双侧动眼神经麻痹:急性基底动脉闭塞桥式溶栓治疗的罕见并发症。

IF 0.7 Q3 MEDICINE, GENERAL & INTERNAL
International Medical Case Reports Journal Pub Date : 2025-09-04 eCollection Date: 2025-01-01 DOI:10.2147/IMCRJ.S532206
Shuangyun Lv, Ronghui Liu, Jiapeng Sun, Hongmei Liu, Xin Guo, Changxia Ding
{"title":"双侧动眼神经麻痹:急性基底动脉闭塞桥式溶栓治疗的罕见并发症。","authors":"Shuangyun Lv, Ronghui Liu, Jiapeng Sun, Hongmei Liu, Xin Guo, Changxia Ding","doi":"10.2147/IMCRJ.S532206","DOIUrl":null,"url":null,"abstract":"<p><p>Acute vertebrobasilar artery occlusion (AVBAO) accounts for only 1-2% of ischemic stroke, but it has high disability and mortality rates. Mechanical thrombectomy (MT) combined with intravenous thrombolysis can quickly achieve vascular recanalization and significantly improve patient prognosis. This report describes a 73-year-old male who was admitted to the hospital in a coma due to AVBAO. After MT, successful recanalization of the basilar artery was achieved; however, the patient subsequently developed the rare but serious complication of bilateral oculomotor nerve palsy. The report emphasizes the need for careful preoperative planning, including detailed assessment of vascular anatomy and thrombus characteristics, and the importance of operator expertise. Improved intraoperative technique and close postoperative monitoring may help prevent complications such as vessel injury or embolic recurrence. Additionally, clinicians should be aware of the limitations of early DWI (Diffusion-weighted imaging) in detecting brainstem infarcts and of the need for clinical vigilance in the postoperative period.</p>","PeriodicalId":14337,"journal":{"name":"International Medical Case Reports Journal","volume":"18 ","pages":"1141-1146"},"PeriodicalIF":0.7000,"publicationDate":"2025-09-04","publicationTypes":"Journal Article","fieldsOfStudy":null,"isOpenAccess":false,"openAccessPdf":"https://www.ncbi.nlm.nih.gov/pmc/articles/PMC12417586/pdf/","citationCount":"0","resultStr":"{\"title\":\"Bilateral Oculomotor Nerve Palsy: A Rare Complication of Bridging Thrombolysis for Acute Basilar Artery Occlusion.\",\"authors\":\"Shuangyun Lv, Ronghui Liu, Jiapeng Sun, Hongmei Liu, Xin Guo, Changxia Ding\",\"doi\":\"10.2147/IMCRJ.S532206\",\"DOIUrl\":null,\"url\":null,\"abstract\":\"<p><p>Acute vertebrobasilar artery occlusion (AVBAO) accounts for only 1-2% of ischemic stroke, but it has high disability and mortality rates. Mechanical thrombectomy (MT) combined with intravenous thrombolysis can quickly achieve vascular recanalization and significantly improve patient prognosis. This report describes a 73-year-old male who was admitted to the hospital in a coma due to AVBAO. After MT, successful recanalization of the basilar artery was achieved; however, the patient subsequently developed the rare but serious complication of bilateral oculomotor nerve palsy. The report emphasizes the need for careful preoperative planning, including detailed assessment of vascular anatomy and thrombus characteristics, and the importance of operator expertise. Improved intraoperative technique and close postoperative monitoring may help prevent complications such as vessel injury or embolic recurrence. Additionally, clinicians should be aware of the limitations of early DWI (Diffusion-weighted imaging) in detecting brainstem infarcts and of the need for clinical vigilance in the postoperative period.</p>\",\"PeriodicalId\":14337,\"journal\":{\"name\":\"International Medical Case Reports Journal\",\"volume\":\"18 \",\"pages\":\"1141-1146\"},\"PeriodicalIF\":0.7000,\"publicationDate\":\"2025-09-04\",\"publicationTypes\":\"Journal Article\",\"fieldsOfStudy\":null,\"isOpenAccess\":false,\"openAccessPdf\":\"https://www.ncbi.nlm.nih.gov/pmc/articles/PMC12417586/pdf/\",\"citationCount\":\"0\",\"resultStr\":null,\"platform\":\"Semanticscholar\",\"paperid\":null,\"PeriodicalName\":\"International Medical Case Reports Journal\",\"FirstCategoryId\":\"1085\",\"ListUrlMain\":\"https://doi.org/10.2147/IMCRJ.S532206\",\"RegionNum\":0,\"RegionCategory\":null,\"ArticlePicture\":[],\"TitleCN\":null,\"AbstractTextCN\":null,\"PMCID\":null,\"EPubDate\":\"2025/1/1 0:00:00\",\"PubModel\":\"eCollection\",\"JCR\":\"Q3\",\"JCRName\":\"MEDICINE, GENERAL & INTERNAL\",\"Score\":null,\"Total\":0}","platform":"Semanticscholar","paperid":null,"PeriodicalName":"International Medical Case Reports Journal","FirstCategoryId":"1085","ListUrlMain":"https://doi.org/10.2147/IMCRJ.S532206","RegionNum":0,"RegionCategory":null,"ArticlePicture":[],"TitleCN":null,"AbstractTextCN":null,"PMCID":null,"EPubDate":"2025/1/1 0:00:00","PubModel":"eCollection","JCR":"Q3","JCRName":"MEDICINE, GENERAL & INTERNAL","Score":null,"Total":0}
引用次数: 0

