褪黑素防止顺铂诱导的骨髓和内耳细胞组织病理学损伤。

IF 1.1 Q3 OTORHINOLARYNGOLOGY
International Archives of Otorhinolaryngology Pub Date : 2025-09-10 eCollection Date: 2025-07-01 DOI:10.1055/s-0045-1809645
Juliana Gusmão de Araujo, Lucieny Silva Martins Serra, Lucas Lauand, Selma Aparecida Souza Kückelhaus, André Luiz Lopes Sampaio
{"title":"褪黑素防止顺铂诱导的骨髓和内耳细胞组织病理学损伤。","authors":"Juliana Gusmão de Araujo, Lucieny Silva Martins Serra, Lucas Lauand, Selma Aparecida Souza Kückelhaus, André Luiz Lopes Sampaio","doi":"10.1055/s-0045-1809645","DOIUrl":null,"url":null,"abstract":"<p><strong>Introduction: </strong>Cisplatin is an effective chemotherapeutic drug. Its side effects, ototoxicity and genotoxicity, limit widespread application. Melatonin could reduce these toxic effects due to its antioxidant activity.</p><p><strong>Objective: </strong>To determine the effect of melatonin against cisplatin-induced ototoxicity and genotoxicity in rats.</p><p><strong>Methods: </strong>To assess ototoxicity, 33 rats were randomly divided into: group 1 (saline), group 2 (melatonin), group 3 (cisplatin + saline), and group 4 (cisplatin + melatonin). Groups 3 and 4 received a single dose of 10 mg/kg of cisplatin. Groups 2 and 4 received daily doses of 1 mg/kg of melatonin. The number of viable neurons and their average diameter in the spiral and vestibular ganglia were analyzed. In the stria vascularis and spiral ligament, the number of viable cells was evaluated. To assess genotoxicity, 12 animals were randomly divided into: group A (saline), group B (cisplatin + saline), and group C (cisplatin + melatonin). The rats in groups B and C received a single dose of 10 mg/kg of cisplatin. Group C received a single dose of 1 mg/kg of melatonin.</p><p><strong>Results: </strong>The micronucleus count and percentage of polychromatic erythrocytes in the bone marrow of rat femurs were analyzed. The animals in group 3 presented a greater loss of cells than the animals in other groups regarding all cochlear structures evaluated. Furthermore, the diameters of neurons were smaller in the animals in group 3. Melatonin-treated rats presented a lower micronucleus count and a higher number of polychromatic erythrocytes than animals treated with cisplatin alone.</p><p><strong>Conclusion: </strong>Melatonin reduces cisplatin-induced cyto-histopathological damage in the bone marrow and inner ear; therefore, it could be used as a tumor adjuvant treatment.</p>","PeriodicalId":13731,"journal":{"name":"International Archives of Otorhinolaryngology","volume":"29 3","pages":"1-8"},"PeriodicalIF":1.1000,"publicationDate":"2025-09-10","publicationTypes":"Journal Article","fieldsOfStudy":null,"isOpenAccess":false,"openAccessPdf":"https://www.ncbi.nlm.nih.gov/pmc/articles/PMC12422844/pdf/","citationCount":"0","resultStr":"{\"title\":\"Melatonin Prevents Cisplatin-Induced Cyto-Histopathological Damage in the Bone Marrow and Inner Ear.\",\"authors\":\"Juliana Gusmão de Araujo, Lucieny Silva Martins Serra, Lucas Lauand, Selma Aparecida Souza Kückelhaus, André Luiz Lopes Sampaio\",\"doi\":\"10.1055/s-0045-1809645\",\"DOIUrl\":null,\"url\":null,\"abstract\":\"<p><strong>Introduction: </strong>Cisplatin is an effective chemotherapeutic drug. Its side effects, ototoxicity and genotoxicity, limit widespread application. Melatonin could reduce these toxic effects due to its antioxidant activity.</p><p><strong>Objective: </strong>To determine the effect of melatonin against cisplatin-induced ototoxicity and genotoxicity in rats.</p><p><strong>Methods: </strong>To assess ototoxicity, 33 rats were randomly divided into: group 1 (saline), group 2 (melatonin), group 3 (cisplatin + saline), and group 4 (cisplatin + melatonin). Groups 3 and 4 received a single dose of 10 mg/kg of cisplatin. Groups 2 and 4 received daily doses of 1 mg/kg of melatonin. The number of viable neurons and their average diameter in the spiral and vestibular ganglia were analyzed. In the stria vascularis and spiral ligament, the number of viable cells was evaluated. To assess genotoxicity, 12 animals were randomly divided into: group A (saline), group B (cisplatin + saline), and group C (cisplatin + melatonin). The rats in groups B and C received a single dose of 10 mg/kg of cisplatin. Group C received a single dose of 1 mg/kg of melatonin.</p><p><strong>Results: </strong>The micronucleus count and percentage of polychromatic erythrocytes in the bone marrow of rat femurs were analyzed. The animals in group 3 presented a greater loss of cells than the animals in other groups regarding all cochlear structures evaluated. Furthermore, the diameters of neurons were smaller in the animals in group 3. Melatonin-treated rats presented a lower micronucleus count and a higher number of polychromatic erythrocytes than animals treated with cisplatin alone.</p><p><strong>Conclusion: </strong>Melatonin reduces cisplatin-induced cyto-histopathological damage in the bone marrow and inner ear; therefore, it could be used as a tumor adjuvant treatment.</p>\",\"PeriodicalId\":13731,\"journal\":{\"name\":\"International Archives of Otorhinolaryngology\",\"volume\":\"29 3\",\"pages\":\"1-8\"},\"PeriodicalIF\":1.1000,\"publicationDate\":\"2025-09-10\",\"publicationTypes\":\"Journal Article\",\"fieldsOfStudy\":null,\"isOpenAccess\":false,\"openAccessPdf\":\"https://www.ncbi.nlm.nih.gov/pmc/articles/PMC12422844/pdf/\",\"citationCount\":\"0\",\"resultStr\":null,\"platform\":\"Semanticscholar\",\"paperid\":null,\"PeriodicalName\":\"International Archives of Otorhinolaryngology\",\"FirstCategoryId\":\"1085\",\"ListUrlMain\":\"https://doi.org/10.1055/s-0045-1809645\",\"RegionNum\":0,\"RegionCategory\":null,\"ArticlePicture\":[],\"TitleCN\":null,\"AbstractTextCN\":null,\"PMCID\":null,\"EPubDate\":\"2025/7/1 0:00:00\",\"PubModel\":\"eCollection\",\"JCR\":\"Q3\",\"JCRName\":\"OTORHINOLARYNGOLOGY\",\"Score\":null,\"Total\":0}","platform":"Semanticscholar","paperid":null,"PeriodicalName":"International Archives of Otorhinolaryngology","FirstCategoryId":"1085","ListUrlMain":"https://doi.org/10.1055/s-0045-1809645","RegionNum":0,"RegionCategory":null,"ArticlePicture":[],"TitleCN":null,"AbstractTextCN":null,"PMCID":null,"EPubDate":"2025/7/1 0:00:00","PubModel":"eCollection","JCR":"Q3","JCRName":"OTORHINOLARYNGOLOGY","Score":null,"Total":0}
引用次数: 0

