内脏肥胖作为溃疡性结肠炎患者回肠袋可及性的预测因子:一项前瞻性单中心研究。

IF 2.3 3区 医学 Q2 GASTROENTEROLOGY & HEPATOLOGY
Yuki Horio, Motoi Uchino, Masato Kiriki, Yusuke Tomoo, Kazunori Nomura, Kentaro Nagano, Kurando Kusunoki, Ryuichi Kuwahara, Kei Kimura, Kozo Kataoka, Masataka Ikeda, Hiroki Ikeuchi
{"title":"内脏肥胖作为溃疡性结肠炎患者回肠袋可及性的预测因子:一项前瞻性单中心研究。","authors":"Yuki Horio, Motoi Uchino, Masato Kiriki, Yusuke Tomoo, Kazunori Nomura, Kentaro Nagano, Kurando Kusunoki, Ryuichi Kuwahara, Kei Kimura, Kozo Kataoka, Masataka Ikeda, Hiroki Ikeuchi","doi":"10.1007/s00384-025-04990-y","DOIUrl":null,"url":null,"abstract":"<p><strong>Aim: </strong>Obesity has been reported to increase the risk of technical inability in performing ileal pouch-anal anastomosis (IPAA) in patients with ulcerative colitis (UC). This study aimed to prospectively investigate the association between visceral fat and the feasibility of pouch reach in hand-sewn IPAA.</p><p><strong>Methods: </strong>We prospectively enrolled patients with UC scheduled for two-stage restorative proctocolectomy with a preoperative plan for hand-sewn IPAA. Patients were categorized into a conversion group that required conversion to stapled IPAA intraoperatively and a non-conversion group. Preoperative visceral fat area and anatomical indicators were measured using computed tomography (CT). Logistic regression analysis was performed to identify predictors of conversion surgery.</p><p><strong>Results: </strong>A total of 106 patients were included, with 12 (11.3%) in the conversion group. Compared with those in the non-conversion group, patients in the conversion group had significantly higher body mass index (BMI), greater visceral fat, and a longer distance between the ileal end and the anal verge (p < 0.01). Logistic regression identified visceral fat (per 10 cm<sup>2</sup> increase: odds ratio [OR] 1.19, 95% confidence interval [CI] 1.02-1.39, p = 0.01) as a significant predictor of conversion surgery, whereas BMI was not (OR 1.03, 95% CI 0.77-1.21, p = 0.72).</p><p><strong>Conclusions: </strong>Visceral fat is an independent risk factor for conversion surgery in patients undergoing hand-sewn IPAA. Preoperative CT-based measurement of visceral fat may provide a more accurate prediction of pouch reachability than BMI alone. These findings may help surgeons decide preoperatively whether a hand-sewn IPAA is feasible.</p>","PeriodicalId":13789,"journal":{"name":"International Journal of Colorectal Disease","volume":"40 1","pages":"197"},"PeriodicalIF":2.3000,"publicationDate":"2025-09-12","publicationTypes":"Journal Article","fieldsOfStudy":null,"isOpenAccess":false,"openAccessPdf":"https://www.ncbi.nlm.nih.gov/pmc/articles/PMC12431917/pdf/","citationCount":"0","resultStr":"{\"title\":\"Visceral obesity as a predictor of ileal pouch reachability in ulcerative colitis: A prospective single-center study.\",\"authors\":\"Yuki Horio, Motoi Uchino, Masato Kiriki, Yusuke Tomoo, Kazunori Nomura, Kentaro Nagano, Kurando Kusunoki, Ryuichi Kuwahara, Kei Kimura, Kozo Kataoka, Masataka Ikeda, Hiroki Ikeuchi\",\"doi\":\"10.1007/s00384-025-04990-y\",\"DOIUrl\":null,\"url\":null,\"abstract\":\"<p><strong>Aim: </strong>Obesity has been reported to increase the risk of technical inability in performing ileal pouch-anal anastomosis (IPAA) in patients with ulcerative colitis (UC). This study aimed to prospectively investigate the association between visceral fat and the feasibility of pouch reach in hand-sewn IPAA.</p><p><strong>Methods: </strong>We prospectively enrolled patients with UC scheduled for two-stage restorative proctocolectomy with a preoperative plan for hand-sewn IPAA. Patients were categorized into a conversion group that required conversion to stapled IPAA intraoperatively and a non-conversion group. Preoperative visceral fat area and anatomical indicators were measured using computed tomography (CT). Logistic regression analysis was performed to identify predictors of conversion surgery.</p><p><strong>Results: </strong>A total of 106 patients were included, with 12 (11.3%) in the conversion group. Compared with those in the non-conversion group, patients in the conversion group had significantly higher body mass index (BMI), greater visceral fat, and a longer distance between the ileal end and the anal verge (p < 0.01). Logistic regression identified visceral fat (per 10 cm<sup>2</sup> increase: odds ratio [OR] 1.19, 95% confidence interval [CI] 1.02-1.39, p = 0.01) as a significant predictor of conversion surgery, whereas BMI was not (OR 1.03, 95% CI 0.77-1.21, p = 0.72).</p><p><strong>Conclusions: </strong>Visceral fat is an independent risk factor for conversion surgery in patients undergoing hand-sewn IPAA. Preoperative CT-based measurement of visceral fat may provide a more accurate prediction of pouch reachability than BMI alone. These findings may help surgeons decide preoperatively whether a hand-sewn IPAA is feasible.</p>\",\"PeriodicalId\":13789,\"journal\":{\"name\":\"International Journal of Colorectal Disease\",\"volume\":\"40 1\",\"pages\":\"197\"},\"PeriodicalIF\":2.3000,\"publicationDate\":\"2025-09-12\",\"publicationTypes\":\"Journal Article\",\"fieldsOfStudy\":null,\"isOpenAccess\":false,\"openAccessPdf\":\"https://www.ncbi.nlm.nih.gov/pmc/articles/PMC12431917/pdf/\",\"citationCount\":\"0\",\"resultStr\":null,\"platform\":\"Semanticscholar\",\"paperid\":null,\"PeriodicalName\":\"International Journal of Colorectal Disease\",\"FirstCategoryId\":\"3\",\"ListUrlMain\":\"https://doi.org/10.1007/s00384-025-04990-y\",\"RegionNum\":3,\"RegionCategory\":\"医学\",\"ArticlePicture\":[],\"TitleCN\":null,\"AbstractTextCN\":null,\"PMCID\":null,\"EPubDate\":\"\",\"PubModel\":\"\",\"JCR\":\"Q2\",\"JCRName\":\"GASTROENTEROLOGY & HEPATOLOGY\",\"Score\":null,\"Total\":0}","platform":"Semanticscholar","paperid":null,"PeriodicalName":"International Journal of Colorectal Disease","FirstCategoryId":"3","ListUrlMain":"https://doi.org/10.1007/s00384-025-04990-y","RegionNum":3,"RegionCategory":"医学","ArticlePicture":[],"TitleCN":null,"AbstractTextCN":null,"PMCID":null,"EPubDate":"","PubModel":"","JCR":"Q2","JCRName":"GASTROENTEROLOGY & HEPATOLOGY","Score":null,"Total":0}
引用次数: 0

