妊娠期先天性异常纤维蛋白原血症和抗磷脂综合征共存一例报告。

IF 2.6 4区 医学 Q2 OBSTETRICS & GYNECOLOGY
International Journal of Women's Health Pub Date : 2025-09-04 eCollection Date: 2025-01-01 DOI:10.2147/IJWH.S528071
Zi Wang, Su Mao, Shujie Wang, Wen Zhang, Congwei Jia, Tienan Zhu
{"title":"妊娠期先天性异常纤维蛋白原血症和抗磷脂综合征共存一例报告。","authors":"Zi Wang, Su Mao, Shujie Wang, Wen Zhang, Congwei Jia, Tienan Zhu","doi":"10.2147/IJWH.S528071","DOIUrl":null,"url":null,"abstract":"<p><p>Congenital dysfibrinogenemia (CD) and antiphospholipid syndrome (APS) are two distinct thrombotic disorders that can have significant clinical implications, especially in pregnancy. CD is a rare inherited condition caused by mutations in fibrinogen genes, leading to abnormal fibrin polymerization and fibrinolysis, and causes bleeding tendencies, thrombosis and pregnancy complications. APS, an acquired autoimmune disorder, increases the risk of recurrent thrombosis and adverse pregnancy outcomes, such as miscarriages and stillbirths. This report describes a 35-year-old woman with genetically confirmed congenital dysfibrinogenemia (CD) (heterozygous FGG c.1001A>C) who subsequently developed antiphospholipid syndrome (APS). Notably, although lupus anticoagulant and β2GP1-IgM positivity were present since 2017, APS remained undiagnosed until 2023, following her third miscarriage. In retrospect, she fulfilled the Sydney criteria with recurrent early pregnancy loss, persistent antibodies, and livedo reticularis. During her successful pregnancy in 2021, management focused exclusively on CD: fibrinogen levels were monitored (0.47-0.98 g/L), and fibrinogen concentrate was administered during cesarean delivery due to fetal growth restriction. This resulted in a live infant birth, despite the later recognition of placental thrombosis as APS pathology. This case highlights how CD may mask the diagnosis of APS. The aunt's uneventful pregnancy, with the same FGG mutation but no APS, confirms CD's limited obstetric impact. The delayed APS recognition underscores the importance of reevaluating antiphospholipid status in CD patients experiencing new thrombotic or obstetric events. However, the management of combined CD and APS remains theoretical.</p>","PeriodicalId":14356,"journal":{"name":"International Journal of Women's Health","volume":"17 ","pages":"2885-2890"},"PeriodicalIF":2.6000,"publicationDate":"2025-09-04","publicationTypes":"Journal Article","fieldsOfStudy":null,"isOpenAccess":false,"openAccessPdf":"https://www.ncbi.nlm.nih.gov/pmc/articles/PMC12417704/pdf/","citationCount":"0","resultStr":"{\"title\":\"Coexistence of Congenital Dysfibrinogenemia and Antiphospholipid Syndrome in Pregnancy: A Case Report.\",\"authors\":\"Zi Wang, Su Mao, Shujie Wang, Wen Zhang, Congwei Jia, Tienan Zhu\",\"doi\":\"10.2147/IJWH.S528071\",\"DOIUrl\":null,\"url\":null,\"abstract\":\"<p><p>Congenital dysfibrinogenemia (CD) and antiphospholipid syndrome (APS) are two distinct thrombotic disorders that can have significant clinical implications, especially in pregnancy. CD is a rare inherited condition caused by mutations in fibrinogen genes, leading to abnormal fibrin polymerization and fibrinolysis, and causes bleeding tendencies, thrombosis and pregnancy complications. APS, an acquired autoimmune disorder, increases the risk of recurrent thrombosis and adverse pregnancy outcomes, such as miscarriages and stillbirths. This report describes a 35-year-old woman with genetically confirmed congenital dysfibrinogenemia (CD) (heterozygous FGG c.1001A>C) who subsequently developed antiphospholipid syndrome (APS). Notably, although lupus anticoagulant and β2GP1-IgM positivity were present since 2017, APS remained undiagnosed until 2023, following her third miscarriage. In retrospect, she fulfilled the Sydney criteria with recurrent early pregnancy loss, persistent antibodies, and livedo reticularis. During her successful pregnancy in 2021, management focused exclusively on CD: fibrinogen levels were monitored (0.47-0.98 g/L), and fibrinogen concentrate was administered during cesarean delivery due to fetal growth restriction. This resulted in a live infant birth, despite the later recognition of placental thrombosis as APS pathology. This case highlights how CD may mask the diagnosis of APS. The aunt's uneventful pregnancy, with the same FGG mutation but no APS, confirms CD's limited obstetric impact. The delayed APS recognition underscores the importance of reevaluating antiphospholipid status in CD patients experiencing new thrombotic or obstetric events. However, the management of combined CD and APS remains theoretical.</p>\",\"PeriodicalId\":14356,\"journal\":{\"name\":\"International Journal of Women's Health\",\"volume\":\"17 \",\"pages\":\"2885-2890\"},\"PeriodicalIF\":2.6000,\"publicationDate\":\"2025-09-04\",\"publicationTypes\":\"Journal Article\",\"fieldsOfStudy\":null,\"isOpenAccess\":false,\"openAccessPdf\":\"https://www.ncbi.nlm.nih.gov/pmc/articles/PMC12417704/pdf/\",\"citationCount\":\"0\",\"resultStr\":null,\"platform\":\"Semanticscholar\",\"paperid\":null,\"PeriodicalName\":\"International Journal of Women's Health\",\"FirstCategoryId\":\"3\",\"ListUrlMain\":\"https://doi.org/10.2147/IJWH.S528071\",\"RegionNum\":4,\"RegionCategory\":\"医学\",\"ArticlePicture\":[],\"TitleCN\":null,\"AbstractTextCN\":null,\"PMCID\":null,\"EPubDate\":\"2025/1/1 0:00:00\",\"PubModel\":\"eCollection\",\"JCR\":\"Q2\",\"JCRName\":\"OBSTETRICS & GYNECOLOGY\",\"Score\":null,\"Total\":0}","platform":"Semanticscholar","paperid":null,"PeriodicalName":"International Journal of Women's Health","FirstCategoryId":"3","ListUrlMain":"https://doi.org/10.2147/IJWH.S528071","RegionNum":4,"RegionCategory":"医学","ArticlePicture":[],"TitleCN":null,"AbstractTextCN":null,"PMCID":null,"EPubDate":"2025/1/1 0:00:00","PubModel":"eCollection","JCR":"Q2","JCRName":"OBSTETRICS & GYNECOLOGY","Score":null,"Total":0}
引用次数: 0

