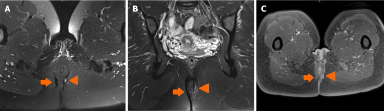
克罗恩病是一种具有挑战性的并发症,可影响高达20%的克罗恩病患者,并与显著的发病率相关。尽管医学治疗取得了进步,特别是抗肿瘤坏死因子药物,但大多数患者仍然需要手术干预。准确的诊断和监测对于优化结果和指导多学科管理至关重要。尽管临床评分系统如肛周疾病活动性指数被广泛使用,但其主观应用限制了其可重复性和可靠性,强调需要更客观的方法来评估肛周瘘克罗恩病活动性。成像因此成为客观评估肛门周围瘘管性克罗恩病的核心,磁共振成像(MRI)被认为是金标准,因为它能够以无辐射的方式提供肛门周围区域清晰、详细的图像。指南还支持在具有适当专业知识的中心使用内镜超声和经会阴超声等成像方式作为MRI评估肛周瘘管性克罗恩病的可行替代方法。本文旨在评价和比较MRI、肛管超声和经会阴超声在评估肛周瘘性克罗恩病中的诊断准确性和临床应用,突出其各自的优势、局限性和在临床实践中的作用。
本文章由计算机程序翻译,如有差异,请以英文原文为准。

Imaging in perianal fistulising Crohn's disease: A practical guide for the gastroenterologist.

Imaging in perianal fistulising Crohn's disease: A practical guide for the gastroenterologist.

Imaging in perianal fistulising Crohn's disease: A practical guide for the gastroenterologist.

Imaging in perianal fistulising Crohn's disease: A practical guide for the gastroenterologist.

Perianal fistulising Crohn's disease is a challenging complication that can affect up to 20% of patients with Crohn's disease and is associated with significant morbidity. Despite advances in medical therapies, particularly anti-tumor necrosis factor agents, the majority of patients still require surgical intervention. Accurate diagnosis and monitoring are essential to optimise outcomes and guide multidisciplinary management. Although clinical scoring systems such as the perianal disease activity index are widely used, their subjective application limits their reproducibility and reliability, underscoring the need for more objective methods of evaluating perianal fistulising Crohn's disease activity. Imaging has thus become central to the objective assessment of perianal fistulising Crohn's disease, with magnetic resonance imaging (MRI) recognised as the gold standard in view of its ability to provide clear, detailed images of the perianal region in a radiation-free manner. Guidelines also endorse the use of imaging modalities such as endoanal ultrasound and transperineal ultrasound as viable alternatives to MRI for the assessment of perianal fistulising Crohn's disease in centres with appropriate expertise. This article aims to evaluate and compare the diagnostic accuracy and clinical utility of MRI, endoanal ultrasound, and transperineal ultrasound in the assessment of perianal fistulising Crohn's disease, highlighting their respective strengths, limitations, and roles in clinical practice.

求助全文
通过发布文献求助,成功后即可免费获取论文全文。 去求助
来源期刊
World Journal of Gastroenterology
World Journal of Gastroenterology 医学-胃肠肝病学
CiteScore
7.80
自引率
4.70%
发文量
464
审稿时长
2.4 months
期刊介绍: The primary aims of the WJG are to improve diagnostic, therapeutic and preventive modalities and the skills of clinicians and to guide clinical practice in gastroenterology and hepatology.
×
引用
GB/T 7714-2015
复制
MLA
复制
APA
复制
导出至
BibTeX EndNote RefMan NoteFirst NoteExpress
×
提示
您的信息不完整,为了账户安全,请先补充。
现在去补充
×
提示
您因"违规操作"
具体请查看互助需知
我知道了
×
提示
确定
请完成安全验证×
copy
已复制链接
快去分享给好友吧!
我知道了
右上角分享
点击右上角分享
0
联系我们:info@booksci.cn Book学术提供免费学术资源搜索服务,方便国内外学者检索中英文文献。致力于提供最便捷和优质的服务体验。 Copyright © 2023 布克学术 All rights reserved.
京ICP备2023020795号-1
ghs 京公网安备 11010802042870号
Book学术文献互助
Book学术文献互助群
群 号:604180095
Book学术官方微信