摘要

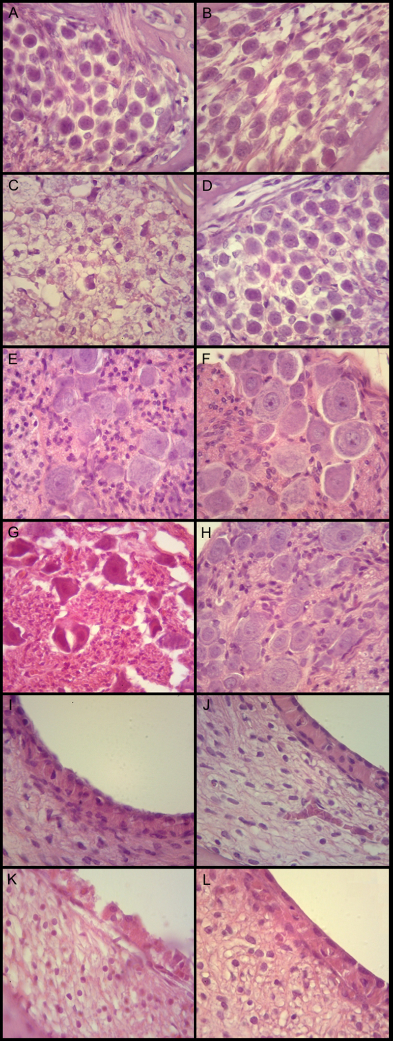
顺铂是一种有效的化疗药物。其副作用、耳毒性和遗传毒性限制了其广泛应用。褪黑素由于其抗氧化活性可以减少这些毒性作用。目的:观察褪黑素对顺铂所致大鼠耳毒性和遗传毒性的影响。方法:将33只大鼠随机分为1组(生理盐水)、2组(褪黑素)、3组(顺铂+生理盐水)、4组(顺铂+褪黑素)进行耳毒性评价。第3组和第4组给予单剂量顺铂10mg /kg。第2组和第4组每天服用1 mg/kg的褪黑激素。分析螺旋神经节和前庭神经节内存活神经元的数量和平均直径。对血管纹和螺旋韧带进行活细胞计数。为评估遗传毒性,将12只动物随机分为:A组(生理盐水)、B组(顺铂+生理盐水)和C组(顺铂+褪黑素)。B、C组大鼠单次给予顺铂10 mg/kg。C组接受单剂量1 mg/kg的褪黑激素。结果:分析了大鼠股骨骨髓微核计数和多染红细胞百分率。在所有评估的耳蜗结构中,第3组的动物比其他组的动物出现更大的细胞损失。第三组大鼠神经元直径更小。与单用顺铂治疗的大鼠相比,褪黑素治疗的大鼠微核计数较低,多染红细胞数量较高。结论:褪黑素可减轻顺铂诱导的骨髓和内耳细胞组织病理学损伤;因此,它可以作为肿瘤的辅助治疗。
本文章由计算机程序翻译,如有差异,请以英文原文为准。

