2型糖尿病足底筋膜及跟腱改变的超声及弹性成像评价。

IF 1 4区 医学 Q2 MEDICINE, GENERAL & INTERNAL
Turkish Journal of Medical Sciences Pub Date : 2025-06-23 eCollection Date: 2025-01-01 DOI:10.55730/1300-0144.6042
Rıfat Bozkuş, İhsaniye Süer Doğan, Berna Turhan, Sümeyya Duran Kaymak, Mustafa Hulusi Kurt, Rasime Pelin Kavak
{"title":"2型糖尿病足底筋膜及跟腱改变的超声及弹性成像评价。","authors":"Rıfat Bozkuş, İhsaniye Süer Doğan, Berna Turhan, Sümeyya Duran Kaymak, Mustafa Hulusi Kurt, Rasime Pelin Kavak","doi":"10.55730/1300-0144.6042","DOIUrl":null,"url":null,"abstract":"<p><strong>Background/aim: </strong>The primary aim of this study was to compare the thickness and stiffness of the plantar fascia (PF) and Achilles tendon (AT) between healthy volunteers and patients with type 2 diabetes mellitus (T2DM). A secondary objective was to explore the correlations between the thickness and stiffness of the PF and AT and diabetes duration (in months) and hemoglobin A1c (HbA1c) levels in T2DM patients without peripheral neuropathy or foot ulcers, with peripheral neuropathy, or with foot ulcers.</p><p><strong>Material and methods: </strong>A total of 289 participants, including 117 healthy volunteers (Group A) and 172 T2DM patients (59.5%), matched for age, sex, and body mass index, were included. The T2DM cohort was stratified into three subgroups: Group B (without peripheral neuropathy or foot ulcers), Group C (with peripheral neuropathy), and Group D (with foot ulcers). Ultrasonography (USG) and shear wave elastography (SWE) were used to assess PF and AT properties, and correlations with diabetes duration and HbA1c levels were analyzed.</p><p><strong>Results: </strong>T2DM patients exhibited significantly greater PF and AT thickness, and lower stiffness compared to healthy controls (p < 0.001). Among subgroups, Group D had the greatest PF and AT thickness and the lowest stiffness, followed by Group C and then Group B (p < 0.001 for all comparisons). Positive correlations were observed between diabetes duration, HbA1c levels, and tendon thickness, while negative correlations were identified with stiffness (p < 0.001 for all).</p><p><strong>Conclusion: </strong>USG and SWE revealed significant alterations in PF and AT properties in T2DM patients compared to healthy individuals, with these changes correlating with diabetes severity and duration.</p>","PeriodicalId":23361,"journal":{"name":"Turkish Journal of Medical Sciences","volume":"55 4","pages":"893-903"},"PeriodicalIF":1.0000,"publicationDate":"2025-06-23","publicationTypes":"Journal Article","fieldsOfStudy":null,"isOpenAccess":false,"openAccessPdf":"https://www.ncbi.nlm.nih.gov/pmc/articles/PMC12419038/pdf/","citationCount":"0","resultStr":"{\"title\":\"Ultrasonographic and elastographic evaluation of plantar fascia and Achilles tendon alterations in type 2 diabetes mellitus.\",\"authors\":\"Rıfat Bozkuş, İhsaniye Süer Doğan, Berna Turhan, Sümeyya Duran Kaymak, Mustafa Hulusi Kurt, Rasime Pelin Kavak\",\"doi\":\"10.55730/1300-0144.6042\",\"DOIUrl\":null,\"url\":null,\"abstract\":\"<p><strong>Background/aim: </strong>The primary aim of this study was to compare the thickness and stiffness of the plantar fascia (PF) and Achilles tendon (AT) between healthy volunteers and patients with type 2 diabetes mellitus (T2DM). A secondary objective was to explore the correlations between the thickness and stiffness of the PF and AT and diabetes duration (in months) and hemoglobin A1c (HbA1c) levels in T2DM patients without peripheral neuropathy or foot ulcers, with peripheral neuropathy, or with foot ulcers.</p><p><strong>Material and methods: </strong>A total of 289 participants, including 117 healthy volunteers (Group A) and 172 T2DM patients (59.5%), matched for age, sex, and body mass index, were included. The T2DM cohort was stratified into three subgroups: Group B (without peripheral neuropathy or foot ulcers), Group C (with peripheral neuropathy), and Group D (with foot ulcers). Ultrasonography (USG) and shear wave elastography (SWE) were used to assess PF and AT properties, and correlations with diabetes duration and HbA1c levels were analyzed.</p><p><strong>Results: </strong>T2DM patients exhibited significantly greater PF and AT thickness, and lower stiffness compared to healthy controls (p < 0.001). Among subgroups, Group D had the greatest PF and AT thickness and the lowest stiffness, followed by Group C and then Group B (p < 0.001 for all comparisons). Positive correlations were observed between diabetes duration, HbA1c levels, and tendon thickness, while negative correlations were identified with stiffness (p < 0.001 for all).</p><p><strong>Conclusion: </strong>USG and SWE revealed significant alterations in PF and AT properties in T2DM patients compared to healthy individuals, with these changes correlating with diabetes severity and duration.</p>\",\"PeriodicalId\":23361,\"journal\":{\"name\":\"Turkish Journal of Medical Sciences\",\"volume\":\"55 4\",\"pages\":\"893-903\"},\"PeriodicalIF\":1.0000,\"publicationDate\":\"2025-06-23\",\"publicationTypes\":\"Journal Article\",\"fieldsOfStudy\":null,\"isOpenAccess\":false,\"openAccessPdf\":\"https://www.ncbi.nlm.nih.gov/pmc/articles/PMC12419038/pdf/\",\"citationCount\":\"0\",\"resultStr\":null,\"platform\":\"Semanticscholar\",\"paperid\":null,\"PeriodicalName\":\"Turkish Journal of Medical Sciences\",\"FirstCategoryId\":\"3\",\"ListUrlMain\":\"https://doi.org/10.55730/1300-0144.6042\",\"RegionNum\":4,\"RegionCategory\":\"医学\",\"ArticlePicture\":[],\"TitleCN\":null,\"AbstractTextCN\":null,\"PMCID\":null,\"EPubDate\":\"2025/1/1 0:00:00\",\"PubModel\":\"eCollection\",\"JCR\":\"Q2\",\"JCRName\":\"MEDICINE, GENERAL & INTERNAL\",\"Score\":null,\"Total\":0}","platform":"Semanticscholar","paperid":null,"PeriodicalName":"Turkish Journal of Medical Sciences","FirstCategoryId":"3","ListUrlMain":"https://doi.org/10.55730/1300-0144.6042","RegionNum":4,"RegionCategory":"医学","ArticlePicture":[],"TitleCN":null,"AbstractTextCN":null,"PMCID":null,"EPubDate":"2025/1/1 0:00:00","PubModel":"eCollection","JCR":"Q2","JCRName":"MEDICINE, GENERAL & INTERNAL","Score":null,"Total":0}
引用次数: 0

