继发于心力衰竭的心源性肝病的图像分析:机器学习vs胃肠病学家和放射科医生。

IF 5.4 3区 医学 Q1 GASTROENTEROLOGY & HEPATOLOGY
Suguru Miida, Hiroteru Kamimura, Shinya Fujiki, Taichi Kobayashi, Saori Endo, Hiroki Maruyama, Tomoaki Yoshida, Yusuke Watanabe, Naruhiro Kimura, Hiroyuki Abe, Akira Sakamaki, Takeshi Yokoo, Masanori Tsukada, Fujito Numano, Takeshi Kashimura, Takayuki Inomata, Yuma Fuzawa, Tetsuhiro Hirata, Yosuke Horii, Hiroyuki Ishikawa, Hirofumi Nonaka, Kenya Kamimura, Shuji Terai
{"title":"继发于心力衰竭的心源性肝病的图像分析:机器学习vs胃肠病学家和放射科医生。","authors":"Suguru Miida, Hiroteru Kamimura, Shinya Fujiki, Taichi Kobayashi, Saori Endo, Hiroki Maruyama, Tomoaki Yoshida, Yusuke Watanabe, Naruhiro Kimura, Hiroyuki Abe, Akira Sakamaki, Takeshi Yokoo, Masanori Tsukada, Fujito Numano, Takeshi Kashimura, Takayuki Inomata, Yuma Fuzawa, Tetsuhiro Hirata, Yosuke Horii, Hiroyuki Ishikawa, Hirofumi Nonaka, Kenya Kamimura, Shuji Terai","doi":"10.3748/wjg.v31.i34.108807","DOIUrl":null,"url":null,"abstract":"<p><strong>Background: </strong>Congestive hepatopathy, also known as nutmeg liver, is liver damage secondary to chronic heart failure (HF). Its morphological characteristics in terms of medical imaging are not defined and remain unclear.</p><p><strong>Aim: </strong>To leverage machine learning to capture imaging features of congestive hepatopathy using incidentally acquired computed tomography (CT) scans.</p><p><strong>Methods: </strong>We retrospectively analyzed 179 chronic HF patients who underwent echocardiography and CT within one year. Right HF severity was classified into three grades. Liver CT images at the paraumbilical vein level were used to develop a ResNet-based machine learning model to predict tricuspid regurgitation (TR) severity. Model accuracy was compared with that of six gastroenterology and four radiology experts.</p><p><strong>Results: </strong>In the included patients, 120 were male (mean age: 73.1 ± 14.4 years). The accuracy of the results predicting TR severity from a single CT image for the machine learning model was significantly higher than the average accuracy of the experts. The model was found to be exceptionally reliable for predicting severe TR.</p><p><strong>Conclusion: </strong>Deep learning models, particularly those using ResNet architectures, can help identify morphological changes associated with TR severity, aiding in early liver dysfunction detection in patients with HF, thereby improving outcomes.</p>","PeriodicalId":23778,"journal":{"name":"World Journal of Gastroenterology","volume":"31 34","pages":"108807"},"PeriodicalIF":5.4000,"publicationDate":"2025-09-14","publicationTypes":"Journal Article","fieldsOfStudy":null,"isOpenAccess":false,"openAccessPdf":"https://www.ncbi.nlm.nih.gov/pmc/articles/PMC12421390/pdf/","citationCount":"0","resultStr":"{\"title\":\"Image analysis of cardiac hepatopathy secondary to heart failure: Machine learning <i>vs</i> gastroenterologists and radiologists.