IIIa型渗漏治疗及7年随访1例。

IF 1 Q4 PERIPHERAL VASCULAR DISEASE
Jornal Vascular Brasileiro Pub Date : 2025-07-28 eCollection Date: 2025-01-01 DOI:10.1590/1677-5449.202400192
Luiz Ronaldo Godinho Pereira, Keller Soares Ávila, Vinicius Oliveira Godoi, Leonardo Augusto D'Avila Gonçalves, Rafael Fortes, Marcelo Adriano de Assis Hudson, Daniel Mendes Pinto
{"title":"IIIa型渗漏治疗及7年随访1例。","authors":"Luiz Ronaldo Godinho Pereira, Keller Soares Ávila, Vinicius Oliveira Godoi, Leonardo Augusto D'Avila Gonçalves, Rafael Fortes, Marcelo Adriano de Assis Hudson, Daniel Mendes Pinto","doi":"10.1590/1677-5449.202400192","DOIUrl":null,"url":null,"abstract":"<p><p>Type III endoleaks are characterized by a problem with the endograft structure, such as fracture of the metallic structure, separation, or rupture. They constitute a rare complication, occurring in 2.1% of patients after treatment of abdominal aortic aneurysm by endovascular repair, with higher incidence in first and second generation endografts, and can occur early (after 30 days) or later. This type III classification is subdivided into IIIa -modular separation of components - and IIIb - mesh fracture or rupture involving the endograft. This case report describes an asymptomatic patient who had previously undergone infrarenal abdominal aortic aneurysm repair and underwent follow-up computed tomography which found a type IIIa endoleak with separation of the main body from the proximal extension. A second endovascular intervention was performed to seal the endoleak and correct the aneurysm.</p>","PeriodicalId":14814,"journal":{"name":"Jornal Vascular Brasileiro","volume":"24 ","pages":"e20240019"},"PeriodicalIF":1.0000,"publicationDate":"2025-07-28","publicationTypes":"Journal Article","fieldsOfStudy":null,"isOpenAccess":false,"openAccessPdf":"https://www.ncbi.nlm.nih.gov/pmc/articles/PMC12419746/pdf/","citationCount":"0","resultStr":"{\"title\":\"Treatment of type IIIa endoleak and 7-year follow-up: case report.\",\"authors\":\"Luiz Ronaldo Godinho Pereira, Keller Soares Ávila, Vinicius Oliveira Godoi, Leonardo Augusto D'Avila Gonçalves, Rafael Fortes, Marcelo Adriano de Assis Hudson, Daniel Mendes Pinto\",\"doi\":\"10.1590/1677-5449.202400192\",\"DOIUrl\":null,\"url\":null,\"abstract\":\"<p><p>Type III endoleaks are characterized by a problem with the endograft structure, such as fracture of the metallic structure, separation, or rupture. They constitute a rare complication, occurring in 2.1% of patients after treatment of abdominal aortic aneurysm by endovascular repair, with higher incidence in first and second generation endografts, and can occur early (after 30 days) or later. This type III classification is subdivided into IIIa -modular separation of components - and IIIb - mesh fracture or rupture involving the endograft. This case report describes an asymptomatic patient who had previously undergone infrarenal abdominal aortic aneurysm repair and underwent follow-up computed tomography which found a type IIIa endoleak with separation of the main body from the proximal extension. A second endovascular intervention was performed to seal the endoleak and correct the aneurysm.</p>\",\"PeriodicalId\":14814,\"journal\":{\"name\":\"Jornal Vascular Brasileiro\",\"volume\":\"24 \",\"pages\":\"e20240019\"},\"PeriodicalIF\":1.0000,\"publicationDate\":\"2025-07-28\",\"publicationTypes\":\"Journal Article\",\"fieldsOfStudy\":null,\"isOpenAccess\":false,\"openAccessPdf\":\"https://www.ncbi.nlm.nih.gov/pmc/articles/PMC12419746/pdf/\",\"citationCount\":\"0\",\"resultStr\":null,\"platform\":\"Semanticscholar\",\"paperid\":null,\"PeriodicalName\":\"Jornal Vascular Brasileiro\",\"FirstCategoryId\":\"1085\",\"ListUrlMain\":\"https://doi.org/10.1590/1677-5449.202400192\",\"RegionNum\":0,\"RegionCategory\":null,\"ArticlePicture\":[],\"TitleCN\":null,\"AbstractTextCN\":null,\"PMCID\":null,\"EPubDate\":\"2025/1/1 0:00:00\",\"PubModel\":\"eCollection\",\"JCR\":\"Q4\",\"JCRName\":\"PERIPHERAL VASCULAR DISEASE\",\"Score\":null,\"Total\":0}","platform":"Semanticscholar","paperid":null,"PeriodicalName":"Jornal Vascular Brasileiro","FirstCategoryId":"1085","ListUrlMain":"https://doi.org/10.1590/1677-5449.202400192","RegionNum":0,"RegionCategory":null,"ArticlePicture":[],"TitleCN":null,"AbstractTextCN":null,"PMCID":null,"EPubDate":"2025/1/1 0:00:00","PubModel":"eCollection","JCR":"Q4","JCRName":"PERIPHERAL VASCULAR DISEASE","Score":null,"Total":0}
引用次数: 0