摘要

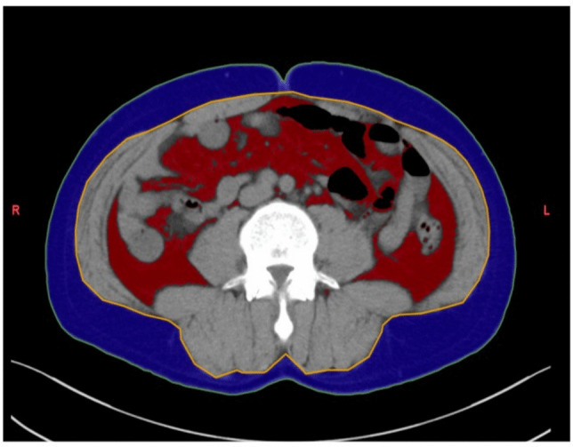
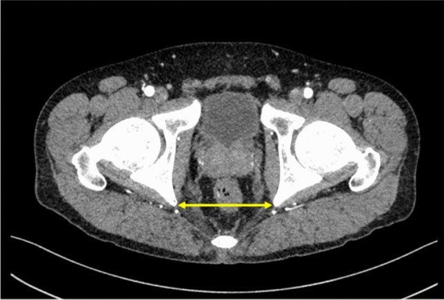
目的:肥胖增加了溃疡性结肠炎(UC)患者进行回肠袋-肛门吻合术(IPAA)的技术障碍的风险。本研究旨在前瞻性地探讨手缝IPAA中内脏脂肪与育儿袋到达的可行性之间的关系。方法:我们前瞻性地纳入UC患者,计划行两期恢复性直结肠切除术,术前计划手工缝合IPAA。患者被分为术中需要转换成钉状IPAA的转换组和非转换组。术前采用计算机断层扫描(CT)测量内脏脂肪面积和解剖指标。进行逻辑回归分析以确定转换手术的预测因素。结果:共纳入106例患者,其中转换组12例(11.3%)。与非转换组相比,转换组患者的体重指数(BMI)明显较高,内脏脂肪较多,回肠末端和肛门边缘之间的距离较长(p 2增加:优势比[OR] 1.19, 95%可信区间[CI] 1.02-1.39, p = 0.01),这是转换手术的重要预测因素,而BMI则不是(OR 1.03, 95% CI 0.77-1.21, p = 0.72)。结论:内脏脂肪是手工缝制IPAA患者进行转换手术的独立危险因素。术前基于ct的内脏脂肪测量可能比单独BMI更准确地预测眼袋可及性。这些发现可以帮助外科医生术前决定手工缝制IPAA是否可行。
本文章由计算机程序翻译,如有差异,请以英文原文为准。

