截瘫轮椅使用者是否容易患上过度使用综合症?

IF 1 4区 医学 Q2 MEDICINE, GENERAL & INTERNAL
Turkish Journal of Medical Sciences Pub Date : 2025-05-30 eCollection Date: 2025-01-01 DOI:10.55730/1300-0144.6045
Kutay Tezel, Esra Ülgen Kiratlioğlu, Hüseyin Kayadibi, İlkay Karabay, Mitat Cebeci, Eda Gürçay
{"title":"截瘫轮椅使用者是否容易患上过度使用综合症?","authors":"Kutay Tezel, Esra Ülgen Kiratlioğlu, Hüseyin Kayadibi, İlkay Karabay, Mitat Cebeci, Eda Gürçay","doi":"10.55730/1300-0144.6045","DOIUrl":null,"url":null,"abstract":"<p><strong>Background/aim: </strong>The purposes of this study are to determine the frequency of upper extremity overuse syndromes in patients with spinal cord injury (SCI) using manual wheelchairs, to evaluate these syndromes clinically and sonographically, and to identify possible predisposing factors.</p><p><strong>Materials and methods: </strong>A total of 38 patients with traumatic SCI, aged over 18 years and using manual wheelchairs, were enrolled in this cross-sectional study. The patients were evaluated with clinical and sonographic findings of the wrist, elbow and shoulder joints. Functional capacity, physical ability and upper extremity symptoms, and quality of life were assessed using the functional independence measure, the short form of the disabilities of the arm, shoulder and hand questionnaire, and the 36-item short form (SF-36) health survey, respectively.</p><p><strong>Results: </strong>While the shoulder joint accounted for the majority of joint pain detected in 23 patients, bursitis was the most common sonographic pathology. As a result of clinical and sonographic evaluations, it was determined that 29 patients had overuse syndrome. The likelihood of developing overuse syndromes increased with longer daily wheelchair use (OR = 1.666; p = 0.048) and high lesion level (OR = 12.01; p = 0.052). It decreased with the SF-36 pain score (OR = 0.943; p = 0.027).</p><p><strong>Conclusion: </strong>The shoulder joint was the most commonly affected area in terms of pain, sonographic findings, and overuse syndrome. Prolonged daily wheelchair use, thoracic-level lesions, and lower SF-36 pain subscale scores might be determinants of the development of upper extremity overuse syndromes in paraplegic wheelchair users.</p>","PeriodicalId":23361,"journal":{"name":"Turkish Journal of Medical Sciences","volume":"55 4","pages":"920-929"},"PeriodicalIF":1.0000,"publicationDate":"2025-05-30","publicationTypes":"Journal Article","fieldsOfStudy":null,"isOpenAccess":false,"openAccessPdf":"https://www.ncbi.nlm.nih.gov/pmc/articles/PMC12419057/pdf/","citationCount":"0","resultStr":"{\"title\":\"Are paraplegic wheelchair users vulnerable to overuse syndromes?\",\"authors\":\"Kutay Tezel, Esra Ülgen Kiratlioğlu, Hüseyin Kayadibi, İlkay Karabay, Mitat Cebeci, Eda Gürçay\",\"doi\":\"10.55730/1300-0144.6045\",\"DOIUrl\":null,\"url\":null,\"abstract\":\"<p><strong>Background/aim: </strong>The purposes of this study are to determine the frequency of upper extremity overuse syndromes in patients with spinal cord injury (SCI) using manual wheelchairs, to evaluate these syndromes clinically and sonographically, and to identify possible predisposing factors.</p><p><strong>Materials and methods: </strong>A total of 38 patients with traumatic SCI, aged over 18 years and using manual wheelchairs, were enrolled in this cross-sectional study. The patients were evaluated with clinical and sonographic findings of the wrist, elbow and shoulder joints. Functional capacity, physical ability and upper extremity symptoms, and quality of life were assessed using the functional independence measure, the short form of the disabilities of the arm, shoulder and hand questionnaire, and the 36-item short form (SF-36) health survey, respectively.</p><p><strong>Results: </strong>While the shoulder joint accounted for the majority of joint pain detected in 23 patients, bursitis was the most common sonographic pathology. As a result of clinical and sonographic evaluations, it was determined that 29 patients had overuse syndrome. The likelihood of developing overuse syndromes increased with longer daily wheelchair use (OR = 1.666; p = 0.048) and high lesion level (OR = 12.01; p = 0.052). It decreased with the SF-36 pain score (OR = 0.943; p = 0.027).</p><p><strong>Conclusion: </strong>The shoulder joint was the most commonly affected area in terms of pain, sonographic findings, and overuse syndrome. Prolonged daily wheelchair use, thoracic-level lesions, and lower SF-36 pain subscale scores might be determinants of the development of upper extremity overuse syndromes in paraplegic wheelchair users.</p>\",\"PeriodicalId\":23361,\"journal\":{\"name\":\"Turkish Journal of Medical Sciences\",\"volume\":\"55 4\",\"pages\":\"920-929\"},\"PeriodicalIF\":1.0000,\"publicationDate\":\"2025-05-30\",\"publicationTypes\":\"Journal Article\",\"fieldsOfStudy\":null,\"isOpenAccess\":false,\"openAccessPdf\":\"https://www.ncbi.nlm.nih.gov/pmc/articles/PMC12419057/pdf/\",\"citationCount\":\"0\",\"resultStr\":null,\"platform\":\"Semanticscholar\",\"paperid\":null,\"PeriodicalName\":\"Turkish Journal of Medical Sciences\",\"FirstCategoryId\":\"3\",\"ListUrlMain\":\"https://doi.org/10.55730/1300-0144.6045\",\"RegionNum\":4,\"RegionCategory\":\"医学\",\"ArticlePicture\":[],\"TitleCN\":null,\"AbstractTextCN\":null,\"PMCID\":null,\"EPubDate\":\"2025/1/1 0:00:00\",\"PubModel\":\"eCollection\",\"JCR\":\"Q2\",\"JCRName\":\"MEDICINE, GENERAL & INTERNAL\",\"Score\":null,\"Total\":0}","platform":"Semanticscholar","paperid":null,"PeriodicalName":"Turkish Journal of Medical Sciences","FirstCategoryId":"3","ListUrlMain":"https://doi.org/10.55730/1300-0144.6045","RegionNum":4,"RegionCategory":"医学","ArticlePicture":[],"TitleCN":null,"AbstractTextCN":null,"PMCID":null,"EPubDate":"2025/1/1 0:00:00","PubModel":"eCollection","JCR":"Q2","JCRName":"MEDICINE, GENERAL & INTERNAL","Score":null,"Total":0}
引用次数: 0

