白藜芦醇减轻黄曲霉毒素b1诱导的成年雄性白化大鼠肾皮质氧化应激和细胞凋亡。

IF 0.8 Q3 MEDICINE, GENERAL & INTERNAL
Naglaa A Bayomy, Reda H Elbakary, Nawal Salama Gouda, Marwa S Badawi, Saad Elshafey, Hanan A Elgendy, Awwad Alenezy, Safya E Esmaeel, Eslam K Fahmy, Naglaa Mokhtar
{"title":"白藜芦醇减轻黄曲霉毒素b1诱导的成年雄性白化大鼠肾皮质氧化应激和细胞凋亡。","authors":"Naglaa A Bayomy, Reda H Elbakary, Nawal Salama Gouda, Marwa S Badawi, Saad Elshafey, Hanan A Elgendy, Awwad Alenezy, Safya E Esmaeel, Eslam K Fahmy, Naglaa Mokhtar","doi":"10.4103/ijabmr.ijabmr_587_24","DOIUrl":null,"url":null,"abstract":"<p><strong>Background: </strong>Aflatoxin B1 (AFB1) is a mycotoxin generated by the fungi <i>Aspergillus flavus</i> and <i>Aspergillus parasiticus</i>, known for its potential to cause liver cancer and has been associated with several adverse health effects. It commonly contaminates cereals, peanuts, corn, and other crops, posing serious risks to both poultry and human health. One promising natural compound that has gained attention for its potential health benefits is resveratrol. The current research aims to explore the possible effect of resveratrol on AFB1-induced kidney damage in rats.</p><p><strong>Materials and methods: </strong>Forty adult male albino rats were evenly assigned into four groups: a control group, a group treated with resveratrol at a dosage of 10 mg/kg/day orally for 10 days, a group treated with AFB1 at a dosage of 1.5 mg/kg/day orally for 10 days and a group treated with both resveratrol and AFB1. After 10 days of treatment, renal tissues were processed for biochemical, gene expression, histopathological, and immunohistochemical investigations.</p><p><strong>Results: </strong>Administering resveratrol led to a reduction in serum creatinine, blood urea nitrogen, renal malondialdehyde concentrations, interleukin 6 gene expression, and the immunoreactivity of the proapoptotic protein (Bax). It also restored reduced glutathione levels, increased sirtuin 1 gene expression, and the immunoreactivity of the antiapoptotic protein (Bcl2). Furthermore, resveratrol improved the alterations in the histopathology in AFB1-treated group.</p><p><strong>Conclusions: </strong>Coadministration of resveratrol in AFB1 toxicity exhibited a significant ability to improve renal function through antioxidant, anti-inflammatory, and antiapoptotic mechanisms in experimentally induced renal damage by AFB1.</p>","PeriodicalId":13727,"journal":{"name":"International Journal of Applied and Basic Medical Research","volume":"15 3","pages":"206-212"},"PeriodicalIF":0.8000,"publicationDate":"2025-07-01","publicationTypes":"Journal Article","fieldsOfStudy":null,"isOpenAccess":false,"openAccessPdf":"https://www.ncbi.nlm.nih.gov/pmc/articles/PMC12422552/pdf/","citationCount":"0","resultStr":"{\"title\":\"Resveratrol Alleviates Aflatoxin B1-induced Renal Cortex Oxidative Stress and Apoptosis in Adult Male Albino Rats.\",\"authors\":\"Naglaa A Bayomy, Reda H Elbakary, Nawal Salama Gouda, Marwa S Badawi, Saad Elshafey, Hanan A Elgendy, Awwad Alenezy, Safya E Esmaeel, Eslam K Fahmy, Naglaa Mokhtar\",\"doi\":\"10.4103/ijabmr.ijabmr_587_24\",\"DOIUrl\":null,\"url\":null,\"abstract\":\"<p><strong>Background: </strong>Aflatoxin B1 (AFB1) is a mycotoxin generated by the fungi <i>Aspergillus flavus</i> and <i>Aspergillus parasiticus</i>, known for its potential to cause liver cancer and has been associated with several adverse health effects. It commonly contaminates cereals, peanuts, corn, and other crops, posing serious risks to both poultry and human health. One promising natural compound that has gained attention for its potential health benefits is resveratrol. The current research aims to explore the possible effect of resveratrol on AFB1-induced kidney damage in rats.</p><p><strong>Materials and methods: </strong>Forty adult male albino rats were evenly assigned into four groups: a control group, a group treated with resveratrol at a dosage of 10 mg/kg/day orally for 10 days, a group treated with AFB1 at a dosage of 1.5 mg/kg/day orally for 10 days and a group treated with both resveratrol and AFB1. After 10 days of treatment, renal tissues were processed for biochemical, gene expression, histopathological, and immunohistochemical investigations.</p><p><strong>Results: </strong>Administering resveratrol led to a reduction in serum creatinine, blood urea nitrogen, renal malondialdehyde concentrations, interleukin 6 gene expression, and the immunoreactivity of the proapoptotic protein (Bax). It also restored reduced glutathione levels, increased sirtuin 1 gene expression, and the immunoreactivity of the antiapoptotic protein (Bcl2). Furthermore, resveratrol improved the alterations in the histopathology in AFB1-treated group.</p><p><strong>Conclusions: </strong>Coadministration of resveratrol in AFB1 toxicity exhibited a significant ability to improve renal function through antioxidant, anti-inflammatory, and antiapoptotic mechanisms in experimentally induced renal damage by AFB1.</p>\",\"PeriodicalId\":13727,\"journal\":{\"name\":\"International Journal of Applied and Basic Medical Research\",\"volume\":\"15 3\",\"pages\":\"206-212\"},\"PeriodicalIF\":0.8000,\"publicationDate\":\"2025-07-01\",\"publicationTypes\":\"Journal Article\",\"fieldsOfStudy\":null,\"isOpenAccess\":false,\"openAccessPdf\":\"https://www.ncbi.nlm.nih.gov/pmc/articles/PMC12422552/pdf/\",\"citationCount\":\"0\",\"resultStr\":null,\"platform\":\"Semanticscholar\",\"paperid\":null,\"PeriodicalName\":\"International Journal of Applied and Basic Medical Research\",\"FirstCategoryId\":\"1085\",\"ListUrlMain\":\"https://doi.org/10.4103/ijabmr.ijabmr_587_24\",\"RegionNum\":0,\"RegionCategory\":null,\"ArticlePicture\":[],\"TitleCN\":null,\"AbstractTextCN\":null,\"PMCID\":null,\"EPubDate\":\"2025/8/20 0:00:00\",\"PubModel\":\"Epub\",\"JCR\":\"Q3\",\"JCRName\":\"MEDICINE, GENERAL & INTERNAL\",\"Score\":null,\"Total\":0}","platform":"Semanticscholar","paperid":null,"PeriodicalName":"International Journal of Applied and Basic Medical Research","FirstCategoryId":"1085","ListUrlMain":"https://doi.org/10.4103/ijabmr.ijabmr_587_24","RegionNum":0,"RegionCategory":null,"ArticlePicture":[],"TitleCN":null,"AbstractTextCN":null,"PMCID":null,"EPubDate":"2025/8/20 0:00:00","PubModel":"Epub","JCR":"Q3","JCRName":"MEDICINE, GENERAL & INTERNAL","Score":null,"Total":0}
引用次数: 0

