肝移植治疗胰十二指肠切除术后代谢功能障碍相关脂肪变性肝病。

IF 0.7 Q4 SURGERY
Surgical Case Reports Pub Date : 2025-01-01 Epub Date: 2025-09-06 DOI:10.70352/scrj.cr.25-0264
Takeshi Kano, Ryugen Takahashi, Nobuhisa Akamatsu, Yujiro Nishioka, Yuichiro Mihara, Akihiko Ichida, Takeshi Takamoto, Yoshikuni Kawaguchi, Kiyoshi Hasegawa
{"title":"肝移植治疗胰十二指肠切除术后代谢功能障碍相关脂肪变性肝病。","authors":"Takeshi Kano, Ryugen Takahashi, Nobuhisa Akamatsu, Yujiro Nishioka, Yuichiro Mihara, Akihiko Ichida, Takeshi Takamoto, Yoshikuni Kawaguchi, Kiyoshi Hasegawa","doi":"10.70352/scrj.cr.25-0264","DOIUrl":null,"url":null,"abstract":"<p><strong>Introduction: </strong>Steatotic liver disease (SLD) may develop in some patients after pancreaticoduodenectomy (PD), but no cases requiring liver transplantation (LT) have been reported to date. Here, we present two cases in which LT was performed for decompensated liver cirrhosis (LC) after PD.</p><p><strong>Case presentation: </strong>Case 1 was a 53-year-old man with obesity, metabolic-associated SLD (MASLD), and diabetes mellitus. The patient underwent PD for an intraductal papillary mucinous neoplasm. His liver function worsened and he developed decompensated LC 6 years later, eventually requiring LT. Due to poor mobility of the jejunal limb caused by severe adhesions and the presence of a pancreatojejunostomy, a choledochojejunostomy was performed at the more distal site of the common bile duct than usual. He developed hemobilia and biliary leakage but was discharged on POD 107. Liver function has been good for 2 years after LT without MASLD recurrence, although endoscopic treatment is periodically required for biliary stricture. Case 2 was a 46-year-old man with obesity, SLD, and a history of excessive alcohol consumption. The patient underwent PD for duodenal cancer. Five years later, he developed decompensated LC, which required living-donor LT. For biliary reconstruction, a new jejunal limb was created and elevated. He was discharged on POD 79. He has repeatedly developed cholangitis, but his liver function has been good for 6 years without SLD recurrence.</p><p><strong>Conclusions: </strong>Steatohepatitis can worsen following PD and may lead to decompensated LC, ultimately requiring LT. Therefore, screening for steatohepatitis and its risk factors prior to PD is essential, and prophylaxis should be considered. LT after PD presents surgical challenges and biliary reconstruction with some procedural modifications.</p>","PeriodicalId":22096,"journal":{"name":"Surgical Case Reports","volume":"11 1","pages":""},"PeriodicalIF":0.7000,"publicationDate":"2025-01-01","publicationTypes":"Journal Article","fieldsOfStudy":null,"isOpenAccess":false,"openAccessPdf":"https://www.ncbi.nlm.nih.gov/pmc/articles/PMC12422816/pdf/","citationCount":"0","resultStr":"{\"title\":\"Liver Transplantation for Metabolic Dysfunction-Associated Steatotic Liver Disease after Pancreaticoduodenectomy.\",\"authors\":\"Takeshi Kano, Ryugen Takahashi, Nobuhisa Akamatsu, Yujiro Nishioka, Yuichiro Mihara, Akihiko Ichida, Takeshi Takamoto, Yoshikuni Kawaguchi, Kiyoshi Hasegawa\",\"doi\":\"10.70352/scrj.cr.25-0264\",\"DOIUrl\":null,\"url\":null,\"abstract\":\"<p><strong>Introduction: </strong>Steatotic liver disease (SLD) may develop in some patients after pancreaticoduodenectomy (PD), but no cases requiring liver transplantation (LT) have been reported to date. Here, we present two cases in which LT was performed for decompensated liver cirrhosis (LC) after PD.</p><p><strong>Case presentation: </strong>Case 1 was a 53-year-old man with obesity, metabolic-associated SLD (MASLD), and diabetes mellitus. The patient underwent PD for an intraductal papillary mucinous neoplasm. His liver function worsened and he developed decompensated LC 6 years later, eventually requiring LT. Due to poor mobility of the jejunal limb caused by severe adhesions and the presence of a pancreatojejunostomy, a choledochojejunostomy was performed at the more distal site of the common bile duct than usual. He developed hemobilia and biliary leakage but was discharged on POD 107. Liver function has been good for 2 years after LT without MASLD recurrence, although endoscopic treatment is periodically required for biliary stricture. Case 2 was a 46-year-old man with obesity, SLD, and a history of excessive alcohol consumption. The patient underwent PD for duodenal cancer. Five years later, he developed decompensated LC, which required living-donor LT. For biliary reconstruction, a new jejunal limb was created and elevated. He was discharged on POD 79. He has repeatedly developed cholangitis, but his liver function has been good for 6 years without SLD recurrence.</p><p><strong>Conclusions: </strong>Steatohepatitis can worsen following PD and may lead to decompensated LC, ultimately requiring LT. Therefore, screening for steatohepatitis and its risk factors prior to PD is essential, and prophylaxis should be considered. LT after PD presents surgical challenges and biliary reconstruction with some procedural modifications.</p>\",\"PeriodicalId\":22096,\"journal\":{\"name\":\"Surgical Case Reports\",\"volume\":\"11 1\",\"pages\":\"\"},\"PeriodicalIF\":0.7000,\"publicationDate\":\"2025-01-01\",\"publicationTypes\":\"Journal Article\",\"fieldsOfStudy\":null,\"isOpenAccess\":false,\"openAccessPdf\":\"https://www.ncbi.nlm.nih.gov/pmc/articles/PMC12422816/pdf/\",\"citationCount\":\"0\",\"resultStr\":null,\"platform\":\"Semanticscholar\",\"paperid\":null,\"PeriodicalName\":\"Surgical Case Reports\",\"FirstCategoryId\":\"1085\",\"ListUrlMain\":\"https://doi.org/10.70352/scrj.cr.25-0264\",\"RegionNum\":0,\"RegionCategory\":null,\"ArticlePicture\":[],\"TitleCN\":null,\"AbstractTextCN\":null,\"PMCID\":null,\"EPubDate\":\"2025/9/6 0:00:00\",\"PubModel\":\"Epub\",\"JCR\":\"Q4\",\"JCRName\":\"SURGERY\",\"Score\":null,\"Total\":0}","platform":"Semanticscholar","paperid":null,"PeriodicalName":"Surgical Case Reports","FirstCategoryId":"1085","ListUrlMain":"https://doi.org/10.70352/scrj.cr.25-0264","RegionNum":0,"RegionCategory":null,"ArticlePicture":[],"TitleCN":null,"AbstractTextCN":null,"PMCID":null,"EPubDate":"2025/9/6 0:00:00","PubModel":"Epub","JCR":"Q4","JCRName":"SURGERY","Score":null,"Total":0}
引用次数: 0