摘要

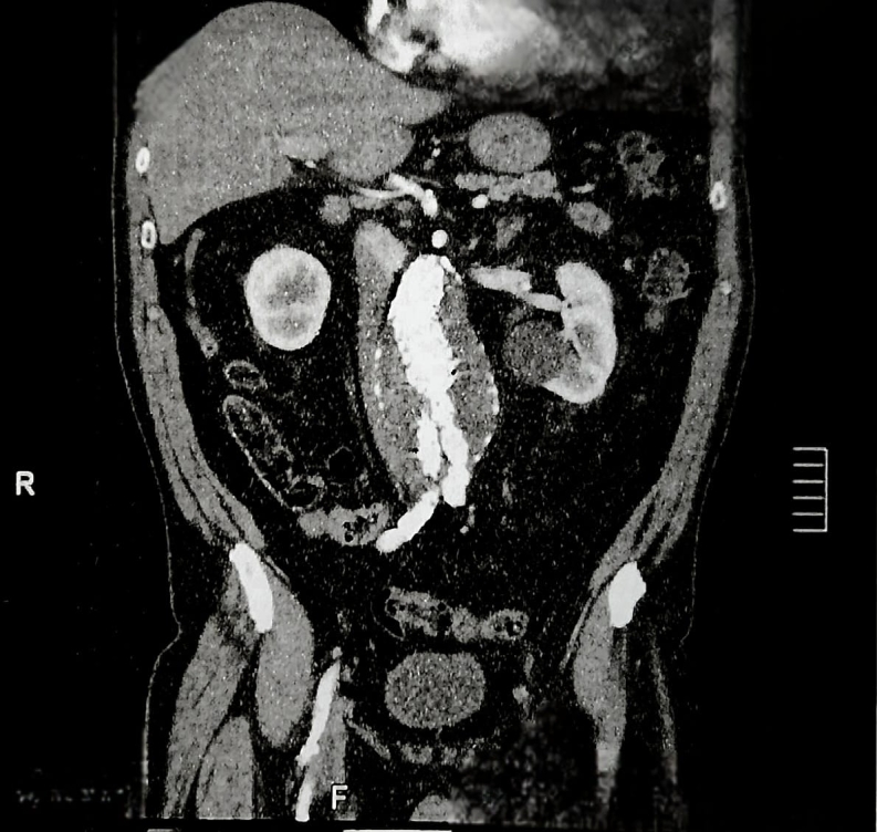
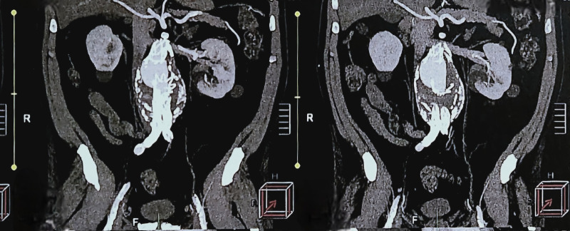
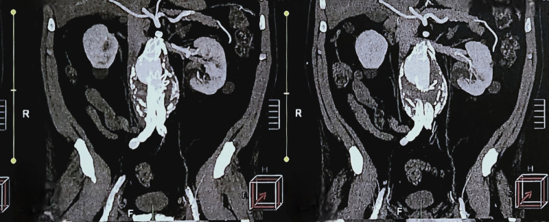
III型内漏的特点是内接枝结构出现问题,如金属结构断裂、分离或破裂。它们是一种罕见的并发症,在经血管内修复治疗腹主动脉瘤的患者中发生率为2.1%,在第一代和第二代内移植物中发病率较高,可早发生(30天后),也可晚发生。这种类型分为IIIa -组件模块化分离-和IIIb -涉及内移植物的网状骨折或破裂。本病例报告描述了一位无症状的患者,他之前接受了肾下腹主动脉瘤修复术,并在随访的计算机断层扫描中发现了一个IIIa型内漏,主体与近端延伸分离。进行第二次血管内介入以封闭腔内渗漏并矫正动脉瘤。
本文章由计算机程序翻译,如有差异,请以英文原文为准。