摘要

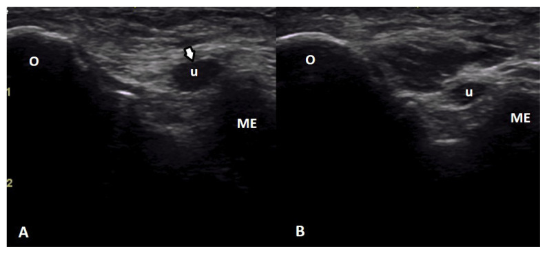
背景/目的:本研究的目的是确定使用手动轮椅的脊髓损伤(SCI)患者上肢过度使用综合征的频率,对这些综合征进行临床和超声评估,并确定可能的易感因素。材料与方法:本横断面研究纳入38例18岁以上使用手动轮椅的外伤性脊髓损伤患者。患者的临床和超声检查结果的腕,肘和肩关节进行评估。分别采用功能独立性量表、臂、肩、手残疾简易问卷和36项健康调查表(SF-36)对患者的功能能力、肢体能力和上肢症状以及生活质量进行评估。结果:在23例患者中,肩关节疼痛占关节疼痛的大多数,滑囊炎是最常见的超声病理。经临床和超声检查,确定29例患者有过度使用综合征。每日轮椅使用时间越长(OR = 1.666; p = 0.048),病变程度越高(OR = 12.01; p = 0.052),发生过度使用综合征的可能性越高。随SF-36疼痛评分而降低(OR = 0.943; p = 0.027)。结论:肩关节是疼痛、超声表现和过度使用综合征最常见的受累部位。长期的日常轮椅使用,胸椎病变和较低的SF-36疼痛亚量表评分可能是截瘫轮椅使用者上肢过度使用综合征发展的决定因素。
本文章由计算机程序翻译,如有差异,请以英文原文为准。