摘要

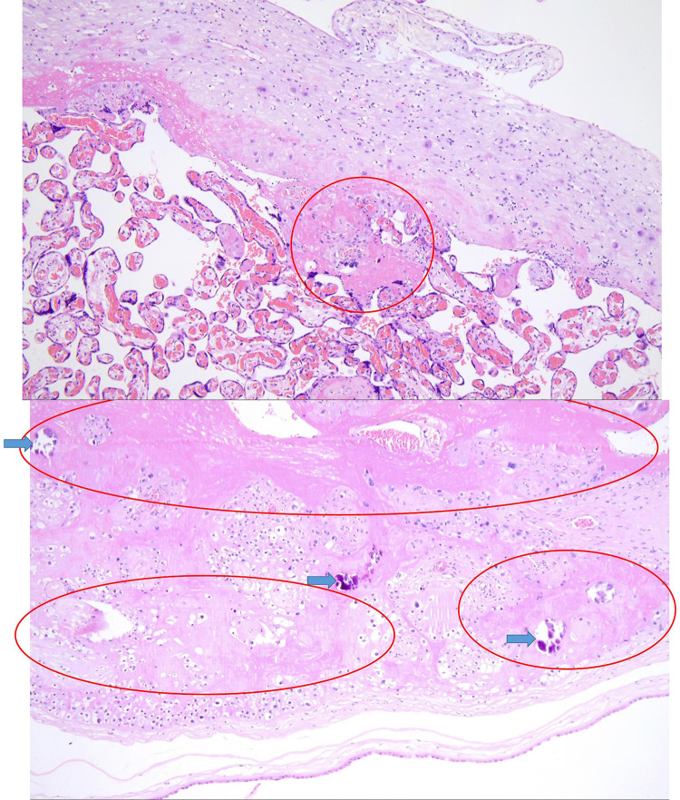
先天性纤维蛋白异常血症(CD)和抗磷脂综合征(APS)是两种不同的血栓性疾病,可具有显著的临床意义,特别是在妊娠期。乳糜泻是一种罕见的遗传性疾病,由纤维蛋白原基因突变引起纤维蛋白聚合和纤维蛋白溶解异常,可引起出血倾向、血栓形成和妊娠并发症。APS是一种获得性自身免疫性疾病,会增加复发性血栓形成和不良妊娠结局(如流产和死胎)的风险。本报告描述了一名35岁女性,遗传证实患有先天性纤维蛋白异常原血症(CD)(杂合型FGG C . 1001a >C),随后发展为抗磷脂综合征(APS)。值得注意的是,尽管自2017年以来一直存在狼疮抗凝血剂和β2GP1-IgM阳性,但直到2023年,在她第三次流产后,APS才被诊断出来。回想起来,她符合悉尼标准,复发性早期妊娠丢失,持续抗体和网状红斑。在她于2021年成功怀孕期间,管理专注于CD:监测纤维蛋白原水平(0.47-0.98 g/L),由于胎儿生长受限,在剖宫产时给予浓缩纤维蛋白原。这导致了一个活的婴儿出生,尽管后来认识到胎盘血栓形成为APS病理。本病例突出了乳糜泻如何掩盖APS的诊断。姑母的怀孕很顺利,有相同的FGG突变,但没有APS,证实了乳糜泻对产科的影响有限。延迟的APS识别强调了在经历新血栓或产科事件的CD患者中重新评估抗磷脂状态的重要性。然而,CD和APS联合治疗仍停留在理论阶段。
本文章由计算机程序翻译,如有差异,请以英文原文为准。

