男性复发性浆细胞性乳腺炎的外科治疗一例报告。

IF 0.7 Q3 MEDICINE, GENERAL & INTERNAL
International Medical Case Reports Journal Pub Date : 2025-09-04 eCollection Date: 2025-01-01 DOI:10.2147/IMCRJ.S534479
Ting Yang, Haijiao Luo, Jing Zhou, Zhongxu Duan, Jingfeng Jing, Han Gao
{"title":"男性复发性浆细胞性乳腺炎的外科治疗一例报告。","authors":"Ting Yang, Haijiao Luo, Jing Zhou, Zhongxu Duan, Jingfeng Jing, Han Gao","doi":"10.2147/IMCRJ.S534479","DOIUrl":null,"url":null,"abstract":"<p><strong>Introduction: </strong>Plasma Cell Mastitis (PCM) is a rare, chronic inflammatory breast disorder that primarily affects females, although there are occasional reports in males. This case report details an instance of PCM in a male patient, underscoring the diagnostic and therapeutic complexities associated with this condition.</p><p><strong>Patient concerns: </strong>The male patient presented with a palpable parapapillary mass, erythema, and localized breast pain.</p><p><strong>Diagnoses: </strong>Radiological and histopathological assessments confirmed the diagnosis of PCM.</p><p><strong>Interventions: </strong>Initial management included conservative pharmacological therapy, which was ineffective. Subsequently, the patient underwent a minimally invasive surgical intervention to address the breast lesion. However, 10 months post-surgery, a recurrence necessitated a total subcutaneous mastectomy.</p><p><strong>Outcomes: </strong>Despite surgical interventions, the recurrence of PCM highlights the challenges in managing this condition. Complete resolution was achieved following the total subcutaneous mastectomy.</p><p><strong>Conclusion: </strong>This case underscores the importance of recognizing and addressing PCM in male patients. It highlights the absence of a standardized clinical treatment protocol and emphasizes the necessity for personalized management approaches, especially in recurrent cases.</p>","PeriodicalId":14337,"journal":{"name":"International Medical Case Reports Journal","volume":"18 ","pages":"1147-1152"},"PeriodicalIF":0.7000,"publicationDate":"2025-09-04","publicationTypes":"Journal Article","fieldsOfStudy":null,"isOpenAccess":false,"openAccessPdf":"https://www.ncbi.nlm.nih.gov/pmc/articles/PMC12417701/pdf/","citationCount":"0","resultStr":"{\"title\":\"Surgical Management of Recurrent Plasma Cell Mastitis in a Male Patient: A Case Report.\",\"authors\":\"Ting Yang, Haijiao Luo, Jing Zhou, Zhongxu Duan, Jingfeng Jing, Han Gao\",\"doi\":\"10.2147/IMCRJ.S534479\",\"DOIUrl\":null,\"url\":null,\"abstract\":\"<p><strong>Introduction: </strong>Plasma Cell Mastitis (PCM) is a rare, chronic inflammatory breast disorder that primarily affects females, although there are occasional reports in males. This case report details an instance of PCM in a male patient, underscoring the diagnostic and therapeutic complexities associated with this condition.</p><p><strong>Patient concerns: </strong>The male patient presented with a palpable parapapillary mass, erythema, and localized breast pain.</p><p><strong>Diagnoses: </strong>Radiological and histopathological assessments confirmed the diagnosis of PCM.</p><p><strong>Interventions: </strong>Initial management included conservative pharmacological therapy, which was ineffective. Subsequently, the patient underwent a minimally invasive surgical intervention to address the breast lesion. However, 10 months post-surgery, a recurrence necessitated a total subcutaneous mastectomy.</p><p><strong>Outcomes: </strong>Despite surgical interventions, the recurrence of PCM highlights the challenges in managing this condition. Complete resolution was achieved following the total subcutaneous mastectomy.</p><p><strong>Conclusion: </strong>This case underscores the importance of recognizing and addressing PCM in male patients. It highlights the absence of a standardized clinical treatment protocol and emphasizes the necessity for personalized management approaches, especially in recurrent cases.</p>\",\"PeriodicalId\":14337,\"journal\":{\"name\":\"International Medical Case Reports Journal\",\"volume\":\"18 \",\"pages\":\"1147-1152\"},\"PeriodicalIF\":0.7000,\"publicationDate\":\"2025-09-04\",\"publicationTypes\":\"Journal Article\",\"fieldsOfStudy\":null,\"isOpenAccess\":false,\"openAccessPdf\":\"https://www.ncbi.nlm.nih.gov/pmc/articles/PMC12417701/pdf/\",\"citationCount\":\"0\",\"resultStr\":null,\"platform\":\"Semanticscholar\",\"paperid\":null,\"PeriodicalName\":\"International Medical Case Reports Journal\",\"FirstCategoryId\":\"1085\",\"ListUrlMain\":\"https://doi.org/10.2147/IMCRJ.S534479\",\"RegionNum\":0,\"RegionCategory\":null,\"ArticlePicture\":[],\"TitleCN\":null,\"AbstractTextCN\":null,\"PMCID\":null,\"EPubDate\":\"2025/1/1 0:00:00\",\"PubModel\":\"eCollection\",\"JCR\":\"Q3\",\"JCRName\":\"MEDICINE, GENERAL & INTERNAL\",\"Score\":null,\"Total\":0}","platform":"Semanticscholar","paperid":null,"PeriodicalName":"International Medical Case Reports Journal","FirstCategoryId":"1085","ListUrlMain":"https://doi.org/10.2147/IMCRJ.S534479","RegionNum":0,"RegionCategory":null,"ArticlePicture":[],"TitleCN":null,"AbstractTextCN":null,"PMCID":null,"EPubDate":"2025/1/1 0:00:00","PubModel":"eCollection","JCR":"Q3","JCRName":"MEDICINE, GENERAL & INTERNAL","Score":null,"Total":0}
引用次数: 0