摘要

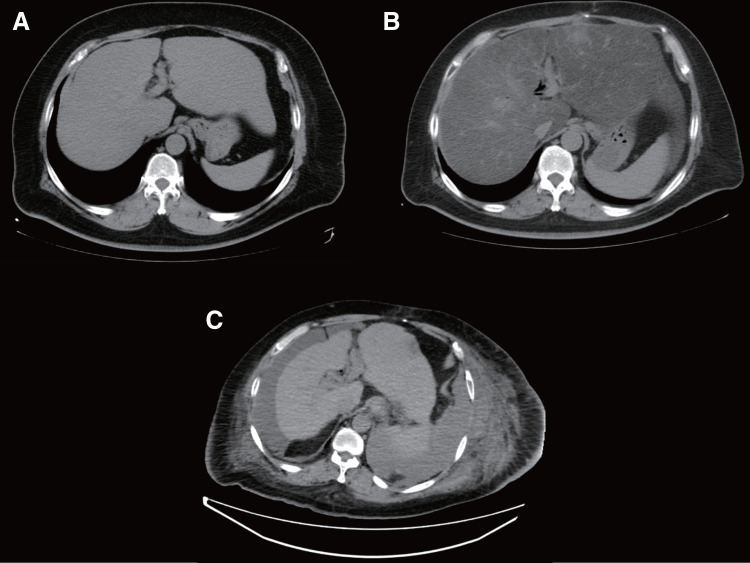
一些患者在胰十二指肠切除术(PD)后可能会发生脂肪变性肝病(SLD),但迄今为止还没有需要肝移植(LT)的病例报道。在这里,我们报告了两例肝移植治疗PD后失代偿性肝硬化(LC)的病例。病例介绍:病例1是一名53岁的男性,患有肥胖、代谢相关性SLD (MASLD)和糖尿病。患者因导管内乳头状粘液瘤接受PD治疗。他的肝功能恶化,6年后出现失代偿性LC,最终需要lt。由于严重粘连导致空肠肢体活动能力差,并且存在胰空肠吻合术,因此在胆总管远端进行胆总管空肠吻合术。患者出现胆道出血和胆漏,于POD 107出院。肝移植术后2年肝功能良好,无MASLD复发,尽管胆道狭窄需要定期内镜治疗。病例2是一名46岁的男性,患有肥胖、SLD和过量饮酒史。患者因十二指肠癌接受PD治疗。五年后,他患上了失代偿性LC,这需要活体供体lt。为了重建胆道,他创造了一个新的空肠肢体并将其抬高。他在第79阶段出院了。反复发生胆管炎,6年来肝功能良好,无SLD复发。结论:脂肪性肝炎可在PD后恶化,并可能导致失代偿性LC,最终需要lt。因此,在PD前筛查脂肪性肝炎及其危险因素是必要的,应考虑预防。PD后的LT存在手术挑战和胆道重建,需要一些程序修改。
本文章由计算机程序翻译,如有差异,请以英文原文为准。