Visceral obesity as a predictor of ileal pouch reachability in ulcerative colitis: A prospective single-center study.

Visceral obesity as a predictor of ileal pouch reachability in ulcerative colitis: A prospective single-center study.

Visceral obesity as a predictor of ileal pouch reachability in ulcerative colitis: A prospective single-center study.

Visceral obesity as a predictor of ileal pouch reachability in ulcerative colitis: A prospective single-center study.

Aim: Obesity has been reported to increase the risk of technical inability in performing ileal pouch-anal anastomosis (IPAA) in patients with ulcerative colitis (UC). This study aimed to prospectively investigate the association between visceral fat and the feasibility of pouch reach in hand-sewn IPAA.

Methods: We prospectively enrolled patients with UC scheduled for two-stage restorative proctocolectomy with a preoperative plan for hand-sewn IPAA. Patients were categorized into a conversion group that required conversion to stapled IPAA intraoperatively and a non-conversion group. Preoperative visceral fat area and anatomical indicators were measured using computed tomography (CT). Logistic regression analysis was performed to identify predictors of conversion surgery.

Results: A total of 106 patients were included, with 12 (11.3%) in the conversion group. Compared with those in the non-conversion group, patients in the conversion group had significantly higher body mass index (BMI), greater visceral fat, and a longer distance between the ileal end and the anal verge (p < 0.01). Logistic regression identified visceral fat (per 10 cm2 increase: odds ratio [OR] 1.19, 95% confidence interval [CI] 1.02-1.39, p = 0.01) as a significant predictor of conversion surgery, whereas BMI was not (OR 1.03, 95% CI 0.77-1.21, p = 0.72).

Conclusions: Visceral fat is an independent risk factor for conversion surgery in patients undergoing hand-sewn IPAA. Preoperative CT-based measurement of visceral fat may provide a more accurate prediction of pouch reachability than BMI alone. These findings may help surgeons decide preoperatively whether a hand-sewn IPAA is feasible.

求助全文
通过发布文献求助,成功后即可免费获取论文全文。 去求助
来源期刊
CiteScore
4.90
自引率
3.60%
发文量
206
审稿时长
3-8 weeks
期刊介绍: The International Journal of Colorectal Disease, Clinical and Molecular Gastroenterology and Surgery aims to publish novel and state-of-the-art papers which deal with the physiology and pathophysiology of diseases involving the entire gastrointestinal tract. In addition to original research articles, the following categories will be included: reviews (usually commissioned but may also be submitted), case reports, letters to the editor, and protocols on clinical studies. The journal offers its readers an interdisciplinary forum for clinical science and molecular research related to gastrointestinal disease.
×
引用
GB/T 7714-2015
复制
MLA
复制
APA
复制
导出至
BibTeX EndNote RefMan NoteFirst NoteExpress
×
提示
您的信息不完整,为了账户安全,请先补充。
现在去补充
×
提示
您因"违规操作"
具体请查看互助需知
我知道了
×
提示
确定
请完成安全验证×
copy
已复制链接
快去分享给好友吧!
我知道了
右上角分享
点击右上角分享
0
联系我们:info@booksci.cn Book学术提供免费学术资源搜索服务,方便国内外学者检索中英文文献。致力于提供最便捷和优质的服务体验。 Copyright © 2023 布克学术 All rights reserved.
京ICP备2023020795号-1
ghs 京公网安备 11010802042870号
Book学术文献互助
Book学术文献互助群
群 号:604180095
Book学术官方微信