摘要

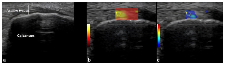
背景/目的:本研究的主要目的是比较健康志愿者和2型糖尿病(T2DM)患者足底筋膜(PF)和跟腱(AT)的厚度和刚度。次要目的是探讨无周围神经病变或足部溃疡、有周围神经病变或足部溃疡的T2DM患者中PF和AT的厚度和硬度与糖尿病病程(以月为单位)和血红蛋白A1c (HbA1c)水平之间的相关性。材料和方法:共纳入289名参与者,包括117名健康志愿者(A组)和172名T2DM患者(59.5%),年龄、性别和体重指数相匹配。T2DM队列分为三个亚组:B组(无周围神经病变或足部溃疡),C组(有周围神经病变)和D组(有足部溃疡)。采用超声(USG)和剪切波弹性成像(SWE)评估PF和AT特性,并分析其与糖尿病病程和HbA1c水平的相关性。结果:与健康对照组相比,T2DM患者表现出更大的PF和AT厚度,更低的僵硬度(p < 0.001)。各亚组中,D组PF和AT厚度最大,刚度最低,C组次之,B组次之(p < 0.001)。糖尿病病程、HbA1c水平和肌腱厚度呈正相关,而与肌腱僵硬呈负相关(均p < 0.001)。结论:USG和SWE显示,与健康个体相比,T2DM患者的PF和AT特性发生了显著变化,这些变化与糖尿病的严重程度和持续时间有关。
本文章由计算机程序翻译,如有差异,请以英文原文为准。