Coexistence of Congenital Dysfibrinogenemia and Antiphospholipid Syndrome in Pregnancy: A Case Report.

Coexistence of Congenital Dysfibrinogenemia and Antiphospholipid Syndrome in Pregnancy: A Case Report.

Coexistence of Congenital Dysfibrinogenemia and Antiphospholipid Syndrome in Pregnancy: A Case Report.

Congenital dysfibrinogenemia (CD) and antiphospholipid syndrome (APS) are two distinct thrombotic disorders that can have significant clinical implications, especially in pregnancy. CD is a rare inherited condition caused by mutations in fibrinogen genes, leading to abnormal fibrin polymerization and fibrinolysis, and causes bleeding tendencies, thrombosis and pregnancy complications. APS, an acquired autoimmune disorder, increases the risk of recurrent thrombosis and adverse pregnancy outcomes, such as miscarriages and stillbirths. This report describes a 35-year-old woman with genetically confirmed congenital dysfibrinogenemia (CD) (heterozygous FGG c.1001A>C) who subsequently developed antiphospholipid syndrome (APS). Notably, although lupus anticoagulant and β2GP1-IgM positivity were present since 2017, APS remained undiagnosed until 2023, following her third miscarriage. In retrospect, she fulfilled the Sydney criteria with recurrent early pregnancy loss, persistent antibodies, and livedo reticularis. During her successful pregnancy in 2021, management focused exclusively on CD: fibrinogen levels were monitored (0.47-0.98 g/L), and fibrinogen concentrate was administered during cesarean delivery due to fetal growth restriction. This resulted in a live infant birth, despite the later recognition of placental thrombosis as APS pathology. This case highlights how CD may mask the diagnosis of APS. The aunt's uneventful pregnancy, with the same FGG mutation but no APS, confirms CD's limited obstetric impact. The delayed APS recognition underscores the importance of reevaluating antiphospholipid status in CD patients experiencing new thrombotic or obstetric events. However, the management of combined CD and APS remains theoretical.

求助全文
通过发布文献求助,成功后即可免费获取论文全文。 去求助
来源期刊
International Journal of Women's Health
International Journal of Women's Health OBSTETRICS & GYNECOLOGY-
CiteScore
3.70
自引率
0.00%
发文量
194
审稿时长
16 weeks
期刊介绍: International Journal of Women''s Health is an international, peer-reviewed, open access, online journal. Publishing original research, reports, editorials, reviews and commentaries on all aspects of women''s healthcare including gynecology, obstetrics, and breast cancer. Subject areas include: Chronic conditions including cancers of various organs specific and not specific to women Migraine, headaches, arthritis, osteoporosis Endocrine and autoimmune syndromes - asthma, multiple sclerosis, lupus, diabetes Sexual and reproductive health including fertility patterns and emerging technologies to address infertility Infectious disease with chronic sequelae including HIV/AIDS, HPV, PID, and other STDs Psychological and psychosocial conditions - depression across the life span, substance abuse, domestic violence Health maintenance among aging females - factors affecting the quality of life including physical, social and mental issues Avenues for health promotion and disease prevention across the life span Male vs female incidence comparisons for conditions that affect both genders.
×
引用
GB/T 7714-2015
复制
MLA
复制
APA
复制
导出至
BibTeX EndNote RefMan NoteFirst NoteExpress
×
提示
您的信息不完整,为了账户安全,请先补充。
现在去补充
×
提示
您因"违规操作"
具体请查看互助需知
我知道了
×
提示
确定
请完成安全验证×
copy
已复制链接
快去分享给好友吧!
我知道了
右上角分享
点击右上角分享
0
联系我们:info@booksci.cn Book学术提供免费学术资源搜索服务,方便国内外学者检索中英文文献。致力于提供最便捷和优质的服务体验。 Copyright © 2023 布克学术 All rights reserved.
京ICP备2023020795号-1
ghs 京公网安备 11010802042870号
Book学术文献互助
Book学术文献互助群
群 号:604180095
Book学术官方微信