与利用高效液相色谱仪技术识别异常血红蛋白变异相关的挑战:古吉拉特邦一家医院的前瞻性研究。

IF 0.8 Q3 MEDICINE, GENERAL & INTERNAL
Garima Anandani, Anita Motiani, Parth Goswami, Amit Sonagra
{"title":"与利用高效液相色谱仪技术识别异常血红蛋白变异相关的挑战:古吉拉特邦一家医院的前瞻性研究。","authors":"Garima Anandani, Anita Motiani, Parth Goswami, Amit Sonagra","doi":"10.4103/ijabmr.ijabmr_70_25","DOIUrl":null,"url":null,"abstract":"<p><strong>Introduction: </strong>Cation exchange high-performance liquid chromatography (HPLC) serves as a rapid, reproducible, and accurate method for diagnosing hemoglobinopathies. This study outlines the diagnostic approach and the challenges faced in the routine diagnosis of hemoglobinopathies through HPLC, particularly in laboratories with limited resources.</p><p><strong>Aims and objectives: </strong>The aim of the study was to identify the challenges encountered in identifying abnormal hemoglobin (Hb) variants and to determine the significance of HbA2 and/or fetal Hb (HbF) analysis in the HPLC methodology for hemoglobinopathies.</p><p><strong>Materials and methods: </strong>A total of 1900 samples were analyzed using the ARKRAY ADAMS HA-8180T HPLC automated analyzer for the purpose of hemoglobinopathy testing. The samples were classified into normal or abnormal hemoglobin variants based on the percentage levels of HbA2, HbF, HbA, and the identification of any abnormal peaks. Among these, 113 cases were diagnosed to have thalassemia or hemoglobinopathy. The clinical presentations and red blood cell (RBC) indices were compared with the HPLC findings for each case, thereby contributing to the accuracy of the diagnosis.</p><p><strong>Results: </strong>The study examined the distribution of Hb variants, revealing that β-thalassemia trait was the most prevalent at 44.2%, followed by sickle cell trait at 13.3% and HbD Punjab trait at 10.6%. There were many challenging cases with elevated HbA2, like HbE thalassemia and Hb Lepore. Furthermore, there was identification of some abnormal peaks which were not exactly in the instrument's predetermined HbA2, HbF, HbA, or sickle windows, like HbJ Meerut. There were a few cases with abnormally elevated HbF, which can be seen in homozygous β-thalassemia, sickle cell disease, compound double heterozygous sickle cell β-thalassemia, δβ-thalassemia, and hereditary persistence of HbF. Carriers of β-thalassemia were generally identified by an HbA2 level of 4% or higher; however, there were nine cases which exhibited borderline HbA2 levels ranging from 3.5% to 3.9%, which might turn out to be β-thalassemia trait, especially in high-prevalence areas like Gujarat.</p><p><strong>Conclusion: </strong>Any case scenario with abnormally elevated HbA2 is not always β-thalassemia trait. Nor abnormally elevated HbF may always indicate β-thalassemia major. Furthermore, some clinico-pathologically relevant hemoglobinopathies might show an abnormal peak on HPLC at any retention time, which may not be necessarily determined by the machine to be in some specific window. We need to correlate the clinical context, RBC indices, HPLC findings, and family studies to effectively detect most Hb variants.</p>","PeriodicalId":13727,"journal":{"name":"International Journal of Applied and Basic Medical Research","volume":"15 3","pages":"197-205"},"PeriodicalIF":0.8000,"publicationDate":"2025-07-01","publicationTypes":"Journal Article","fieldsOfStudy":null,"isOpenAccess":false,"openAccessPdf":"https://www.ncbi.nlm.nih.gov/pmc/articles/PMC12422550/pdf/","citationCount":"0","resultStr":"{\"title\":\"Challenges Associated with the Identification of Abnormal Hemoglobin Variants Utilizing the High-performance Liquid Chromatograph Technique: A Prospective Study in a Hospital Setting in Gujarat.\",\"authors\":\"Garima Anandani, Anita Motiani, Parth Goswami, Amit Sonagra\",\"doi\":\"10.4103/ijabmr.ijabmr_70_25\",\"DOIUrl\":null,\"url\":null,\"abstract\":\"<p><strong>Introduction: </strong>Cation exchange high-performance liquid chromatography (HPLC) serves as a rapid, reproducible, and accurate method for diagnosing hemoglobinopathies. This study outlines the diagnostic approach and the challenges faced in the routine diagnosis of hemoglobinopathies through HPLC, particularly in laboratories with limited resources.