Ultrasonographic and elastographic evaluation of plantar fascia and Achilles tendon alterations in type 2 diabetes mellitus.

Ultrasonographic and elastographic evaluation of plantar fascia and Achilles tendon alterations in type 2 diabetes mellitus.

Ultrasonographic and elastographic evaluation of plantar fascia and Achilles tendon alterations in type 2 diabetes mellitus.

Background/aim: The primary aim of this study was to compare the thickness and stiffness of the plantar fascia (PF) and Achilles tendon (AT) between healthy volunteers and patients with type 2 diabetes mellitus (T2DM). A secondary objective was to explore the correlations between the thickness and stiffness of the PF and AT and diabetes duration (in months) and hemoglobin A1c (HbA1c) levels in T2DM patients without peripheral neuropathy or foot ulcers, with peripheral neuropathy, or with foot ulcers.

Material and methods: A total of 289 participants, including 117 healthy volunteers (Group A) and 172 T2DM patients (59.5%), matched for age, sex, and body mass index, were included. The T2DM cohort was stratified into three subgroups: Group B (without peripheral neuropathy or foot ulcers), Group C (with peripheral neuropathy), and Group D (with foot ulcers). Ultrasonography (USG) and shear wave elastography (SWE) were used to assess PF and AT properties, and correlations with diabetes duration and HbA1c levels were analyzed.

Results: T2DM patients exhibited significantly greater PF and AT thickness, and lower stiffness compared to healthy controls (p < 0.001). Among subgroups, Group D had the greatest PF and AT thickness and the lowest stiffness, followed by Group C and then Group B (p < 0.001 for all comparisons). Positive correlations were observed between diabetes duration, HbA1c levels, and tendon thickness, while negative correlations were identified with stiffness (p < 0.001 for all).

Conclusion: USG and SWE revealed significant alterations in PF and AT properties in T2DM patients compared to healthy individuals, with these changes correlating with diabetes severity and duration.

求助全文
通过发布文献求助,成功后即可免费获取论文全文。 去求助
来源期刊
Turkish Journal of Medical Sciences
Turkish Journal of Medical Sciences 医学-医学:内科
CiteScore
4.60
自引率
4.30%
发文量
143
审稿时长
3-8 weeks
期刊介绍: Turkish Journal of Medical sciences is a peer-reviewed comprehensive resource that provides critical up-to-date information on the broad spectrum of general medical sciences. The Journal intended to publish original medical scientific papers regarding the priority based on the prominence, significance, and timeliness of the findings. However since the audience of the Journal is not limited to any subspeciality in a wide variety of medical disciplines, the papers focusing on the technical  details of a given medical  subspeciality may not be evaluated for publication.
×
引用
GB/T 7714-2015
复制
MLA
复制
APA
复制
导出至
BibTeX EndNote RefMan NoteFirst NoteExpress
×
提示
您的信息不完整,为了账户安全,请先补充。
现在去补充
×
提示
您因"违规操作"
具体请查看互助需知
我知道了
×
提示
确定
请完成安全验证×
copy
已复制链接
快去分享给好友吧!
我知道了
右上角分享
点击右上角分享
0
联系我们:info@booksci.cn Book学术提供免费学术资源搜索服务,方便国内外学者检索中英文文献。致力于提供最便捷和优质的服务体验。 Copyright © 2023 布克学术 All rights reserved.
京ICP备2023020795号-1
ghs 京公网安备 11010802042870号
Book学术文献互助
Book学术文献互助群
群 号:604180095
Book学术官方微信