13岁男孩的环状胰腺:先天性异常的延迟临床表现突出了诊断的挑战。

IF 0.7 Q3 MEDICINE, GENERAL & INTERNAL
International Medical Case Reports Journal Pub Date : 2025-09-05 eCollection Date: 2025-01-01 DOI:10.2147/IMCRJ.S549637
Said Sheikh Mohamed, Ahmed Omer Mead, Abdifatah Osman Nur
{"title":"13岁男孩的环状胰腺:先天性异常的延迟临床表现突出了诊断的挑战。","authors":"Said Sheikh Mohamed, Ahmed Omer Mead, Abdifatah Osman Nur","doi":"10.2147/IMCRJ.S549637","DOIUrl":null,"url":null,"abstract":"<p><strong>Introduction: </strong>The annular pancreas is a rare congenital anomaly that typically results in duodenal obstruction during the neonatal period. However, its presentation can be variable, with some cases remaining undiagnosed until adolescence and posing diagnostic challenges, especially in low-resource settings where advanced imaging may be limited.</p><p><strong>Case presentation: </strong>We report the case of a 13-year-old boy with a three-year history of recurrent non-bilious projectile vomiting and epigastric pain. Despite normal laboratory findings, plain computed tomography (CT) and post-intravenous (IV) contrast CT scans revealed features suggestive of gastric outlet obstruction, including significant stomach distention and abrupt tapering of the duodenum. Owing to the inconclusive imaging results, surgical exploration was pursued. Intraoperative findings confirmed the presence of a band of pancreatic tissue encircling the first part of the duodenum, thereby establishing the diagnosis of an annular pancreas. A gastroduodenostomy was successfully performed, resulting in an uneventful recovery and resolution of symptoms during subsequent follow-up.</p><p><strong>Conclusion: </strong>This case underscores the importance of maintaining a high index of suspicion for the annular pancreas in patients presenting with chronic gastrointestinal symptoms. Although imaging modalities provide valuable clues, surgical exploration remains the gold standard for achieving a definitive diagnosis when findings are ambiguous. The successful surgical management of this patient underscores the crucial role of timely intervention, particularly in settings with limited diagnostic resources.</p>","PeriodicalId":14337,"journal":{"name":"International Medical Case Reports Journal","volume":"18 ","pages":"1153-1158"},"PeriodicalIF":0.7000,"publicationDate":"2025-09-05","publicationTypes":"Journal Article","fieldsOfStudy":null,"isOpenAccess":false,"openAccessPdf":"https://www.ncbi.nlm.nih.gov/pmc/articles/PMC12419215/pdf/","citationCount":"0","resultStr":"{\"title\":\"Annular Pancreas in a 13-Year-Old Boy: A Delayed Clinical Presentation of a Congenital Anomaly Highlighting Challenges of Diagnosis.\",\"authors\":\"Said Sheikh Mohamed, Ahmed Omer Mead, Abdifatah Osman Nur\",\"doi\":\"10.2147/IMCRJ.S549637\",\"DOIUrl\":null,\"url\":null,\"abstract\":\"<p><strong>Introduction: </strong>The annular pancreas is a rare congenital anomaly that typically results in duodenal obstruction during the neonatal period. However, its presentation can be variable, with some cases remaining undiagnosed until adolescence and posing diagnostic challenges, especially in low-resource settings where advanced imaging may be limited.</p><p><strong>Case presentation: </strong>We report the case of a 13-year-old boy with a three-year history of recurrent non-bilious projectile vomiting and epigastric pain. Despite normal laboratory findings, plain computed tomography (CT) and post-intravenous (IV) contrast CT scans revealed features suggestive of gastric outlet obstruction, including significant stomach distention and abrupt tapering of the duodenum. Owing to the inconclusive imaging results, surgical exploration was pursued. Intraoperative findings confirmed the presence of a band of pancreatic tissue encircling the first part of the duodenum, thereby establishing the diagnosis of an annular pancreas. A gastroduodenostomy was successfully performed, resulting in an uneventful recovery and resolution of symptoms during subsequent follow-up.</p><p><strong>Conclusion: </strong>This case underscores the importance of maintaining a high index of suspicion for the annular pancreas in patients presenting with chronic gastrointestinal symptoms. Although imaging modalities provide valuable clues, surgical exploration remains the gold standard for achieving a definitive diagnosis when findings are ambiguous. The successful surgical management of this patient underscores the crucial role of timely intervention, particularly in settings with limited diagnostic resources.</p>\",\"PeriodicalId\":14337,\"journal\":{\"name\":\"International Medical Case Reports Journal\",\"volume\":\"18 \",\"pages\":\"1153-1158\"},\"PeriodicalIF\":0.7000,\"publicationDate\":\"2025-09-05\",\"publicationTypes\":\"Journal Article\",\"fieldsOfStudy\":null,\"isOpenAccess\":false,\"openAccessPdf\":\"https://www.ncbi.nlm.nih.gov/pmc/articles/PMC12419215/pdf/\",\"citationCount\":\"0\",\"resultStr\":null,\"platform\":\"Semanticscholar\",\"paperid\":null,\"PeriodicalName\":\"International Medical Case Reports Journal\",\"FirstCategoryId\":\"1085\",\"ListUrlMain\":\"https://doi.org/10.2147/IMCRJ.S549637\",\"RegionNum\":0,\"RegionCategory\":null,\"ArticlePicture\":[],\"TitleCN\":null,\"AbstractTextCN\":null,\"PMCID\":null,\"EPubDate\":\"2025/1/1 0:00:00\",\"PubModel\":\"eCollection\",\"JCR\":\"Q3\",\"JCRName\":\"MEDICINE, GENERAL & INTERNAL\",\"Score\":null,\"Total\":0}","platform":"Semanticscholar","paperid":null,"PeriodicalName":"International Medical Case Reports Journal","FirstCategoryId":"1085","ListUrlMain":"https://doi.org/10.2147/IMCRJ.S549637","RegionNum":0,"RegionCategory":null,"ArticlePicture":[],"TitleCN":null,"AbstractTextCN":null,"PMCID":null,"EPubDate":"2025/1/1 0:00:00","PubModel":"eCollection","JCR":"Q3","JCRName":"MEDICINE, GENERAL & INTERNAL","Score":null,"Total":0}
引用次数: 0