</p><p><strong>Aims and objectives: </strong>The aim of the study was to identify the challenges encountered in identifying abnormal hemoglobin (Hb) variants and to determine the significance of HbA2 and/or fetal Hb (HbF) analysis in the HPLC methodology for hemoglobinopathies.</p><p><strong>Materials and methods: </strong>A total of 1900 samples were analyzed using the ARKRAY ADAMS HA-8180T HPLC automated analyzer for the purpose of hemoglobinopathy testing. The samples were classified into normal or abnormal hemoglobin variants based on the percentage levels of HbA2, HbF, HbA, and the identification of any abnormal peaks. Among these, 113 cases were diagnosed to have thalassemia or hemoglobinopathy. The clinical presentations and red blood cell (RBC) indices were compared with the HPLC findings for each case, thereby contributing to the accuracy of the diagnosis.</p><p><strong>Results: </strong>The study examined the distribution of Hb variants, revealing that β-thalassemia trait was the most prevalent at 44.2%, followed by sickle cell trait at 13.3% and HbD Punjab trait at 10.6%. There were many challenging cases with elevated HbA2, like HbE thalassemia and Hb Lepore. Furthermore, there was identification of some abnormal peaks which were not exactly in the instrument's predetermined HbA2, HbF, HbA, or sickle windows, like HbJ Meerut. There were a few cases with abnormally elevated HbF, which can be seen in homozygous β-thalassemia, sickle cell disease, compound double heterozygous sickle cell β-thalassemia, δβ-thalassemia, and hereditary persistence of HbF. Carriers of β-thalassemia were generally identified by an HbA2 level of 4% or higher; however, there were nine cases which exhibited borderline HbA2 levels ranging from 3.5% to 3.9%, which might turn out to be β-thalassemia trait, especially in high-prevalence areas like Gujarat.</p><p><strong>Conclusion: </strong>Any case scenario with abnormally elevated HbA2 is not always β-thalassemia trait. Nor abnormally elevated HbF may always indicate β-thalassemia major. Furthermore, some clinico-pathologically relevant hemoglobinopathies might show an abnormal peak on HPLC at any retention time, which may not be necessarily determined by the machine to be in some specific window. We need to correlate the clinical context, RBC indices, HPLC findings, and family studies to effectively detect most Hb variants.</p>\",\"PeriodicalId\":13727,\"journal\":{\"name\":\"International Journal of Applied and Basic Medical Research\",\"volume\":\"15 3\",\"pages\":\"197-205\"},\"PeriodicalIF\":0.8000,\"publicationDate\":\"2025-07-01\",\"publicationTypes\":\"Journal Article\",\"fieldsOfStudy\":null,\"isOpenAccess\":false,\"openAccessPdf\":\"https://www.ncbi.nlm.nih.gov/pmc/articles/PMC12422550/pdf/\",\"citationCount\":\"0\",\"resultStr\":null,\"platform\":\"Semanticscholar\",\"paperid\":null,\"PeriodicalName\":\"International Journal of Applied and Basic Medical Research\",\"FirstCategoryId\":\"1085\",\"ListUrlMain\":\"https://doi.org/10.4103/ijabmr.ijabmr_70_25\",\"RegionNum\":0,\"RegionCategory\":null,\"ArticlePicture\":[],\"TitleCN\":null,\"AbstractTextCN\":null,\"PMCID\":null,\"EPubDate\":\"2025/8/20 0:00:00\",\"PubModel\":\"Epub\",\"JCR\":\"Q3\",\"JCRName\":\"MEDICINE, GENERAL & INTERNAL\",\"Score\":null,\"Total\":0}","platform":"Semanticscholar","paperid":null,"PeriodicalName":"International Journal of Applied and Basic Medical Research","FirstCategoryId":"1085","ListUrlMain":"https://doi.org/10.4103/ijabmr.ijabmr_70_25","RegionNum":0,"RegionCategory":null,"ArticlePicture":[],"TitleCN":null,"AbstractTextCN":null,"PMCID":null,"EPubDate":"2025/8/20 0:00:00","PubModel":"Epub","JCR":"Q3","JCRName":"MEDICINE, GENERAL & INTERNAL","Score":null,"Total":0}
引用次数: 0