Treatment of type IIIa endoleak and 7-year follow-up: case report.

Treatment of type IIIa endoleak and 7-year follow-up: case report.

Treatment of type IIIa endoleak and 7-year follow-up: case report.

Treatment of type IIIa endoleak and 7-year follow-up: case report.

Type III endoleaks are characterized by a problem with the endograft structure, such as fracture of the metallic structure, separation, or rupture. They constitute a rare complication, occurring in 2.1% of patients after treatment of abdominal aortic aneurysm by endovascular repair, with higher incidence in first and second generation endografts, and can occur early (after 30 days) or later. This type III classification is subdivided into IIIa -modular separation of components - and IIIb - mesh fracture or rupture involving the endograft. This case report describes an asymptomatic patient who had previously undergone infrarenal abdominal aortic aneurysm repair and underwent follow-up computed tomography which found a type IIIa endoleak with separation of the main body from the proximal extension. A second endovascular intervention was performed to seal the endoleak and correct the aneurysm.

求助全文
通过发布文献求助,成功后即可免费获取论文全文。 去求助
来源期刊
Jornal Vascular Brasileiro
Jornal Vascular Brasileiro Medicine-Cardiology and Cardiovascular Medicine
CiteScore
1.20
自引率
0.00%
发文量
57
审稿时长
20 weeks
期刊介绍: The Jornal Vascular Brasileiro is editated and published quaterly to select and disseminate high-quality scientific contents concerning original research, novel surgical and diagnostic techniques, and clinical observations in the field of vascular surgery, angiology, and endovascular surgery. Its abbreviated title is J. Vasc. Bras., which should be used in bibliographies, footnotes and bibliographical references and strips.
×
引用
GB/T 7714-2015
复制
MLA
复制
APA
复制
导出至
BibTeX EndNote RefMan NoteFirst NoteExpress
×
提示
您的信息不完整,为了账户安全,请先补充。
现在去补充
×
提示
您因"违规操作"
具体请查看互助需知
我知道了
×
提示
确定
请完成安全验证×
copy
已复制链接
快去分享给好友吧!
我知道了
右上角分享
点击右上角分享
0
联系我们:info@booksci.cn Book学术提供免费学术资源搜索服务,方便国内外学者检索中英文文献。致力于提供最便捷和优质的服务体验。 Copyright © 2023 布克学术 All rights reserved.
京ICP备2023020795号-1
ghs 京公网安备 11010802042870号
Book学术文献互助
Book学术文献互助群
群 号:604180095
Book学术官方微信