摘要

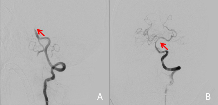
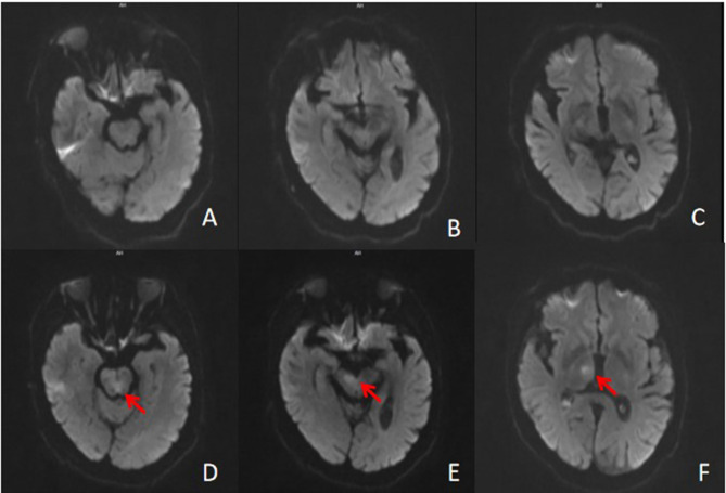
急性椎基底动脉闭塞(AVBAO)仅占缺血性卒中的1-2%,但致残率和死亡率高。机械取栓联合静脉溶栓可快速实现血管再通,显著改善患者预后。本报告描述一名73岁男性因AVBAO昏迷入院。MT后,基底动脉再通成功;然而,患者随后发展为罕见但严重的双侧动眼神经麻痹并发症。该报告强调需要仔细的术前计划,包括血管解剖和血栓特征的详细评估,以及操作人员专业知识的重要性。改进术中技术和密切的术后监测可能有助于预防并发症,如血管损伤或栓塞复发。此外,临床医生应该意识到早期DWI(弥散加权成像)在检测脑干梗死方面的局限性,以及术后临床警惕的必要性。
本文章由计算机程序翻译,如有差异,请以英文原文为准。

Bilateral Oculomotor Nerve Palsy: A Rare Complication of Bridging Thrombolysis for Acute Basilar Artery Occlusion.

Bilateral Oculomotor Nerve Palsy: A Rare Complication of Bridging Thrombolysis for Acute Basilar Artery Occlusion.

Bilateral Oculomotor Nerve Palsy: A Rare Complication of Bridging Thrombolysis for Acute Basilar Artery Occlusion.

Bilateral Oculomotor Nerve Palsy: A Rare Complication of Bridging Thrombolysis for Acute Basilar Artery Occlusion.

Acute vertebrobasilar artery occlusion (AVBAO) accounts for only 1-2% of ischemic stroke, but it has high disability and mortality rates. Mechanical thrombectomy (MT) combined with intravenous thrombolysis can quickly achieve vascular recanalization and significantly improve patient prognosis. This report describes a 73-year-old male who was admitted to the hospital in a coma due to AVBAO. After MT, successful recanalization of the basilar artery was achieved; however, the patient subsequently developed the rare but serious complication of bilateral oculomotor nerve palsy. The report emphasizes the need for careful preoperative planning, including detailed assessment of vascular anatomy and thrombus characteristics, and the importance of operator expertise. Improved intraoperative technique and close postoperative monitoring may help prevent complications such as vessel injury or embolic recurrence. Additionally, clinicians should be aware of the limitations of early DWI (Diffusion-weighted imaging) in detecting brainstem infarcts and of the need for clinical vigilance in the postoperative period.

求助全文
通过发布文献求助,成功后即可免费获取论文全文。 去求助
来源期刊
International Medical Case Reports Journal
International Medical Case Reports Journal MEDICINE, GENERAL & INTERNAL-
CiteScore
1.40
自引率
0.00%
发文量
135
审稿时长
16 weeks
期刊介绍: International Medical Case Reports Journal is an international, peer-reviewed, open access, online journal publishing original case reports from all medical specialties. Submissions should not normally exceed 3,000 words or 4 published pages including figures, diagrams and references. As of 1st April 2019, the International Medical Case Reports Journal will no longer consider meta-analyses for publication.
×
引用
GB/T 7714-2015
复制
MLA
复制
APA
复制
导出至
BibTeX EndNote RefMan NoteFirst NoteExpress
×
提示
您的信息不完整,为了账户安全,请先补充。
现在去补充
×
提示
您因"违规操作"
具体请查看互助需知
我知道了
×
提示
确定
请完成安全验证×
copy
已复制链接
快去分享给好友吧!
我知道了
右上角分享
点击右上角分享
0
联系我们:info@booksci.cn Book学术提供免费学术资源搜索服务,方便国内外学者检索中英文文献。致力于提供最便捷和优质的服务体验。 Copyright © 2023 布克学术 All rights reserved.
京ICP备2023020795号-1
ghs 京公网安备 11010802042870号
Book学术文献互助
Book学术文献互助群
群 号:604180095
Book学术官方微信