摘要

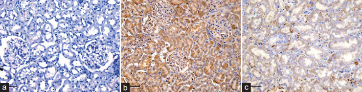
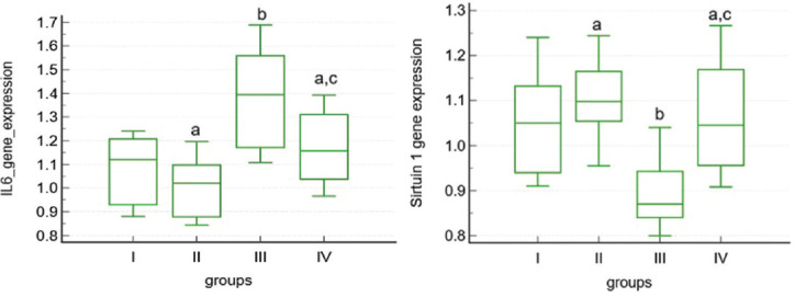
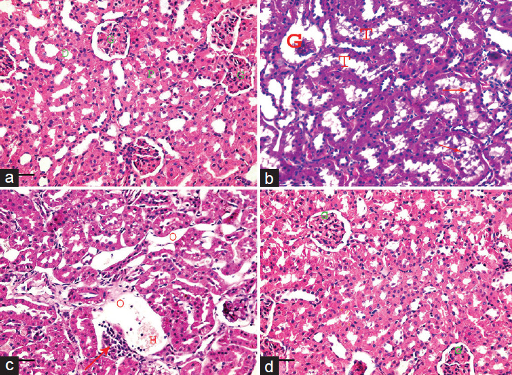
背景:黄曲霉毒素B1 (AFB1)是由真菌黄曲霉和寄生曲霉产生的一种霉菌毒素,以其可能导致肝癌而闻名,并与几种不良健康影响有关。它通常污染谷物、花生、玉米和其他作物,对家禽和人类健康构成严重风险。白藜芦醇是一种很有前途的天然化合物,因其潜在的健康益处而受到关注。本研究旨在探讨白藜芦醇对afb1所致大鼠肾损伤的可能影响。材料与方法:将40只成年雄性白化大鼠平均分为4组:对照组、白藜芦醇10mg /kg/d口服组、AFB1 1.5 mg/kg/d口服组、白藜芦醇和AFB1联合治疗组,连续10 d。治疗10天后,对肾组织进行生化、基因表达、组织病理学和免疫组织化学检查。结果:给予白藜芦醇导致血清肌酐、血尿素氮、肾丙二醛浓度、白细胞介素6基因表达和促凋亡蛋白(Bax)的免疫反应性降低。它还恢复了降低的谷胱甘肽水平,增加了sirtuin 1基因表达和抗凋亡蛋白(Bcl2)的免疫反应性。此外,白藜芦醇改善了afb1治疗组的组织病理学改变。结论:联合白藜芦醇治疗AFB1毒性可通过抗氧化、抗炎和抗凋亡机制显著改善AFB1实验性肾损伤的肾功能。
本文章由计算机程序翻译,如有差异,请以英文原文为准。