Are paraplegic wheelchair users vulnerable to overuse syndromes?

Are paraplegic wheelchair users vulnerable to overuse syndromes?

Are paraplegic wheelchair users vulnerable to overuse syndromes?

Background/aim: The purposes of this study are to determine the frequency of upper extremity overuse syndromes in patients with spinal cord injury (SCI) using manual wheelchairs, to evaluate these syndromes clinically and sonographically, and to identify possible predisposing factors.

Materials and methods: A total of 38 patients with traumatic SCI, aged over 18 years and using manual wheelchairs, were enrolled in this cross-sectional study. The patients were evaluated with clinical and sonographic findings of the wrist, elbow and shoulder joints. Functional capacity, physical ability and upper extremity symptoms, and quality of life were assessed using the functional independence measure, the short form of the disabilities of the arm, shoulder and hand questionnaire, and the 36-item short form (SF-36) health survey, respectively.

Results: While the shoulder joint accounted for the majority of joint pain detected in 23 patients, bursitis was the most common sonographic pathology. As a result of clinical and sonographic evaluations, it was determined that 29 patients had overuse syndrome. The likelihood of developing overuse syndromes increased with longer daily wheelchair use (OR = 1.666; p = 0.048) and high lesion level (OR = 12.01; p = 0.052). It decreased with the SF-36 pain score (OR = 0.943; p = 0.027).

Conclusion: The shoulder joint was the most commonly affected area in terms of pain, sonographic findings, and overuse syndrome. Prolonged daily wheelchair use, thoracic-level lesions, and lower SF-36 pain subscale scores might be determinants of the development of upper extremity overuse syndromes in paraplegic wheelchair users.

求助全文
通过发布文献求助,成功后即可免费获取论文全文。 去求助
来源期刊
Turkish Journal of Medical Sciences
Turkish Journal of Medical Sciences 医学-医学:内科
CiteScore
4.60
自引率
4.30%
发文量
143
审稿时长
3-8 weeks
期刊介绍: Turkish Journal of Medical sciences is a peer-reviewed comprehensive resource that provides critical up-to-date information on the broad spectrum of general medical sciences. The Journal intended to publish original medical scientific papers regarding the priority based on the prominence, significance, and timeliness of the findings. However since the audience of the Journal is not limited to any subspeciality in a wide variety of medical disciplines, the papers focusing on the technical  details of a given medical  subspeciality may not be evaluated for publication.
×
引用
GB/T 7714-2015
复制
MLA
复制
APA
复制
导出至
BibTeX EndNote RefMan NoteFirst NoteExpress
×
提示
您的信息不完整,为了账户安全,请先补充。
现在去补充
×
提示
您因"违规操作"
具体请查看互助需知
我知道了
×
提示
确定
请完成安全验证×
copy
已复制链接
快去分享给好友吧!
我知道了
右上角分享
点击右上角分享
0
联系我们:info@booksci.cn Book学术提供免费学术资源搜索服务,方便国内外学者检索中英文文献。致力于提供最便捷和优质的服务体验。 Copyright © 2023 布克学术 All rights reserved.
京ICP备2023020795号-1
ghs 京公网安备 11010802042870号
Book学术文献互助
Book学术文献互助群
群 号:604180095
Book学术官方微信