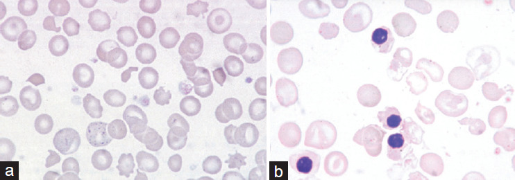
摘要

阳离子交换高效液相色谱(HPLC)是一种快速、可重复、准确的诊断血红蛋白病的方法。本研究概述了诊断方法和面临的挑战,在常规诊断血红蛋白病通过高效液相色谱,特别是在实验室资源有限。目的和目的:本研究的目的是确定在识别异常血红蛋白(Hb)变异时遇到的挑战,并确定HbA2和/或胎儿血红蛋白(HbF)分析在血红蛋白病的HPLC方法中的重要性。材料和方法:采用ARKRAY ADAMS HA-8180T高效液相色谱自动分析仪对1900份样品进行血红蛋白病检测。根据HbA2、HbF、HbA的百分比水平和任何异常峰的识别,将样本分为正常或异常血红蛋白变体。其中,113例被诊断为地中海贫血或血红蛋白病。将每个病例的临床表现和红细胞(RBC)指数与HPLC结果进行比较,从而有助于诊断的准确性。结果:研究检查了Hb变异的分布,揭示β-地中海贫血性状最普遍,占44.2%,其次是镰状细胞性状,占13.3%,HbD旁遮普性状占10.6%。有许多HbA2升高的具有挑战性的病例,如HbE地中海贫血和Hb Lepore。此外,还有一些异常峰的识别,这些峰并不完全在仪器预定的HbA2、HbF、HbA或镰刀窗口中,如HbJ Meerut。少数HbF异常升高见于纯合型β-地中海贫血、镰状细胞病、复合双杂合型镰状细胞β-地中海贫血、δβ-地中海贫血和HbF的遗传持续性。β-地中海贫血携带者一般以HbA2水平在4%或以上为标准;然而,有9例HbA2水平在3.5%至3.9%之间,这可能是β-地中海贫血的特征,特别是在古吉拉特邦等高流行地区。结论:HbA2异常升高并不一定是β-地中海贫血的特征。异常升高的HbF也不可能总是表明β-地中海贫血。此外,一些与临床病理相关的血红蛋白病变可能在任何保留时间在HPLC上显示异常峰,这可能不一定是由机器确定在某个特定的窗口。我们需要将临床背景、RBC指数、HPLC结果和家族研究联系起来,以有效地检测大多数Hb变异。
本文章由计算机程序翻译,如有差异,请以英文原文为准。

Challenges Associated with the Identification of Abnormal Hemoglobin Variants Utilizing the High-performance Liquid Chromatograph Technique: A Prospective Study in a Hospital Setting in Gujarat.

Challenges Associated with the Identification of Abnormal Hemoglobin Variants Utilizing the High-performance Liquid Chromatograph Technique: A Prospective Study in a Hospital Setting in Gujarat.