Liver Transplantation for Metabolic Dysfunction-Associated Steatotic Liver Disease after Pancreaticoduodenectomy.

Liver Transplantation for Metabolic Dysfunction-Associated Steatotic Liver Disease after Pancreaticoduodenectomy.

Liver Transplantation for Metabolic Dysfunction-Associated Steatotic Liver Disease after Pancreaticoduodenectomy.

Liver Transplantation for Metabolic Dysfunction-Associated Steatotic Liver Disease after Pancreaticoduodenectomy.

Introduction: Steatotic liver disease (SLD) may develop in some patients after pancreaticoduodenectomy (PD), but no cases requiring liver transplantation (LT) have been reported to date. Here, we present two cases in which LT was performed for decompensated liver cirrhosis (LC) after PD.

Case presentation: Case 1 was a 53-year-old man with obesity, metabolic-associated SLD (MASLD), and diabetes mellitus. The patient underwent PD for an intraductal papillary mucinous neoplasm. His liver function worsened and he developed decompensated LC 6 years later, eventually requiring LT. Due to poor mobility of the jejunal limb caused by severe adhesions and the presence of a pancreatojejunostomy, a choledochojejunostomy was performed at the more distal site of the common bile duct than usual. He developed hemobilia and biliary leakage but was discharged on POD 107. Liver function has been good for 2 years after LT without MASLD recurrence, although endoscopic treatment is periodically required for biliary stricture. Case 2 was a 46-year-old man with obesity, SLD, and a history of excessive alcohol consumption. The patient underwent PD for duodenal cancer. Five years later, he developed decompensated LC, which required living-donor LT. For biliary reconstruction, a new jejunal limb was created and elevated. He was discharged on POD 79. He has repeatedly developed cholangitis, but his liver function has been good for 6 years without SLD recurrence.

Conclusions: Steatohepatitis can worsen following PD and may lead to decompensated LC, ultimately requiring LT. Therefore, screening for steatohepatitis and its risk factors prior to PD is essential, and prophylaxis should be considered. LT after PD presents surgical challenges and biliary reconstruction with some procedural modifications.

求助全文
通过发布文献求助,成功后即可免费获取论文全文。 去求助
来源期刊
自引率
0.00%
发文量
218
审稿时长
13 weeks
×
引用
GB/T 7714-2015
复制
MLA
复制
APA
复制
导出至
BibTeX EndNote RefMan NoteFirst NoteExpress
×
提示
您的信息不完整,为了账户安全,请先补充。
现在去补充
×
提示
您因"违规操作"
具体请查看互助需知
我知道了
×
提示
确定
请完成安全验证×
copy
已复制链接
快去分享给好友吧!
我知道了
右上角分享
点击右上角分享
0
联系我们:info@booksci.cn Book学术提供免费学术资源搜索服务,方便国内外学者检索中英文文献。致力于提供最便捷和优质的服务体验。 Copyright © 2023 布克学术 All rights reserved.
京ICP备2023020795号-1
ghs 京公网安备 11010802042870号
Book学术文献互助
Book学术文献互助群
群 号:604180095
Book学术官方微信