Resveratrol Alleviates Aflatoxin B1-induced Renal Cortex Oxidative Stress and Apoptosis in Adult Male Albino Rats.

Resveratrol Alleviates Aflatoxin B1-induced Renal Cortex Oxidative Stress and Apoptosis in Adult Male Albino Rats.

Resveratrol Alleviates Aflatoxin B1-induced Renal Cortex Oxidative Stress and Apoptosis in Adult Male Albino Rats.

Resveratrol Alleviates Aflatoxin B1-induced Renal Cortex Oxidative Stress and Apoptosis in Adult Male Albino Rats.

Background: Aflatoxin B1 (AFB1) is a mycotoxin generated by the fungi Aspergillus flavus and Aspergillus parasiticus, known for its potential to cause liver cancer and has been associated with several adverse health effects. It commonly contaminates cereals, peanuts, corn, and other crops, posing serious risks to both poultry and human health. One promising natural compound that has gained attention for its potential health benefits is resveratrol. The current research aims to explore the possible effect of resveratrol on AFB1-induced kidney damage in rats.

Materials and methods: Forty adult male albino rats were evenly assigned into four groups: a control group, a group treated with resveratrol at a dosage of 10 mg/kg/day orally for 10 days, a group treated with AFB1 at a dosage of 1.5 mg/kg/day orally for 10 days and a group treated with both resveratrol and AFB1. After 10 days of treatment, renal tissues were processed for biochemical, gene expression, histopathological, and immunohistochemical investigations.

Results: Administering resveratrol led to a reduction in serum creatinine, blood urea nitrogen, renal malondialdehyde concentrations, interleukin 6 gene expression, and the immunoreactivity of the proapoptotic protein (Bax). It also restored reduced glutathione levels, increased sirtuin 1 gene expression, and the immunoreactivity of the antiapoptotic protein (Bcl2). Furthermore, resveratrol improved the alterations in the histopathology in AFB1-treated group.

Conclusions: Coadministration of resveratrol in AFB1 toxicity exhibited a significant ability to improve renal function through antioxidant, anti-inflammatory, and antiapoptotic mechanisms in experimentally induced renal damage by AFB1.

求助全文
通过发布文献求助,成功后即可免费获取论文全文。 去求助
来源期刊
自引率
0.00%
发文量
46
×
引用
GB/T 7714-2015
复制
MLA
复制
APA
复制
导出至
BibTeX EndNote RefMan NoteFirst NoteExpress
×
提示
您的信息不完整,为了账户安全,请先补充。
现在去补充
×
提示
您因"违规操作"
具体请查看互助需知
我知道了
×
提示
确定
请完成安全验证×
copy
已复制链接
快去分享给好友吧!
我知道了
右上角分享
点击右上角分享
0
联系我们:info@booksci.cn Book学术提供免费学术资源搜索服务,方便国内外学者检索中英文文献。致力于提供最便捷和优质的服务体验。 Copyright © 2023 布克学术 All rights reserved.
京ICP备2023020795号-1
ghs 京公网安备 11010802042870号
Book学术文献互助
Book学术文献互助群
群 号:604180095
Book学术官方微信