Challenges Associated with the Identification of Abnormal Hemoglobin Variants Utilizing the High-performance Liquid Chromatograph Technique: A Prospective Study in a Hospital Setting in Gujarat.

Challenges Associated with the Identification of Abnormal Hemoglobin Variants Utilizing the High-performance Liquid Chromatograph Technique: A Prospective Study in a Hospital Setting in Gujarat.

Introduction: Cation exchange high-performance liquid chromatography (HPLC) serves as a rapid, reproducible, and accurate method for diagnosing hemoglobinopathies. This study outlines the diagnostic approach and the challenges faced in the routine diagnosis of hemoglobinopathies through HPLC, particularly in laboratories with limited resources.

Aims and objectives: The aim of the study was to identify the challenges encountered in identifying abnormal hemoglobin (Hb) variants and to determine the significance of HbA2 and/or fetal Hb (HbF) analysis in the HPLC methodology for hemoglobinopathies.

Materials and methods: A total of 1900 samples were analyzed using the ARKRAY ADAMS HA-8180T HPLC automated analyzer for the purpose of hemoglobinopathy testing. The samples were classified into normal or abnormal hemoglobin variants based on the percentage levels of HbA2, HbF, HbA, and the identification of any abnormal peaks. Among these, 113 cases were diagnosed to have thalassemia or hemoglobinopathy. The clinical presentations and red blood cell (RBC) indices were compared with the HPLC findings for each case, thereby contributing to the accuracy of the diagnosis.

Results: The study examined the distribution of Hb variants, revealing that β-thalassemia trait was the most prevalent at 44.2%, followed by sickle cell trait at 13.3% and HbD Punjab trait at 10.6%. There were many challenging cases with elevated HbA2, like HbE thalassemia and Hb Lepore. Furthermore, there was identification of some abnormal peaks which were not exactly in the instrument's predetermined HbA2, HbF, HbA, or sickle windows, like HbJ Meerut. There were a few cases with abnormally elevated HbF, which can be seen in homozygous β-thalassemia, sickle cell disease, compound double heterozygous sickle cell β-thalassemia, δβ-thalassemia, and hereditary persistence of HbF. Carriers of β-thalassemia were generally identified by an HbA2 level of 4% or higher; however, there were nine cases which exhibited borderline HbA2 levels ranging from 3.5% to 3.9%, which might turn out to be β-thalassemia trait, especially in high-prevalence areas like Gujarat.

Conclusion: Any case scenario with abnormally elevated HbA2 is not always β-thalassemia trait. Nor abnormally elevated HbF may always indicate β-thalassemia major. Furthermore, some clinico-pathologically relevant hemoglobinopathies might show an abnormal peak on HPLC at any retention time, which may not be necessarily determined by the machine to be in some specific window. We need to correlate the clinical context, RBC indices, HPLC findings, and family studies to effectively detect most Hb variants.

求助全文
通过发布文献求助,成功后即可免费获取论文全文。 去求助
来源期刊
自引率
0.00%
发文量
46
×
引用
GB/T 7714-2015
复制
MLA
复制
APA
复制
导出至
BibTeX EndNote RefMan NoteFirst NoteExpress
×
提示
您的信息不完整,为了账户安全,请先补充。
现在去补充
×
提示
您因"违规操作"
具体请查看互助需知
我知道了
×
提示
确定
请完成安全验证×
copy
已复制链接
快去分享给好友吧!
我知道了
右上角分享
点击右上角分享
0
联系我们:info@booksci.cn Book学术提供免费学术资源搜索服务,方便国内外学者检索中英文文献。致力于提供最便捷和优质的服务体验。 Copyright © 2023 布克学术 All rights reserved.
京ICP备2023020795号-1
ghs 京公网安备 11010802042870号
Book学术文献互助
Book学术文献互助群
群 号:604180095
Book学术官方微信