\",\"authors\":\"Suguru Miida, Hiroteru Kamimura, Shinya Fujiki, Taichi Kobayashi, Saori Endo, Hiroki Maruyama, Tomoaki Yoshida, Yusuke Watanabe, Naruhiro Kimura, Hiroyuki Abe, Akira Sakamaki, Takeshi Yokoo, Masanori Tsukada, Fujito Numano, Takeshi Kashimura, Takayuki Inomata, Yuma Fuzawa, Tetsuhiro Hirata, Yosuke Horii, Hiroyuki Ishikawa, Hirofumi Nonaka, Kenya Kamimura, Shuji Terai\",\"doi\":\"10.3748/wjg.v31.i34.108807\",\"DOIUrl\":null,\"url\":null,\"abstract\":\"<p><strong>Background: </strong>Congestive hepatopathy, also known as nutmeg liver, is liver damage secondary to chronic heart failure (HF). Its morphological characteristics in terms of medical imaging are not defined and remain unclear.</p><p><strong>Aim: </strong>To leverage machine learning to capture imaging features of congestive hepatopathy using incidentally acquired computed tomography (CT) scans.</p><p><strong>Methods: </strong>We retrospectively analyzed 179 chronic HF patients who underwent echocardiography and CT within one year. Right HF severity was classified into three grades. Liver CT images at the paraumbilical vein level were used to develop a ResNet-based machine learning model to predict tricuspid regurgitation (TR) severity. Model accuracy was compared with that of six gastroenterology and four radiology experts.</p><p><strong>Results: </strong>In the included patients, 120 were male (mean age: 73.1 ± 14.4 years). The accuracy of the results predicting TR severity from a single CT image for the machine learning model was significantly higher than the average accuracy of the experts. The model was found to be exceptionally reliable for predicting severe TR.</p><p><strong>Conclusion: </strong>Deep learning models, particularly those using ResNet architectures, can help identify morphological changes associated with TR severity, aiding in early liver dysfunction detection in patients with HF, thereby improving outcomes.</p>\",\"PeriodicalId\":23778,\"journal\":{\"name\":\"World Journal of Gastroenterology\",\"volume\":\"31 34\",\"pages\":\"108807\"},\"PeriodicalIF\":5.4000,\"publicationDate\":\"2025-09-14\",\"publicationTypes\":\"Journal Article\",\"fieldsOfStudy\":null,\"isOpenAccess\":false,\"openAccessPdf\":\"https://www.ncbi.nlm.nih.gov/pmc/articles/PMC12421390/pdf/\",\"citationCount\":\"0\",\"resultStr\":null,\"platform\":\"Semanticscholar\",\"paperid\":null,\"PeriodicalName\":\"World Journal of Gastroenterology\",\"FirstCategoryId\":\"3\",\"ListUrlMain\":\"https://doi.org/10.3748/wjg.v31.i34.108807\",\"RegionNum\":3,\"RegionCategory\":\"医学\",\"ArticlePicture\":[],\"TitleCN\":null,\"AbstractTextCN\":null,\"PMCID\":null,\"EPubDate\":\"\",\"PubModel\":\"\",\"JCR\":\"Q1\",\"JCRName\":\"GASTROENTEROLOGY & HEPATOLOGY\",\"Score\":null,\"Total\":0}","platform":"Semanticscholar","paperid":null,"PeriodicalName":"World Journal of Gastroenterology","FirstCategoryId":"3","ListUrlMain":"https://doi.org/10.3748/wjg.v31.i34.108807","RegionNum":3,"RegionCategory":"医学","ArticlePicture":[],"TitleCN":null,"AbstractTextCN":null,"PMCID":null,"EPubDate":"","PubModel":"","JCR":"Q1","JCRName":"GASTROENTEROLOGY & HEPATOLOGY","Score":null,"Total":0}
引用次数: 0