摘要

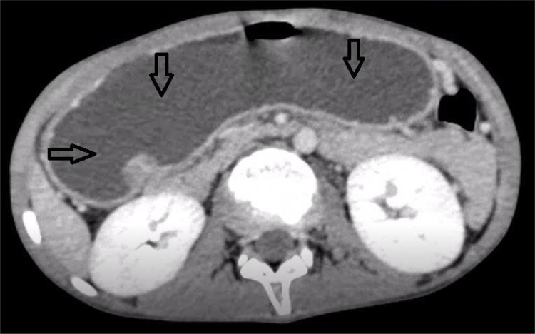
简介:环状胰腺是一种罕见的先天性异常,通常在新生儿时期导致十二指肠梗阻。然而,其表现可能是多变的,一些病例直到青春期才被诊断出来,这给诊断带来了挑战,特别是在资源匮乏、先进成像可能有限的环境中。病例介绍:我们报告一个13岁的男孩,有三年的复发性非胆汁性抛射性呕吐和胃脘痛的病史。尽管实验室检查结果正常,但计算机断层扫描(CT)和静脉注射后(IV)对比CT扫描显示胃出口梗阻的特征,包括明显的胃膨胀和十二指肠突然变细。由于影像学结果不确定,进行了手术探查。术中发现证实存在胰腺组织带环绕十二指肠的第一部分,从而确定环状胰腺的诊断。在随后的随访中,成功地进行了胃十二指肠吻合术,使患者顺利恢复并消除了症状。结论:本病例强调了在出现慢性胃肠道症状的患者中,对环状胰腺保持高度怀疑的重要性。虽然影像学方式提供了有价值的线索,但当发现不明确时,手术探查仍然是获得明确诊断的金标准。该患者的成功手术治疗强调了及时干预的关键作用,特别是在诊断资源有限的情况下。
本文章由计算机程序翻译,如有差异,请以英文原文为准。