摘要

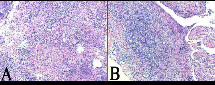
简介:浆细胞性乳腺炎(PCM)是一种罕见的慢性炎症性乳腺疾病,主要影响女性,尽管偶尔也有男性的报道。本病例报告详细介绍了一名男性患者的PCM实例,强调了与该病症相关的诊断和治疗复杂性。患者关注:男性患者表现为可触及的乳头旁肿块,红斑和局部乳房疼痛。诊断:放射学和组织病理学检查证实了PCM的诊断。干预措施:最初的管理包括保守的药物治疗,但无效。随后,患者接受了微创手术干预以解决乳房病变。然而,术后10个月,复发需要全皮下乳房切除术。结果:尽管手术干预,PCM的复发突出了管理这种情况的挑战。乳房全皮下切除术后完全消退。结论:本病例强调了在男性患者中认识和处理PCM的重要性。它强调缺乏标准化的临床治疗方案,并强调个性化管理方法的必要性,特别是在复发病例中。
本文章由计算机程序翻译,如有差异,请以英文原文为准。

Surgical Management of Recurrent Plasma Cell Mastitis in a Male Patient: A Case Report.

Surgical Management of Recurrent Plasma Cell Mastitis in a Male Patient: A Case Report.

Surgical Management of Recurrent Plasma Cell Mastitis in a Male Patient: A Case Report.

Surgical Management of Recurrent Plasma Cell Mastitis in a Male Patient: A Case Report.

Introduction: Plasma Cell Mastitis (PCM) is a rare, chronic inflammatory breast disorder that primarily affects females, although there are occasional reports in males. This case report details an instance of PCM in a male patient, underscoring the diagnostic and therapeutic complexities associated with this condition.

Patient concerns: The male patient presented with a palpable parapapillary mass, erythema, and localized breast pain.

Diagnoses: Radiological and histopathological assessments confirmed the diagnosis of PCM.

Interventions: Initial management included conservative pharmacological therapy, which was ineffective. Subsequently, the patient underwent a minimally invasive surgical intervention to address the breast lesion. However, 10 months post-surgery, a recurrence necessitated a total subcutaneous mastectomy.

Outcomes: Despite surgical interventions, the recurrence of PCM highlights the challenges in managing this condition. Complete resolution was achieved following the total subcutaneous mastectomy.

Conclusion: This case underscores the importance of recognizing and addressing PCM in male patients. It highlights the absence of a standardized clinical treatment protocol and emphasizes the necessity for personalized management approaches, especially in recurrent cases.

求助全文
通过发布文献求助,成功后即可免费获取论文全文。 去求助
来源期刊
International Medical Case Reports Journal
International Medical Case Reports Journal MEDICINE, GENERAL & INTERNAL-
CiteScore
1.40
自引率
0.00%
发文量
135
审稿时长
16 weeks
期刊介绍: International Medical Case Reports Journal is an international, peer-reviewed, open access, online journal publishing original case reports from all medical specialties. Submissions should not normally exceed 3,000 words or 4 published pages including figures, diagrams and references. As of 1st April 2019, the International Medical Case Reports Journal will no longer consider meta-analyses for publication.
×
引用
GB/T 7714-2015
复制
MLA
复制
APA
复制
导出至
BibTeX EndNote RefMan NoteFirst NoteExpress
×
提示
您的信息不完整,为了账户安全,请先补充。
现在去补充
×
提示
您因"违规操作"
具体请查看互助需知
我知道了
×
提示
确定
请完成安全验证×
copy
已复制链接
快去分享给好友吧!
我知道了
右上角分享
点击右上角分享
0
联系我们:info@booksci.cn Book学术提供免费学术资源搜索服务,方便国内外学者检索中英文文献。致力于提供最便捷和优质的服务体验。 Copyright © 2023 布克学术 All rights reserved.
京ICP备2023020795号-1
ghs 京公网安备 11010802042870号
Book学术文献互助
Book学术文献互助群
群 号:604180095
Book学术官方微信