摘要

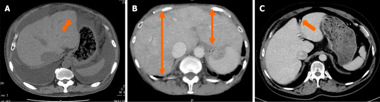
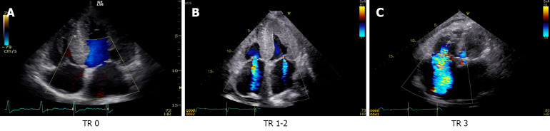
背景:充血性肝病,也被称为肉豆蔻肝,是继发于慢性心力衰竭(HF)的肝脏损伤。其形态学特征在医学影像学方面没有定义,仍然不清楚。目的:利用机器学习,利用偶然获得的计算机断层扫描(CT)来捕捉充血性肝病的成像特征。方法:回顾性分析179例一年内接受超声心动图和CT检查的慢性心力衰竭患者。右HF严重程度分为三个等级。使用脐旁静脉水平的肝脏CT图像开发基于resnet的机器学习模型来预测三尖瓣反流(TR)严重程度。模型的准确性与6名胃肠病学专家和4名放射学专家进行了比较。结果:纳入的患者中,男性120例,平均年龄73.1±14.4岁。机器学习模型从单个CT图像预测TR严重程度的结果的准确性明显高于专家的平均准确性。结论:深度学习模型,特别是那些使用ResNet架构的模型,可以帮助识别与TR严重程度相关的形态学变化,帮助HF患者早期发现肝功能障碍,从而改善预后。
本文章由计算机程序翻译,如有差异,请以英文原文为准。

Image analysis of cardiac hepatopathy secondary to heart failure: Machine learning <i>vs</i> gastroenterologists and radiologists.

Image analysis of cardiac hepatopathy secondary to heart failure: Machine learning <i>vs</i> gastroenterologists and radiologists.

Image analysis of cardiac hepatopathy secondary to heart failure: Machine learning <i>vs</i> gastroenterologists and radiologists.

Image analysis of cardiac hepatopathy secondary to heart failure: Machine learning vs gastroenterologists and radiologists.

Background: Congestive hepatopathy, also known as nutmeg liver, is liver damage secondary to chronic heart failure (HF). Its morphological characteristics in terms of medical imaging are not defined and remain unclear.

Aim: To leverage machine learning to capture imaging features of congestive hepatopathy using incidentally acquired computed tomography (CT) scans.

Methods: We retrospectively analyzed 179 chronic HF patients who underwent echocardiography and CT within one year. Right HF severity was classified into three grades. Liver CT images at the paraumbilical vein level were used to develop a ResNet-based machine learning model to predict tricuspid regurgitation (TR) severity. Model accuracy was compared with that of six gastroenterology and four radiology experts.

Results: In the included patients, 120 were male (mean age: 73.1 ± 14.4 years). The accuracy of the results predicting TR severity from a single CT image for the machine learning model was significantly higher than the average accuracy of the experts. The model was found to be exceptionally reliable for predicting severe TR.

Conclusion: Deep learning models, particularly those using ResNet architectures, can help identify morphological changes associated with TR severity, aiding in early liver dysfunction detection in patients with HF, thereby improving outcomes.

求助全文
通过发布文献求助,成功后即可免费获取论文全文。 去求助
来源期刊
World Journal of Gastroenterology
World Journal of Gastroenterology 医学-胃肠肝病学
CiteScore
7.80
自引率
4.70%
发文量
464
审稿时长
2.4 months
期刊介绍: The primary aims of the WJG are to improve diagnostic, therapeutic and preventive modalities and the skills of clinicians and to guide clinical practice in gastroenterology and hepatology.
×
引用
GB/T 7714-2015
复制
MLA
复制
APA
复制
导出至
BibTeX EndNote RefMan NoteFirst NoteExpress
×
提示
您的信息不完整,为了账户安全,请先补充。
现在去补充
×
提示
您因"违规操作"
具体请查看互助需知
我知道了
×
提示
确定
请完成安全验证×
copy
已复制链接
快去分享给好友吧!
我知道了
右上角分享
点击右上角分享
0
联系我们:info@booksci.cn Book学术提供免费学术资源搜索服务,方便国内外学者检索中英文文献。致力于提供最便捷和优质的服务体验。 Copyright © 2023 布克学术 All rights reserved.
京ICP备2023020795号-1
ghs 京公网安备 11010802042870号
Book学术文献互助
Book学术文献互助群
群 号:604180095
Book学术官方微信