Annular Pancreas in a 13-Year-Old Boy: A Delayed Clinical Presentation of a Congenital Anomaly Highlighting Challenges of Diagnosis.

Annular Pancreas in a 13-Year-Old Boy: A Delayed Clinical Presentation of a Congenital Anomaly Highlighting Challenges of Diagnosis.

Annular Pancreas in a 13-Year-Old Boy: A Delayed Clinical Presentation of a Congenital Anomaly Highlighting Challenges of Diagnosis.

Annular Pancreas in a 13-Year-Old Boy: A Delayed Clinical Presentation of a Congenital Anomaly Highlighting Challenges of Diagnosis.

Introduction: The annular pancreas is a rare congenital anomaly that typically results in duodenal obstruction during the neonatal period. However, its presentation can be variable, with some cases remaining undiagnosed until adolescence and posing diagnostic challenges, especially in low-resource settings where advanced imaging may be limited.

Case presentation: We report the case of a 13-year-old boy with a three-year history of recurrent non-bilious projectile vomiting and epigastric pain. Despite normal laboratory findings, plain computed tomography (CT) and post-intravenous (IV) contrast CT scans revealed features suggestive of gastric outlet obstruction, including significant stomach distention and abrupt tapering of the duodenum. Owing to the inconclusive imaging results, surgical exploration was pursued. Intraoperative findings confirmed the presence of a band of pancreatic tissue encircling the first part of the duodenum, thereby establishing the diagnosis of an annular pancreas. A gastroduodenostomy was successfully performed, resulting in an uneventful recovery and resolution of symptoms during subsequent follow-up.

Conclusion: This case underscores the importance of maintaining a high index of suspicion for the annular pancreas in patients presenting with chronic gastrointestinal symptoms. Although imaging modalities provide valuable clues, surgical exploration remains the gold standard for achieving a definitive diagnosis when findings are ambiguous. The successful surgical management of this patient underscores the crucial role of timely intervention, particularly in settings with limited diagnostic resources.

求助全文
通过发布文献求助,成功后即可免费获取论文全文。 去求助
来源期刊
International Medical Case Reports Journal
International Medical Case Reports Journal MEDICINE, GENERAL & INTERNAL-
CiteScore
1.40
自引率
0.00%
发文量
135
审稿时长
16 weeks
期刊介绍: International Medical Case Reports Journal is an international, peer-reviewed, open access, online journal publishing original case reports from all medical specialties. Submissions should not normally exceed 3,000 words or 4 published pages including figures, diagrams and references. As of 1st April 2019, the International Medical Case Reports Journal will no longer consider meta-analyses for publication.
×
引用
GB/T 7714-2015
复制
MLA
复制
APA
复制
导出至
BibTeX EndNote RefMan NoteFirst NoteExpress
×
提示
您的信息不完整,为了账户安全,请先补充。
现在去补充
×
提示
您因"违规操作"
具体请查看互助需知
我知道了
×
提示
确定
请完成安全验证×
copy
已复制链接
快去分享给好友吧!
我知道了
右上角分享
点击右上角分享
0
联系我们:info@booksci.cn Book学术提供免费学术资源搜索服务,方便国内外学者检索中英文文献。致力于提供最便捷和优质的服务体验。 Copyright © 2023 布克学术 All rights reserved.
京ICP备2023020795号-1
ghs 京公网安备 11010802042870号
Book学术文献互助
Book学术文献互助群
群 号:604180095
Book学术官方微信