Melatonin Prevents Cisplatin-Induced Cyto-Histopathological Damage in the Bone Marrow and Inner Ear.

Melatonin Prevents Cisplatin-Induced Cyto-Histopathological Damage in the Bone Marrow and Inner Ear.

Melatonin Prevents Cisplatin-Induced Cyto-Histopathological Damage in the Bone Marrow and Inner Ear.

Melatonin Prevents Cisplatin-Induced Cyto-Histopathological Damage in the Bone Marrow and Inner Ear.

Introduction: Cisplatin is an effective chemotherapeutic drug. Its side effects, ototoxicity and genotoxicity, limit widespread application. Melatonin could reduce these toxic effects due to its antioxidant activity.

Objective: To determine the effect of melatonin against cisplatin-induced ototoxicity and genotoxicity in rats.

Methods: To assess ototoxicity, 33 rats were randomly divided into: group 1 (saline), group 2 (melatonin), group 3 (cisplatin + saline), and group 4 (cisplatin + melatonin). Groups 3 and 4 received a single dose of 10 mg/kg of cisplatin. Groups 2 and 4 received daily doses of 1 mg/kg of melatonin. The number of viable neurons and their average diameter in the spiral and vestibular ganglia were analyzed. In the stria vascularis and spiral ligament, the number of viable cells was evaluated. To assess genotoxicity, 12 animals were randomly divided into: group A (saline), group B (cisplatin + saline), and group C (cisplatin + melatonin). The rats in groups B and C received a single dose of 10 mg/kg of cisplatin. Group C received a single dose of 1 mg/kg of melatonin.

Results: The micronucleus count and percentage of polychromatic erythrocytes in the bone marrow of rat femurs were analyzed. The animals in group 3 presented a greater loss of cells than the animals in other groups regarding all cochlear structures evaluated. Furthermore, the diameters of neurons were smaller in the animals in group 3. Melatonin-treated rats presented a lower micronucleus count and a higher number of polychromatic erythrocytes than animals treated with cisplatin alone.

Conclusion: Melatonin reduces cisplatin-induced cyto-histopathological damage in the bone marrow and inner ear; therefore, it could be used as a tumor adjuvant treatment.

求助全文
通过发布文献求助,成功后即可免费获取论文全文。 去求助
来源期刊
CiteScore
2.80
自引率
0.00%
发文量
84
审稿时长
12 weeks
×
引用
GB/T 7714-2015
复制
MLA
复制
APA
复制
导出至
BibTeX EndNote RefMan NoteFirst NoteExpress
×
提示
您的信息不完整,为了账户安全,请先补充。
现在去补充
×
提示
您因"违规操作"
具体请查看互助需知
我知道了
×
提示
确定
请完成安全验证×
copy
已复制链接
快去分享给好友吧!
我知道了
右上角分享
点击右上角分享
0
联系我们:info@booksci.cn Book学术提供免费学术资源搜索服务,方便国内外学者检索中英文文献。致力于提供最便捷和优质的服务体验。 Copyright © 2023 布克学术 All rights reserved.
京ICP备2023020795号-1
ghs 京公网安备 11010802042870号
Book学术文献互助
Book学术文献互助群
群 号:604180095
Book学术官方微信